Проводящая система сердца

Проводящая система сердца
лат. Systema conducens cordis
Элементы проводящей системы сердца
Элементы проводящей системы сердца
Расположение элементов проводящей системы сердца
1. Синоатриальный узел
2. Атриовентрикулярный узел
3. Пучок Гиса
4. Левая ножка пучка Гиса
5. Левая передняя ветвь
6. Левая задняя ветвь
7. Левый желудочек
8. Межжелудочковая перегородка
9. Правый желудочек
10. Правая ножка пучка Гиса

Расположение элементов проводящей системы сердца
1. Синоатриальный узел
2. Атриовентрикулярный узел
3. Пучок Гиса
4. Левая ножка пучка Гиса
5. Левая передняя ветвь
6. Левая задняя ветвь
7. Левый желудочек
8. Межжелудочковая перегородка
9. Правый желудочек


10. Правая ножка пучка Гиса
Каталоги
Логотип Викисклада Медиафайлы на Викискладе
Схематичное отображение распространения возбуждения по сердцу в норме при синусовом ритме

Проводя́щая систе́ма се́рдца (ПСС) — комплекс анатомических образований сердца (узлов, пучков и волокон), состоящих из атипичных мышечных волокон (сердечные проводящие мышечные волокна) и обеспечивающих координированную работу разных отделов сердца (предсердий и желудочков), направленную на обеспечение нормальной сердечной деятельности.

ПСС обеспечивает точную координацию сокращений миллионов отдельных клеток сердечной мышцы, необходимую для того, чтобы насосная функция сердца была эффективной[B: 1]. Значимость ПСС настолько высока, что ей было посвящено несколько отдельных монографий[B: 2][B: 3].

Анатомия

ПСС состоит из двух взаимосвязанных частей: синоатриальной (синусно-предсердной) и атриовентрикулярной (предсердно-желудочковой).

К синоатриальной относят синоатриальный узел (САУ), три пучка межузлового быстрого проведения, связывающие синоатриальный узел с атриовентрикулярным и межпредсердный пучок быстрого проведения, связывающий САУ с левым предсердием. Впрочем существование специализированных путей проведения в предсердиях считается не доказанным ни анатомически, ни по каким-либо гистологическим или электрофизиологическим характеристикам, — что само по себе вовсе не исключает существования в путей предпочтительного проведения импульса возбуждения через определённые участки миокарда предсердий[1].

САУ представляет собой высокоорганизованный кластер специализированных клеток, расположенных в области вхождения верхней полой вены в правое предсердие[2]. Признано считать[B: 4][1], что САУ был открыт в 1907 году Артуром Кейтом и Мартином Флаком[A: 1]. Позже путём сопоставления анатомических и электрофизиологических данных было доказано, что САУ выполняет функцию водителя ритма сердца[A: 2].

Атриовентрикулярная часть состоит из атриовентрикулярного узла (АВУ), пучка Гиса (включает в себя общий ствол и три ветви: левая передняя, левая задняя и правая) и проводящих волокон Пуркинье[B: 5][B: 6][B: 7].

АВУ был впервые описан в 1906 году Кейтом и Флаком[A: 3].

Морфология

Синусовый узел, узел Кис-Флака, или синоатриальный узел (лат. nódus sinuatriális) расположен субэндокардиально в стенке правого предсердия латеральнее устья верхней полой вены, между отверстием верхней полой вены и правым ушком предсердия, в пограничной борозде[B: 5][B: 8]. Длина САУ ≈ 15 мм, ширина его ≈ 5 мм и толщина ≈ 2 мм[3]. В общем случае он имеет серповидную форму; его ширина варьирует от 9 до 15 мм; состоит из тела (ширина центральной части которого 5 мм, а толщина 1,5—2 мм) и конусовидных концов[2].

