Острая интерстициальная пневмония
| Острая интерстициальная пневмония | |
|---|---|
| |
| МКБ-11 | CB03.0 |
| МКБ-10 | J84.1 |
| МКБ-10-КМ | J84.114 |
| МКБ-9-КМ | 516.33[1] |
| OMIM | 178500 |
| DiseasesDB | 4815 |
| MeSH | D000080203 |
Острая интерстициальная пневмония (синдром Хаммена – Рича) — заболевание из группы идиопатических интерстициальных пневмоний, которое приводит к развитию респираторного дисстресс-синдрома.
Впервые данная патология была описана в 1935 году врачами L. Hamman и A.R. Rich. В своей работе они описали четырех больных с быстро прогрессирующей дыхательной недостаточностью, приведшей к смерти пациентов в течение 6 мес. от начала возникновения болезни[2] . Несмотря на то, что патология была описана впервые в 1935 г., в самостоятельную нозологию заболевание было выделено в лишь в 1986 г.
Этиология
Основными причинами заболевания являются:
- воздействие инфекционных факторов или токсинов,
- генетическая предрасположенность[3].
Клиническая картина
Симптомы заболевания нарастают очень быстро. В большинстве случаев начало заболевания схоже с гриппом. Болеют люди любого возраста и пола. Основные симптомы:
При осмотре: тахипноэ, тахикардия, цианоз.
При аускультации: крепитация, сухие свистящие хрипы[4].
Диагностика
Основные методы диагностики:
- Рентгенография грудной клетки, выявляют двусторонние пятнистые инфильтраты
- КТ высокого разрешения, на которой выявляют участки пониженной прозрачности паренхимы по типу «матового стекла» , дилатацию бронхов и нарушение легочной архитектоники.
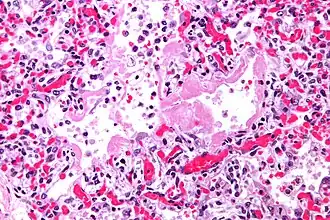
"Золотым" стандартом диагностики ОИП является биопсия легких[3].
Лечение
Эффективной терапии в настоящее время не существует. Больных лечат высокими дозами глюкокортикоидов, однако, летальность остается высокой. В последнее время больных рекомендуют лечить метилпреднизолоном. Так же обязательными компонентами терапии ОсИП являются кислородотерапия и респираторная поддержка[4].
Примечания
- ↑ Disease Ontology (англ.) — 2016.
- ↑ L Hamman, A R Rich. Fulminating Diffuse Interstitial Fibrosis of the Lungs // 1. — 1935. Архивировано 14 ноября 2020 года.
- 1 2 Юдин А.А., Юдин А.Л., Никитин А.Э., Юматова Е.А., Лошкарева Е.О., Татаринова В.К. ДИАГНОСТИКА И ЛЕЧЕНИЕ ОСТРОЙ ИНТЕРСТИЦИАЛЬНОЙ ПНЕВМОНИИ // КОЛЛЕКТИВ АВТОРОВ, 2015. — 2015. — ISSN 616.24-002.17-036.11-07-08 УДК 616.24-002.17-036.11-07-08. Архивировано 13 ноября 2020 года.
- 1 2 А. Г. Чучалин. Респираторная медицина. Том 3. — Издательство «Литтерра». — Издательство «Литтерра», 2017. — С. 24-26. — 464 с. — ISBN 978-5-4235-0272-0.
