Гематоэнцефалический барьер

Взаимоотношение клеток ткани мозга и капилляра:
1. Эпендима
2. Нейрон
3. Аксон
4. Олигодендроцит
5. Астроцит
6. Миелин
7. Микроглия
8. Капилляр
3D-модель гематоэнцефалического барьера

Гема́тоэнцефали́ческий барье́р (гемато-энцефалический барьер, ГЭБ)[1] (от др.-греч. αἷμα, род. п. αἵματος — «кровь» и др.-греч. ἐγκέφαλος — «головной мозг») — физиологический гистогематический барьер между кровеносной системой и центральной нервной системой. ГЭБ имеют все позвоночные.

Главная функция ГЭБ — поддержание гомеостаза мозга. Он защищает нервную ткань от циркулирующих в крови микроорганизмов, токсинов, клеточных и гуморальных факторов иммунной системы, которые воспринимают ткань мозга как чужеродную. ГЭБ выполняет функцию высокоселективного фильтра, через который из артериального русла в мозг поступают питательные, биоактивные вещества; в направлении венозного русла с глимфатическим потоком выводятся продукты жизнедеятельности нервной ткани.

Вместе с тем, наличие ГЭБ затрудняет лечение многих заболеваний центральной нервной системы, так как он не пропускает целый ряд лекарственных препаратов.

Развитие концепции гематоэнцефалического барьера

Основатель учения о ГЭБ Пауль Эрлих
Макс Левандо́вский (1876—1916) впервые использовал термин «Blut-Hirn-Schranke» (перегородка между кровью и мозгом) в 1900 году

Первое свидетельство о существовании ГЭБ было получено в 1885 году Паулем Эрлихом. Он обнаружил, что введённый в кровеносное русло крысы краситель распространился по всем органам и тканям, кроме мозга[2]. В 1904 году он высказал неверное предположение о том, что краситель не проникает в ткань мозга при внутривенном введении, так как не имеет к ней сродства[3]. Южноафриканский хирург Эдвин Гольдман (1862—1913), ученик Эрлиха, обнаружил в 1909 году, что введённый внутривенно краситель трипановый синий не проникает в ткань мозга, но окрашивает сосудистое сплетение его желудочков[4]. В 1913 году он показал, что краситель, введённый в спинномозговую жидкость собаки или лошади, проникает в ткань головного и спинного мозга, а периферические органы и ткани при этом не окрашиваются[5]. На основании этих опытов Гольдман предположил наличие барьера между мозгом и кровью, который задерживает нейротоксические вещества[6].

В 1898 году венские патологи Артур Бидль (1869—1933) и Рудольф Краус (1868—1932) показали, что при введении жёлчных кислот в кровеносное русло нейротоксический эффект не возникал, однако при инъекции непосредственно в ткань мозга развивалась кома[7]. Немецкий невролог Макс Левандовский повторил опыты Бидля и Крауса с гексацианоферратом калия. Получив схожие результаты, он впервые использовал термин «Blut-Hirn-Schranke» (перегородка между кровью и мозгом, 1900), принятый впоследствии также и в англоязычной литературе (blood-brain barrier)[8][9].

В 1915 году швейцарский нейроанатом Константин фон Монаков в Цюрихе предположил, что хориоидное сплетение и нейроглия выполняют барьерную функцию[10]. В последующие годы им совместно с сотрудниками было опубликовано несколько сугубо гистологических трудов, посвящённых хориоидному сплетению, которое один из его учеников (чилийский психоаналитик Фернандо Альенде-Наварро, 1890—1981) в публикации 1925 года именует «экто-мезодермальным барьером» (фр. barrière ecto-mésodermique).

Термин «гематоэнцефалический барьер» в 1921 году предложила Лина Соломоновна Штерн, первая женщина-профессор (professor extraordinaire) Женевского университета (1918)[11]

Термин «гематоэнцефалический барьер» (фр. barrière hémato-encéphalique) был введён в научный обиход[10] швейцарским, а затем советским физиологом Линой Соломоновной Штерн (первой женщиной — членом Академии наук СССР)[12] в совместном со своими студентами Эрнестом Ротлиным (1888—1972) и Раймондом Готье (1885—1957) сообщении Женевскому медицинскому обществу (Société de Biologie et Médecine) 21 апреля 1921 года[13][14]:

Между кровью, с одной стороны, и спинномозговой жидкостью, с другой, есть особый аппарат или механизм, способный просеивать вещества, обыкновенно присутствующие в крови или случайно проникшие в неё. Мы предлагаем называть этот гипотетический механизм, пропускающий одни вещества и замедляющий или останавливающий проникновение других веществ, гематоэнцефалическим барьером[15][16].

Первые сообщения Лины Штерн и Эрнеста Ротлина на заседании Société de physique et d’histoire naturelle de Genève и их публикация в Schweizer Archiv für Neurologie und Psychiatrie о наличии защитного барьера между мозгом и кровяным руслом относятся к 1918 году[17]. Штерн и Ротлину посредством тончайшей канюли удалось ввести 1 мг кураре в пространство четвёртого желудочка экспериментального животного и зафиксировать медленную диффузию нейротоксина из спинномозговой жидкости сквозь лептоменингиальные мембраны в глубокие ядра мозжечка. В 1921 году выходит первая обзорная статья Л. С. Штерн в Schweizer Archiv für Neurologie und Psychiatrie, а в 1923 году её влиятельная работа «La barrière hémato-encéphalique dans les conditions normales et pathologiques», включённая в двухтомный коллективный сборник, посвящённый 70-летию Константина фон Монакова (1853—1930) и изданный тем же журналом[18]. В последнем обзоре, помимо обобщения экспериментальных и гистологических исследований ГЭБ, его роли в нормальной физиологии и нейропатологии, Штерн также рассматривает и его действие в фармакодинамике и фармакокинетике нейротропных препаратов. В последующие годы Штерн, основываясь на анализе обширного экспериментального материала, сформулировала положения о ГЭБ и определила его значение для деятельности центральной нервной системы[19]. В 1935 году под её редакцией был опубликован первый коллективный сборник, целиком посвящённый данной теме («Гемато-энцефалический барьер», М.—Л.: Биомедгиз, 1935). За исследования гематоэнцефалического барьера Л. С. Штерн в 1943 году была награждена Сталинской премией, денежную составляющую которой она передала на строительство санитарного самолёта[20].

В 1930-х годах было сформулировано различие между гематоэнцефалическим и гематоли́кворным барьером[6][21][22]. Морфологические структуры, ответственные за ГЭБ, были детально изучены в 1960-х годах методами электронной микроскопии[23][24].

Функции

Масса головного мозга человека составляет приблизительно 2 % от массы его тела. При этом потребление кислорода центральной нервной системой составляет 20 % от общего потребления кислорода организмом. Также, в противоположность другим органам, мозг обладает наименьшими запасами питательных веществ. Нервные клетки не могут обеспечить свои энергетические потребности путём одного лишь анаэробного гликолиза. Прекращение поступления крови к мозгу в течение нескольких секунд приводит к потере сознания, а через 10 минут наступает гибель нейронов[23]. Такие энергетические потребности головного мозга обеспечиваются за счёт активного транспорта кислорода и питательных веществ через ГЭБ[25].

Нормальное функционирование мозга возможно лишь в условиях электролитного и биохимического гомеостаза. Колебания pH, концентрации калия в крови и других показателей не должны влиять на состояние нервной ткани. Циркулирующие в кровеносном русле нейромедиаторы не должны проникать в нервную ткань, где они могли бы изменить активность нейронов[23]. Также мозг должен быть защищён от попадания в него чужеродных агентов, таких как ксенобиотики и патогенные микроорганизмы. ГЭБ — это также и иммунологический барьер, так как он непроницаем для многих микроорганизмов, антител и лейкоцитов[26][27].

Система кровеносных сосудов центральной нервной системы имеет ряд структурно-функциональных особенностей, отличающих их от сосудов других органов и тканей. Эти особенности обеспечивают функции питания, выведения продуктов жизнедеятельности и поддержания гомеостаза[23].

Нарушения ГЭБ могут вызывать поражения центральной нервной системы. Целый ряд неврологических заболеваний напрямую или косвенно связан с повреждением ГЭБ[25].

Строение

Сравнительная схема строения периферического и церебрального капилляров
Строение ГЭБ — от ткани мозга к плотному контакту
Схематическое строение сосудистой стенки артерии, артериолы и капилляра мозга

Основным элементом структуры ГЭБ являются эндотелиальные клетки. Особенностью церебральных сосудов является наличие плотных контактов между эндотелиальными клетками. В структуру ГЭБ также входят перици́ты и астроци́ты[23]. Межклеточные промежутки между эндотелиальными клетками, перицитами и астроцитами — нейроглии , меньше, чем промежутки между клетками в других тканях организма. Эти три вида клеток являются структурной основой ГЭБ не только у человека, но и у большинства позвоночных[28][29].

Эндотелий

Капиллярные сосуды выстланы эндотелиальными клетками. Эндотелий сосудов большинства тканей содержит открытые промежутки (фенестра́ции) диаметром около 50 нм и межклеточные щели от 100 до 1000 нм. Через эти промежутки вода и растворённые в ней вещества циркулируют между кровью и межклеточным пространством. Отличительной особенностью сосудов центральной нервной системы является отсутствие как фенестраций, так и межклеточных щелей между эндотелиальными клетками[30]. Таким образом, эндотелиальная выстилка капилляров мозга является сплошной[31].

Другим отличием эндотелия церебральных капилляров от периферических является низкое содержание в них пиноцито́зных пузырьков (вези́кул)[9][32].

Количество митохондрий в эндотелиальных клетках сосудов мозга в 5-10 раз выше, чем в эндотелии периферических сосудов. Столь высокое содержание митохондрий связано со значительными энергетическими потребностями эндотелиальных клеток ГЭБ, осуществляющих активный транспорт и обмен веществ[27]. (Митохондрии — это органеллы, в которых происходит синтез молекул АТФ, являющихся основным источником энергии для клеток.)

ГЭБ является также метаболическим или ферментативным (энзиматическим) барьером[6][33][34][35][36]. На поверхности клеточных мембран эндотелиальных клеток ГЭБ находится целый ряд ферментов, причём в значительно большем количестве, чем на мембранах других клеток паренхимы. Это такие ферменты, как гамма-глутамилтрансфераза и фосфатаза (в частности глюкоза-6-фосфатаза), катехол-О-метилтрансфераза, моноаминоксидаза и цитохром Р450[37][38][39]. Благодаря высокой концентрации ферментов в эндотелиальных клетках ГЭБ многие вещества метаболизируются при транспортировании через цитоплазму этих клеток[9]. Высота (размер в направлении, перпендикулярном стенке сосуда) эндотелиальной клетки ГЭБ составляет от 3 до 5 мкм (для сравнения, высота энтероцитов, эпителиальных клеток кишечника, - 17-30 мкм)[40]

Схематическое изображение плотного контакта

Соотношение холестерина к фосфолипидам в эндотелиальных клетках ГЭБ такое же, как и в эндотелиальных клетках периферических сосудов, и составляет ≈ 0,7[41]. Пассивный транспорт через клеточные мембраны ГЭБ происходит так же, как и пассивная диффузия в других эндотелиальных клетках[42]. В мембранах эндотелиальных клеток содержится большое количество каналов, проницаемых для молекул воды. Они допускают диффузию воды между мозгом и кровеносной системой[43].