Предсердно-желудочковый узел (лат. nódus atrioventriculáris), или узел Ашоффа-Тавара, лежит в толще передне-нижнего отдела основания правого предсердия и в межпредсердной перегородке. Длина его составляет 5-6 мм, ширина 2-3 мм[3]. АВУ представляет собой ось проводящей ткани. Располагается на гребне входного и верхушечного трабекулярного компонентов мышечной части межжелудочковой перегородки. Архитектонику АВ-соединения удобнее рассматривать по восходящей — от желудочка к миокарду предсердий. Ветвящийся сегмент АВ-пучка расположен на гребне апикального трабекулярного компонента мышечной части межжелудочковой перегородки. Предсердный отрезок АВ-оси может быть разделен на компактную зону АВ-узла и переходную клеточную зону. Компактный участок узла по всей своей длине сохраняет тесную связь с фиброзным телом, которое образует его ложе. Он имеет два удлинения, проходящие вдоль фиброзного основания направо к трёхстворчатому клапану и налево — к митральному.

Переходная клеточная зона — это область, диффузно расположенная между сократительным миокардом и специализированными клетками компактной зоны АВ-узла. В большинстве случаев переходная зона более выражена сзади, между двумя удлинениями АВ-узла, но она также образует полуовальное покрытие тела узла. Продолжением АВУ является общий ствол пучка Гиса.

Предсердно-желудочковый пучок (лат. fascículus atrioventriculális), или пучок Гиса, связывает миокард предсердий с миокардом желудочков. В мышечной части межжелудочковой перегородки этот пучок делится на правую и левую ножки (лат. crus déxtrum et crus sinístrum). Концевые разветвления волокон (волокна Пуркинье), на которые распадаются эти ножки, заканчиваются в миокарде желудочков[B: 5]. Описан немецким кардиологом Вильгельмом Гисом младшим[B: 9][4].

Длина общего ствола пучка Гиса 8—18 мм в зависимости от размеров перепончатой части межжелудочковой перегородки, ширина около 2 мм. Ствол пучка Гиса состоит из двух сегментов — прободающего и ветвящегося. Прободающий сегмент проходит через фиброзный треугольник и доходит до мембранной части межжелудочковой перегородки. Ветвящийся сегмент начинается на уровне нижнего края фиброзной перегородки и делится на две ножки: правая направляется к правому желудочку, а левая — к левому, где распределяется на переднюю и заднюю ветви[3]. На гладкой части межжелудочковой перегородки левая ножка пучка Гиса чётко отделена от миокарда желудочков фиброзной оболочкой[1].

Передняя ветвь левой ножки пучка Гиса разветвляется в передних отделах межжелудочковой перегородки, в передне-боковой стенке левого желудочка и в передней сосочковой мышце[3]. Вместе с тем, существуют исследования, в которых убедительно показано, что левая ножка Гиса не имеет двухпучкового строения[1].

Задняя ветвь обеспечивает проведение импульса по средним отделам межжелудочковой перегородки, по задне-верхушечным и нижним частям левого желудочка, а также по задней сосочковой мышце. Между ветвями левой ножки пучка Гиса существует сеть анастомозов, по которым импульс при блокаде одной из них попадает в блокированный области за 10—20 мсек. Скорость распространения возбуждения в общем стволе пучка Гиса составляет около 1,5 м/с, в разветвлениях ножек пучка Гиса и проксимальных отделах системы Пуркинье она достигает 3—4 м/с, а в терминальных отделах волокон Пуркинье снижается и в рабочем миокарде желудочков равняется примерно 1 м/с[3].

Кровоснабжение

САУ человека снабжается единственной артерией. У 65 % людей артерия САУ берёт своё начало из правой венечной артерии, у остальных — из огибающей ветви левой венечной артерии[3]. Согласно другим источникам[1][2], в 55 % случаев артерия синусового узла отходит от правой коронарной артерии (на 2-3 см проксимальнее её начала) и в 45 % — от левой коронарной артерии (на 1 см проксимальнее её начала). У некоторых животных САУ (например, у собак) снабжается несколькими артериями или же одним сосудом. но образованным слиянием нескольких ветвей.

АВУ кровоснабжается от одноимённой артерией, которая в 80—90 % случаев является ветвью правой коронарной артерии, а в остальных — ветвью левой огибающей артерии[3].

Прободающая часть ствола Гиса кровоснабжается из артерии АВУ; правая ножка и передняя ветвь левой ножки — от передней межжелудочковой венечной артерии; задняя ветвь левой ножки — от задней межжелудочковой венечной артерии[3].

