Баба (лунный кратер)
| Баба | |
|---|---|
| лат. Bhabha | |
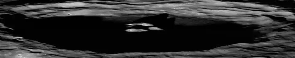
![]() Изображение программы Apollo Footprint Viewer. | |
| Характеристики | |
| Диаметр | 70 км |
| Наибольшая глубина | 2732 м |
| Название | |
| Эпоним | Хоми Джехангир Баба (1909—1966) — индийский физик, сыгравший значительную роль в развитии индийской атомной науки и техники. |
| Расположение | |
| 55°30′ ю. ш. 165°19′ з. д. / 55,5° ю. ш. 165,31° з. д. | |
| Небесное тело | Луна |
Кратер Баба (лат. Bhabha), не путать с кратером Бава (лат. Bawa), — крупный ударный кратер, расположенный в южной полярной области обратной стороны Луны. Название дано в честь индийского физика, сыгравшего значительную роль в развитии индийской атомной науки и техники Хоми Джехангира Баба (1909—1966) и утверждено Международным астрономическим союзом в 1970 г. Образование кратера относится к нектарскому периоду[1].
Описание кратера

Кратер находится в центре бассейна Южный полюс — Эйткен. С северо-западной стороны к нему примыкает кратер Бозе, на востоке находится кратер Стоней, на юге — кратер Беллинсгаузен[2]. Селенографические координаты центра кратера — 55°30′ ю. ш. 165°19′ з. д. / 55,5° ю. ш. 165,31° з. д., диаметр — 70 км[3], глубина — 2,7 км[4].
Вал кратера почти правильной циркулярной формы, за исключением впадины в северо-западной части, образованной кратером Бозе, практически не разрушен. Высота вала над окружающей местностью составляет 1240 м[4], объем кратера приблизительно 3500 км³[4]. Внутренний склон вала имеет террасовидную структуру, особенно заметную в юго-восточной части. Дно чаши кратера сравнительно ровное, имеется группа центральных пиков общим диаметром 14 км[4], расположенных полукругом. Состав центральных пиков — анортозитовый габбро-норит, анортозитовый норит, габбро-норит и габбро[1].К северу от группы центральных пиков находится маленький кратер. В юго-восточной части чаши кратера видны следы более темных пород.
Сателлитные кратеры
Отсутствуют
См. также
Примечания
- 1 2 Описание кратера на сайте The Moon-Wiki (англ.). Архивировано из оригинала 8 августа 2018 года.
- ↑ Кратер Баба на карте LAC133. Дата обращения: 5 июля 2020. Архивировано 27 ноября 2020 года.
- ↑ Справочник Международного Астрономического Союза. Дата обращения: 5 июля 2020. Архивировано 7 июня 2021 года.
- 1 2 3 4 Lunar Impact Crater Database. Losiak A., Kohout T., O’Sulllivan K., Thaisen K., Weider S. (Lunar and Planetary Institute, Lunar Exploration Intern Program, 2009); updated by Öhman T. in 2011. Archived page.