Благодаря отсутствию фенестраций и небольшому числу пиноцитарных везикул эндотелиальная выстилка капилляров мозга становится механическим барьером для крупных молекул и инородных веществ. Кроме этого, ГЭБ обладает значительным электрическим сопротивлением — около 1500—2000 Ом. (для сравнения, электрическое сопротивление для стенок капилляров мышечной ткани составляет лишь 30 Ом.)[44]

Плотные контакты

Эндотелиальные клетки сосудов мозга плотно прилегают друг к другу. Между их стенками образуются так называемые плотные контакты, роль которых в обеспечении ГЭБ состоит в том, что они предотвращают проникновение в ткань мозга различных нежелательных веществ из кровеносного русла[45][46]. Плотные контакты между эндотелиальными клетками блокируют межклеточный (парацеллюля́рный) пассивный транспорт[47][48][49]. При этом блокируется парацеллюлярный транспорт веществ как из кровеносного русла в ткань мозга, так и в обратном направлении — из мозга в кровь[29].

Большое количество трансмембранных белков, таких как окклюди́н, разнообразные клауди́ны и замыкательные адгезионные молекулы связывают латеральные отделы клеточных стенок между собой, участвуют в формировании плотных контактов и делают возможным межклеточный транспорт и обмен веществ[50]. Основными белками, обеспечивающими адгезию эндотелиальных клеток и формирование плотных контактов, являются клаудин-5 и клаудин-12[51]. Нокаут гена CLDN5, ответственного за синтез белка клаудина-5, приводил у экспериментальных мышей к тому, что их ГЭБ становился проницаемым для молекул с молярной массой до 800 г/моль. Такие генетически изменённые животные умирали через несколько часов после рождения[52].

Базальная мембрана

Базальная мембрана эпителиальной клетки

Эндотелиальные клетки полностью покрывают подлежащий белковый слой, называемый база́льной мембраной[31]. Толщина базальной мембраны колеблется от 40 до 50 нм. Она различима только под электронным микроскопом. Состоит в основном из коллагена IV типа, гепаринсульфат-протеоглика́нов, ламини́нов, фибронекти́на и других белков внеклеточного матрикса. Со стороны мозга базальная мембрана ограничена плазматической мембраной пластинчатых окончаний отростков астроцитов[9][47].

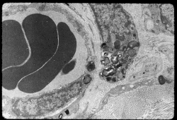
Перициты (подоциты)

Электронно-микроскопическое изображение перицита (справа) и просвета сосуда с тремя эритроцитами (слева)

Перициты, ранее называвшиеся по имени первооткрывателя Шарля Мари Бенджами́на Руже́ (1824—1904) клетками Руже[53], являются составной частью ГЭБ[54]. Они обладают несколькими важными для его функционирования свойствами: способностью к сокращению, регулированию функций эндотелия и макрофага́льной активностью[55].

Щелевые клеточные соединения (схема)

Около 20 % поверхности эндотелиальных клеток церебральных капилляров покрыто относительно маленькими, овальными перицитами. Каждая 2—4-я эндотелиальная клетка имеет контакт с клеткой-перицитом[29]. В основном перициты располагаются в местах контакта эндотелиальных клеток[56][57]. Перициты имеются практически во всех артериолах, венулах и капиллярах организма. Уровень покрытия ими эндотелиального слоя капилляра коррелирует с проницаемостью сосудистой стенки. В органах и тканях с проницаемой сосудистой стенкой они могут мигрировать из кровеносного русла в межклеточное пространство. Так, например, в капиллярах скелетной мускулатуры соотношение перициты: эндотелиоци́ты составляет 1:100[58][59].

Перициты, как и эндотелиоциты, располагаются на базальной мембране[31].

Также перициты синтезируют целый ряд вазоактивных веществ[59] и играют важную роль в а́нгиогене́зе[60][61].

Клеточные контакты перицит — эндотелиоцит

Перициты крепко связаны с эндотелиоцитами. Эта связь осуществляется благодаря трём типам контактов: щелевым соединениям, фокальным адгезиям и инвагинациям мембраны одной клетки в полость другой[55]. Щелевые соединения непосредственно связывают цитоплазму двух клеток, являясь проницаемыми для ионов и небольших молекул[62]. С помощью фокальных адгезий осуществляется прочная механическая связь двух типов клеток[63]. Инвагинации участков цитоплазмы одной клетки в другую обеспечивают как механическое связывание, так и межклеточный обмен веществ[55][64].

Благодаря тесным контактам клетки опосредованно влияют на митотическую активность, экспрессию генов и, соответственно, фенотип друг друга[60].

Сократительная функция

Перициты содержат большое количество способного к сокращению белка актина. Благодаря этой своей структурной особенности они в состоянии изменять просвет капилляров и таким образом регулировать местное кровяное давление[65][66].

Макрофагальная активность

Данное свойство характерно только для церебральных перицитов. В капиллярной сети мозга они выполняют функцию макрофагов. Соответственно в цитоплазме церебральных перицитов располагается большое количество лизосом. В культуре тканей доказана способность перицитов к фагоцитозу[55][67][68] и презентации антигенов[69][70].

Астроцит (окрашен зелёным) в клеточной культуре

Макрофагальные свойства перицитов образуют «вторую линию защиты мозга» от нейротоксических молекул, которые преодолели барьер эндотелиальных клеток[71]. Таким образом они являются важной составной частью иммунной системы мозга. Сбой макрофагальной активности перицитов может стать одним из факторов развития целого ряда аутоиммунных заболеваний. Имеются данные об опосредованной роли перицитов в развитии болезни Альцгеймера[72][73].

Астроциты

Взаимоотношение астроцитов и эндотелиоцитов

Астроциты — большие нейроглиальные клетки звёздчатой формы. Своими отростками они выстилают стенки мозговых капилляров со стороны мозговой ткани. В то же время, несмотря на то, что пластинчатыми окончаниями их клеточных отростков выстлано около 99 % капиллярных сосудов, астроциты не выполняют прямой барьерной функции[29][74]. Астроциты тесно взаимодействуют с эндотелиальными клетками. Между ними осуществляется постоянный обмен веществ[75]. Астроглиальные клетки индуцируют возникновение и формирование ГЭБ. При проведении экспериментов по пересадке сосудов мозга в периферические органы и наоборот — периферических сосудов в ткань головного мозга, отмечено формирование ГЭБ в периферических сосудах, пересаженных в мозг (образование плотных контактов, перестройка эндотелиальных клеток), и разобщение эндотелиальных клеток и появление фенестраций между ними при пересадке мозговых сосудов[23][76]. Также in vitro показано влияние астроцитов на фенотип эндотелия. В клеточной культуре, содержащей астроциты и эндотелиоциты, отмечено более плотное расположение эндотелия по сравнению с его чистой клеточной культурой[77].

Астроциты выделяют целый ряд веществ, которые влияют на проницаемость эндотелия[78]. Эндотелиоциты в свою очередь выделяют ингибирующий лейкемию фактор (LIF), цитоки́н интерлейки́н-6, которые воздействуют на процесс дифференциации астроцитов[78]. Расстояние от пластинчатых окончаний отростков астроцитов до клеток эндотелия и перицитов составляет всего лишь 20 нм[31][79].

Главными задачами астроглиальных клеток является обеспечение нейронов питательными веществами и поддержание необходимой концентрации электролитов внеклеточного пространства[78][80]. Астроциты синтезируют большую часть необходимого клеткам мозга холестерина. Холестерин не проникает через ГЭБ. В то же время в ткани мозга находится 25 % от общего холестерина организма. Бо́льшая его часть входит в состав миелина, который окутывает отростки нейронов аксоны. Нарушения процессов миелинизации нервных волокон вызывают развитие демиелинизирующих заболеваний, в частности рассеянный склероз[81].

Пластинчатые окончания отростков астроцитов неплотно покрывают со стороны мозга базальную мембрану сосудистой стенки с расположенными на ней эндотелиоцитами и перицитами. За счёт этого между эндотелиоцитами и тканью мозга возможна прямая диффузия различных веществ[78].

Заболевания, при которых происходит прямое или опосредованное поражение астроцитов (например, болезнь Альцгеймера, астроцитомы), сопровождаются нарушением функционирования ГЭБ.

Области мозга без ГЭБ

ГЭБ имеется в капиллярах большинства областей мозга, но не во всех. В циркумвентрикулярных органах ГЭБ отсутствует:

  1. Самое заднее поле (лат. area postrema) ромбовидной ямки (дна IV желудочка) — располагается между треугольником блуждающего нерва (лат. trigonum nervi vagi) с окаймляющим его самостоятельным канатиком (лат. funiculus separans) и бугорком тонкого ядра[82]
  2. Шишковидное тело (лат. corpus pineale) (синоним — эпифиз)
  3. Нейрогипофиз
  4. Прикреплённая пластинка (лат. lamina affixa) — эмбриональный остаток стенки конечного мозга, покрывающий верхнюю поверхность таламуса. Медиально она истончается, образует извитую пластинку — сосудистую ленту (лат. tenia choroidea)[83]
  5. Субфорника́льный орган
  6. Субкомиссура́льный орган

Данная гистологическая особенность имеет своё обоснование. Так например, нейрогипофиз выделяет в кровь гормоны, которые не могут пройти через ГЭБ, а нейроны дна IV желудочка (лат. area postrema) улавливают в крови наличие токсических веществ и стимулируют рвотный центр[84]. Защитным барьером соседней с данными образованиями мозговой ткани является скопление таницитов. Они представляют собой клетки эпендимы с плотными контактами[85].

Мозговой кровоток

В среднем просвет капилляра мозгового сосуда составляет около 40 мкм[86]. Наибольшая их плотность отмечена в коре головного мозга — от 300 до 800 капилляров на 1 мм³ ткани[23].

Суммарная поверхность стенок сосудов мозга составляет 12[87] — 20[88] м². Ежеминутно через сосудистую сеть мозга протекает около 610 мл крови со средней скоростью 1 мм/с создавая давление на её стенки 15-35 мм рт. ст.[27] Через капиллярное русло мозга она проходит значительно быстрее (в среднем за 5 секунд), чем в других органах и тканях (для сравнения, в кишечнике, площадь сосудов которого достигает 180 м² среднее время прохождения крови (англ. mean transit time) равно 40 часам[89][90], а в печени с 70 м² — 30 секундам[91][92][93].

Развитие

До конца XX века считалось, что у эмбриона и новорождённых ГЭБ не сформирован в полной степени и соответственно не выполняет своей функции. Причиной этого до сих пор широко распространённого мнения являются недостатки ранее проводившихся физиологических опытов. Эксперименты заключались во введении либо связанных с белками красителей, либо других маркеров взрослым животным и эмбрионам. Первые подобные опыты проводились в 1920 году[94]. Маркеры, вводимые эмбрионам, проникали в ткань мозга и спинномозговую жидкость, в то время как у взрослых животных — нет. В ходе данных экспериментов был допущен ряд методических ошибок (использование чрезмерного объёма вводимого вещества, повышение осмотического давления), из-за которых происходило частичное повреждение сосудистой стенки и соответственно маркер попадал в ткань мозга[95][96][97]. При правильной постановке экспериментов пассажа маркера через сосудистую сеть отмечено не было[98][99][100].