Иннервация

ПСС морфологически отличается как от мышечной, так и от нервной ткани, но находится в тесной связи и с миокардом, и с внутрисердечной нервной системой[3]. В характере иннервации и САУ, и АВУ существуют значительные межвидовые различия[1].

Общеизвестным считается, что САУ у животных можно отличить от рабочего миокарда по его богатой холинергической или адренергической иннервации. Однако известные межвидовые различия в характере иннервации САУ не позволяют эти сведения непосредственно переносить на человека. Исследования на эмбрионе человека выявили раннее формирование богатой нервной сети, содержащей холинэстеразу; отмечено также высокое в сравнении с миокардом предсердий содержание холинэстеразы в клетках САУ. Адренергическая иннервация и её развитие в сердце человека изучены недостаточно[1]. Вместе с тем, указывается, что САУ богато иннервирован симпатическими и правым парасимпатическим нервами сердца, которые вызывают, соответственно, положительный и отрицательный хронотропные эффекты[3].

Существующие морфологические данные не позволяют предполагать, что специализированная область АВ-соединения у человека имеет холинергическую или адренергическую иннервацию[1].

Эмбриология

Развитие сердца начинается с третьей недели внутриутробного развития. К середине 4 недели происходит разделение сердца на 2 камеры и формирование проводящей системы: начинается с образования синоатриального узла, с почти одновременным развитием остальной части проводящей системы.

В области впадения верхней полой вены в предсердие возможно выделить гистологически отличимый участок ткани уже на самых ранних стадиях эмбрионального развития; локализация этого участка примерно соответствует положению зрелого САУ. На ранних этапах развития САУ имеет наибольшие относительные размеры, и по мере роста сердца область, занимаемая САУ, уменьшается относительно объёма остальной ткани предсердия[1].

Знание особенностей эмбриогенеза области АВ-соединения в значительной мере облегчает понимание её анатомической структуры и клеточной архитектоники, ибо развитие ветвящейся и неветвящейся части и АВ-пучка связано с различными зонами первичной сердечной трубки[A: 4][1]. На самой ранней стадии развития миокард предсердий непрерывно переходит в миокард желудочков по всей окружности первичного атриовентрикулярного канала, причём миокард атриовентрикулярного кольца обладает гистологической специфичностью; а зачаток (промордиум) ответвляющейся части АВ-пучка находится на гребне мышечной части первичной межжелудочковой перегородки и соединяется с субэндокардиальной сетью в обоих желудочках. В самой задней своей части проксимальный сегмент АВ-пучка разветвляется и смыкается с каждой стороны со специализированной тканью первичного атриовентрикулярного кольца. Таким образом, развитие ветвящейся и неветвящейся частей АВ-пучка связано с различными зонами первичной сердечной трубки: ветвящаяся часть развивается в области соединения входного и выходного отделов желудочков, а неветвящаяся — на входной части межжелудочковой перегородки. В результате дальнейшего развития из тканей венечной борозды, эндокардиальных подушек и проводящей ткани формируется «сэндвич», который сохраняется и в зрелом сердце[1].

Гистология

Атипичные мышечные волокна сердца — это специализированные проводящие кардиомиоциты, богато иннервированные, с небольшим количеством миофибрилл и обилием саркоплазмы[B: 5].

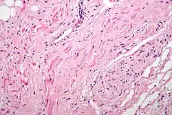
Синусовый узел

Микрофотография синусового узла. Мышечные волокна в узле напоминают миоциты сердца, однако они тоньше, имеют волнистую форму и менее интенсивно окрашиваются гематоксилин-эозином. На фотографии к узлу прилегает нервное волокно: синусовый узел взаимодействует с ответвлениями блуждающего нерва.

Клетки, составляющие синусовый узел, гистологически отличаются от клеток рабочего миокарда. Хорошим ориентиром служит выраженная a.nodalis (узловая артерия). Клетки синусового узла по размерам меньше клеток рабочего миокарда предсердия. Они группируются в виде пучков, при этом вся сеть клеток погружена в развитый матрикс. На границе синусового узла, обращенной к миокарду устья верхней полой вены, определяется переходная зона, которая может расцениваться как присутствие клеток рабочего миокарда предсердий в пределах синусового узла. Такие участки вклинения клеток предсердия в ткань узла чаще всего встречаются на границе узла и пограничного гребня (выступа стенки правого предсердия сердца, которым заканчиваются вверху гребенчатые мышцы)[1].

