Кожа

Ко́жа (лат. cutis; др.-греч. δέρμα [ˈdɛrmə]) — наружный покров тела животных (в том числе и людей)[1] — орган[2]. В биологии — наружный покров позвоночных животных. Кожа защищает тело от широкого спектра внешних воздействий, участвует в дыхании, терморегуляции, обменных и многих других процессах. Кроме того, кожа представляет собой массивное рецептивное поле различных видов поверхностной чувствительности (боли, давления, температуры). Кожа является самым большим по площади органом[3]. Площадь кожи у взрослого человека достигает 1,5-1,6 м²[4], масса 4-6 %, а вместе с подкожной клетчаткойгиподермой») 16-17 % от общей массы тела[5]. Толщина кожи человека в зависимости от участка тела: дермы — 0,5-5 мм, эпидермиса — 35 мкм — 1,5 мм[6]. Кожа является органом одного из 5 чувств — осязания.

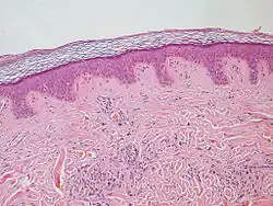
Строение кожи

Эпидермис и дерма кожи человека. Гистопрепарат, окраска гематоксилин-эозином

Кожа состоит из эпидермиса, дермы[6][7]:

  • Эпидермис (кожица) у разных видов животных образован различным эпителием.
    В местах перехода кожи на слизистую оболочку (губы, ноздри, наружные половые органы (в преддверии влагалища у женщин и в уретру у мужчин), веки, анус) структура эпидермиса меняется нося переходной характер. Эпидермис также содержит меланоциты, накапливающие меланин, что придаёт коже разные оттенки в зависимости от генетической индивидуальности и расовой принадлежности, изменяет цвет кожи при загаре, у человека часть эпидермиса в области промежности и околососковой области гиперпигментирована. У ряда других животных в окраске кожи могут играть роль и другие хроматофоры. Многослойный слущивающийся эпителий эпидермиса выполняет барьерную защитную функцию организма, предохраняя от проникновения агрессивных химических веществ, патогенов (совместно с микрофлорой кожи), излишнего испарения влаги из подлежащих слоёв, ультрафиолетового излучения, а также участвует в синтезе витамина D и т. д. Клетки эпидермиса на протяжении всей жизни делятся и растут продвигаясь из нижнего слоя в верхний, с которого происходит механическое слущивание верхнего слоя. У некоторых животных, кроме того наблюдается периодическая смена эпидермиса или придатков во время линьки.
    У человека большая части кожи образована многослойным плоским ороговевающим эпителием и включает пять слоёв:
    • базальный — самый нижний, располагается на базальной мембране и представлен 1 рядом призматических эпителиальных клеток;
    • шиповатый — располагается над базальным (3—8 рядов клеток с цитоплазматическими выростами);
    • зернистый слой (1—5 рядов уплощённых клеток);
    • блестящий, или гиалиновый (2—4 ряда безъядерных клеток, особенно развит на ладонях и стопах);
    • роговой слой, состоящий из полностью ороговевших клеток (кератиноцитов), пропитанных выделениями сальных и потовых желёз.
  • Дерма представляет собой соединительную ткань, в которой выделяются 2 слоя — сосочковый, на котором располагаются многочисленные выросты, содержащие в себе петли капилляров и нервные окончания, и сетчатый, содержащий кровеносные и лимфатические сосуды, нервные окончания, фолликулы волос, железы, а также эластические, коллагеновые и гладкомышечные волокна, придающие коже прочность и эластичность.

На поверхности могут иметься её анатомические производные — образования, которые получают развитие из кожи и её зачатков. Различные выделения желёз, расположенных в коже, также являются частью наружного покрова организма.

Под кожей располагается подкожная-жировая клетчатка (иногда называемой гиподермой) соединяющая кожу с нижележащими структурами и выраженная на разных участках тела по разному. Подкожная-жировая клетчатка состоит из пучков рыхлой соединительной ткани и жировой ткани, пронизанных кровеносными сосудами и нервными волокнами. Физиологическая функция жировой ткани заключается в накоплении и хранении питательных веществ, термоизоляции, механической защите[8].

