Магнитно-резонансная томография
| Магнитно-резонансная томография | |
|---|---|
| |
| MeSH | D008279 |

.gif)
Магни́тно-резона́нсная томогра́фия (МРТ) — способ получения томографических медицинских изображений для исследования внутренних органов и тканей с использованием явления ядерного магнитного резонанса. Способ основан на измерении электромагнитного отклика атомных ядер, находящихся в сильном постоянном магнитном поле, в ответ на возбуждение их определённым сочетанием электромагнитных волн. В МРТ такими ядрами являются ядра атомов водорода, присутствующие в огромном количестве в человеческом теле в составе воды и других веществ[1].
МРТ не использует рентгеновские лучи или ионизирующее излучение, что отличает его от компьютерной (КТ) и позитронно-эмиссионной томографии. По сравнению с КТ, процедура МРТ более шумная и часто занимает больше времени, к тому же обычно требуется нахождение объекта в узком тоннеле. Кроме того, люди с некоторыми медицинскими имплантатами или другим несъёмным металлом внутри тела могут быть не в состоянии безопасно пройти МРТ.
История
Годом основания магнитно-резонансной томографии (МРТ) принято считать[2] 1973 год, когда профессор химии Пол Лотербур опубликовал в журнале Nature статью «Создание изображения с помощью индуцированного локального взаимодействия; примеры на основе магнитного резонанса»[3]. Позже Питер Мэнсфилд усовершенствовал математические алгоритмы получения изображения. В 2003 году обоим исследователям была присуждена Нобелевская премия по физиологии или медицине за их открытия, касающиеся метода МРТ. Однако вручению этой премии сопутствовал скандал, как бывало в ряде случаев, по поводу авторства открытия[4].
В создание магнитно-резонансной томографии известный вклад внёс также американский учёный армянского происхождения Реймонд Дамадьян, один из первых исследователей принципов МРТ, держатель патента на МРТ и создатель первого коммерческого МРТ-сканера. В 1971 году он опубликовал свою идею под названием «Обнаружение опухоли с помощью ядерного магнитного резонанса». Имеются сведения, что именно он изобрёл само устройство МРТ[5][6][7]. Кроме того, ещё в 1960 году в СССР изобретатель В. А. Иванов направил в Комитет по делам изобретений и открытий заявку на изобретение, где, по появившимся в начале 2000-х годов оценкам специалистов, были подробно обозначены принципы метода МРТ[8][9]. Однако авторское свидетельство «Способ определения внутреннего строения материальных объектов» № 1112266 на эту заявку, с сохранением даты приоритета её подачи, было выдано В. А. Иванову только в 1984 году[10][11][12].
Используемое в методе МРТ явление ядерного магнитного резонанса (ЯМР) известно с 1938 года. Первоначально применялся термин ЯМР-томография, который после Чернобыльской аварии в 1986 году был заменён на МРТ в связи с развитием радиофобии у людей. В новом названии исчезло упоминание о «ядерном» происхождении метода, что и позволило ему войти в повседневную медицинскую практику, однако используется и первоначальное название.
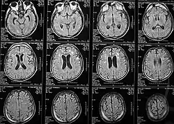
Томография позволяет визуализировать с высоким качеством головной, спинной мозг и другие внутренние органы. Современные технологии МРТ делают возможным неинвазивно (без вмешательства) исследовать работу органов — измерять скорость кровотока, тока спинномозговой жидкости, определять уровень диффузии в тканях, видеть активацию коры головного мозга при функционировании органов, за которые отвечает данный участок коры (функциональная магнитно-резонансная томография — фМРТ).
Метод

Метод ядерного магнитного резонанса позволяет изучать организм человека на основе насыщенности тканей организма водородом и особенностей их магнитных свойств, связанных с нахождением в окружении разных атомов и молекул. Ядро водорода состоит из одного протона, который имеет спин и меняет свою пространственную ориентацию в мощном магнитном поле, а также при воздействии дополнительных полей, называемых градиентными, и внешних радиочастотных импульсов, подаваемых на специфической для протона при данном магнитном поле резонансной частоте. На основе параметров протона (спинов) и их векторных направлений, которые могут находиться только в двух противоположных фазах, а также их привязанности к магнитному моменту протона можно установить, в каких именно тканях находится тот или иной атом водорода. Иногда могут также использоваться МР-контрасты на базе гадолиния или оксидов железа[13].
