Гидроторакс

Гидроторакс
МКБ-10 J94.8
МКБ-9 511.8
DiseasesDB 10122
MeSH D006876
Логотип Викисклада Медиафайлы на Викискладе

Гидрото́ракс (лат. hydrothorax от др.-греч. ὕδωρ — вода + θώραξ — грудь) — скопление жидкости невоспалительного происхождения (транссудата) в плевральной полости.

Может возникать при сердечной недостаточности, сопровождающейся застоем крови в большом круге кровообращения; заболеваниях почек, особенно с формированием нефротического синдрома; циррозах печени; асците различного генеза; синдроме нарушенного всасывания; алиментарной дистрофии; перитонеальном диализе; микседеме; при опухолях средостения.

Патогенез

Основным механизмом накопления жидкости в плевральных полостях при сердечной недостаточности является повышение гидростатического давления в большом и малом кругах кровообращения.

Формирование гидроторакса при болезнях почек, синдроме нарушенного всасывания, алиментарной дистрофии и микседеме обусловлено снижением онкотического давления плазмы крови в результате гипоальбуминемии.

Развитие гидроторакса при асците и перитонеальном диализе связано с непосредственным поступлением жидкости из брюшной полости в плевральную через поры в диафрагме в результате повышения внутрибрюшного давления.

При циррозах печени гидроторакс может быть обусловлен как гипоальбуминемией, так и проникновением асцитической жидкости из брюшной полости в плевральную.

Гидроторакс при опухолях средостения возникает вследствие местного нарушения оттока крови и лимфы.

Клиническая картина

Клиническая картина гидроторакса определяется объёмом жидкости в плевральных полостях и симптомами заболевания, послужившего его причиной.

В большинстве случаев гидроторакс бывает двусторонним. Объём плеврального выпота может быть незначительным или массивным, достигая нескольких литров.

Значительное накопление жидкости в плевральных полостях приводит к сдавлению лёгких и смещению органов средостения, что сопровождается появлением симптомов дыхательной недостаточности — одышки, цианоза.

Лихорадка, боли в грудной клетке не характерны.

Гидроторакс нередко сочетается с периферическими отёками, распространённым отёком подкожной клетчатки (анасаркой), скоплением транссудата в полости перикарда — гидроперикардом.

У больных обычно выявляются тяжёлые болезни сердца, почек, печени и другие патологические состояния, послужившие причиной развития гидроторакса.

Диагностика

При физикальном исследовании над зоной накопления жидкости удаётся выявить ослабление или отсутствие голосового дрожания; приглушённый или тупой перкуторный звук с косой верхней границей; отсутствие дыхательных шумов. Важным диагностическим признаком плеврального выпота является смещение перкуторной границы тупости при изменении положения больного.

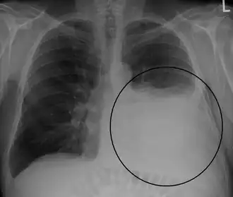
Рентгенологическое исследование позволяет обнаружить гомогенную тень жидкости с верхней границей, смещающейся при наклоне тела. Обязательным условием правильного распознавания плеврального выпота является рентгенологическое исследование в латеропозиции. С помощью ультразвукового метода можно выявить даже небольшое количество жидкости в плевральной полости и выбрать место для плевральной пункции.

Плевральная пункция при гидротораксе носит лечебно-диагностический характер. Помимо лечебного эффекта при массивном гидротораксе, она позволяет уточнить характер плеврального выпота и провести дифференциальный диагноз с плевритом, гемотораксом и хилотораксом.

Так, транссудат в отличие от экссудата, накапливающегося в плевральной полости при плеврите, представляет собой прозрачную жидкость соломенно-жёлтого цвета, иногда геморрагического характера, не имеющую запаха, с щелочной реакцией. Количество белка в нём не превышает 30 г/л, удельный вес обычно колеблется от 1,006 до 1,012 г/мл. Содержание фибриногена скудное. После центрифугирования при микроскопии осадка обнаруживают клетки эндотелия (мезотелия), небольшое количество лейкоцитов — менее 1000 в 1 мкл.

При гемотораксе во время плевральной пункции получают кровь, при хилоторакселимфу.

Лечение

Лечение направлено на устранение причины гидроторакса, т.е. лечение основного заболевания (сердечной недостаточности, цирроза и др.) вызвавшего развитие гидроторакса.

При массивном гидротораксе, сопровождающемся дыхательной недостаточностью, показано медленное удаление содержимого плевральной полости во время плевральной пункции.

Гидроторакс у животных

Заболевание регистрируется сравнительно редко, преимущественно среди собак и лошадей. В большинстве случаев гидроторакс является симптомом при общей водянке организма или сердечно-сосудистой недостаточности. В первое время с помощью компенсаторных механизмов газообмен в организме поддерживается на достаточном уровне. При прогрессировании накопления транссудата в плевральной полости наступает резко выраженное расстройство легочного, а затем и тканевого газообмена, что может быть причиной смерти от асфиксии или паралича сосудо-двигательного центра. Диагноз ставят на основании характерных клинических признаков и рентгенологических исследований. Пункцией плевральной полости получают транссудат. В отличие от плеврита не выражена болезненность межреберных промежутков.[1]

См. также

Примечания

  1. И.Г.Шарабрин и др. Внутренние незаразные болезни сельскохозяйственных животных. М.: Агропромиздат, 1985. — 527 с.

Литература

  • Лайт Р. У. Болезни плевры, пер. с англ., с. 111, М., 1986; Справочник по пульмонологии, под. ред. Н. В. Путова и др., с. 61, Л., 1987.
  • Малая медицинская энциклопедия. — М.: Медицинская энциклопедия. 1991—96 гг. 2. Первая медицинская помощь. — М.: Большая Российская Энциклопедия. 1994 г. 3. Энциклопедический словарь медицинских терминов. — М.: Советская энциклопедия. — 1982—1984 гг.
  • Гарбузенко Д.В.  Гидроторакс при заболеваниях печени: патогенез, диагностика, лечение // Клинич. медицина - 2018. - Т. 96, № 7. - С. 604-611.