В толще кожи располагаются гладкомышечные волокна мышц, поднимающих волосы (лат. musculus arrectores pilorum) волосяных луковиц, участвующих в пилоэрекции, у человека носящей в основном рудиментарный характер. Кроме них, в кожу вплетаются мышечные и сухожильные волокна поперечнополосатых скелетных мышц: парных мышц, поднимающих яички, участвующих в кремастерном рефлексе, подкожной мышцы шеи и мимических мышц.

Производные элементы (придатки)

К придаткам кожи относятся[6][7]:

К придаткам кожи человека относят волосы, потовые и сальные железы; особенный интерес они представляют для комбустиологии, поскольку их структуры обеспечивают эпителизацию ран и восстановление кожного покрова при ожогах[19], а также в микологии (онихомикозы, пиломикозы, трихофития и т. д. при которых поражаются кожа и её придатки).

Волосы

Для человека выделяют 3 типа волос: длинные, щетинистые и пушковые; не покрыты волосами только ладони, подошвы, ладонные и подошвенные поверхности пальцев, дистальные фаланги пальцев, красная кайма губ, головка полового члена, внутренний листок крайней плоти, малые половые губы и клитор[20].

Функции кожи

Повышенная растяжимость кожи при синдроме дряблой кожи (гиперэластоз), возникающем при некоторых врождённых коллагенозных заболеваниях (к примеру, синдром Элерса — Данлоса и т. д.):
Пётр Шпаннер, 1891 год

Функции кожи следующие[21]:

  • дыхательная — связана со способностью кожи поглощать кислород и выделять углекислый газ;
  • защитная — проявляется в защите организма от действия механических и химических факторов, ультрафиолетового излучения, проникновения микробов, потери и попадания извне воды;
  • терморегуляторная, защита от гипертермии и гипотермии происходящая за счёт контактной передачи тепла, теплового излучения и испарения пота, термоизоляции за счёт прослойки воздуха в шерстяном и перьевых покровах, жировой ткани, особенностей кровообращения кожи;
  • участие в водно-солевом обмене, связано с потоотделением;
  • экскреторная выведение с потом продуктов обмена, солей, лекарств; усиливается в случае гипофункции почек;
  • депонирование крови — до 1 л крови в поверхностных и сосудистых сплетениях дермы;
  • эндокринная и метаболическая — синтез и накопление витамина D, а также некоторых гормонов;
  • рецепторная, осуществляемая благодаря наличию многочисленных нервных окончаний;
  • иммунная — захват, процессинг и транспорт антигенов с последующим развитием иммунной реакции.

Различают:

  • толстую кожу (на ладонях и подошвах) — образована толстым (400—600 мкм) эпидермисом, нет волос и сальных желёз[21];
  • тонкую кожу (на остальных частях тела) — состоит из тонкого (70-140 мкм) эпидермиса; есть волосы и кожные железы[21][4].

Кожа как орган чувств

Каждый цвет соответствует участку кожи, иннервируемому соответствующим нервом от спинного мозга

Кожу можно рассматривать как совокупность множества рецептивных полей соматовисцеральной сенсорной системы[22] или как «огромное рецепторное поле»[23]. Сенсорная информация от рецепторов кожи обеспечивает связь организма с внешней средой[24].

Иннервация кожи осуществляется «как ветвями цереброспинальных нервов, так и нервами вегетативной нервной системы»[25]. Вегетативная эфферентная[26] («центробежная») иннервация характерна для сосудов, гладкой мускулатуры и потовых желёз[25].

К соматической[25] афферентной[26] («центростремительной») иннервации относятся чувствительные нервные волокна, образующие многочисленные окончания. Эти чувствительные нервные окончания (условно) можно разделить на[27][28]:

Сравнительная анатомия и филогенез

В целом, почти любой вид наружной ткани животного можно назвать кожей, однако настоящая кожа присуща только хордовым[29].

Характерной особенностью членистоногих является наружный скелет, представляющий собой хитиносодержащую кутикулу. Кутикула образуется клетками эктодермы, состоит из трёх слоёв — эндокутикулы, экзокутикулы и эпикутикулы. Во время линьки под влиянием стероидных гормонов экдизонов, выделяемых проторакальными железами, в гиподерме вырабатывается новая эпикутикула, а под ней — новая эндокутикула. У моллюсков также из эктодермы образуется твёрдый внешний покров — известковая раковина. Однако подобные типы покровов ещё нельзя считать кожей.