Если поместить протон во внешнее магнитное поле, то его магнитный момент будет либо сонаправлен, либо противоположно направлен магнитному полю, причём во втором случае его энергия будет выше. При воздействии на исследуемую область электромагнитным излучением определённой частоты часть протонов поменяют свой магнитный момент на противоположный, а потом вернутся в исходное положение. При этом системой сбора данных томографа регистрируется выделение энергии во время релаксации предварительно возбуждённых протонов.
Первые томографы имели индукцию магнитного поля 0,005 Тл, и качество изображений, полученных на них, было низким. Современные томографы имеют мощные источники сильного магнитного поля. В качестве таких источников применяются как электромагниты (обычно до 1—3 Тл, в некоторых случаях до 9,4 Тл), так и постоянные магниты (до 0,7 Тл). При этом, так как поле должно быть весьма сильным, применяются сверхпроводящие электромагниты, работающие в жидком гелии, а постоянные магниты пригодны только очень мощные, неодимовые. Магнитно-резонансный «отклик» тканей в МР-томографах на постоянных магнитах слабее, чем у электромагнитных, поэтому область применения постоянных магнитов ограничена. Однако постоянные магниты могут быть так называемой «открытой» конфигурации, что позволяет проводить исследования в движении, в положении стоя, а также осуществлять доступ врачей к пациенту во время исследования и проведение манипуляций (диагностических, лечебных) под контролем МРТ — так называемая интервенционная МРТ.
Для определения расположения сигнала в пространстве, помимо источника постоянного магнитного поля, которым может быть электромагнит или постоянный магнит, используются градиентные катушки, добавляющие к общему однородному магнитному полю градиентное магнитное возмущение. Это обеспечивает локализацию сигнала ядерного магнитного резонанса и точное соотношение исследуемой области и полученных данных. Действие градиента, обеспечивающего выбор среза, обеспечивает селективное возбуждение протонов именно в нужной области. Мощность и скорость действия градиентных усилителей относится к одним из наиболее важных показателей магнитно-резонансного томографа. От них во многом зависит быстродействие, разрешающая способность и соотношение сигнал/шум.

Современные технологии и внедрение компьютерной техники обусловили возникновение такого метода, как виртуальная эндоскопия, который позволяет выполнить трёхмерное моделирование структур, визуализированных посредством КТ или МРТ. Данный метод является информативным при невозможности провести эндоскопическое исследование, например, при тяжёлой патологии сердечно-сосудистой и дыхательной систем. Метод виртуальной эндоскопии нашёл применение в ангиологии, онкологии, урологии и других областях медицины.
Результаты исследования сохраняются в лечебном учреждении в формате DICOM и могут быть переданы пациенту или использованы для исследования динамики лечения.
До и во время процедуры МРТ
Перед сканированием требуется снять все металлические предметы, проверить наличие татуировок и лекарственных пластырей[14]. Продолжительность сканирования МРТ составляет обычно до 20—30 минут, но может продолжаться дольше. В частности, сканирование брюшной полости занимает больше времени, чем сканирование головного мозга.
Так как МР-томографы производят громкий шум, обязательно используется защита для ушей (беруши или наушники)[15]. Для некоторых видов исследований используется внутривенное введение контрастного вещества[14].
Перед назначением МРТ пациентам рекомендуется узнать: какую информацию даст сканирование и как это отразится на стратегии лечения, имеются ли противопоказания для МРТ, будет ли использоваться контраст и для чего. Перед началом процедуры: как долго продлится сканирование, где находится кнопка вызова и каким способом можно обратиться к персоналу во время сканирования[14].
МР-диффузия
МР-диффузия — метод, позволяющий определять движение внутриклеточных молекул воды в тканях.
Диффузионно-взвешенная томография
Диффузионно-взвешенная томография — методика магнитно-резонансной томографии, основанная на регистрации скорости перемещения меченных радиоимпульсами протонов. Это позволяет характеризовать сохранность мембран клеток и состояние межклеточных пространств. Первоначальное и наиболее эффективное применение — при диагностике острого нарушения мозгового кровообращения по ишемическому типу в острейшей и острой стадиях. Сейчас активно используется в диагностике онкологических заболеваний.
МР-перфузия
Метод, позволяющий оценить прохождение крови через ткани организма.
В частности, существуют специальные характеристики, указывающие на скоростной и объёмный приток крови, проницаемость стенок сосудов, активность венозного оттока, а также другие параметры, которые позволяют дифференцировать здоровые и патологически изменённые ткани:
- Прохождение крови через ткани мозга
- Прохождение крови через ткани печени
Метод позволяет определить степень ишемии головного мозга и других органов.
