Миометрий
| Миометрий | |
|---|---|
| лат. Myometrium | |
| |
| Каталоги | |
Миометрий — средний слой стенки матки (мышечная оболочка), состоящий в основном из гладкомышечных клеток матки (называемых миоцитами матки[1]), но также из поддерживающих стромальную и сосудистую ткань.
Его основная функция — вызывать сокращения матки. Частота и амплитуда этих сокращений меняется в зависимости от наличия в организме таких гормонов, как эстроген, прогестерон и окситоцин, которые появляются в организме женщины в определенные моменты менструального цикла и во время беременности.
Строение
Миометрий располагается между эндометрием (внутренним слоем стенки матки) и серозной оболочкой или периметрием (наружным слоем матки).
У не приматов миометрий состоит из двух отдельных слоев: внешнего продольного слоя и внутреннего кругового слоя. Однако у человека субструктура миометрия не так хорошо определена, поскольку возникла новая структура, называемая субэндометриальным слоем миометрия, также называемая сочленением эндометрия и миометрия.[2]
Внутренняя треть миометрия (называемая соединительным или субэндометриальным слоем) происходит из мюллерова протока, в то время как внешний, более преобладающий слой миометрия происходит из немюллеровой ткани и является основным сократительным элементом. ткани во время родов и аборта. Соединительный слой функционирует как круговой мышечный слой, обладающий перистальтической и антиперистальтической активностью, эквивалентный мышечному слою кишечника.[1]
Мышечная структура
Молекулярная структура гладкой мускулатуры миометрия очень похожа на структуру гладкой мускулатуры в других частях тела, при этом миозин и актин являются преобладающими белками. В гладких мышцах матки актина примерно в 6 раз больше, чем миозина. Сдвиг в экспрессии миозина в гладких мышцах матки может быть ответственным за изменения направления сокращений матки во время менструального цикла.[1]

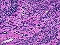
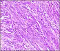
Физиологическая гипертрофия миометрия беременной женщины, гистологический препарат при 10-кратной оптической микроскопии
Функции
Сокращение
Миометрий растягивается (гладкомышечные клетки увеличиваются как в размере, так и в количестве)[3] во время беременности, позволяя матке в несколько раз увеличиваться по сравнению с внебеременными размерами, и сокращается скоординированным образом благодаря положительному эффекту обратной связи на Рефлекс Фергюсона в процессе родов.
После родов миометрий сокращается, чтобы выдавить плаценту, и пересекающиеся волокна среднего слоя сжимают кровеносные сосуды, чтобы минимизировать кровопотерю. Положительным преимуществом раннего грудного вскармливания является стимуляция этого рефлекса для уменьшения дальнейшей кровопотери и облегчения быстрого возврата к тонусу матки и брюшных мышц перед беременностью.
Состояние покоя
Мембранный потенциал покоя (Vrest) гладких мышц матки составляет от −35 до −80 мВ[1].
Этот потенциал покоя подвергается ритмическим колебаниям, которые были названы медленными волнами, и отражают внутреннюю активность медленных волновых потенциалов[1].
Возбуждение-сокращение
Связь возбуждения и сокращения гладких мышц матки также очень похожа на взаимодействие других гладких мышц в целом, с внутриклеточным увеличением кальция (Ca2+), ведущим к сокращению.
Восстановление в состоянии покоя
Удаление Ca2+ после сокращения вызывает расслабление гладких мышц и восстанавливает молекулярную структуру саркоплазматического ретикулума для следующего сократительного стимула[1].
Примечания
- 1 2 3 4 5 6 Hector N. Aguilar, B. F. Mitchell. Physiological pathways and molecular mechanisms regulating uterine contractility (англ.) // Human Reproduction Update. — 2010-11. — Vol. 16, iss. 6. — P. 725–744. — ISSN 1460-2369. — doi:10.1093/humupd/dmq016. Архивировано 13 ноября 2020 года.
- ↑ Hector N. Aguilar, B. F. Mitchell. Physiological pathways and molecular mechanisms regulating uterine contractility // Human Reproduction Update. — 2010-11. — Т. 16, вып. 6. — С. 725–744. — ISSN 1460-2369. — doi:10.1093/humupd/dmq016. Архивировано 13 ноября 2020 года.
- ↑ Lowe, J. S. (James Steven),. Stevens & Lowe's human histology (англ.). — Fifth edition. — [Philadelphia?]. — 1 online resource (ix, 413 pages) p. — ISBN 978-0-323-61281-4, 0-323-61281-4, 978-0-323-61282-1, 0-323-61282-2, 978-0-323-61280-7, 0-323-61280-6, 978-0-323-61279-1, 0-323-61279-2.