Низшим представителем животных, обладающих настоящей кожей, может считаться ланцетник. Кожа ланцетников — однослойный эпителий (эпидермис), состоящий из плотно расположенных кубических клеток, которые располагаются на подстилающей его тонкой базальной мембране. Сверху эпидермис покрыт кутикулой, поверхностной плёнкой из мукополисахаридов, выделяющейся из эпидермальных желёз, она защищает тонкую кожу ланцетников от повреждений. Под эпителием находится тонкий слой студенистой соединительной ткани — кориум, или кутис. Наружные покровы прозрачны, почти не пигментированы.

У рыб, за редкими исключениями, внешние покровы представлены кожей с чешуёй (у некоторых рыб чешуя отсутствует). Как и у всех других позвоночных, кожа рыб делится на дерму и эпидермис (верхний слой кожи эктодермального происхождения, состоящий из эпителиальной ткани). Эпидермис у рыб неороговевающий. Железы в эпидермисе секретируют мускусоподобный секрет, который защищает внешние покровы животного. В формировании чешуи основную роль играет внутренний слой кожи — дерма, в котором зачаток чешуи появляется в форме известкового отложения.

Чешуя разделяется на несколько типов. Хрящевые рыбы имеют плакоидную чешую, которая развивается по типу зубов. Перемещаясь в ходе эволюции на челюсти, плакоидные чешуи, собственно, и превращаются в зубы у акул и скатов. Плакоидная чешуя состоит из дентина, который формирует основу чешуй, а сверху покрыта эмалью. По химическому составу дентин и эмаль акул сходны с дентином и эмалью зубов человека. Наиболее примитивная чешуя называется ганоидная, она наблюдается у наиболее примитивных из лучепёрых рыб, например, осетровых. В такой чешуе отдельные пластинки чешуи не накладываются друг на друга, а располагаются встык, они растут по мере взросления и увеличения рыбы. Пластинки сверху покрыты пластом похожего на дентин вещества — ганоина; часто такая чешуя покрывает тело рыбы сплошным защитным панцирем, как у представителей семейств Polypteridae и Lepisosteidae. Для ископаемых кистепёрых и двоякодышащих рыб, а также для современных кистеперых рыб характерная космоидная чешуя, внешняя поверхность которой образована пластом космина, а сверх него — дентина. Космин подстилается пластом губчатой кости. Чешуя современных костных рыб называется эласмоидной и делится на две разновидности: ктеноидную (зубчатую, гребневидную) и циклоидную (округлую) на основании формы внешней кромки. В отличие от большинства подвидов плакоидных и ганоидних чешуй, циклоидные и ктеноидные расположены так, что передние накладываются на задние, а сами чешуйки анатомически являются тонкими костными пластинками.

У земноводных кожа гладкая, тонкая, мягкая. Она богата кожными железами, выделяющими слизь, сравнительно легко проницаемую для жидкостей и газов. У некоторых слизь может быть ядовитой или облегчающей газообмен. Кожа снабжена густой сетью капилляров, она является дополнительным органом дыхания. Роговые образования очень редки, также редки и окостенения кожи: у Ephippiger aurantiacus и рогатой жабы вида Ceratophrys dorsata имеется костяная пластинка в коже спины, у безногих земноводных — чешуйки. На коже часто наблюдается выраженная пигментация, образующая защитную окраску. В процессе развития организма происходит сбрасывание кожи единым куском. У земноводных также как у прочих позвоночных выделяется многослойный эпидермис и собственно кожа (кориум). Несмотря на то, что у земноводных уже отмечается отложение в наружном слое кожи кератина, защита от потери влаги ещё не развита, в силу чего им приходится обитать в достаточно влажных местах.