МР-спектроскопия
Магнитно-резонансная спектроскопия (МРС) — метод, позволяющий определить биохимические изменения тканей при различных заболеваниях по концентрации определённых метаболитов. МР-спектры отражают относительное содержание биологически активных веществ в определённом участке ткани, что характеризует процессы метаболизма. Нарушения метаболизма возникают, как правило, до клинических проявлений заболевания, поэтому на основе данных МР-спектроскопии можно диагностировать заболевания на более ранних этапах развития.
Виды МР спектроскопии:
- МР спектроскопия внутренних органов (in vivo)
- МР спектроскопия биологических жидкостей (in vitro)
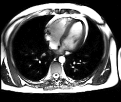
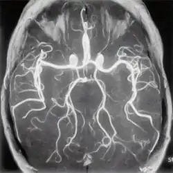
МР-ангиография

Магнитно-резонансная ангиография (МРА) — метод получения изображения просвета сосудов при помощи магнитно-резонансного томографа. Метод позволяет оценивать как анатомические, так и функциональные особенности кровотока. МРА основана на отличии сигнала от перемещающихся протонов (крови) от окружающих неподвижных тканей, что позволяет получать изображения сосудов без использования каких-либо контрастных средств — бесконтрастная ангиография (фазово-контрастная МРА и время-пролётная МРА). Для получения более чёткого изображения применяются особые контрастные вещества на основе парамагнетиков (гадолиний).
Функциональная МРТ
Функциональная МРТ (фМРТ) — метод картирования коры головного мозга, позволяющий определять индивидуальное местоположение и особенности областей мозга, отвечающих за движение, речь, зрение, память и другие функции, индивидуально для каждого пациента.
Суть метода заключается в том, что при работе определённых отделов мозга кровоток в них усиливается.
В процессе проведения ФМРТ пациенту предлагается выполнение определённых заданий, участки мозга с повышенным кровотоком регистрируются, и их изображение накладывается на обычную МРТ мозга.
МРТ позвоночника с вертикализацией (осевой нагрузкой)
Методика исследования пояснично-крестцового отдела позвоночника — МР-томография с вертикализацией. Суть исследования состоит в том, что сначала проводится традиционное МРТ-исследование позвоночника в положении лежа, а затем производится вертикализация (подъём) пациента вместе со столом томографа и магнитом. При этом на позвоночник начинает действовать сила тяжести, а соседние позвонки могут сместиться друг относительно друга и грыжа межпозвонкового диска становится более выраженной. Также этот метод исследования применяется нейрохирургами для определения уровня нестабильности позвоночника с целью обеспечения максимально надёжной фиксации. В России пока это исследование выполняется в единственном месте.
Измерение температуры с помощью МРТ
МРТ-термометрия — метод, основанный на получении резонанса от протонов водорода исследуемого объекта. Разница резонансных частот даёт информацию об абсолютной температуре тканей. Частота испускаемых радиоволн изменяется с нагреванием или охлаждением исследуемых тканей.
Эта методика увеличивает информативность МРТ-исследований и позволяет повысить эффективность лечебных процедур, основанных на селективном нагревании тканей. Локальное нагревание тканей используется в лечении опухолей различного происхождения[16].
Электромагнитная совместимость с медицинской аппаратурой
Сочетание интенсивного магнитного поля, применяемого при МРТ-сканировании, и интенсивного радиочастотного поля предъявляет экстремальные требования к медицинскому оборудованию, используемому во время исследований. Оно должно иметь специальную конструкцию и может иметь дополнительные ограничения по использованию вблизи установки МРТ.
Противопоказания
Существуют как относительные противопоказания, при которых проведение исследования возможно при определённых условиях, так и абсолютные, при которых исследование недопустимо:
Абсолютные противопоказания
- установленный кардиостимулятор (изменения магнитного поля могут имитировать сердечный ритм)
- ферромагнитные или электронные имплантаты среднего уха
- большие металлические имплантаты, ферромагнитные осколки
- ферромагнитные аппараты Илизарова.

Относительные противопоказания
- инсулиновые насосы[17]
- нервные стимуляторы
- неферромагнитные имплантаты внутреннего уха
- протезы клапанов сердца (в высоких полях, при подозрении на дисфункцию)
- кровоостанавливающие клипсы (кроме сосудов мозга)
- декомпенсированная сердечная недостаточность
- первый триместр беременности (пока собрано недостаточное количество доказательств отсутствия тератогенного эффекта магнитного поля, однако данный метод предпочтительнее метода рентгенографии и компьютерной томографии)
- клаустрофобия (панические приступы во время нахождения в тоннеле аппарата могут не позволить провести исследование)
- необходимость в физиологическом мониторинге
- неадекватность пациента
- тяжёлое/крайне тяжелое состояние пациента
- наличие татуировок, выполненных с помощью красителей с содержанием металлических соединений (могут возникать ожоги[18])
- зубные протезы и брекет-системы, так как возможны артефакты неоднородности поля.