В крови плода в большом количестве содержатся молекулы таких веществ как альбумин, α1-фетопротеин и трансферрин, отсутствуя при этом в межклеточном пространстве ткани мозга[101]. В эмбриональном эндотелии обнаружен транспортёр Р-гликопротеин[102]. Это свидетельствует о наличии ГЭБ в пренатальном периоде. В ходе развития организма происходит дальнейшее совершенствование ГЭБ[101].

Для небольших поляризованных молекул, например инулина и сахарозы, проницаемость ГЭБ эмбриона и новорожденного значительно выше, чем у взрослых[103][104][105]. Схожий эффект отмечен и для ионов[106]. Транспорт аминокислот и инсулина через ГЭБ значительно ускорен, по всей видимости, в связи с большой потребностью в них растущего мозга[107][108][109][110].

С другой стороны, в мозге эмбриона имеется дополнительный, отсутствующий у взрослых, барьер на границе между ликвором и тканью мозга — так называемые ремневы́е контакты (англ. Strap Junctions) между клетками эпендимы[111].

Эволюция

В ходе эволюции нервной ткани позвоночных происходит увеличение её объёма. Бо́льшая масса мозга требует лучшего обеспечения питательными веществами и выведения ненужных и отработанных веществ. Это привело к развитию густой капиллярной сети в ткани мозга. Следующим этапом эволюции стало появление защитного барьера от циркулирующих в крови токсичных для нейронов веществ — ксенобиотиков и токсинов[28][112].

У многих беспозвоночных ГЭБ отсутствует. У них эндотелий капилляров нервной ткани не образует сплошной выстилки сосудистой стенки. У высших беспозвоночных — насекомых, ракообразных и головоногих[113] — защитный барьер между нейронами и кровью представлен исключительно глиальной тканью[114]. В этом случае речь идёт о глиальном гематоэнцефалическом барьере[115].

У всех видов позвоночных имеется ГЭБ, и у большинства из них он образован преимущественно клетками эндотелия сосудистой стенки, скреплёнными между собой плотными контактами. Только у пластиножаберных (среди них акул и скатов), а также семейства осетровых рыб ГЭБ формируется периваскулярными астроцитами. Из этого следует, что в процессе эволюции, вероятно, происходит расширение функций эндотелиальных клеток сосудов головного мозга, которые перенимают на себя барьерные функции.

Структурные различия глиального и эндотелиального гематоэнцефалических барьеров достаточно велики. Эндотелиальный барьер имеет целый ряд преимуществ. Одним из них является строгое разграничение функций эндотелиальных клеток и клеток астрогли́и, которые обеспечивают гомеостаз внеклеточной среды вещества мозга[114].

Гематоликворный барьер

Кроме гематоэнцефалического барьера существует также гематоликворный, который отделяет центральную нервную систему от кровеносного русла. Он образован эпителиальными клетками с плотными контактами, выстилающими сосудистое сплетение желудочков мозга[116][117]. Гематоликворный барьер также играет свою роль в поддержании гомеостаза мозга. Через него из крови в омывающую мозг спинномозговую жидкость поступают витамины, нуклеотиды и глюкоза. Общий вклад гематоликворного барьера в процессы обмена между мозгом и кровью невелик. Суммарная поверхность гематоликворного барьера сосудистых сплетений желудочков мозга приблизительно в 5000 раз меньше в сравнении с площадью гематоэнцефалического.

Кроме гематоэнцефалического и гематоликворного барьеров в организме человека существуют гематоплацента́рный, гематотестикуля́рный, гематоклубо́чковый, гематоретина́льный, гематоти́мусный и гематолёгочный барьеры.

Транспорт веществ через ГЭБ

Схема транспорта различных веществ через гематоэнцефалический барьер
Простая диффузия через клеточную мембрану

Гематоэнцефалический барьер не только задерживает и не пропускает целый ряд веществ из крови в вещество мозга, но и выполняет противоположную функцию — транспортирует необходимые для метаболизма ткани мозга вещества. Гидрофобные вещества и пептиды проникают в мозг либо с помощью специальных транспортных систем, либо через каналы клеточной мембраны. Для большинства других веществ возможна пассивная диффузия[6][36].

Межклеточный транспорт

В капиллярах периферических органов и тканей транспорт веществ осуществляется в основном через фенестра́ции сосудистой стенки и межклеточные промежутки. В норме между клетками эндотелия сосудов мозга такие промежутки отсутствуют. В связи с этим питательные вещества проникает в мозг лишь через клеточную мембрану[118]. Вода, глицерин и мочевина являются примерами тех небольших поляризованных молекул, которые могут свободно диффундировать через плотные контакты между эндотелиальными клетками ГЭБ[119].

Свободная диффузия

Схематическое изображение канала клеточной мембраны. В середине изображена молекула белка аквапори́на, образующего канал

Самой простой формой транспорта через ГЭБ является свободная (или пассивная) диффузия. Она может осуществляться как через клеточные мембраны эндотелиоцитов, так и через плотные межклеточные контакты. Для диффузии веществ движущей силой является разница концентраций. Диффузия веществ пропорциональна градиенту концентраций в кровеносном русле и ткани мозга. Для неё не требуется затрат клеточной энергии[120].

Липофи́льные структурные элементы клеточной мембраны, а также плотные межклеточные контакты снижают количество веществ, которые могут свободно диффундировать через ГЭБ. Проницаемость ГЭБ напрямую зависит от липофильности каждого конкретного вещества[121].

Проницаемость ГЭБ также зависит от молярной массы вещества. Молекулы с массой более 500 г/моль не могут диффундировать через ГЭБ. В то же время ГЭБ не является механическим барьером, который свободно пропускает молекулы меньшего размера и не пропускает большего. Процесс клеточной диффузии является динамическим, при этом он легче для веществ с молярной массой 200 г/моль, чем для веществ с 450 г/моль[41][122]. Чем липофильнее и меньше вещество, тем легче оно диффундирует через клеточную мембрану[6].

Модель аквапорина — молекулы воды могут свободно поступать в клетку через центр белковой молекулы, образующей канал

Немецким биофизиком Германном Тро́йбле в 1971 году была высказана гипотеза о транспорте молекул с низкой массой через клеточную мембрану. Согласно ей они проникают в клетку через небольшие промежутки между цепями жирных кислот двойного слоя мембраны. Эти промежутки изменчивы, их образование не требует клеточной энергии[123][124][125][126]. Теория Тройбле была спектроскопически доказана в 1974 году[127][128].

Прогноз и исследования проницаемости ГЭБ тем или иным веществом возможно проводить как in vitro[36][122][129][130][131] так и in silico[132].

Липофильность и небольшая молекулярная масса не являются гарантией проницаемости ГЭБ для каждого конкретного вещества. Высокомолекулярные соединения (например, моноклона́льные антитела, рекомбина́нтные белки и другие) удерживаются ГЭБ[133].

Канальцевая проницаемость

Небольшие полярные вещества, например молекулы воды, с трудом могут диффундировать через гидрофобные отделы клеточной мембраны эндотелиоцита. Несмотря на это доказана высокая проницаемость ГЭБ для воды[134].

В клеточной мембране эндотелиоцита располагаются специальные гидрофильные каналы — аквапоры. В эндотелии периферических сосудов они образованы белком аквапорином-1 (AQP1), экспрессия которого ингибируется астроцитами в клетках сосудов мозга[135]. На поверхности мембран клеток капиллярной сети мозга представлены в основном аквапорин-4 (AQP4) и аквапорин-9 (AQP9)[136].

Через аквапоры происходит регуляция содержания воды в веществе мозга. Они делают возможным быструю диффузию воды как в направлении мозга так и в направлении сосудистого русла в зависимости от осмотического градиента концентраций электролитов[137]. Для глицерина, мочевины и ряда других веществ на поверхности клеточных мембран формируются собственные каналы — акваглицеропорины. В ГЭБ они представлены в основном белком аквапорином-9 (который также образует аквапоры)[138].

Схематическое изображение облегчённой диффузии (справа) и мембранного канала (слева)

Процесс транспорта молекул через специализированные каналы осуществляется быстрее активного переноса с помощью специальных белков транспортёров. В то же время различные биологически активные вещества могут активировать или инактивировать транспортные каналы расположенные на клеточных мембранах[118].

Облегчённая диффузия

Особой формой диффузии через клеточную мембрану является облегчённая диффузия. Целый ряд необходимых для мозга веществ, как например, глюкоза и многие аминокислоты, полярны и слишком велики для непосредственной диффузии через клеточную мембрану. Для них на поверхности клеточных мембран эндотелиоцитов располагаются специальные транспортные системы. Например, для глюкозы и аскорбиновой кислоты (витамина С)[139] это GLUT-1-транспортёр. Их количество на поверхности обращённой в полость сосуда в 4 раза больше, чем на обращённой к мозгу.

Кроме транспортёров глюкозы на поверхности эндотелия располагаются множество белковых молекул выполняющих подобную функцию для других веществ. Так например MCT-1 и MCT-2 ответственны за перенос лактата, пирувата, мевалоновой кислоты, бутиратов и ацетатов. SLC7 транспортирует аргинин, лизин и орнитин. В геноме мыши выявлено 307 генов отвечающих за синтез SLC-белков, ответственных за облегчённую диффузию через клеточную мембрану различных веществ[140].

Транспортёры могут осуществлять перенос веществ в одном либо двух направлениях[141]. В отличие от активного транспорта облегчённая диффузия направлена в сторону пространства (внутри- или внеклеточного) с меньшей концентрацией вещества и не требует затрат клеточной энергии.

Активный транспорт

Выведение веществ из ткани мозга в кровеносное русло

В отличие от пассивного транспорта, не требующего затрат энергии, активный заключается в переносе веществ в пространство с большей концентрацией вещества и требует больших затрат клеточной энергии, получаемой при распаде молекул АТФ[118]. При активном транспорте веществ из кровеносного русла в ткань мозга говорят о притоке вещества (англ. influx), в обратном направлении — об оттоке (англ. efflux).

В ГЭБ располагаются активные транспортёры энкефалина[142][143], антидиуретического гормона[144], [D-пеницилламин2,D-пеницилламин5]-энкефалина (DPDPE)[145].

Первым идентифицированным Efflux-транспортёром ГЭБ[146] является Р-гликопротеин, который закодирован геном MDR1.[147][148]

Впоследствии были открыты относящийся к классу ABC-транспортёров Multidrug Resistance-Related Proteine (MRP1)[149], Breast Cancer Resistance Proteine (BCRP)[150][151] расположенный преимущественно на обращённой в просвет сосуда поверхности[152][153].

Некоторые Efflux- и Influx-транспортёры являются стереоселективными, то есть переносят лишь определённый стереоизомер (энантиомер) того или иного вещества. Так например, D-изомер аспарагиновой кислоты является прекурсором N-метил-D-аспартата (NMDA), который влияет на секрецию различных гормонов: лютеинизирующего гормона, тестостерона или окситоцина[154]. L-изомеры аспарагиновой и глутаминовой кислоты являются стимулирующими аминокислотами и их избыток токсичен для ткани мозга[155]. Efflux-транспортёр ASCT2 (аланин-серин-цистеин-транспортёр) ГЭБ выводит в кровеносное русло L-изомер аспарагиновой кислоты, чьё накопление имеет токсический эффект. Необходимый для формирования NMDA D-изомер поступает в мозг с помощью других транспортных белков (EAAT, SLC1A3, SLC1A2, SLC1A6)[25][156][157].

В эпилептогенной ткани в эндотелии и астроцитах представлено большее количество белка Р-гликопротеина по сравнению с нормальной тканью мозга[158][159].