У пресмыкающихся впервые появляется полноценная способность кожи противостоять высыханию. Наружный кожный покров пресмыкающихся в результате утолщения и ороговения образует чешуйки или щитки, может быть жёстким или эластичным. У ящериц роговые чешуйки перекрывают друг друга, напоминая черепицу. У черепах сросшиеся щитки формируют сплошной прочный панцирь. Смена рогового покрова происходит путём полной или частичной линьки, которая у многих видов происходит несколько раз в год. Плотная и сухая кожа содержит мало желёз. Пахучие железы часто расположены около клоаки. Слизистые железы отсутствуют.

В наружной части внутреннего слоя кожи часто находятся специальные клетки — хроматофоры. В этих клетках секретируются пигменты: меланины и каротиноиды. Также в хроматофорах встречается способный отражать свет гуанин. Благодаря хроматофорам, некоторые пресмыкающиеся способны изменять окраску своего тела за сравнительно короткое время. Хамелеоны — наиболее известные представители с подобным свойством.

Кожные покровы птиц тонкие, эластичные, богатые жиром. В соединительнотканном слое имеются обильные пучки гладких мышц, прикрепляющиеся к очинам контурных перьев и изменяющие их положение. Кожные железы отсутствуют, единственной кожной железой у птиц является копчиковая железа, которая находится над хвостовыми позвонками (отсутствует у бескилевых птиц, у некоторых дроф, голубей, попугаев и др.). Она выделяет маслянистый секрет, который птицы выдавливают клювом и смазывают им оперение, что способствует сохранению эластичности пера. У некоторых птиц наблюдаются серные железы рядом с ухом. Лапы птиц сходны по происхождению с лапами рептилий, покрыты чешуями.

Характерным признаком птиц является наличие клюва. Как и роговые покровы челюстей черепах, клювы образуются из наружного слоя эпидермиса, видоизменяясь по мере развития. Поскольку передние конечности у птиц приспособлены для полёта, клюв стал выполнять некоторые их функции. Форма и строение клюва бывают очень разными и зависят от способа питания птицы.

Для всех видов птиц характерным также является наличие перьевого покрова, который не встречается у других современных животных[30]. Перья покрывают всё тело птицы, за исключением клюва и дистальных частей задних конечностей. Начальные стадии эмбрионального развития пера сходны с развитием чешуи, оно начинает расти как соединительный выступ кориума. Поэтому можно говорить, что перья возникли в результате эволюционных преобразований чешуи, в отличие от которой выступ стал не уплощаться, а расти в виде цилиндра, поднимаясь над эпидермисом. Эволюционное происхождение перьев можно проследить начиная с хищных динозавров синозавроптерикса и дилонга, покрытых волокнистым пухом[31]. У каудиптерикса, синорнитозавра и микрораптора можно наблюдать настоящие перья[31].

Во время формирования перьев в ороговевающих клетках откладываются пигменты, обусловливающие характерную для каждого вида окраску. Наиболее распространёнными являются пигменты двух типов: меланины и липохромы. Меланины обусловливают окраску перьев в разные оттенки чёрного, коричневого, красновато-бурого и жёлтого цветов. Липохромы обеспечивают более яркую окраску: красную, зелёную, жёлтую, синюю и др. Сочетание в одном пере разных пигментов усложняет окраску. Белая окраска создаётся полным отражением света от наполненных воздухом прозрачных полых роговых клеток пера при отсутствии пигментов.

Выделяют три главных типа перьев: контурные, пуховые и нитевидные. Контурные перья, покрывают всё тело птицы и имеют хорошо развитый плотный стержень, основание которого — полый очин — охватывается находящейся в коже перьевой сумкой. У большинства птиц имеются пуховые перья (стержень мягкий) и пух (стержень совсем редуцирован), мягкие и длинные бородки которых несут мягкие бородочки, лишённые крючочков, из-за чего сцеплённого опахала не образуется. Между типичным пером, пуховым пером и пухом существуют разнообразные промежуточные типы. Нитевидные перья расположены под контурными перьями, обладают длинным тонким стержнем и редуцированными бородками. По всей вероятности, они выполняют осязательную функцию.

Кожа млекопитающих характерна наличием волосяного покрова (шерсти) и содержанием большого количества разных желёз — потовых, сальных, молочных, пахучих[32]. Волосы присутствуют у всех млекопитающих за исключением некоторых водных форм (китов, сирен). Функции волосяного покрова — термоизоляция, защита от повреждений. У большей части видов, в том числе у всех приматов (за исключением человека), имеются вибриссы — специальные волосы для осязания[33].

