Полость прозрачной перегородки




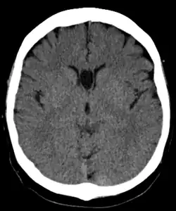
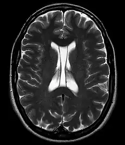
Полость прозрачной перегородки (лат. cavum septi pellucidi) — полость, находящаяся между листками прозрачной перегородки. Полость содержит ликвор, попадающий туда через поры в листках.[1]
Спереди полость ограничена коленом мозолистого тела; сверху — стволом мозолистого тела; сзади — передними ножками и столбами свода мозга; снизу — передней комиссурой и клювом мозолистого тела; латерально — листками прозрачной перегородки.[2]
Размер полости крайне вариабелен, у некоторых полость полностью закрыта, в то время как у других отмечается практически полное её незаращение (до 46 мм в корональной плоскости).[3]
В большинстве случаев полость не сообщается с полостью желудочковой системы мозга, что делает неправомочным её описание как «5-го желудочка» головного мозга, тем не менее, иногда её называют пятым желудочком.
Собственно полость прозрачной перегородки расположена на уровне основания передних рогов боковых желудочков мозга, а её распространение в заднем направлении в область тел боковых желудочков выделяют под названием полость Верге (лат. cavum vergae). Во время эмбрионального развития происходит закрытие полостей в задне-переднем направлении, из-за чего персистирование полости Верге при закрытой полости прозрачной перегородки встречается значительно реже.
Полость прозрачной перегородки существует у 100 % эмбрионов человека, однако более чем в 85 % случаев она закрывается к возрасту 3-6 месяцев.[4][5]
Причина
Причины незакрытия полости прозрачной перегородки достоверно не известны, однако считается, что значимую роль имеет пренатальное воздействие алкоголя[3]
Связь с психическими расстройствами
В большинстве случаев наличие полости не оказывает какого-либо клинически значимого влияния на человека.
В то же время отмечается некоторое увеличение частоты встречаемости полости прозрачной перегородки у пациентов с шизофренией[6], посттравматическим стрессовым расстройством[7], черепно-мозговой травмой[8], а также диссоциальным расстройством личности[3]. Наличие расширенной полости — один из отличительных признаков пациентов с травматической энцефалопатией боксеров (dementia pugilistica).[9]
В культуре
- В фильме Рокки 5 отмечается, что Рокки Бальбоа имеет полость прозрачной перегородки.
См. также
Примечания
- ↑ Oteruelo F. On the cavum septi pellucidi and the cavum Vergae (англ.) // Anatomischer Anzeiger : journal. — 1986. — Vol. 162, no. 4. — P. 271—278. — PMID 3813041.
- ↑ Born C., Meisenzahl E., Frodl T., Pfluger T., Reiser M., Möller H., Leinsinger G. The septum pellucidum and its variants. An MRI study (англ.) // European archives of psychiatry and clinical neuroscience : journal. — 2004. — Vol. 254, no. 5. — P. 295—302. — doi:10.1007/s00406-004-0496-z. — PMID 15365704.
- 1 2 3 Adrian Raine, Lydia Lee, Yaling Yang, Patrick Colletti. Neurodevelopmental marker for limbic maldevelopment in antisocial personality disorder and psychopathy (англ.) // British Journal of Psychiatry : journal. — Royal College of Psychiatrists, 2010. — Vol. 197. — P. 186—192. — doi:10.1192/bjp.bp.110.078485.
- ↑ Farruggia S., Babcock D. The cavum septi pellucidi: its appearance and incidence with cranial ultrasonography in infancy (англ.) // Radiology : journal. — 1981. — Vol. 139, no. 1. — P. 147—150. — PMID 7208915.
- ↑ Paediatric Imaging: Cavum septum pellucidum. Medcyclopedia.com. Архивировано 5 февраля 2012 года.
- ↑ Galarza M., Merlo A., Ingratta A., Albanese E., Albanese A. Cavum septum pellucidum and its increased prevalence in schizophrenia: a neuroembryological classification (англ.) // The Journal of neuropsychiatry and clinical neurosciences : journal. — 2004. — Vol. 16, no. 1. — P. 41—6. — doi:10.1176/appi.neuropsych.16.1.41. — PMID 14990758.
- ↑ May F., Chen Q., Gilbertson M., Shenton M., Pitman R. Cavum septum pellucidum in monozygotic twins discordant for combat exposure: relationship to posttraumatic stress disorder (англ.) // Biol. Psychiatry : journal. — 2004. — Vol. 55, no. 6. — P. 656—658. — doi:10.1016/j.biopsych.2003.09.018. — PMID 15013837. — PMC 2794416.
- ↑ Zhang L., Ravdin L., Relkin N., Zimmerman R., Jordan B., Lathan W., Uluğ A. Increased diffusion in the brain of professional boxers: a preclinical sign of traumatic brain injury? (англ.) // AJNR. American journal of neuroradiology : journal. — 2003. — Vol. 24, no. 1. — P. 52—7. — PMID 12533327.
- ↑ Neuropathol Exp Neurol. 2009 Jul;68(7):709-35. doi: 10.1097/NEN.0b013e3181a9d503. Chronic traumatic encephalopathy in athletes: progressive tauopathy after repetitive head injury. McKee AC, Cantu RC, Nowinski CJ, Hedley-Whyte ET, Gavett BE, Budson AE, Santini VE, Lee HS, Kubilus CA, Stern RA.