Простая почечная киста

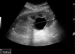
Простая почечная киста — киста первого типа по классификации, предложенной американским радиологом Мортоном А. Босняком в 1986 году[1]. Это доброкачественная простая киста с тонкой стенкой без перегородок, кальцификаций или твёрдых компонентов. Имеет плотность видимости 0–20 единиц[2] по шкале Хаунсфилда, что примерно равно плотности воды. Для определения кисты достаточно компьютерной томографии без внутривенного контрастного вещества на основе гадолиния. В случаях когда гадолиний вводится, простая киста 1-й категории не должна демонстрировать значительного усиления становясь ярче не более чем на 10 единиц Хаунсфильда.
Простые почечные кисты тонкие, круглые мешочки заполнены прозрачной жидкостью, и они не являются злокачественными.
Простые почечные кисты приобретаются, а не наследуются. Факторами риска являются возраст и мужской пол. Наличие простых кист увеличивается после 40 лет. Почечные кисты чаще всего выявляются при вскрытии или случайно при рентгенологических исследованиях. Простые почечные кисты чрезвычайно распространены, и заболеваемость увеличивается с возрастом. Приблизительно 25% людей в возрасте 40 лет и старше и приблизительно 50% людей в возрасте 50 лет и старше имеют простые почечные кисты. Простые почечные кисты могут удвоиться в размере за 10 лет. Одиночные почечные кисты обычно обнаруживаются случайно и обычно протекают бессимптомно. Множественные почечные кисты часто наблюдаются у пациентов с хроническим заболеванием почек на диализе. Простые почечные кисты, как правило, заполнены серозной жидкостью и имеют простую эпителиальную оболочку. Они могут иметь один слой кубовидного или уплощённого эпителия. Простая киста может иметь атрофический эпителиальный слой. Простые кисты обычно не влияют на функцию почек и обычно не влияют на тесты почечной функции. Однако в редких случаях простые кисты могут привести к нарушению функции почек. Редко простая киста может разорваться и кровоточить, заразиться патогенами или стать настолько большой, чтобы вызвать давление на другие органы, а также боль и дискомфорт в животе[3].
Возможными причинами могут являться: высокое кровяное давление[3], нарушение белковой поляризации[4], нарушение метаболизма, сбои в работе белковых комплексов межклеточных плотных соединений, обеспечивающих поступление воды и веществ в трубочки почечных нефронов[4], например белков семейства клаудинов[5], нарушения в работе белка р53 и другие факторы, исследования которых продолжаются.
Примечания
- ↑ Cobo, 2014, p. 1.
- ↑ Muglia, 2014, p. 4.
- 1 2 Garfield, 2019, p. 2.
- 1 2 Murat Seker, 2019, p. 3.
- ↑ Tight junction, 2008, p. 2.
Литература
- Cobo, Rafael Moreira; Bittencourt, Leonardo Kayat. History and importance of the Bosniak classification for complex renal cysts // Radiol Bras. — 2014. — № 47(6): IX. — doi:10.1590/0100-3984.2014.47.6e3.
- Valdair F. Muglia, Antonio Carlos Westphalen. Bosniak classification for complex renal cysts: history and critical analysis. — São Paulo, 2014.
- Karen Garfield, Stephen W. Leslie. Simple Renal Cyst. — 2019.
- Alan S. L. Yu, Sanae Alice Kanzawa, Alexander Usorov, Irma S. Lantinga-van Leeuwen, Dorien J. M. Peters, "Tight junction composition is altered in the epithelium of polycystic kidneys", 2008
- Murat Seker, Cármen Fernández-Rodríguez, Luis Alfonso Martínez-Cruz, Dominik Mülle. Mouse Models of Human Claudin-Associated Disorders: Benefits and Limitations Mouse Models of Human Claudin-Associated Disorders: Benefits and Limitations. — 2019.
- Tight junction composition is altered in the epithelium of polycystic kidneys. National Library of Medicine (2008).