Рога — образование на головах у представителей семейств полорогих, вилорогих, оленевых и жирафовых, а также у носороговых. Все типы рогов являются производными кожи. У большинства копытных рога вырабатываются за счёт деятельности эпидермиса, как и ногти, когти, волосы.

Когти — роговое образование кожного происхождения на концевой фаланге пальца у наземных позвоночных: большинства пресмыкающихся, всех птиц, многих млекопитающих и некоторых земноводных. Основные функции когтя — способствование передвижению, защита и нападение. Наибольшего развития когти достигают у млекопитающих. Ногти человека, обезьян являются видоизменёнными когтями[29].

Поражения кожи

Нарушение целостности и структуры кожных покровов может произойти вследствие механических травм, термических поражений (ожоги, отморожения)[34], воздействия электричества, радиации и агрессивных химических веществ[35]. Кроме того, поражения могут быть обусловлены заболеваниями кожи — дерматозами[36].

Заболевания

Нарушения окраски

Изменения нормальной (видовой ) окраски кожи, кроме вызванной физиологическими реакциями и временным прокрашиванием (пропитыванием) верхнего слоя эпидермиса нестойкими красителями, могут возникать и при различных патологических состояниях. Дисхромии кожи подразделяются на[37]:

по интенсивности пигментации по отношению к нормальной коже
  • Гиперхромии:
    • меланиновые;
    • гемосидериновые;
    • каротиновые;
    • билирубиновая;
    • другие эндогенные;
    • экзогенные.
  • Гипохромии — возникает при недостаточном синтезе меланина, может быть при альбинизме, витилиго.
  • Ахромии — отсутствие пигмента на всей коже (при альбинизме) или на его участках. Последнее может быть при витилиго, лепре, пинте, сифилисе, псевдолейкодерме (на месте сыпи при псориазе и дерматозах), псевдоатрофодермии (при гиповитаминозе А), химическом воздействии на кожу (тиоурацил, тиомочевина, гидрохинон и т. д.).
по механизму возникновения
  • наследственные (врождённые) — пожизненные, к примеру альбинизм, пигментные невусы, веснушки;
  • приобретённые — в зависимости от причины, патологии, патогенеза возникновения, природы красителя могут быть пожизненные или временные.

Повреждения

Кожа и её придатки как сырьё

Кожа и шкура животных служит кожевенным сырьём для производства кожаных изделий[38][39]. Волосы и другие придатки тоже находят применение, в частности при изготовлении париков, кисточек, белковых гидролизатов (в том числе при производстве бульонных кубиков), рогокопытной муки для прикорма животных и т. д.

Человеческая кожа

В истории человечества известны случаи использования и человеческой кожи для изготовления изделий из него, в частности в нацистской Германии[40].