Гистологически синусовый узел состоит из т. н. типичных клеток узла. Они располагаются беспорядочно, имеют веретенообразную форму, а иногда разветвления. Для этих клеток характерно слабое развитие сократительного аппарата, случайное распределение митохондрий. Саркоплазматический ретикулум развит хуже, чем в миокарде предсердий, а система T-трубочек отсутствует. Это отсутствие, правда, не является критерием, по которому выделяются «специализированные клетки»: часто система T-трубочек отсутствует и в рабочих кардиомиоцитах предсердия.

По краям синусового узла наблюдаются переходные клетки, отличающиеся от типичных лучшей ориентацией миофибрилл наряду с более высоким процентом межклеточных соединений — нексусов. Находимые ранее «вставочные светлые клетки», по последним данным, являются не более чем артефактом.

Согласно концепции, предложенной T.James и соавт. (1963—1985), связь синусового узла с АВ-узлом обеспечивается за счет наличия 3-х трактов: 1) короткий передний (пучок Бахмана), 2) средний (пучок Венкебаха) и 3) задний (пучок Тореля), более длинный. Обычно импульсы попадают в АВУ по короткому переднему и среднему трактам, на что расходуется 35—45 мсек. Скорость распространения возбуждения по предсердиям составляет 0,8—1,0 м/с. Описаны и другие проводящие тракты предсердий; к примеру, по данным B.Scherlag (1972), по нижнему межпредсердному тракту возбуждение проводится из передней части правого предсердия в нижнезаднюю часть левого предсердия. Считается, что в физиологических условиях эти пучки, а также пучок Тореля находятся в латентном состоянии[3].

Вместе с тем, многими исследователями оспаривается существование каких-либо специализированных пучков между САУ и АВУ. Так, к примеру, в хорошо известной коллективной монографии[1] сообщается следующее:

Полемика по вопросу об анатомическом субстрате для проведения импульсов между синусовым и атриовентрикулярным узлами ведётся уже сто лет, сколько насчитывает и сама история изучения проводящей системы. (…) По мнению Aschoff, Monckeberg и Koch, ткань между узлами является рабочим миокардом предсердий и не содержит гистологически различимых трактов. (…) На наш взгляд, в качестве трёх указанных выше специализированных путей James дал описание практически всего миокарда предсердной перегородки и пограничного гребня. (…) Насколько нам известно, никто до сих пор на основе морфологических наблюдений не доказал, что в межсердечной перегородке и пограничном гребне проходят узкие тракты, каким-либо образом сравнимые с атриовентрикулярным трактом и его ответвлениями.

Область атриовентрикулярного соединения

С точки зрения гистологии, клетки предсердного компонента АВ-соединения мельче, чем клетки рабочего миокарда предсердий. Клетки переходной зоны имеют вытянутую форму и иногда разделены тяжами фиброзной ткани. В компактной зоне АВ-узла клетки расположены более тесно и часто организованы во взаимосвязанные пучки и завитки. Во многих случаях выявляется разделение компактной зоны на глубокий и поверхностный слои. Дополнительным покрытием служит слой переходных клеток, придающий узлу трехслойность. По мере перехода узла в проникающую часть пучка наблюдается увеличение размеров клеток, но в основном клеточная архитектоника сравнима с таковой в компактной зоне узла. Границу между АВ-узлом и проникающей частью одноимённого пучка трудно определить под микроскопом, поэтому предпочтительней чисто анатомическое разделение в районе точки входа оси в фиброзное тело. Клетки, составляющие ветвящуюся часть пучка, по своим размерам напоминают клетки миокарда желудочков.

Нижняя часть АВУ состоит из параллельно ориентированных волокон, которые в норме образуют только мостик из смежных клеток сердца через хрящевидное образование, создающее опору для клапанов сердца и электрически изолирующее предсердия от желудочков[5].