На клеточных мембранах эндотелиоцитов располагаются также транспортёры анионов (OAT и OATP)[160][161]. Большое количество Efflux-транспортёров выводят из эндотелиоцитов целый ряд веществ в кровеносное русло[120].

Для многих молекул до сих пор не ясно выводятся ли они путём активного транспорта (с затратами клеточной энергии) или путём облегчённой диффузии[25].

Везикулярный транспорт

Рецептор-опосредованный трансцитоз

Сравнительная схема фагоцитоза, пиноцитоза и рецептор-опосредованного эндоцитоза

С помощью рецептор-опосредованного трансцито́за происходит перенос больших молекул. На обращённой в просвет сосуда поверхности клетки расположены специальные рецепторы для опознавания и связывания определённых веществ[23]. После контакта рецептора с веществом-мишенью происходит их связывание, участок мембраны инвагинируется в полость клетки и образуется внутриклеточный пузырёк — везикула. Затем она перемещается к обращённой к нервной ткани поверхности эндотелиальной клетки, сливается с ней и высвобождает связанные вещества. Таким образом во внеклеточное пространство мозга переносятся состоящий из 679 аминокислот белок трансферрин массой 75,2 кДа[162], липопротеины низкой плотности из которых образуется холестерин[130][163], инсулин[164] и другие пептидные гормоны[23].

Абсорбцио-опосредованный трансцитоз

Одним из подвидов везикулярного транспорта является абсорбцио-опосредованный трансцитоз. Отмечается «прилипание» ряда положительно заряженных веществ (катионов) к отрицательно заряженной клеточной мембране с последующем образованием везикулярного пузырька и его переносом к противоположной поверхности клетки. Данный вид транспорта также называется катионным. Он проходит относительно быстрее рецептор-опосредованного трансцитоза[165][166][167][168].

Исследование проницаемости

Появление большого количества новых лекарственных веществ сделало изучение степени проницаемости ГЭБ для различных веществ крайне актуальным. Это относится не только к тем препаратам, которые используются в неврологии и нейрохирургии и чьё действие непосредственно зависит от их способности преодолевать ГЭБ, но и тем, которые используются в других областях медицины[169]. Для исследования проницаемости ГЭБ применяется ряд методов. Классическим является проведение опытов на живых организмах (in vivo). Новые достижения науки сделали возможными эксперименты на клеточных культурах (in vitro), а также моделирование процесса на компьютере (in silico)[170]. Результаты, полученные у млекопитающих (in vivo), могут быть использованы для описания проницаемости ГЭБ для того или иного вещества у человека.

Физические основы

Для определения проницаемости ГЭБ Ренкином (1959) и Кроне (1965) предложена модель, которая основывается на исследовании одного капилляра. Несмотря на свою упрощённость, она приближена к реальности[171]. На основании данной модели определяется величина Кроне-Ренкина, которая показывает, какая часть вещества при прохождении через кровеносное русло мозга проникнет через ГЭБ[172]. При её значении менее 0,2 ГЭБ слабопроницаем для вещества, при 0,2-0,8 — умеренно проницаем[171].

Исследования in silico

Симуляция процесса с использованием ЭВМ проводится в самых ранних фазах исследования. Высчитывается уровень свободной диффузии, учитывая ряд характеристик вещества: его липофильность, молярную массу, количество водородных связей и др.[170]

Исследования in vitro

Опыты in vitro проводятся для изучения транспортных процессов на клеточном уровне на изолированных капиллярах[36]. В ходе эксперимента у подопытного животного выделяются сосуды. Обязательным является сохранение в них метаболической активности[173]. Затем они помещаются между растворами с различными концентрациями исследуемых веществ. Молекулы могут быть маркированы. Метод позволяет определить проницаемость ГЭБ для конкретного вещества, а также процессы его переноса[170][174][175].

Исследования in vivo

Первым, кто провёл in vivo исследования ГЭБ, был Пауль Эрлих. Эксперименты по проницаемости тех или иных веществ через ГЭБ заключаются в их непосредственном введении в кровеносное русло, а затем определении содержания в ткани мозга. По Вальтеру (F. Walter, 1929), вещества, применяемые с этой целью, должны удовлетворять следующим требованиям: распределяться в крови и цереброспинальной жидкости до того, как наступает их выделение, не расщепляться в организме и не связываться с белками; они не должны изменять состояние ГЭБ и приносить вред организму[19]. Лишь при выполнении этих условий возможно определение проницаемости ГЭБ для определённого вещества in vivo.

Повреждения ГЭБ

Повреждения ГЭБ у человека наблюдаются при целом ряде заболеваний. Их коррекция рассматривается как терапевтическая стратегия[176].

Синдром дефицита белка GLUT-1

Синдром дефицита белка GLUT-1 (G93.4 по международной классификации болезней ВОЗ[177]) — редкое аутосомно-доминантное наследственное заболевание, при котором отмечается нарушение синтеза белка GLUT-1, который ответственен за проницаемость ГЭБ для глюкозы и аскорбиновой кислоты. Заболевание проявляется в раннем детском возрасте. Недостаток поступления в ткань мозга глюкозы вызывает развитие микроцефалии, психомоторных нарушений, атаксии и целого ряда других неврологических расстройств[178].

Наследственная мальабсорбция фолиевой кислоты

Наследственная мальабсорбция фолиевой кислоты (D52.8 по международной классификации болезней ВОЗ[177]) — редкое аутосомно-рецессивное наследственное заболевание, при котором отмечается недостаток синтеза белка, обеспечивающего проницаемость ГЭБ для фолиевой кислоты.

Болезнь Альцгеймера

Нарушение функционирования ГЭБ при болезни Альцгеймера приводит к увеличению количества амилоида β в мозге. Снижение количества спинномозговой жидкости приводит к повышению концентрации нейротоксичных веществ. Нейроваскулярная гипотеза патогенеза болезни Альцгеймера предполагает, что накопление амилоида β также связано с нарушением функционирования транспортеров, опосредующих перенос вещества из мозга в кровь, например, P-гликопротеина и LRP1. При воспалительных процессах повышается захват амилоида β перицитами, что приводит к их гибели. Кроме того, при болезни Альцгеймера снижена эффективность транспорта инсулина через ГЭБ, играющего нейропротекторную роль[176].

Сахарный диабет

Сахарный диабет (E10-E14 по международной классификации болезней ВОЗ[177]) является заболеванием, при котором возникает целый ряд функциональных и структурных изменений различных органов и тканей организма. Также отмечаются значительные изменения ГЭБ, которые проявляются в физикохимической перестройке мембраны эндотелиальных клеток и плотных контактов между ними[179].

Рассеянный склероз

См. также Хроническая цереброспинальная венозная недостаточность

Рассеянный склероз (G35 по международной классификации болезней ВОЗ[177]) — хроническое прогрессирующее заболевание нервной системы, при котором отмечается преимущественное поражение белка миелина ткани мозга.

Сосуды мозга здоровых людей непроницаемы для клеток крови, в том числе иммунных клеток. У больных рассеянным склерозом происходит миграция активированных Т-лимфоцитов в паренхиму мозга через ГЭБ, повышается уровень провоспалительных цитокинов — γ-интерферона, ФНО-α, ИЛ-1 и других; активируются В-лимфоциты. В результате начинают синтезироваться антитела к белку миелину, что приводит к формированию очагов воспалительной демиелинизации[180].

Ишемический инсульт

Схема миграции лейкоцитов через ГЭБ

Ишемический инсульт (I63 по международной классификации болезней ВОЗ[177]) — острое нарушение мозгового кровообращения, обусловленное недостаточностью поступления крови к участкам центральной нервной системы.

Ишемический инсульт приводит к высвобождению оксидантов, протеолитических ферментов и цитокинов в ткани мозга, что в итоге вызывает развитие цитотоксического отёка и изменение проницаемости ГЭБ[181]. В результате запускается процесс миграции лейкоцитов через эндотелий в ткань мозга, которые вызывают в том числе поражение здоровых клеток нервной ткани[182][183].

Бактериальная инфекция центральной нервной системы

Лишь немногие попадающие в кровь патогенные микроорганизмы способны проникать через ГЭБ. К ним относятся менингококки (лат. Neisseria meningitidis), некоторые виды стрептококков — в том числе пневмококки (лат. Streptococcus pneumoniae), гемофильная палочка (лат. Haemophilus influenzae), листерии, кишечные палочки (лат. Escherichia coli) и ряд других. Все они могут вызывать воспалительные изменения как мозга — энцефалит, так и его оболочек — менингит. Точный механизм проникновения этих патогенов через ГЭБ до конца не изучен, однако показано, что воспалительные процессы оказывают влияние на этот механизм[184]. Так, воспаление, вызванное листериями, может привести к тому, что ГЭБ становится проницаемым для данных бактерий. Прикрепившись к эндотелиоцитам капилляров мозга, листерии выделяют целый ряд липополисахаридов и токсинов, которые в свою очередь воздействуют на ГЭБ, делая его проницаемым для лейкоцитов. Проникшие в ткань мозга лейкоциты запускают воспалительный процесс, в результате которого ГЭБ пропускает и бактерии[184].

Пневмококки секретируют фермент группы гемолизинов, который образует поры в эндотелии, через которые и проникает бактериальный агент[185].

Менингококки и E. coli проникают через ГЭБ трансэндотелиально[184].

Вирусы и ГЭБ

Кроме бактерий, через ГЭБ в ткань мозга могут проникать некоторые вирусы. К ним относятся цитомегаловирус, вирус иммунодефицита человека (ВИЧ)[186] и Т-лимфотропный вирус человека (HTLV-1).

Опухоли головного мозга

Внутримозговые опухоли головного мозга (глиобластомы, метастазы в мозг и др.) выделяют целый ряд веществ[184], которые дезинтегрируют работу ГЭБ и нарушают его избирательную проницаемость. Такие повреждения гематоэнцефалического барьера вокруг опухоли может вызвать вазогенный отёк мозга[187].

Проницаемость ГЭБ для антибактериальных препаратов

ГЭБ избирательно проницаем для различных лекарственных веществ, что учитывается в медицине при назначении препаратов для лечения заболеваний центральной нервной системы (ЦНС). Такие препараты должны проникать в ткань мозга к клеткам-мишеням. Также имеет значение то, что при инфекционно-воспалительных заболеваниях ЦНС проницаемость ГЭБ повышается, и через него могут проходить те вещества, для которых он в нормальном состоянии служил непреодолимой преградой. Особенно актуально это для антибактериальных препаратов.

