Гранулёма
| Гранулёма | |
|---|---|
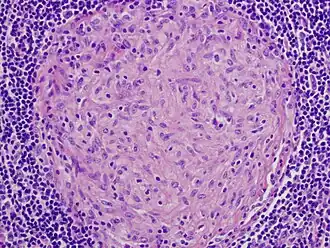
![]() Микроскопическая картина гранулёмы в лимфатическом узле (инфекция Mycobacterium avium). | |
| МКБ-10 | L92 |
| МКБ-9 | 686.1, 709.4 |
| MeSH | D006099 |
Гранулемато́зное воспале́ние — воспаление, которое характеризуется образованием гранулём, возникающих в результате пролиферации и трансформации способных к фагоцитозу клеток.
Образование
Морфогенез гранулёмы складывается из 4 стадий:
- Накопление в очаге повреждения ткани юных моноцитарных фагоцитов;
- Созревание этих клеток в макрофаги и образование макрофагальной гранулёмы;
- Созревание и трансформация моноцитарных фагоцитов и макрофагов в эпителиоидные клетки и образование эпителиоидной клеточной гранулёмы;
- Слияние эпителиоидных клеток (или макрофагов) и образование гигантских клеток (клеток инородных тел, или клеток Пирогова — Лангханса[1]) и эпителиоидноклеточной или гигантоклеточной гранулёмы. Гигантские клетки характеризуются значительным полиморфизмом: от 2—3-ядерных до гигантских симпластов, содержащих 100 ядер и более. В гигантских клетках инородных тел ядра располагаются в цитоплазме равномерно, в клетках Пирогова — Лангханса — преимущественно по периферии. Диаметр гранулём, как правило, не превышает 1—2 мм; чаще они обнаруживаются лишь под микроскопом. Исходом гранулёмы является склероз.
Таким образом, руководствуясь морфологическими признаками, следует различать три вида гранулём:
- Макрофагальная гранулёма (простая гранулёма, или фагоцитома);
- Эпителиоидно-клеточная гранулёма (эпителиоидоцитома);
- Гигантоклеточная гранулёма.
В зависимости от уровня метаболизма различают гранулёмы с низким и высоким уровнями обмена. Гранулёмы с низким уровнем обмена возникают при воздействии инертными веществами (инертные инородные тела) и состоят в основном из гигантских клеток инородных тел. Гранулёмы с высоким уровнем обмена появляются при действии токсических раздражителей (микобактерии туберкулёза, лепры и другие) и представлены эпителиоидно-клеточными узелками.
Этиология
Этиология гранулематоза разнообразна. Различают инфекционные, неинфекционные и неустановленной природы гранулёмы. Инфекционные гранулёмы находят при сыпном и брюшном тифах, ревматизме, бешенстве, вирусном энцефалите, туляремии, бруцеллёзе, туберкулёзе, сифилисе, лепре, склероме. Неинфекционные гранулёмы встречаются при пылевых болезнях (силикоз, талькоз, асбестоз, биссиноз и другие), медикаментозных воздействиях (гранулематозный гепатит, олеогранулематозная болезнь); они появляются также вокруг инородных тел. К гранулёмам неустановленной природы относят гранулёмы при саркоидозе, болезнях Крона и Хортона, гранулематоз Вегенера и другие. Руководствуясь этиологией, в настоящее время выделяют группу гранулематозных болезней. Нередко возникает при запущенных формах кариеса.
Патогенез
Патогенез гранулематоза неоднозначен. Известно, что для развития гранулёмы необходимы два условия: наличие веществ, способных стимулировать систему моноцитарных фагоцитов, созревание и трансформацию макрофагов, и стойкость раздражителя по отношению к фагоцитам. Эти условия неоднозначно воспринимаются иммунной системой. В одних случаях гранулёма, в эпителиоидных и гигантских клетках которой резко снижена фагоцитарная активность, иначе фагоцитоз, подменяется эндоцитобиозом, становится выражением реакции гиперчувствительности замедленного типа. В этих случаях говорят об иммунной гранулёме, которая имеет обычно морфологию эпителиоидно-клеточной с гигантскими клетками Лангханса. В других случаях, когда фагоцитоз в клетках гранулёмы относительно достаточен, говорят о неиммунной гранулёме, которая представлена обычно фагоцитомой, реже — гигантоклеточной гранулёмой, состоящей из клеток инородных тел.
Классификация
Гранулёмы делят также на специфические и неспецифические. Специфическими называют те гранулёмы, морфология которых относительно специфична для определённого инфекционного заболевания, возбудитель которого можно найти в клетках гранулёмы при гистобактериоскопическом исследовании. К специфическим гранулёмам (ранее они были основой так называемого специфического воспаления) относят гранулёмы при туберкулёзе, сифилисе, лепре и склероме.