Коллагеновые волокна делят АВУ на кабельные структуры. Эти структуры создают анатомическую основу для продольной диссоциации проведения. Проведение возбуждения по АВУ возможно как в антероградном, так и в ретроградном направлениях. АВУ, как правило, оказывается функционально разделённым продольно на два проводящих канала (медленный α и быстрый β) — это создаёт условия для возникновения пароксизмальной узловой реципрокной тахикардии.

Пучок Гиса

Клетки левой ножки пучка Гиса можно отличить от клеток рабочего миокарда по их расположению и характеристиках при окрашивании[1].

Идентификация терминальных разветвлений в дистальных отделах обеих ножек пучка Гиса затруднена ввиду их цитологического сходства с обычным миокардом[1].

Волокна Пуркине

Бледные или набухшие клетки (так называемые клетки Пуркине) редко встречаются в миокарде предсердий и специализированной области атриовентрикулярного соединения у младенцев и детей младшего возраста; по мнению некоторых авторов являются там артефактами[1].

Клетки Пуркине самые крупные не только в проводящей системе, но и во всём миокарде[B: 10]. Клетки Пуркине в желудочках располагаются под эндокардом, объединяются в «волокна», по морфологии — круглые, светлые, овальной формы, без поперечной исчерченности; являясь одним из видов атипичных кардиомиоцитов, они практически не способны к сокращениям (из-за отсутствия или низкого содержания миофибрилл, Т-трубочек и митохондрий)[B: 11].

Благодаря обилию гликогена проводящие миоциты сердца отчётливо выделяются окраской гликогена кармином по методу Беста[B: 10]. При окраске азановым методом «волокна» (клетки) Пуркине приобретают голубовато-розовый цвет[B: 11].

Физиология

Общие сведения

Скорость проведения возбуждения по предсердию составляет около 1 м/с и волна возбуждения достигает АВУ примерно через 0,08 с после того, как она возникло в САУ. Распространение импульса возбуждения через зону АВУ происходит очень медленно (≈0,05 м/с), и потому между возбуждением предсердий и желудочков возникает промежуток длительностью ≈0,15 с. Специализированные волокна пучка Гиса и Пуркине проводят быстро (≈3 м/с) импульс по перегородке до субэндокардиальных слоёв миокарда, основания папиллярных мышц и далее, через пенетрирующие волокна, проходят в эпикардиальный слой мышечной ткани правого и левого желудочков. Затем волна возбуждения, проходя по многочисленным веточкам волокон Пуркине, достигает в конечном итоге клеток рабочего миокарда. Это приводит к почти одновременному возбуждению всех клеток желудочковой мускулатуры[5].

Нормальная регуляция

Функционирование проводящей системы сердца может регулироваться комплексом воздействий со стороны метаболитов, гуморальных факторов и нервной системы[B: 12][6][B: 13][7].

«Способность сердца к адаптации обусловлена двумя типами регуляторных механизмов[8]:

  1. внутрисердечной регуляцией (такая регуляция связана с особыми свойствами самого миокарда, благодаря чему она действует и в условиях изолированного сердца) и
  2. экстракардиальной регуляцией, которую осуществляют эндокринные железы и вегетативная нервная система».

Внутрисердечная регуляция

Работа сердца существенно модифицируется также и на уровне локальных интракардиальных (кардиально-кардиальных) рефлексов, замыкающихся в интрамуральных ганглиях сердца[6]. По сути дела внутрисердечные рефлекторные дуги — часть метасимпатической нервной системы. Эфферентные нейроны являются общими с дугой классического парасимпатического рефлекса (ганглионарные нейроны), представляя единый «конечный путь» для афферентных влияний сердца и эфферентной импульсации по преганглионарным эфферентным волокнам блуждающего нерва. Внутрисердечные рефлексы обеспечивают «сглаживание» тех изменений в деятельности сердца, которые возникают за счет механизмов гомео- или гетерометрической саморегуляции, что необходимо для поддержания оптимального уровня сердечного выброса[7].