Проникновение антибактериальных препаратов через ГЭБ[188]

Хорошо Хорошо при воспалении Плохо даже при воспалении Не проникают
Изониазид Азтреонам Гентамицин Клиндамицин
Пефлоксацин Амикацин Карбенициллин Линкомицин
Рифампицин Амоксициллин Макролиды
Хлорамфеникол Ампициллин Норфлоксацин
Ко-тримоксазол Ванкомицин Стрептомицин
Меропенем Ломефлоксацин
Офлоксацин
Цефалоспорины III—IV поколения
Ципрофлоксацин
Левофлоксацин

См. также

Примечания

  1. Кассиль, 1971.
  2. P. Ehrlich. Das Sauerstoff-Bedürfniss des Organismus: Eine Farbenanalytische Studie // August Hirschwald, Berlin (die Habilitationsschrift von Paul Ehrlich). — 1885. С. 167.
  3. P. Ehrlich. Ueber die Beziehungen von chemischer Constitution, Verteilung und Pharmakologischer Wirkung // Gesammelte Arbeiten zur Immunitaetsforschung. August Hirschwald, Ber. — 1904. С. 574.
  4. E. E. Goldmann. Die äußere und innere Sekretion des gesunden und kranken Organismus im Lichte der vitalen Färbung // Beitr Klin Chirurg. — 1909. № 64. С. 192–265.
  5. E. E. Goldmann. Vitalfärbung am Zentralnervensystem // Abh. K. Preuss. Akad. Wiss. Phys. Med. — 1913. № 1. С. 1–60.
  6. 1 2 3 4 5 S. Nobmann. Isolierte Gehirn-Kapillaren als in vitro-Modell der Blut-Hirn Schranke // Диссертация. Гейдельбергский университет им. Рупрехта-Карла. — 2001. Архивировано 3 июля 2007 года.
  7. A. Biedl, R. Kraus. Über eine bisher unbekannte toxische Wirkung der Gallensäuren auf das zentrale Nervensystem // Zentralblatt Innere Medizin. — 1898. № 19. С. 1185–1200.
  8. M. Lewandowsky. Zur Lehre von der Cerebrospinal Flüssigkeit // Zentralblatt Klinische Medizin. — 1900. № 40. С. 480–494.
  9. 1 2 3 4 B. T. Hawkins, T. P. Davis. The blood-brain barrier/neurovascular unit in health and disease // Pharmacol Rev. — 2005. № 57. С. 173–185. Архивировано 18 февраля 2019 года.
  10. 1 2 Constantin von Monakow (1853—1930) and Lina Stern (1878—1968): early explorations of the plexus choroideus and the blood-brain barrier (недоступная ссылка)
  11. L’Université de Genève «Lina Stern». Дата обращения: 2 июля 2010. Архивировано 18 октября 2017 года.
  12. В. Б. Малкин «Трудные годы Лины Штерн». Дата обращения: 2 июля 2010. Архивировано 23 февраля 2008 года.
  13. L. Stern. Le liquide céphalorachidien au point de vue de ses rapports avec la circulation sanguine et avec les éléments nerveux de l’axe cérébrospinal. Schweiz Arch Neurol Psychiat 11:373—378, 1921; L. Stern, R. Gautier. Recherches sur le liquide céphalo-rachidien I: Rapports enter le liquide céphalorachdien et la circulation sanguine. Arch int Physiol 17:138—192, 1921; L. Stern, R. Gautier. Recherches sur le liquide céphalo-rachidien II: Les rapports enter le liquide céphalorachdien et les élments nerveux de l’axe cérébrospinal. Arch Int Physiol 17:391—448, 1922.
  14. A. A. Vein. Lina Stern: Science and fate // Neurologie-Abteilung der Universität Leiden. — 2006. Архивировано 2 января 2018 года.
  15. Lina Stern. Дата обращения: 1 июля 2010. Архивировано 11 апреля 2010 года.
  16. Die Struktur Der Blut-Hirn- Und Der Blut-Liquor-Schranke — eine Literaturstudie, стр. 6. Дата обращения: 1 июля 2010. Архивировано 11 января 2011 года.
  17. L. Stern, E. Rothlin. Effets de l’action directe du curare sur les différentes parties du cervelet. Schweizer Archiv für Neurologie und Psychiatrie 3:234—254, 1918.
  18. L. Stern, R. Gautier. Recherches sur le liquide céphalo-rachidien III: Arch Intern Physiol 18:403—436, 1923; L. Stern. La barrière hémato-encéphalique dans les conditions normales et dans les conditions pathologiques. Schweiz Arch Neurol Psychiat 13:604—616, 1923.
  19. 1 2 Гемато-энцефалический барьер // Большая медицинская энциклопедия / Гл. ред. Б. В. Петровский. — 3-е изд. — М.:: Советская энциклопедия, 1977. — Т. V (Гамбузия-Гипотиазид). — С. 127—129. — 576 с.
  20. J. J. Dreifuss, N. Tikhonov «Lina Stern (1878—1968): Physiologin und Biochemikerin, erste Professorin an der Universität Genf und Opfer stalinistischer Prozesse»
  21. F. K. Walter. Die allgemeinen Grundlagen des Stoffaustausches zwischen dem Zentralnervensystem und dem übrigen Körper // Arch Psychiatr Nervenkr. — 1930. № 101. С. 195–230.
  22. H. Spatz. Die Bedeutung der vitalen Färbung für die Lehre vom Stoffaustausch zwischen dem Zentralnervensystem und dem übrigen Körper // Arch Psychiatr Nervenkr. — 1933. С. 267–358.
  23. 1 2 3 4 5 6 7 8 9 S. Wolf, B. Seehaus, Minol K. und andere. Die Blut-Hirn-Schranke: Eine Besonderheit des cerebralen Mikrozirkulationssystems // Naturwissenschaften. — 1996. № 83. С. 302—311. (недоступная ссылка)
  24. Reese TS, Karnovsky MJ. Fine structural localization of a blood-brain barrier to exogenous peroxidase // J Cell Biol. — 1967. № 34. С. 207–217. Архивировано 18 февраля 2019 года.
  25. 1 2 3 4 S. Ohtsuki. New Aspects of the Blood–Brain Barrier Transporters; Its Physiological Roles in the Central Nervous System // Biological & Pharmaceutical Bulletin. — 2004. № 27 (10). С. 1489–1496. (недоступная ссылка)
  26. W. Risau, B. Engelhardt, H. Wekerle. Immune function of the blood-brain barrier: incomplete presentation of protein (auto-) antigens by rat brain microvascular endothelium in vitro // The Journal of Cell Biology. — 1990. № 110. С. 1757–1766. Архивировано 17 апреля 2011 года.
  27. 1 2 3 B. Bauer. In vitro Zellkulturmodelle der Blut-Hirn-Schranke zur Untersuchung der Permeation und P-Glykoprotein-Interaktion von Arzneistoffen // Диссертация. Гейдельбергский университет им. Рупрехта-Карла. — 2002. (недоступная ссылка)
  28. 1 2 M. Bundgaard, N. J. Abbott. All vertebrates started out with a glial blood-brain barrier 4-500 million years ago // Glia. — 2008. № 56. С. 699–708. Архивировано 4 июня 2016 года.
  29. 1 2 3 4 W. M. Pardridge. Molecular biology of the blood–brain barrier // Mol Biotechnol. — 2005. № 30 (1). С. 57–70. Архивировано 19 февраля 2019 года.
  30. J. C. Lee. Evolution in the concept of the blood-brain barrier phenomen // Progress in neuropathology. — Verlag Grune und Stratton, 1971. — Т. 1. — С. 84–145. — ISBN 0-88167-188-6.
  31. 1 2 3 4 M. Pavelka, J. Roth. Funktionelle Ultrastruktur. — Verlag Springer. — С. 234–235. — ISBN 3-211-83563-6..
  32. J. Cervos-Navarro. Elektronenmikroskopische Befunde an den Kapillaren der Hirnrinde // Arch Psychiatr Nervenkr. — 1963. № 204. С. 484–504. Архивировано 18 февраля 2019 года.
  33. R. S. el-Bacha, A. Minn. Drug metabolizing enzymes in cerebrovascular endothelial cells afford a metabolic protection to the brain // Cell Mol Biol. — 1999. № 45. С. 15–23. Архивировано 4 июня 2016 года.
  34. Chat M, Bayol-Denizot C, Suleman G, Roux F, Minn A. Drug metabolizing enzyme activities and superoxide formation in primary and immortalized rat brain endothelial cells // Life Sci. — 1998. № 62. С. 151–163. Архивировано 27 мая 2016 года.
  35. Minn A, Ghersi-Egea JF, Perrin R, Leininger B, Siest G. Drug metabolizing enzymes in the brain and cerebral microvessels // Life Sci. — 1991. № 116. С. 65–82. Архивировано 18 февраля 2019 года.
  36. 1 2 3 4 Takakura Y, Audus KL, Borchardt RT. Blood-brain barrier: transport studies in isolated brain capillaries and in cultured brain endothelial cells // Adv Pharmacol. — 1991. № 22. С. 137–165. Архивировано 18 февраля 2019 года.
  37. Méresse S, Dehouck MP, Delorme P, Bensaïd M, Tauber JP, Delbart C, Fruchart JC, Cecchelli R. Bovine brain endothelial cells express tight junctions and monoamine oxidase activity in long-term culture // J Neurochem. — 1989. № 53. С. 1363–1371. Архивировано 19 февраля 2019 года.
  38. Perrin R, Minn A, Ghersi-Egea JF, Grassiot MC, Siest G. Distribution of cytochrome P450 activities towards alkoxyresorufin derivatives in rat brain regions, subcellular fractions and isolated cerebral microvessels // Biochem Pharmacol. — 1990. № 40. С. 2145–2151. Архивировано 18 февраля 2019 года.
  39. Bendayan R, Lee G, Bendayan M. Functional expression and localization of P-glycoprotein at the blood brain barrier // Res Tech. — 2002. № 57. С. 365–380. Архивировано 29 мая 2016 года.
  40. Su Y, Sinko PJ. Drug delivery across the blood-brain barrier: why is it difficult? how to measure and improve it? // Expert Opin Drug Deliv. — 2006. № 3. С. 419–435. Архивировано 4 июня 2016 года.
  41. 1 2 Fischer H, Gottschlich R, Seelig A. Blood-brain barrier permeation: molecular parameters governing passive diffusion // J Membr Biol. — 1998. № 165. С. 201–211. Архивировано 26 мая 2016 года.
  42. U. Fagerholm. The highly permeable blood-brain barrier: an evaluation of current opinions about brain uptake capacity // J Membr Biol. — 2007. № 12. С. 1076–1082. Архивировано 20 февраля 2019 года.
  43. Nico B, Frigeri A, Nicchia GP, Quondamatteo F, Herken R, Errede M, Ribatti D, Svelto M, Roncali L. Role of aquaporin-4 water channel in the development and integrity of the blood-brain barrier // J Cell Sci. — 2001. № 114. С. 1297–1307. Архивировано 19 февраля 2019 года.
  44. Butt AM, Jones HC, Abbott NJ. Electrical resistance across the blood-brain barrier in anaesthetized rats: a developmental study // J Physiol. — 1990. № 429. С. 47—62. Архивировано 26 мая 2016 года.
  45. P. Claude, D. A. Goodenough. Fracture faces of zonulae occludentes from "tight" and "leaky" epithelia // J Cell Biol. — 1973. № 58. С. 390—400. Архивировано 25 июня 2016 года.
  46. Wolburg H, Neuhaus J, Kniesel U, Krauss B, Schmid EM, Ocalan M, Farrell C, Risau W. Modulation of tight junction structure in blood-brain barrier endothelial cells. Effects of tissue culture, second messengers and cocultured astrocytes // J Cell Sci. — 1994. № 107. С. 1347–1357. Архивировано 4 июня 2016 года.
  47. 1 2 H. B. Newton. Advances in strategies to improve drug delivery to brain tumors // Expert Rev Neurother. — 2006. № 6. С. 1495–1509. Архивировано 29 мая 2016 года.
