Мезотелиома
| Мезотелиома | |
|---|---|
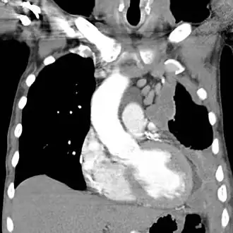
Компьютерная томограмма показывающая левостороннюю мезотелиому с увеличенным медиастинальным лимфатическим узлом | |
| Синонимы | Злокачественная мезотелиома |
| Специальность | Онкология |
| Симптомы | Одышка, увеличение живота, боль в грудной клетке, кашель, чувство усталости, потеря веса[1] |
| Осложнение | Жидкость вокруг легких[1] |
| Обычное начало | Постепенное начало[2] |
| Причины | ~ 40 лет после воздействия асбеста[3] |
| Факторы риска | Генетические факторы, инфекция вирусом SV40[3] |
| Метод диагностики | Медицинская визуализация, исследование жидкости производимой опухолью, биопсия ткани[2] |
| Профилактика | Сниженное воздействие асбеста[4] |
| Лечение | Хирургия, лучевая терапия, химиотерапия, плевродез[5] |
| Прогноз | Пятилетняя выживаемость ~8% (США)[6] |
| Частота | 60 800 (заболевшие в течение 2015)[7] |
| Смертность | 32 400 (2015)[8] |
Мезотелиома — тип рака, который развивается из тонкого слоя ткани, выстилающего многие внутренние органы (известного как мезотелий)[9]. Наиболее часто поражается выстилающая оболочка легких и грудной стенки[1][3]. Менее часто может поражаться выстилающая оболочка живота и, ещё реже, оболочка, окружающая сердце[10], или оболочка, окружающая яичко[1][11]. Признаки и симптомы мезотелиомы могут включать одышку из-за скопления жидкости вокруг легких, увеличение живота, боль в грудной клетке, кашель, ощущение усталости и потерю веса[1]. Эти симптомы обычно проявляются медленно[2].
Более 80 % случаев мезотелиомы вызваны воздействием асбеста[3]. Чем продолжительнее воздействие, тем выше риск развития опухоли[3]. К 2013 году около 125 миллионов человек во всём мире подвергались воздействию асбеста на работе[12]. Высокие уровни заболеваемости наблюдаются у людей, которые добывают асбест, производят изделия из асбеста, работают с изделиями из асбеста, живут с рабочими, работающими с асбестом, или работают в зданиях, содержащих асбест[3]. Мезотелиома обычно возникает спустя 40 лет после воздействия асбеста[3]. Стирка одежды того, кто работал с асбестом, также увеличивает риск развития опухоли[12]. К прочим факторам риска относятся генетические факторы и заражение вирусом SV40[3]. Диагноз можно заподозрить на основании результатов рентгенографии грудной клетки и компьютерной томографии. Он подтверждается исследованием жидкости, выделяемой опухолью, либо её биопсией[2].
Меры профилактики сосредоточены на снижении воздействия асбеста[4]. Лечение часто включает хирургическое вмешательство, лучевую терапию и химиотерапию[5]. Процедура под названием плевродез с применением таких веществ, как тальк, вызывающих рубцевание листков плевры, может использоваться для предотвращения скопления жидкости вокруг легких[5]. Химиотерапия часто включает препараты цисплатин и пеметрексед[2]. В Соединённых Штатах выживаемость в течение 5 лет после установления диагноза составляет в среднем 8 % пациентов[6].
В 2015 году примерно у 60 800 человек была выявлена мезотелиома и 32 000 пациентов умерли[7][8]. Уровни заболеваемости мезотелиомой различаются в разных регионах мира[3]. Они выше в Австралии, Великобритании и ниже в Японии[3]. В Соединённых Штатах, мезотелиома развивается примерно у 3000 человек в год[13]. Она встречается чаще у мужчин, чем у женщин[3]. Уровень заболеваемости увеличился с 1950-х годов[3]. Диагноз обычно устанавливается после 65 лет, а большинство летальных исходов происходит в возрасте около 70 лет[3]. Заболевание было редким до коммерческого использования асбеста[3].