Кожа в культуре

Отбеливание кожи

См. также

Примечания

  1. [dic.academic.ru/dic.nsf/ogegova/85038 Кожа] в толковом словаре Ожегова. С. И. Ожегов, Н. Ю. Шведова. 1949—1992.
  2. [dic.academic.ru/dic.nsf/enc_medicine/14590 Кожа] в статье Малой медицинской энциклопедии. — М.: Медицинская энциклопедия. 1991—96 гг. на dic.academic.ru
  3. Быков, 2001.
  4. 1 2 Самусев, Липченко, 2002.
  5. [dic.academic.ru/dic.nsf/enc_medicine/14590 Медицинская энциклопедия. Кожа]
  6. 1 2 3 Кожа / Калантаевская А. К., Кожевников П. В., Браун A. А., Нивинская М. М., Паршикова С. М., Фролов Е. П. // Большая медицинская энциклопедия : в 30 т. / гл. ред. Б. В. Петровский. — 3-е изд. М. : Советская энциклопедия, 1979. — Т. 11 : Коамид — Криотерапия. — 544 с. : ил.
  7. 1 2 Кожа Архивная копия от 20 января 2022 на Wayback Machine // Ветеринарный энциклопедический словарь — М.: Советская энциклопедия, 1981. — 640 с.
  8. Подкожная жировая клетчатка / Корендясев М. А., Могилевский Г. М., Сперанский В. С. // Большая медицинская энциклопедия : в 30 т. / гл. ред. Б. В. Петровский. — 3-е изд. М. : Советская энциклопедия, 1983. — Т. 20 : Пневмопексия — Преднизолон. — 560 с. : ил.
  9. Молозиво Архивная копия от 20 января 2022 на Wayback Machine // Ветеринарный энциклопедический словарь — М.: Советская энциклопедия, 1981. — 640 с.
  10. Молозиво / Фатеева E. М. // Большая медицинская энциклопедия : в 30 т. / гл. ред. Б. В. Петровский. — 3-е изд. М. : Советская энциклопедия, 1981. — Т. 15 : Меланома — Мудров. — 576 с. : ил.
  11. Молоко Архивная копия от 20 января 2022 на Wayback Machine // Ветеринарный энциклопедический словарь — М.: Советская энциклопедия, 1981. — 640 с.
  12. Грудное молоко / Мазурин А. В. // Большая медицинская энциклопедия : в 30 т. / гл. ред. Б. В. Петровский. — 3-е изд. М. : Советская энциклопедия, 1977. — Т. 6 : Гипотиреоз — Дегенерация. — 632 с. : ил.
  13. Лактация Архивная копия от 28 октября 2020 на Wayback Machine // Ветеринарный энциклопедический словарь — М.: Советская энциклопедия, 1981. — 640 с.
  14. Лактация / Папаян А. В., Орловская Д. Д. // Большая медицинская энциклопедия : в 30 т. / гл. ред. Б. В. Петровский. — 3-е изд. М. : Советская энциклопедия, 1980. — Т. 12 : Криохирургия — Ленегр. — 536 с. : ил.
  15. Вскармливание детей раннего возраста / Тур А. Ф. // Большая медицинская энциклопедия : в 30 т. / гл. ред. Б. В. Петровский. — 3-е изд. М. : Советская энциклопедия, 1977. — Т. 4 : Валин — Гамбия. — 576 с. : ил.
  16. Вымя Архивная копия от 20 января 2022 на Wayback Machine // Ветеринарный энциклопедический словарь — М.: Советская энциклопедия, 1981. — 640 с.
  17. Молочная железа / Святухина О. В., Бабичев В. Н., Вишневский А. А., Оленин В. П., Воробьева Е. А., Даценко В. С., Золотаревский В. Б., Линденбратен Л. Д., Фалилеев Г. В., Зеновко Г., Кузьмин И. В. // Большая медицинская энциклопедия : в 30 т. / гл. ред. Б. В. Петровский. — 3-е изд. М. : Советская энциклопедия, 1981. — Т. 15 : Меланома — Мудров. — 576 с. : ил.
  18. Наумов, Карташев, 1979, с. 116.
  19. Алексеев, 1999.
  20. Быков, 2001, с. 66.
  21. 1 2 3 Быков, 2001, с. 56.
  22. Циммерман, 1996.
  23. Афанасьев, Юрина, 2002, с. 638.
  24. Циммерман, 1996, с. 197.
  25. 1 2 3 Афанасьев, Юрина, 2002, с. 646.
  26. 1 2 3 4 Быков, 2001, с. 70.
  27. 1 2 Быков, 2000.
  28. Афанасьев, Юрина, 2002.
  29. 1 2 Сравнительная анатомия. Десять физиологических систем органов. Кожа и её производные
  30. Кузнецов Б. А., Чернов А. З., Катонова Л. Н. . Курс зоологии. 4-е изд. М.: Агропромиздат, 1989. — 392 с.
  31. 1 2 «Dinosaurs. A Concise Natural History». David E. Fastovsky (University of Rhode Island) and and David B. Weishampel (The Johns Hopkins University), With illustrations by John Sibbick, Cambridge University Press 2009. — ISBN 978-0-511-47941-0 (e-book), ISBN 978-0-521-88996-4 (в твёрдой обложке), ISBN 978-0-521-71902-5 (в мягкой обложке), часть III: «Saurischia: meat, might, and magnitude», глава 9 «Theropoda I: nature red in tooth and claw», раздел «Theropod lives and lifestyles», подраздел «The skinny on skin», Страница 199.
  32. Пахучие железы : [арх. 17 октября 2022] // Большая российская энциклопедия [Электронный ресурс]. — 2017. (Пахучие железы // П — Пертурбационная функция. М. : Большая российская энциклопедия, 2014. — С. 483—484. — (Большая российская энциклопедия : [в 35 т.] / гл. ред. Ю. С. Осипов ; 2004—2017, т. 25). — ISBN 978-5-85270-362-0.).
  33. Van Horn R. N.  Vibrissae Structure in the Rhesus Monkey // Folia Primatol. — 1970. — Vol. 13, no. 4. — P. 241—285. doi:10.1159/000155325. PMID 5499675.
  34. Арьев, 1966.
  35. Трубников, Лихачёв, 1990.
  36. Цветкова и др., 2003.
  37. Дисхромии кожи / Зенин Б. А. // Большая медицинская энциклопедия : в 30 т. / гл. ред. Б. В. Петровский. — 3-е изд. М. : Советская энциклопедия, 1977. — Т. 7 : Дегидразы — Дядьковский. — 548 с. : ил.
  38. Кожевенное сырьё Архивная копия от 27 октября 2020 на Wayback Machine // Ветеринарный энциклопедический словарь — М.: Советская энциклопедия, 1981. — 640 с.
  39. Кожевенное сырьё : [арх. 21 октября 2022] / Есина Г. Ф. // Большая российская энциклопедия [Электронный ресурс]. — 2016. (Кожевенное сырьё / Есина Г. Ф. // Киреев — Конго. М. : Большая российская энциклопедия, 2009. — С. 413. — (Большая российская энциклопедия : [в 35 т.] / гл. ред. Ю. С. Осипов ; 2004—2017, т. 14). — ISBN 978-5-85270-345-3.).
  40. Пустогаров В. В. Нюрнбергский процесс и современность // М.: ИГП АН СССР, 1986. — 172 с. — С. 95.