Широко используемый в протезировании титан не является ферромагнетиком и практически безопасен при МРТ; исключение — наличие татуировок, выполненных с помощью красителей на основе соединений титана (например, на основе диоксида титана).
Дополнительным противопоказанием для МРТ является наличие кохлеарных имплантатов — протезов внутреннего уха. МРТ противопоказана при некоторых видах протезов внутреннего уха, так как в кохлеарном имплантате есть металлические части, которые содержат ферромагнитные материалы.
Если МРТ выполняется с контрастом, то добавляются следующие противопоказания:
- Гемолитическая анемия;
- Индивидуальная непереносимость компонентов, входящих в состав контрастного вещества;
- Хроническая почечная недостаточность, так как в этом случае контраст может задерживаться в организме;
- Беременность на любом сроке, так как контраст проникает через плацентарный барьер, а его влияние на плод пока плохо изучено.[19]
См. также
Примечания
- ↑ Donald W. McRobbie, Elizabeth A. Moore, Martin J. Graves and Martin R. Prince. MRI: From Picture to Proton. — 2-е изд.. — New York: Cambridge University Press, 2006. — С. 89, 137. — ISBN 978-0-521-86527-2.
- ↑ Филонин О. В. Общий курс компьютерной томографии : [арх. 12 апреля 2016] / Самарский научный центр РАН. — Самара, 2012. — 407 с. — ISBN 978-5-93424-580-2.
- ↑ Lauterbur P.C. Image Formation by Induced Local Interactions: Examples of Employing Nuclear Magnetic Resonance (англ.) // Nature : journal. — 1973. — Vol. 242, no. 5394. — P. 190—191. — doi:10.1038/242190a0. — .
- ↑ Изобретение МРТ | Марина Собе-Панек. sobepanek.com. Дата обращения: 5 февраля 2018. Архивировано из оригинала 12 февраля 2018 года.
- ↑ Реймонд Ваган Дамадьян, учёный и изобретатель (недоступная ссылка — история). 100lives.com. Дата обращения: 25 мая 2015.
- ↑ Chang, 2004.
- ↑ The Nobel Prize vs. the Truth of History (англ.). fonar.com. Дата обращения: 12 мая 2015. Архивировано 30 июня 2006 года.
- ↑ MacWilliams B. Russian claims first in magnetic imaging (англ.) // Nature : journal. — 2003. — November (vol. 426, no. 6965). — P. 375. — doi:10.1038/426375a. — . — PMID 14647349. Архивировано 30 июня 2016 года.
- ↑ Батенева Т. Привет Нобелю от Иванова: Как советский лейтенант-ракетчик перегнал Америку// Известия науки. 27.10.2003.
- ↑ Патенты Иванова Владислава. Дата обращения: 21 июля 2016. Архивировано 28 апреля 2021 года.
- ↑ Иванов В. А. Патент № 1112266. Способ определения внутреннего строения материальных объектов Архивная копия от 16 сентября 2016 на Wayback Machine
- ↑ Иванов В. А. Авторское свидетельство № 1112266. Способ определения внутреннего строения материальных объектов. 07.09.1984 (приоритет от 21.03.1960).
- ↑ http://ucrfisicamedica.files.wordpress.com/2010/10/mri.pdf Архивная копия от 23 декабря 2014 на Wayback Machine 8.8 Contrast agent theory
- 1 2 3 Center for Devices and Radiological Health. MRI (Magnetic Resonance Imaging) - What Patients Should Know Before Having an MRI Exam (англ.). FDA (22 января 2016). Дата обращения: 23 декабря 2016. Архивировано 23 декабря 2016 года.
- ↑ Center for Devices and Radiological Health. MRI (Magnetic Resonance Imaging) - Information for Professionals (англ.). FDA (7 ноября 2016). Дата обращения: 23 декабря 2016. Архивировано 23 декабря 2016 года.
- ↑ Viola Rieke, Kim Butts Pauly. MR Thermometry // Journal of magnetic resonance imaging : JMRI. — 2008-2. — Т. 27, вып. 2. — С. 376–390. — ISSN 1053-1807. — doi:10.1002/jmri.21265. Архивировано 25 ноября 2020 года.