Примечания
- 1 2 3 4 5 Malignant Mesothelioma Treatment–Patient Version (PDQ®). NCI (4 сентября 2015). Дата обращения: 3 апреля 2016. Архивировано 5 апреля 2016 года.
- 1 2 3 4 5 Kondola, S; Manners, D; Nowak, AK (2016-02-12). Malignant pleural mesothelioma: an update on diagnosis and treatment options. Therapeutic Advances in Respiratory Disease. 10 (3): 275–88. doi:10.1177/1753465816628800. PMC 5933604. PMID 26873306.
- 1 2 3 4 5 6 7 8 9 10 11 12 13 14 Robinson, BM (November 2012). Malignant pleural mesothelioma: an epidemiological perspective. Annals of Cardiothoracic Surgery. 1 (4): 491–6. doi:10.3978/j.issn.2225-319X.2012.11.04. PMC 3741803. PMID 23977542.
- 1 2 Whittemore, Alice S. Cancer epidemiology and prevention. — 3rd. — Oxford : Oxford University Press, 2006. — P. 669. — ISBN 9780199747979.
- 1 2 3 Malignant Mesothelioma Treatment–Patient Version (PDQ®). NCI (4 сентября 2015). Дата обращения: 3 апреля 2016. Архивировано 5 апреля 2016 года.
- 1 2 Age-Adjusted SEER Incidence and U.S. Death Rates and 5-Year Relative Survival (Percent) By Primary Cancer Site, Sex and Time Period. NCI. Дата обращения: 3 апреля 2016. Архивировано 6 сентября 2015 года.
- 1 2 GBD 2015 Disease and Injury Incidence and Prevalence, Collaborators. (2016-10-08). Global, regional, and national incidence, prevalence, and years lived with disability for 310 diseases and injuries, 1990-2015: a systematic analysis for the Global Burden of Disease Study 2015. Lancet. 388 (10053): 1545–1602. doi:10.1016/S0140-6736(16)31678-6. PMC 5055577. PMID 27733282.
{{cite journal}}:|first1=имеет универсальное имя (справка)Википедия:Обслуживание CS1 (числовые имена: authors list) (ссылка) - 1 2 GBD 2015 Mortality and Causes of Death, Collaborators. (2016-10-08). Global, regional, and national life expectancy, all-cause mortality, and cause-specific mortality for 249 causes of death, 1980-2015: a systematic analysis for the Global Burden of Disease Study 2015. Lancet. 388 (10053): 1459–1544. doi:10.1016/s0140-6736(16)31012-1. PMC 5388903. PMID 27733281.
{{cite journal}}:|first1=имеет универсальное имя (справка)Википедия:Обслуживание CS1 (числовые имена: authors list) (ссылка) - ↑ Malignant Mesothelioma—Patient Version. NCI (январь 1980). Дата обращения: 3 апреля 2016. Архивировано 6 апреля 2016 года.
- ↑ Sardar, MR (2012). Primary pericardial mesothelioma unique case and literature review. Texas Heart Institute Journal / From the Texas Heart Institute of St. Luke's Episcopal Hospital, Texas Children's Hospital. 39 (2): 261–4. PMID 22740748.
- ↑ Panou, V (June 2015). The established and future biomarkers of malignant pleural mesothelioma. Cancer Treatment Reviews. 41 (6): 486–95. doi:10.1016/j.ctrv.2015.05.001. PMID 25979846.
- 1 2 Gulati, M (March 2015). Asbestosis and environmental causes of usual interstitial pneumonia. Current Opinion in Pulmonary Medicine. 21 (2): 193–200. doi:10.1097/MCP.0000000000000144. PMID 25621562.
- ↑ What are the key statistics about malignant mesothelioma? American Cancer Society (17 февраля 2016). Дата обращения: 3 апреля 2016. Архивировано 8 апреля 2016 года.