Туберкулёзная гранулёма имеет следующее строение: в центре неё расположен очаг некроза, по периферии — вал из эпителиоидных клеток и лимфоцитов с примесью макрофагов и плазматических клеток. Между эпителиоидными клетками и лимфоцитами располагаются гигантские клетки Пирогова, которые весьма типичны для туберкулёзной гранулёмы. При импрегнации солями серебра среди клеток гранулёмы обнаруживается сеть аргирофильных волокон. Небольшое число кровеносных капилляров обнаруживается только в наружных зонах бугорка. При окраске по Цилю — Нильсену в гигантских клетках выявляют микобактерии туберкулёза.
Сифилитическая гранулёма (гумма) представлена обширным очагом некроза, окружённым клеточным инфильтратом из лимфоцитов, плазмоцитов и эпителиоидных клеток; гигантские клетки Лангганса встречаются редко. Для гуммы весьма характерно быстрое образование вокруг очага некроза соединительной ткани с множеством сосудов с пролиферирующим эндотелием (эндоваскулиты). Иногда в клеточном инфильтрате удается выявить методом серебрения бледную трепонему.
Лепрозная гранулёма (лепрома) представлена узелком, состоящим в основном из макрофагов, а также лимфоцитов и плазматических клеток. Среди макрофагов выделяются большие с жировыми вакуолями клетки, содержащие упакованные в виде шаров микобактерии лепры. Эти клетки, весьма характерные для лепромы, называют лепрозными клетками Вирхова. Распадаясь, они высвобождают микобактерии, которые свободно располагаются среди клеток лепромы. Количество микобактерий в лепроме огромно. Лепромы нередко сливаются, образуя хорошо васкуляризированную лепроматозную грануляционную ткань.
Склеромная гранулёма состоит из плазматических и эпителиоидных клеток, а также лимфоцитов, среди которых много гиалиновых шаров. Очень характерно появление крупных макрофагов со светлой цитоплазмой, называемых клетками Микулича. В цитоплазме выявляется возбудитель болезни — палочки Волковича — Фриша. Характерен также значительный склероз и гиалиноз грануляционной ткани.
Сперматозоальная гранулëма[2].
Неспецифические гранулёмы не имеют характерных черт, присущих специфическим гранулёмам. Они встречаются при ряде инфекционных (например, сыпнотифозная и брюшнотифозная гранулёмы, лейшманиома) и неинфекционных (например, гранулёмы при силикозе и асбестозе, гранулёмы инородных тел) заболеваний.
Апикальная или периапикальная гранулема — это чётко очерченный воспалительный очаг из разрастающейся грануляционной ткани, спаянный с верхушкой корня зуба. Разрастание грануляционной ткани происходит в ответ на воспалительный процесс в десне. Новообразование не рассасывается самостоятельно, а потому требует лечения[3].
Исход гранулём двоякий — некроз или склероз, развитие которого стимулируют монокины (интерлейкин I) фагоцитов.
Литература
- Воспаление (в части про Гранулематозное воспаление) / А. И. Струков, А. М. Чернух // Большая медицинская энциклопедия : в 30 т. / гл. ред. Б. В. Петровский. — 3-е изд. — М. : Советская энциклопедия, 1977. — Т. 4 : Валин — Гамбия. — 576 с. : ил.
- Гранулёма / Пермяков H. К. // Большая медицинская энциклопедия : в 30 т. / гл. ред. Б. В. Петровский. — 3-е изд. — М. : Советская энциклопедия, 1977. — Т. 6 : Гипотиреоз — Дегенерация. — 632 с. : ил.
- Пауков В. С., Коган Е. А. Иммунное гранулематозное воспаление как приспособительная реакция организма / УДК 616—002.77-[092:612.017.1]-076.5-073.537 // Журнал «Архив патологии». — 2014. — Т. 76. — № 4. — ISSN 0004-1955. — С. 39—44.
- Струков А. И., Серов В. В. Патологическая анатомия. — М.: Медицина, 1995.
Примечания
- ↑ Ариэль Б. М., Литвинов А. В. Исторический экскурс: Гигантские многоядерные клетки туберкулёзной гранулёмы // Проблемы туберкулёза и болезней лёгких. — 2005. — № 11. — С. 59—61.Архивная копия от 1 января 2015 на Wayback Machine
- ↑ Пытель А. Я. Сперматозоальная гранулëма // Большая медицинская энциклопедия : в 30 т. / гл. ред. Б. В. Петровский. — 3-е изд. — М. : Советская энциклопедия, 1985. — Т. 24 : Сосудистый шов — Тениоз. — 544 с. : ил.
- ↑ Гранулёма зуба. Причины, симптомы, лечение народными средствами. ikista.ru (26 октября 2017). Дата обращения: 23 августа 2018. Архивировано 24 августа 2018 года.