Литература

  • Арьев Т.Я. Термические поражения. Л.: Медицина, 1966. — 704 с. 8000 экз.
  • Афанасьев Ю.И., Юрина Н.А., Котовский Е.Ф. и др. Глава 19. Кожа и её производные // Гистология, цитология и эмбриология / Под ред. Ю.И. Афанасьева, Н.А. Юриной. М.: Медицина, 2002. — С. 637—656. — 744 с. — ISBN 5-225-04523-5.
  • Быков В.Л. Глава 14. Нервная ткань // Цитология и общая гистология. СПб.: Сотис, 2000. — С. 453—486. — 520 с. 2000 экз. — ISBN 5-85503-080-6.
  • Быков В.Л. Глава 4. Кожа и её производные // Частная гистология человека. СПб.: Сотис, 2001. — С. 56—70. — 304 с. 3000 экз. — ISBN 5-85503-116-0.
  • Книпович, Тарханов И. Р., Хлопин Г. В.,. Кожа // Энциклопедический словарь Брокгауза и Ефрона : в 86 т. (82 т. и 4 доп.). СПб., 1890—1907.
  • Наумов Н.П., Карташев Н.Н. Зоология позвоночных. — Ч. 1. — Низшие хордовые, бесчелюстные, рыбы, земноводные: Учебник для биолог. спец. ун-тов. М.: Высш. школа, 1979. — 333 с. 70 000 экз.
  • Самусев Р. П., Липченко В. Я. Атлас анатомии человека. М., 2002. — 704 с.
  • Трубников В.Ф., Лихачёв В.А. Военно-полевая хирургия. — Харьков: Основа, 1990. — 704 с. 25 000 экз. — ISBN 5-11-000754-3.
  • Цветкова Г.М., Мордовцева В.В., Вавилов А.М., Мордовцев В.Н. Патоморфология болезней кожи. М.: Медицина, 2003. — 496 с. 5000 экз. — ISBN 5-225-04294-5.
  • Циммерман М. Глава 9. Соматовисцеральная сенсорная система // Физиология человека / Под ред. Р. Шмидта и Г. Тевса. М.: Мир, 1996. — С. 197—221. — 323 с. 10 000 экз. — ISBN 5-03-002545-6.

Ссылки