Экстракардиальная регуляция

Сердце может быть эффекторным звеном рефлексов, зарождающихся в сосудах, внутренних органах, скелетных мышцах и коже; все эти рефлексы выполняются на уровне различных отделов вегетативной нервной системы, и рефлекторная дуга их может замыкаться на любом уровне, начиная от ганглиев и до гипоталамуса[6]. Можно привести следующие два примера рефлекторной регуляции активности САУ: рефлекс Гольтца проявляется брадикардией, вплоть до полной остановки сердца, в ответ на раздражение механорецепторов брюшины; рефлекс Данана — Ашнера проявляется урежением ЧСС при надавливании на глазные яблоки; и т. д.[6].

К экстракардиальной регуляции относят также гормональные влияния[6]. Так, гормоны щитовидной железы (тироксин и трийодтиронин) усиливают сердечную деятельность, способствуя более частой генерации импульсов, увеличению силы сердечных сокращений и усилению транспорта кальция; тироидные гормоны повышают и чувствительность сердца к катехоламинам — адреналину, норадреналину[7].

В качестве примера воздействия метаболитов можно привести воздействие повышенной концентрации ионов калия, которая оказывает на сердце влияние, подобное действию блуждающих нервов: избыток калия в крови вызывает урежение ритма сердца, ослабляет силу сокращения, угнетает проводимость и возбудимость[7].

Функциональное значение

Координируя сокращения предсердий и желудочков, ПСС обеспечивает ритмичную работу сердца, т.е нормальную сердечную деятельность. В частности, именно ПСС обеспечивает автоматизм сердца.

Функционально синусовый узел является водителем ритма первого порядка. В состоянии покоя в норме он генерирует 60—90 импульсов в минуту[3].

В АВ-соединении, главным образом в пограничных участках между АВУ и пучком Гиса, происходит значительная задержка волны возбуждения. Скорость проведения сердечного возбуждения замедляется до 0,02—0,05 м/с. Такая задержка возбуждения в АВУ обеспечивает возбуждение желудочков только после окончания полноценного сокращения предсердий. Таким образом, основными функциями АВУ являются: 1) антероградная задержка и фильтрация волн возбуждения от предсердий к желудочкам, обеспечивающие скоординированное сокращение предсердий и желудочков и 2) физиологическая защита желудочков от возбуждения в уязвимой фазе потенциала действия (с целью профилактики рециркуляторных желудочковых тахикардий). Клетки АВУ также способны брать на себя функции центра автоматизма второго порядка при угнетении функции САУ. Они обычно вырабатывают 40—60 импульсов в минуту.[3]

Патологии

Добавочные пучки между предсердиями и желудочками являются анатомическим субстратом для классического варианта предвозбуждения желудочков (синдром Вольфа-Паркинсона-Уайта)[B: 6].

См. также

Примечания

  1. 1 2 3 4 5 6 7 8 9 10 11 12 13 14 15 16 Мандел, 1996, Глава 2 Анатомия и гистология проводящей системы, с. 40—106.
  2. 1 2 3 Мандел, 1996, Глава 6 Нарушения функции синусового узла, с. 267—345.
  3. 1 2 3 4 5 6 7 8 9 10 11 12 13 Ардашев, 2009, Анатомия и физиология проводящей системы сердца, с. 35—41.
  4. ГИС : [арх. 3 января 2023] / Воскресенская Н. П. // Большая российская энциклопедия : [в 35 т.] / гл. ред. Ю. С. Осипов. М. : Большая российская энциклопедия, 2004—2017.
  5. 1 2 Морман, 2000, Глава 2. Основы строения и функции, с. 27—32.
  6. 1 2 3 4 5 Филимонов, 2002, § 11.3.3. Регуляция функций сердца, с. 453—463.
  7. 1 2 3 4 Судаков, 2000, Регуляция сердечной деятельности, с. 327—334.
  8. Шмидт, 2005, § 19.5. Приспособление сердечной деятельности к различным нагрузкам, с. 485.