  48. J. L. Madara. Tight junction dynamics: is paracellular transport regulated? // Cell. — 1988. № 53. С. 497–498. Архивировано 21 мая 2016 года.
  49. H. C. Bauer et al. Proteins of the tight junctions in the blood-brain barrier // Blood-spinal Cord and Brain Barriers in Health and Disease. — Verlag Elsevier, 2004. — С. 1–10.
  50. Cecchelli R, Berezowski V, Lundquist S, Culot M, Renftel M, Dehouck MP, Fenart L. Modelling of the blood-brain barrier in drug discovery and development // Nat Rev Drug Discov. — 2007. № 6. С. 650–661. Архивировано 19 мая 2016 года.
  51. Matter K, Balda MS. Holey barrier: claudins and the regulation of brain endothelial permeability // J Cell Biol. — 2003. № 161. С. 459–460. Архивировано 18 февраля 2019 года.
  52. Nitta T, Hata M, Gotoh S, Seo Y, Sasaki H, Hashimoto N, Furuse M, Tsukita S. Size-selective loosening of the blood-brain barrier in claudin-5-deficient mice // J Cell Biol. — 2003. № 161. С. 653–660. Архивировано 22 февраля 2017 года.
  53. P. Dore-Duffy. Pericytes: pluripotent cells of the blood brain barrier // Curr Pharm Des. — 2008. № 14. С. 1581—1593. Архивировано 18 февраля 2019 года.
  54. Balabanov R, Dore-Duffy P. Role of the CNS microvascular pericyte in the blood-brain barrier // J Neurosci Res. — 1998. № 53. С. 637—644. Архивировано 18 февраля 2019 года.
  55. 1 2 3 4 Rucker HK, Wynder HJ, Thomas WE. Cellular mechanisms of CNS pericytes // Brain Res Bull. — 2000. № 51. С. 363—369. Архивировано 18 февраля 2019 года.
  56. P. A. D'Amore. Culture and Study of Pericytes // Cell Culture Techniques in Heart and Vessel Research. — Verlag Springer, 1990. — С. 299. — ISBN 3-540-51934-3..
  57. N. J. Abbott. Neurobiology. Glia and the blood-brain barrier // Nature. — 1987. № 325. С. 195. Архивировано 20 мая 2016 года.
  58. Lai CH, Kuo KH. The critical component to establish in vitro BBB model: Pericyte // Brain Res Brain Res Rev. — 2005. № 50. С. 258—265. Архивировано 18 февраля 2019 года.
  59. 1 2 Shepro D, Morel NM. Pericyte physiology // FASEB. — 1993. № 7. С. 1031–1038. Архивировано 18 февраля 2019 года.
  60. 1 2 Sims DE. Diversity within pericytes // Clin Exp Pharmacol Physiol. — 2000. № 27. С. 842–846. Архивировано 19 мая 2016 года.
  61. Engelhardt B. Development of the blood-brain barrier // Cell Tissue Res. — 2003. № 314. С. 119–129. Архивировано 18 февраля 2019 года.
  62. Fujimoto K. Pericyte-endothelial gap junctions in developing rat cerebral capillaries: a fine structural study // Anat Rec. — 1995. № 242. С. 562—565. Архивировано 3 июня 2016 года.
  63. Díaz-Flores L, Gutiérrez R, Varela H, Rancel N, Valladares F. Microvascular pericytes: A review of their morphological and functional characteristics // Histol Histopath. — 1991. № 6. С. 269–286. Архивировано 18 февраля 2019 года.
  64. D. E. Sims. Recent advances in pericyte biology--implications for health and disease // Can J Cardiol. — 1991. № 7. С. 431–443. Архивировано 20 февраля 2019 года.
  65. Herman IM, D'Amore PA. Microvascular pericytes contain muscle and nonmuscle actins // J Cell Biol. — 1985. № 101. С. 43–52. Архивировано 18 февраля 2019 года.
  66. Hirschi KK, D'Amore PA. Pericytes in the microvasculature // Cardiovasc Res. — 1996. № 32. С. 687—698. Архивировано 29 мая 2016 года.
  67. Mato M, Ookawara S, Sugamata M, Aikawa E. Evidence for the possible function of the fluorescent granular perithelial cells in brain as scavengers of high-molecular-weight waste products // Experientia. — 1984. № 40. С. 399—402. Архивировано 29 мая 2016 года.
  68. Balabanov R, Washington R, Wagnerova J, Dore-Duffy P. CNS microvascular pericytes express macrophage-like function, cell surface integrin alphaM, and macrophage marker ED-2 // Microvasc Res. — 1996. № 52. С. 127—142. Архивировано 18 февраля 2019 года.
  69. Hickey WF, Kimura H. Perivascular microglial cells of the CNS are bone marrow-derived and present antigen in vivo // Science. — 1988. № 239. С. 290—292. Архивировано 18 февраля 2019 года.
  70. Fabry Z, Sandor M, Gajewski TF, Herlein JA, Waldschmidt MM, Lynch RG, Hart MN. Differential activation of Th1 and Th2 CD4+ cells by murine brain microvessel endothelial cells and smooth muscle/pericytes // J Immunol. — 1993. № 151. С. 38—47. Архивировано 18 февраля 2019 года.
  71. Krause D, Kunz J, Dermietzel R. Cerebral pericytes - a second line of defense in controlling blood-brain barrier peptide metabolism // Adv Exp Med Biol. — 1993. № 331. С. 149—152. Архивировано 18 февраля 2019 года.
  72. Thomas WE. Brain macrophages: on the role of pericytes and perivascular cells // Brain Res Brain Res Rev. — 1999. № 31. С. 42—57. Архивировано 20 февраля 2019 года.
  73. Iadecola C. Neurovascular regulation in the normal brain and in Alzheimer's disease // Nat Rev Neurosci. — 2004. № 5. С. 347—360. Архивировано 4 июня 2016 года.
  74. Johanson CE. Permeability and vascularity of the developing brain: cerebellum vs cerebral cortex // Brain Res. — 2004. № 190. С. 3–16. Архивировано 18 февраля 2019 года.
  75. Neuhaus J, Risau W, Wolburg H. Induction of blood-brain barrier characteristics in bovine brain endothelial cells by rat astroglial cells in transfilter coculture // Ann N Y Acad Sci. — 1991. № 633. С. 578–580. Архивировано 18 февраля 2019 года.
  76. Stewart PA, Wiley MJ. Developing nervous tissue induces formation of blood-brain barrier characteristics in invading endothelial cells: a study using quail–chick transplantation chimeras // Dev Biol. — 1981. № 84. С. 183–192. Архивировано 3 июля 2016 года.
  77. Raub TJ, Kuentzel SL, Sawada GA. Permeability of bovine brain microvessel endothelial cells in vitro: barrier tightening by a factor released from astroglioma cells // Exp Cell Res. — 1992. № 199. С. 330–340. Архивировано 18 февраля 2019 года.
  78. 1 2 3 4 Abbott NJ. Astrocyte-endothelial interactions and blood-brain barrier permeability // J Anat. — 2002. № 200. С. 629–638. Архивировано 19 февраля 2019 года.
  79. Paulson OB, Newman EA. Does the release of potassium from astrocyte endfeet regulate cerebral blood flow? // Science. — 1987. № 237. С. 896—898. Архивировано 28 мая 2016 года.
  80. Abbott NJ, Rönnbäck L, Hansson E. Astrocyte-endothelial interactions at the blood-brain barrier // Nat Rev Neurosci. — 2006. № 7. С. 41–53. Архивировано 3 июля 2016 года.
  81. Björkhem I, Meaney S. Brain cholesterol: long secret life behind a barrier // Arterioscler Thromb Vasc Biol. — 2004. № 24. С. 806—815. Архивировано 2 июля 2017 года.
  82. Синельников Р. Д., Синельников Я. Р. Атлас анатомии человека в 4 томах. Т.4. — М.:: Медицина, 1996. — С. 82. — 320 с. — ISBN 5-225-02723-7.
  83. Синельников Р. Д., Синельников Я. Р. Атлас анатомии человека в 4 томах. Т.4. — М.:: Медицина, 1996. — С. 56. — 320 с. — ISBN 5-225-02723-7.
  84. Duvernoy HM, Risold PY. The circumventricular organs: an atlas of comparative anatomy and vascularization // Brain Res Rev. — 2007. № 56. С. 119—147.
  85. C. Lohmann. Die Blut-Hirn-Schranke in vitro: Regulation der Permeabilität durch Matrixmetalloproteasen // Диссертация. Вестфальский университет имени Вильгельма. — 2003. Архивировано 24 февраля 2013 года.
  86. W. M. Pardridge. Peptide Drug Delivery to the Brain. — Raven Press, 1991. — С. 123. — ISBN 0-88167-793-0.
  87. Chiou WL, Barve A. Linear correlation of the fraction of oral dose absorbed of 64 drugs between humans and rats // Pharm Res. — 1998. № 15. С. 1792—1795. Архивировано 19 мая 2016 года.
  88. Goodwin JT, Clark DE. In silico predictions of blood-brain barrier penetration: considerations to "keep in mind" // J Pharmacol Exp Ther. — 2005. № 315. С. 477—483. Архивировано 20 мая 2016 года.
  89. Lindstedt L, Schaeffer PJ. Use of allometry in predicting anatomical and physiological parameters of mammals // Lab Anim. — 2002. № 36. С. 1—19. Архивировано 18 февраля 2019 года.
  90. Lindstedt L, Schaeffer PJ. A proposed blood circulation model for Reference Man // Health Phys. — 1995. № 69. С. 187—201. Архивировано 18 февраля 2019 года.
  91. Willmann S, Schmitt W, Keldenich J, Lippert J, Dressman JB. A physiological model for the estimation of the fraction dose absorbed in humans // J Med Chem. — 2004. № 47. С. 4022—4031. Архивировано 28 мая 2016 года.
  92. Fagerholm U, Johansson M, Lennernäs H. Comparison between permeability coefficients in rat and human jejunum // J Med Chem. — 1996. № 13. С. 1336—1342. Архивировано 21 мая 2016 года.
  93. Leggett RW, Williams LR. Suggested reference values for regional blood volumes in humans // Health Phys. — 1991. № 60. С. 139—154. Архивировано 18 февраля 2019 года.
  94. G. B. Wislocki. Experimental studies on fetal absorption. I. The vitally stained fetus // Contrib Embryol Carnegie Inst. — 1920. № 5. С. 45—52.
  95. Wakai S, Hirokawa N. Development of the blood-brain barrier to horseradish peroxidase in the chick embryo // Cell Tissue Res. — 1978. № 195. С. 195—203. Архивировано 27 мая 2016 года.
  96. Risau W, Hallmann R, Albrecht U. Differentiation-dependent expression of proteins in brain endothelium during development of the blood-brain barrier // Dev Biol. — 1986. № 117. С. 537—545. Архивировано 29 октября 2012 года.
  97. Reynolds ML, Evans CA, Reynolds EO, Saunders NR, Durbin GM, Wigglesworth JS. Intracranial haemorrhage in the preterm sheep fetus // Early Hum Dev. — 1979. № 3. С. 163—186. Архивировано 18 февраля 2019 года.
  98. L. Stern, R. Peyrot. Le fonctionnement de la barrière hémato-éncephalique aux divers stades de développement chez les diverses espèces animales // Compte Rendu des Societe de Biologie (Paris). — 1927. № 96. С. 1124–1126.
