Роптрии

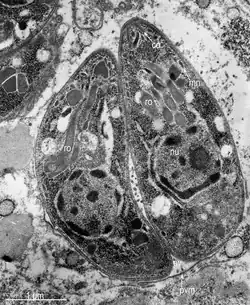
Роптрии — специализированные секреторные органеллы, свойственные представителям типа Apicomplexa. Имеют форму булавовидных органелл, соединённых тонкими шейками на апикальном полюсе паразита. Они могут различаться по числу и по форме и содержат многочисленные ферменты, которые высвобождаются в процессе проникновения паразита в клетки хозяина[2]. Роптрии также способствуют образованию особой паразитифорной («несущей паразита») вакуоли, в которой впоследствии и будет находиться паразит. Субклеточное фракционирование позволило выявить более 30 белков роптрий. Эти белки делят на две группы: ROP, расположенные во вздутой задней части, и RON, которые находятся в шейке — суженной передней части органеллы. Некоторые белки встраиваются в мембрану паразитофорной вакуоли. Одной из функций этих белков является подавление иммунитета хозяина[3].
Примечания
- ↑ Rigoulet, Jacques; Hennache, Alain; Lagourette, Pierre; George, Catherine; Longeart, Loïc; Le Net, Jean-Loïc; Dubey, Jitender P. Toxoplasmosis in a bar-shouldered dove (Geopelia humeralis) from the Zoo of Clères, France (англ.) // Parasite : journal. — 2014. — Vol. 21. — P. 62. — ISSN 1776-1042. — doi:10.1051/parasite/2014062. — PMID 25407506. — PMC 4236686.

- ↑ Bradley Peter J., Chris Ward, Stephen J. Cheng, David L. Alexander, Susan Coller, Graham H. Coombs, Joe Dan Dunn, David J. Ferguson, Sanya J. Sanderson, Jonathan M. Wastling and John C. Boothroyd. Proteomic Analysis of Rhoptry Organelles Reveals Many Novel Constituents for Host-Parasite Interactions in Toxoplasma gondii (англ.) // J. Biol. Chem. : journal. — 2005. — 7 October (vol. 280, no. 40). — P. 34245—34258. — doi:10.1074/jbc.M504158200. — PMID 16002398. Архивировано 15 июня 2009 года.
- ↑ Dubremetz J.F. Rhoptries are major players in Toxoplasma gondii invasion and host cell interaction.Cellular Microbiology, 2007, 9 (4), р.841-848