Источники

Книги

  1. Mohrman D. E., Heller L. J. (в переводе под общ. ред. Р. В. Болдырева). Cardiovascular Physiology (Физиология сердечно-сосудистой системы). — 4-th. СПб.: Питер, 2000. — 256 с. — (Физиология). — ISBN 5-314-00164-0.
  2. The Conduction System of the Heart: Structure, Function, and clinical Implications / Wellens H.J.J., Lie K.I., Janse M.J. (eds). — Philadelphia: Lea and Febiger, 1976. — 708 с. — ISBN 9780812105643.
  3. The conduction system of the heart / Davies M.J., Anderson R.H., Becker A.E. (eds). — London: Butterworths, 1983. — ISBN 0-407-00133-6.
  4. Глязер Г. Исследователи человеческого тела. От Гиппократа до Павлова = Die Entdecker des Menschen. Von Hippokrates bis Pawlow / Пер. с нем. Ю. А. Федосюка. Под ред. Б. Д. Петрова. М.: Государственное издательство медицинской литературы, 1956. — С. 200. 7000 экз.
  5. 1 2 3 4 Борзяк Э. И., Бочаров В. Я., Сапин М. Р. и др. Анатомия человека. В 2 томах / Под ред. акад. РАНМ, проф. М. Р. Сапина. М.: Медицина, 1993. — Т. 2. — 560 с. 40 000 экз. — ISBN 5-225-00879-8.
  6. 1 2 Cardiac Arrhythmias. Their Mechanisms, Diagnosis, and Management / W. J. Mandel. — USA, Philadelphia: Lippincott Williams & Wilkins, 1987. — Т. 1. — 512 с. 10 000 экз. — ISBN 0-397-50561-2.
  7. Дудель Й., Рюэгг Й., Шмидт Р. и др. Физиология человека: в 3-х томах. Пер. с англ = Human Physiology / Под ред. Р. Шмидта, Г. Тевса. — 3-е изд.. М.: Мир, 2005. — Т. 2. — 314 с. 1000 экз. — ISBN 5-03-003576-1.
  8. Клиническая аритмология / Под ред. проф. А. В. Ардашева. М.: МЕДПРАКТИКА-М, 2009. — 1220 с. — ISBN 978-5-98803-198-7. Архивировано 29 октября 2013 года.
  9. ГИС Вильгельм младший / Гаврилов Л. Ф. // Большая медицинская энциклопедия : в 30 т. / гл. ред. Б. В. Петровский. — 3-е изд. М. : Советская энциклопедия, 1977. — Т. 6 : Гипотиреоз — Дегенерация. — 632 с. : ил.
  10. 1 2 Гистология / под ред. Ю. И. Афанасьева, Н. А. Юриной. М.: Медицина, 1998. — 744 с. 15 000 экз.
  11. 1 2 Кузнецов С.Л. Атлас по гистологии, цитологии и эмбриологии / под ред. С. Л. Кузнецов, Н. Н. Мушкамбаров, В. Л. Горячкина. М.: Медицинское информационное агентство, 2002. — С. 171. — 374 с. — ISBN 5-89481-055-8.
  12. Филимонов В. И. Руководство по общей и клинической физиологии. М.: Медицинское информационное агентство, 2002. — 958 с. 3000 экз. — ISBN 5-89481-058-2.
  13. Физиология. Основы и функциональные системы / под ред. К. В. Судакова. М.: Медицина, 2000. — 784 с. — ISBN 5-225-04548-0.

Статьи

  1. Keith A., Flack M. The form and nature of the muscular connections between the primary divisions of the vertebrate heart (англ.) // J Anat Physiol : журнал. — 1907. Vol. 41, no. Pt 3. P. 172—189. PMID 17232727. Архивировано 17 марта 2022 года.
  2. Lewis T., Oppenheimer B. S., Oppenheimer A. Site of origin of the mammalian heart beat: the pacemaker in the dog (англ.) // Heart : журнал. — 1910. No. 2. P. 147—169.
  3. Keith A., Flack M. The atrio-venricular bundle of the human heart (англ.) // Lancet : журнал. — 1906. Vol. 168, no. 4328. P. 359—364. doi:10.1016/S0140-6736(01)32375-9. PMID 15485521.
  4. Anderson R. H., Taylor I. M. Development of atrioventricular specialized tissue in the human heart (англ.) // Br. Heart J : журнал. — 1972. Vol. 34, no. 12. P. 1205—1214. doi:10.1136/hrt.34.12.1205. PMID 4567092.

Литература