  99. L. Stern et al. Le fonctionnement de la barrière hémato-éncephalique aux divers stades de développement chez les diverses espèces animales // Compte Rendu Soc Biol. — 1929. № 100. С. 231–233.
  100. Saunders NR, Habgood MD, Dziegielewska KM. Barrier mechanisms in the brain, II. Immature brain // Clin Exp Pharmacol Physiol. — 1999. № 26. С. 85–91. Архивировано 2 июня 2016 года.
  101. 1 2 N. R. Saunders. Development of the blood–brain barrier to macromolecules // The Fluids and Barriers of the Eye and Brain / M. B. Segal. — Verlag MacMillan. — Raven Press, 1991. — С. 128—155. — ISBN 0-8493-7707-2.
  102. Schumacher U, Mollgård K. The multidrug-resistance P-glycoprotein (Pgp, MDR1) is an early marker of blood-brain barrier development in the microvessels of the developing human brain // Histochem Cell Biol. — 1997. № 108. С. 179–182. Архивировано 4 июня 2016 года.
  103. Dziegielewska KM, Evans CA, Malinowska DH, Møllgård K, Reynolds JM, Reynolds ML, Saunders NR. Studies of the development of brain barrier systems to lipid insoluble molecules in fetal sheep // J Physiol. — 1979. № 292. С. 207–231. Архивировано 18 февраля 2019 года.
  104. Ferguson RK, Woodbury DM. Penetration of 14C-inulin and 14C-sucrose into brain, cerebrospinal fluid and skeletal muscle of developing rats // Exp Brain Res. — 1969. № 7. С. 181–194. Архивировано 26 мая 2016 года.
  105. Habgood MD, Knott GW, Dziegielewska KM, Saunders NR. The nature of the decrease in blood-cerebrospinal fluid barrier exchange during postnatal brain development in the rat // J Physiol. — 1993. № 468. С. 73–83. Архивировано 26 мая 2016 года.
  106. C. E. Johanson. Ontogeny of the blood–brain barrier // Implications of the Blood–Brain Barrier and Its Manipulation / E. A. Neuwelt. — Plenum Press, 1989. — С. 157—198.
  107. Braun LD, Cornford EM, Oldendorf WH. Newborn rabbit blood-brain barrier is selectively permeable and differs substantially from the adult // J Neurochem. — 1980. № 34. С. 147–152. Архивировано 19 февраля 2019 года.
  108. Cornford EM, Braun LD, Oldendorf WH. Developmental modulations of blood–brain barrier permeability as an indicator of changing nutritional requirements in the brain // Pediatr Res. — 1982. № 16. С. 324–328. Архивировано 4 июня 2016 года.
  109. Brenton DP, Gardiner RM. Transport of L-phenylalanine and related amino acids at the ovine blood-brain barrier // J Physiol. — 1988. № 402. С. 497–514. Архивировано 4 июня 2016 года.
  110. Frank HJ, Jankovic-Vokes T, Pardridge WM, Morris WL. Enhanced insulin binding to blood–brain barrier in vivo and to brain microvessels in vitro in newborn rabbits // Diabetes. — 1985. № 34. С. 728–733. Архивировано 18 февраля 2019 года.
  111. Saunders NR, Knott GW, Dziegielewska KM. Barriers in the immature brain // Cell Mol Neurobiol. — 2000. № 20. С. 29–40. Архивировано 26 мая 2016 года.
  112. Abbott NJ, Bundgaard M. Electron-dense tracer evidence for a blood-brain barrier in the cuttlefish Sepia officinalis // J Neurocytol. — 1992. № 21. С. 276–294. Архивировано 28 мая 2016 года.
  113. Abbott NJ, Pichon Y. The glial blood-brain barrier of crustacea and cephalopods: a review // J Physiol (Paris). — 1982. № 21. С. 304–313. Архивировано 3 июня 2016 года.
  114. 1 2 Abbott NJ. Dynamics of CNS barriers: evolution, differentiation, and modulation // Cell Mol Neurobiol. — 2005. № 25. С. 5–23. Архивировано 18 февраля 2019 года.
  115. N. J. Abbott. Comparative physiology of the blood-brain barrier // Physiology and pharmacology of the bloodbrain barrier / M. W. B. Bradbury. — Springer-Verlag, 1992. — С. 371—396. — ISBN 0-387-54492-5.
  116. N. Hettenbach. Einfluss chronischer elektromagnetischer Befeldung mit Mobilfunkstrahlen (GSM und UMTS) auf die Integrität der Blut-Hirn-Schranke von Ratten // Диссертация. Мюнхенский университет Людвига-Максимилиана. — 2008.
  117. S. I. Rapoport. Blood-brain Barrier in Physiology and Medicine. — Raven Press, 1976. — ISBN 0-89004-079-6.
  118. 1 2 3 M. Fromm. Physiologie des Menschen // Transport in Membranen und Epithelien / R. F. Schmidt, F. Lang. — Verlag Springer. — С. 41—54. — ISBN 978-3-540-32908-4.
  119. I. Sauer. Apolipoprotein E abgeleitete Peptide als Vektoren zur Ьberwindung der Blut-Hirn-Schranke // Диссертация. Свободный университет Берлина. — 2004. Архивировано 10 ноября 2011 года.
  120. 1 2 Egleton RD, Davis TP. Development of neuropeptide drugs that cross the blood-brain barrier // NeuroRx. — 2005. № 2. С. 44—53. Архивировано 18 февраля 2019 года.
  121. Oldendorf WH. Lipid solubility and drug penetration of the blood brain barrier // Proc Soc Exp Biol Med. — 1974. № 147. С. 813—815. Архивировано 19 февраля 2019 года.
  122. 1 2 R. Kaliszan, M. Markuszewski. Brain/blood distribution described by a combination of partition coefficient and molecular mass // International Journal of Pharmaceutics. — 1996. № 145. С. 9—16.
  123. Träuble H. Carriers and specificity in membranes. 3. Carrier-facilitated transport. Kinks as carriers in membranes // Neurosci Res Program Bull. — 1971. № 9. С. 361—372. Архивировано 18 февраля 2019 года.
  124. Träuble H. Phase transitions in lipids. Possible switch processes in biological membranes // Naturwissenschaften. — 1971. № 58. С. 277—284. Архивировано 29 мая 2016 года.
  125. O. Vostowsky. Chemie der Naturstoffe - Lipoproteine und Membranen // Эрлангенский университет. — 2005. № 58. С. 42. Архивировано 29 мая 2016 года.
  126. W. Hoppe, R. D. Bauer. Biophysik. — Verlag Birkhäuser, 1982. — С. 447—448. — ISBN 0-387-11335-5.
  127. Seelig A, Seelig J. The dynamic structure of fatty acyl chains in a phospholipid bilayer measured by deuterium magnetic resonance // Biochemistry. — 1974. № 13. С. 4839—4845. Архивировано 18 февраля 2019 года.
  128. A. Elbert. Die Permeation kleiner polarer Moleküle durch Phospholipidmodellmembranen // Диссертация. Университет Кайзерслаутерна. — 1999. Архивировано 10 ноября 2011 года.
  129. Seelig A, Gottschlich R, Devant RM. A method to determine the ability of drugs to diffuse through the blood-brain barrier // Proc Natl Acad Sci U S A. — 1994. № 91. С. 68—72. Архивировано 18 февраля 2019 года.
  130. 1 2 Dhopeshwarkar GA, Mead JF. Uptake and transport of fatty acids into the brain and the role of the blood-brain barrier system // Adv Lipid Res. — 1973. № 11. С. 109—142. Архивировано 18 февраля 2019 года.
  131. Gerebtzoff G, Seelig A. In silico prediction of blood-brain barrier permeation using the calculated molecular cross-sectional area as main parameter // J Chem Inf Model. — 2006. № 46. С. 2638—2650. Архивировано 18 февраля 2019 года.
  132. Seelig A, Gottschlich R, Devant RM. A method to determine the ability of drugs to diffuse through the blood-brain barrier // Proc Natl Acad Sci USA. — 1994. № 91. С. 68—72. Архивировано 18 февраля 2019 года.
  133. Pardridge WM. The blood-brain barrier: bottleneck in brain drug development // NeuroRx. — 2005. № 2. С. 3—14. Архивировано 19 февраля 2019 года.
  134. W. H. Oldendorf. Measurement of brain uptake of radiolabeled substances using a tritiated water internal standard // Brain Res. — 1970. № 24. С. 372–376. Архивировано 18 февраля 2019 года.
  135. Dolman D, Drndarski S, Abbott NJ, Rattray M. Induction of aquaporin 1 but not aquaporin 4 messenger RNA in rat primary brain microvessel endothelial cells in culture // J Neurochem. — 2005. № 93. С. 825—833. Архивировано 1 июня 2016 года.
  136. Bloch O, Manley GT. The role of aquaporin-4 in cerebral water transport and edema // Neurosurg Focus. — 2007. № 22 (E3). Архивировано 18 февраля 2019 года.
  137. Verkman AS. More than just water channels: unexpected cellular roles of aquaporins // J Cell Sci. — 2005. № 118. С. 3225—3232. Архивировано 22 февраля 2017 года.
  138. Badaut J, Brunet JF, Regli L. Aquaporins in the brain: from aqueduct to "multi-duct" // Metab Brain Dis. — 2007. № 3—4. С. 251—263. Архивировано 19 февраля 2019 года.
  139. Agus DB, Gambhir SS, Pardridge WM, Spielholz C, Baselga J, Vera JC, Golde DW. Vitamin C crosses the blood-brain barrier in the oxidized form through the glucose transporters // J Clin Invest. — 1997. № 100. С. 2842—2848. Архивировано 26 мая 2016 года.
  140. Dahlin A, Royall J, Hohmann JG, Wang J. Expression profiling of the solute carrier gene family in the mouse brain // J Pharmacol Exp Ther. — 2009. № 329. С. 558—570. Архивировано 23 сентября 2017 года.
  141. Cornford EM, Hyman S. Blood-brain barrier permeability to small and large molecules // Adv Drug Deliv Rev. — 1999. № 36. С. 145—163. Архивировано 3 июня 2016 года.
  142. Zloković BV, Lipovac MN, Begley DJ, Davson H, Rakić L. Transport of leucine-enkephalin across the blood-brain barrier in the perfused guinea pig brain // J Neurochem. — 1987. № 49. С. 310—315. Архивировано 18 февраля 2019 года.
  143. Zlokovic BV, Mackic JB, Djuricic B, Davson H. Kinetic analysis of leucine-enkephalin cellular uptake at the luminal side of the blood-brain barrier of an in situ perfused guinea-pig brain // J Neurochem. — 1989. № 53. С. 1333—40. Архивировано 18 февраля 2019 года.
  144. Zlokovic BV, Hyman S, McComb JG, Lipovac MN, Tang G, Davson H. Kinetics of arginine-vasopressin uptake at the blood-brain barrier // Biochim Biophys Acta. — 1990. № 1025. С. 191—198. Архивировано 18 февраля 2019 года.
  145. Thomas SA, Abbruscato TJ, Hruby VJ, Davis TP. The entry of [D-penicillamine2,5enkephalin into the central nervous system: saturation kinetics and specificity] // J Pharmacol Exp Ther. — 1997. № 280. С. 1235—1240. Архивировано 18 февраля 2019 года.
  146. Begley DJ. ABC transporters and the blood-brain barrier // Curr Pharm Des. — 2004. № 10. С. 1295—1312. Архивировано 3 июля 2016 года.