- ↑ MRI scan — Who can have one? — NHS Choices. Дата обращения: 11 декабря 2014. Архивировано 11 декабря 2014 года.
- ↑ Tattoo-Induced Skin «Burn» During Magnetic Resonance Imaging in a Professional Football Player. Дата обращения: 30 сентября 2017. Архивировано 8 марта 2017 года.
- ↑ Противопоказания к проведению МРТ. МедОблако. Дата обращения: 23 ноября 2015. Архивировано 24 ноября 2015 года.
Литература
- Haacke, E Mark; Brown, Robert F; Thompson, Michael; Venkatesan, Ramesh. Magnetic resonance imaging: Physical principles and sequence design. — New York: J. Wiley & Sons, 1999. — ISBN 0-471-35128-8.
- Lee SC; Kim K; Kim J; Lee S; Han Yi J; Kim SW; Ha KS; Cheong C. One micrometer resolution NMR microscopy (англ.) // J. Magn. Reson. : j.. — 2001. — June (vol. 150, no. 2). — P. 207—213. — doi:10.1006/jmre.2001.2319. — . — PMID 11384182.
- Mansfield, P. NMR Imaging in Biomedicine : Supplement 2 Advances in Magnetic Resonance : [англ.]. — Elsevier, 1982. — ISBN 9780323154062.
- Eiichi Fukushima. NMR in Biomedicine: The Physical Basis. — Springer Science & Business Media, 1989. — ISBN 9780883186091.
- Bernhard Blümich; Winfried Kuhn. Magnetic Resonance Microscopy: Methods and Applications in Materials Science, Agriculture and Biomedicine (англ.). — Wiley, 1992. — ISBN 9783527284030.
- Peter Blümer. Spatially Resolved Magnetic Resonance: Methods, Materials, Medicine, Biology, Rheology, Geology, Ecology, Hardware (англ.) / Peter Blümler, Bernhard Blümich, Robert E. Botto, Eiichi Fukushima. — Wiley-VCH, 1998. — ISBN 9783527296378.
- Zhi-Pei Liang; Paul C. Lauterbur. Principles of Magnetic Resonance Imaging: A Signal Processing Perspective (англ.). — Wiley, 1999. — ISBN 9780780347236.
- Franz Schmitt; Michael K. Stehling; Robert Turner. Echo-Planar Imaging: Theory, Technique and Application (англ.). — Springer Berlin Heidelberg, 1998. — ISBN 9783540631941.
- Vadim Kuperman. Magnetic Resonance Imaging: Physical Principles and Applications (англ.). — Academic Press, 2000. — ISBN 9780080535708.
- Bernhard Blümich. NMR Imaging of Materials (англ.). — Oxford University Press, 2000. — ISBN 9780198506836.
- Jianming Jin. Electromagnetic Analysis and Design in Magnetic Resonance Imaging (англ.). — CRC Press, 1998. — ISBN 9780849396939.
- Imad Akil Farhat; P. S. Belton; Graham Alan Webb; Royal Society of Chemistry (Great Britain). Magnetic Resonance in Food Science: From Molecules to Man (англ.). — Royal Society of Chemistry, 2007. — ISBN 9780854043408.
- Хорнак Дж. П. Основы МРТ (1996—1999 г.)
- http://ucrfisicamedica.files.wordpress.com/2010/10/mri.pdf ISBN 978-0-521-86527-2
- Lauterbur P. C. All science is interdisciplinary — from magnetic moments to molecules to men // Les Prix Nobel. The Nobel Prizes 2003. — Nobel Foundation, 2004. — p. 245—251
- Mansfield P. Snap-shot MRI // Les Prix Nobel. The Nobel Prizes 2003. — Nobel Foundation, 2004. — p. 266—283
- Мэнсфилд П. Быстрая магнитно-резонансная томография // Успехи физических наук, 2005, т. 175, № 10, с. 1044—1052 (перевод на русский)
- Грек, А. Мозги на просвет: цветные мысли : [арх. 7 апреля 2014] // Популярная механика : журн. — 2008 . — № 2 (64) . — С. 54–58.
- МРТ при проведении электрофизиологических процедур
- Chang K. Denied Nobel for M.R.I., He Wins Another Prize (англ.). The New Yourk Times (23 марта 2004). Дата обращения: 25 мая 2015.
Ссылки
- Давыдов, Д. 8 мифов о магнитно-резонансной томографии / Д. Давыдов, А. Крючков // Тинькофф Журнал. — 2022. — 12 апреля.
