Светлоклеточный рак почки
| Светлоклеточный рак почки | |
|---|---|
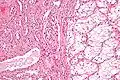
![]() Типичная гистологическая картина светлоклеточного рака почки в высоком разрешении. Окраска гематоксилином и эозином. | |
| МКБ-9-КМ | 189.0[1] |
Светлоклеточный рак почки — наиболее часто встречающаяся гистологическая разновидность рака почки. Обладает способностью вызывать выраженный противоопухолевый иммунный ответ организма. Вследствие этого иногда наблюдается спонтанная, даже в отсутствие всякого лечения, временная регрессия первичного очага опухоли и/или её метастазов, порой — вплоть до кажущегося временного полного исчезновения как первичного опухолевого очага, так и метастазов. Обычно такое явление можно наблюдать только на ранних стадиях заболевания, до начала активного метастазирования опухоли. Но иногда такое наблюдается и в более поздних стадиях светлоклеточного рака почки, когда у пациента уже имеются как ближайшие, так и отдалённые метастазы. Вместе с тем, без активного лечения, даже при кажущейся полной спонтанной регрессии как первичной опухоли, так и метастазов, светлоклеточный рак почки в дальнейшем неизбежно рецидивирует вновь. Иногда в начальных стадиях даже отмечается своего рода «волнообразное течение» этой болезни — с неоднократными спонтанными регрессиями или спонтанными стабилизациями и неоднократными последующими возобновлениями опухолевого роста и метастазирования. Однако затем этот волнообразный паттерн сменяется неуклонным прогрессированием болезни, характерным для всех прочих видов злокачественных опухолей и неизбежно приводящим к смерти пациента в случае отсутствия активного лечения или чрезмерно запоздалого лечения[2].
Высокая иммуногенность этого вида злокачественных опухолей почек, наряду с другими биологическими особенностями этой опухоли, обуславливает успешность применения иммунотерапии при ней[2].
Эпидемиология светлоклеточного рака почки
- Подавляющее большинство всех выявленных случаев светлоклеточного рака почки — наблюдались у мужчин пожилого и старческого возраста (60 — 70 лет и старше)[2];
- Подавляющее большинство случаев светлоклеточного рака почки развиваются спорадически, то есть в отсутствие каких-либо известных наследственных предрасполагающих факторов[2];
- Только 2 — 4 % от всех диагностированных случаев светлоклеточного рака почки относятся к тем случаям, в которых развитие этого вида злокачественных опухолей почек было лишь одним из проявлений более сложного синдрома наследственной предрасположенности к ряду видов злокачественных опухолей — например, к случаям болезни Гиппеля — Линдау[2].
Генетические особенности светлоклеточного рака почки
Цитогенетические особенности светлоклеточного рака почки
- От 70 % до 90 % от всех выявляемых случаев светлоклеточного рака почки имеют те или иные патологические изменения в длинном плече 3-й хромосомы, то есть в сегменте 3p[2];
- Часто выявляется инактивация гена болезни фон Гиппеля-Линдау, связанная с миссенс-мутацией и/или с гиперметилированием промотора этого гена[2];
- Часто выявляется удвоение короткого плеча 5-й хромосомы, то есть сегмента 5q[2];
- Часто выявляется полная или частичная потеря (делеция) длинного плеча 8-й и/или 9-й хромосом (то есть сегментов 8p и/или 9p) и/или полная или частичная делеция короткого плеча 14-й хромосомы (то есть сегмента 14q)[2].
Молекулярно-генетические особенности светлоклеточного рака почки
При светлоклеточном раке почки систематически выявляются мутации в определённых генах, в частности, в гене болезни Гиппеля-Линдау (VDL)[2].
Гистогенез светлоклеточного рака почки
Светлоклеточный рак почки развивается из клеток эпителия проксимальной части извитых канальцев почек[2].
Гистологические особенности светлоклеточного рака почки
Клетки светлоклеточного рака почки обычно имеют светлую, прозрачную цитоплазму, хорошо различимую клеточную мембрану, и содержат шарообразное, более или менее обычно выглядящее, ядро[2].
Консенсусом экспертов ВОЗ предложена следующая градация степени злокачественности светлоклеточного рака почки по микроскопически наблюдаемой гистологической картине[2]:
- 1-я степень: Клетки опухоли имеют базофильное и, в целом, не выглядящее сколь-нибудь подозрительным, ядрышко, которое с трудом различимо при увеличении в 400 раз;
- 2-я степень: Клетки опухоли имеют очерченное, хорошо различимое при увеличении в 400 раз ядрышко с эозинофильной, а не с базофильной окраской;
- 3-я степень: Клетки опухоли имеют очерченное и более крупное, чем в первых двух случаях, ядрышко, которое хорошо различимо уже при увеличении не в 400, а всего в 100 раз;
- 4-я степень: Клетки опухоли проявляют высокую или очень высокую (исключительную) степень плеоморфизма (то есть морфологически мало похожи одна на другую, имеют необычно большие различия строения и внешнего вида), выглядят низкодифференцированными, или же имеют рабдоидную либо саркоидную морфологию.
Лечение светлоклеточного рака почки
Таргетная терапия
Иммунотерапия
Хирургическое лечение
Химиотерапия
Лучевая терапия
Гормонотерапия
Аллогенная трансплантация гемопоэтических стволовых клеток или клеток костного мозга
Галерея изображений
8-сантиметровый в диаметре первичный очаг светлоклеточного рака почки у нижнего полюса удалённой почки.
Светлоклеточный рак почки под микроскопом. Окраска гематоксилином и эозином. Увеличение в 100 раз.
Светлоклеточный рак почки низкой (1-й) степени злокачественности под микроскопом. Окраска гематоксилином и эозином. Увеличение в 400 раз.
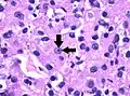
Светлоклеточный рак почки высокой (3-й) степени злокачественности. Окраска гематоксилином и эозином. Увеличение в 100 раз. Стрелочки указывают на чётко видимое ядрышко клетки.
Примечания
- ↑ Monarch Disease Ontology release 2018-06-29 — 2018-06-29 — 2018.
- 1 2 3 4 5 6 7 8 9 10 11 12 13 B. Ljungberg (председатель), L. Albiges, K. Bensalah, A. Bex (вице-председатель), R.H. Giles (адвокат пациентов), M. Hora, M.A. Kuczyk, T. Lam, L. Marconi, A.S. Merseburger, T. Powles, M. Staehler, A. Volpe. Клинические рекомендации по почечноклеточному раку от 2018 года, русскоязычный перевод (2018). Дата обращения: 20 августа 2021. Архивировано 20 августа 2021 года.