  147. Rao VV, Dahlheimer JL, Bardgett ME, Snyder AZ, Finch RA, Sartorelli AC, Piwnica-Worms D. Choroid plexus epithelial expression of MDR1 P glycoprotein and multidrug resistance-associated protein contribute to the blood-cerebrospinal-fluid drug-permeability barrier // Proc Natl Acad Sci USA. — 1999. № 96. С. 3900—5. Архивировано 18 февраля 2019 года.
  148. Thiebaut F, Tsuruo T, Hamada H, Gottesman MM, Pastan I, Willingham MC. Immunohistochemical localization in normal tissues of different epitopes in the multidrug transport protein P170: evidence for localization in brain capillaries and crossreactivity of one antibody with a muscle protein // J Histochem Cytochem. — 1989. № 37. С. 159—164. Архивировано 26 мая 2016 года.
  149. Seetharaman S, Barrand MA, Maskell L, Scheper RJ. Multidrug resistance-related transport proteins in isolated human brain microvessels and in cells cultured from these isolates // J Neurochem. — 1998. № 70. С. 1151—1159. Архивировано 26 мая 2016 года.
  150. Cooray HC, Blackmore CG, Maskell L, Barrand MA. Localisation of breast cancer resistance protein in microvessel endothelium of human brain // Neuroreport. — 2002. № 13. С. 2059—2063. Архивировано 29 мая 2016 года.
  151. Eisenblätter T, Galla HJ. A new multidrug resistance protein at the blood-brain barrier // Biochem Biophys Res Commun. — 2002. № 293. С. 1273—1278. Архивировано 18 февраля 2019 года.
  152. Tanaka Y, Abe Y, Tsugu A, Takamiya Y, Akatsuka A, Tsuruo T, Yamazaki H, Ueyama Y, Sato O, Tamaoki N, et al. Ultrastructural localization of P-glycoprotein on capillary endothelial cells in human gliomas // Virchows Arch. — 1994. № 425. С. 133—138. Архивировано 18 февраля 2019 года.
  153. de Lange EC. Potential role of ABC transporters as a detoxification system at the blood-CSF barrier // Adv Drug Deliv Rev. — 2004. № 56. С. 1793—1809. Архивировано 20 февраля 2019 года.
  154. Wolosker H, Panizzutti R, De Miranda J. Neurobiology through the looking-glass: D-serine as a new glial-derived transmitter // Neurochem Int. — 2002. № 41. С. 327—332. Архивировано 18 февраля 2019 года.
  155. Zorumski CF, Olney JW. Excitotoxic neuronal damage and neuropsychiatric disorders // Pharmacol Ther. — 1993. № 59. С. 145—165. Архивировано 18 февраля 2019 года.
  156. Hosoya K, Sugawara M, Asaba H, Terasaki T. Blood-brain barrier produces significant efflux of L-aspartic acid but not D-aspartic acid: in vivo evidence using the brain efflux index method // J Neurochem. — 1999. № 73. С. 1206—1211. Архивировано 26 мая 2016 года.
  157. Palacín M, Estévez R, Bertran J, Zorzano A. Molecular biology of mammalian plasma membrane amino acid transporters // Physiol Rev. — 1998. № 78. С. 969—1054. Архивировано 26 мая 2016 года.
  158. Löscher W, Potschka H. Blood-brain barrier active efflux transporters: ATP-binding cassette gene family // NeuroRx. — 2005. № 2. С. 86—98. Архивировано 18 февраля 2019 года.
  159. Tishler DM, Weinberg KI, Hinton DR, Barbaro N, Annett GM, Raffel C. MDR1 gene expression in brain of patients with medically intractable epilepsy // NeuroRx. — 1995. № 36. С. 1—6. Архивировано 21 мая 2016 года.
  160. Kusuhara H, Sekine T, Utsunomiya-Tate N, Tsuda M, Kojima R, Cha SH, Sugiyama Y, Kanai Y, Endou H. Molecular cloning and characterization of a new multispecific organic anion transporter from rat brain // J Biol Chem. — 1999. № 274. С. 13675—13680. Архивировано 18 февраля 2019 года.
  161. Gao B, Stieger B, Noé B, Fritschy JM, Meier PJ. Localization of the organic anion transporting polypeptide 2 (Oatp2) in capillary endothelium and choroid plexus epithelium of rat brain // J Histochem Cytochem. — 1999. № 47. С. 1255—1264. Архивировано 26 мая 2016 года.
  162. Roberts RL, Fine RE, Sandra A. Receptor-mediated endocytosis of transferrin at the blood-brain barrier // J Cell Sci. — 1993. № 104. С. 521—532. Архивировано 28 мая 2016 года.
  163. Dehouck B, Dehouck MP, Fruchart JC, Cecchelli R. Upregulation of the low density lipoprotein receptor at the blood-brain barrier: intercommunications between brain capillary endothelial cells and astrocytes // J Cell Biol. — 1994. № 126. С. 465—473. Архивировано 18 мая 2016 года.
  164. Duffy KR, Pardridge WM, Rosenfeld RG. Human blood-brain barrier insulin-like growth factor receptor // Metabolism. — 1988. № 37. С. 136—140. Архивировано 4 июня 2016 года.
  165. Tamai I, Sai Y, Kobayashi H, Kamata M, Wakamiya T, Tsuji A. Structure-internalization relationship for adsorptive-mediated endocytosis of basic peptides at the blood-brain barrier // J Pharmacol Exp Ther. — 1997. № 280. С. 410—415. Архивировано 4 июня 2016 года.
  166. Smith MW, Gumbleton M. Endocytosis at the blood-brain barrier: from basic understanding to drug delivery strategies // J Drug Target. — 2006. № 14. С. 191—214. Архивировано 19 февраля 2019 года.
  167. Hervé F, Ghinea N, Scherrmann JM. CNS delivery via adsorptive transcytosis // J Drug Target. — 2008. № 10. С. 455—472. Архивировано 18 февраля 2019 года.
  168. Scherrmann JM. Drug delivery to brain via the blood-brain barrier // Vascul Pharmacol. — 2002. № 38. С. 349—354. Архивировано 18 февраля 2019 года.
  169. Bodor N, Buchwald P. Recent advances in the brain targeting of neuropharmaceuticals by chemical delivery systems // Adv Drug Deliv Rev. — 1999. № 36. С. 229—254. Архивировано 18 февраля 2019 года.
  170. 1 2 3 Bickel U. How to measure drug transport across the blood-brain barrier // NeuroRx. — 2005. № 2. С. 15—26. Архивировано 18 февраля 2019 года.
  171. 1 2 J. Fenstermacher, L. Wei. Measuring local cerebral capillary permeability-surface area products by quantitative autoradiography // Introduction to the Blood-brain Barrier / W. M. Pardridge. — Cambridge University Press, 1998. — С. 122—132. — ISBN 0-521-58124-9.
  172. C. Crone, D. G. Levitt. Capillary permeability to small solutes // Handbook of Physiology. — American Physiological Society, 1984. — С. 375—409.
  173. Lasbennes F, Gayet J. Capacity for energy metabolism in microvessels isolated from rat brain // Neurochem Res. — 1984. № 9. С. 1—10. Архивировано 18 февраля 2019 года.
  174. Miller DS, Nobmann SN, Gutmann H, Toeroek M, Drewe J, Fricker G. Xenobiotic transport across isolated brain microvessels studied by confocal microscopy // Mol Pharmacol. — 2000. № 58. С. 1357—1367. Архивировано 18 февраля 2019 года.
  175. Huwyler J, Pardridge WM. Examination of blood-brain barrier transferrin receptor by confocal fluorescent microscopy of unfixed isolated rat brain capillaries // J Neurochem. — 1998. № 70. С. 883—886. Архивировано 18 февраля 2019 года.
  176. 1 2 Banks W. A. From blood-brain barrier to blood-brain interface: new opportunities for CNS drug delivery (англ.) // Nat. Rev. Drug Discov. — 2016. Vol. 15, no. 4. P. 275—292. doi:10.1038/nrd.2015.21.
  177. 1 2 3 4 5 Сайт всемирной организации здоровья. Дата обращения: 15 мая 2010. Архивировано 25 марта 2013 года.
  178. De Vivo DC, Trifiletti RR, Jacobson RI, Ronen GM, Behmand RA, Harik SI. Defective glucose transport across the blood-brain barrier as a cause of persistent hypoglycorrhachia, seizures, and developmental delay // NEJM. — 1991. № 325. С. 703—709. Архивировано 14 мая 2016 года.
  179. Horani MH, Mooradian AD. Effect of diabetes on the blood brain barrier // Curr Pharm Des. — 2003. № 9. С. 833—840.
  180. Correale J, Villa A. The blood-brain-barrier in multiple sclerosis: functional roles and therapeutic targeting // Autoimmunity. — 2007. № 40. С. 148—160.
  181. Dirnagl U, Iadecola C, Moskowitz MA. Pathobiology of ischaemic stroke: an integrated view // Trends Neurosci. — 1999. № 22. С. 391—397. Архивировано 22 февраля 2017 года.
  182. Kuroda S, Siesjö BK. Reperfusion damage following focal ischemia: pathophysiology and therapeutic windows // Clin Neurosci. — 1997. № 4. С. 199—212.
  183. Planas AM, Gorina R, Chamorro A. Signalling pathways mediating inflammatory responses in brain ischaemia // Biochem Soc Trans. — 2006. № 34. С. 1267—1270.
  184. 1 2 3 4 Weiss N, Miller F, Cazaubon S, Couraud PO. The blood-brain barrier in brain homeostasis and neurological diseases // Biochim Biophys Acta. — 2009. № 1788. С. 842—857. Архивировано 18 февраля 2019 года.
  185. Zysk G, Schneider-Wald BK, Hwang JH, Bejo L, Kim KS, Mitchell TJ, Hakenbeck R, Heinz HP. Pneumolysin is the main inducer of cytotoxicity to brain microvascular endothelial cells caused by Streptococcus pneumoniae // Infect Immun. — 2001. № 69. С. 845—852.
  186. Banks WA, Freed EO, Wolf KM, Robinson SM, Franko M, Kumar VB. Transport of human immunodeficiency virus type 1 pseudoviruses across the blood-brain barrier: role of envelope proteins and adsorptive endocytosis // J Virol. — 2001. № 75. С. 4681—4691. Архивировано 20 мая 2016 года.
  187. Квитницкий-Рыжов Ю. Н. Современное учение об отёке и набухании головного мозга. — Здоров’я. — Київ, 1988.
  188. А. В. Кузнецов, О. Н. Древаль. Посттравматические менингит и менингоэнцефалит // Клиническое руководство по черепно-мозговой травме / Под редакцией А. Н. Коновалова, Л. Б. Лихтермана, А. А. Потапова. — М.:: "Антидор", 2002. — Т. 3. — С. 420. — 632 с. 1100 экз. — ISBN 5-900833-13-5.

Литература

  • Гемато-энцефалический барьер / Кассиль Г. Н. // Газлифт — Гоголево. М. : Советская энциклопедия, 1971. — (Большая советская энциклопедия : [в 30 т.] / гл. ред. А. М. Прохоров ; 1969—1978, т. 6).
  • Штерн Л. С. Гемато-энцефалический барьер. М.—Л.: Биомедгиз, 1935.
  • Майзелис М. Я. Гемато-энцефалический барьер и его регуляция. М. : Медицина, 1961.
  • Кассиль Г. Н. Гемато-энцефалический барьер: Анатомия, физиология. Методы исследования. Клиника.. М. : Издательство АН СССР, 1963.
  • Кассиль Г. Н. Мозговой барьер // Наука и жизнь : журнал. — 1986.   11. — С. 97-101.

Ссылки