Транзиторная глобальная амнезия
| Транзиторная глобальная амнезия | |
|---|---|
| |
| МКБ-11 | MB21.12 |
| МКБ-10 | G45.4 |
| МКБ-10-КМ | G45.4 |
| МКБ-9 | 437.7 |
| МКБ-9-КМ | 437.7[1][2] |
| DiseasesDB | 13251 |
| eMedicine | neuro/380 |
| MeSH | D020236 |
Транзиторная глобальная амнезия
Общие данные
Транзиторная глобальная амнезия — острый эпизод ретроградной и антероградной амнезии, без иных неврологических нарушений, длительностью менее 24 часов, у людей среднего и пожилого возраста[3].
Синдром в клинической неврологии и психиатрии, характеризующийся эпизодом отключения памяти на период, как правило, от двух до восьми часов, а в редких случаях — до 1 дня[4]. Характеризуется внезапной утратой когнитивных функций, нарушением кратковременной памяти, то есть потерей способности фиксировать в памяти происходящие события, а также невозможностью вспомнить, что происходило в предшествующие дни, месяцы, годы, но (что принципиально важно) с сохранением в период «эпизода амнезии» способности к счету, выполнению сложных задач, и доступу к глубокой памяти, например к собственному имени, и личностям друзей и родственников[5][6].
Часто описывают развитие симптомов после стрессовой ситуации.
Механизм развития до конца не ясен.
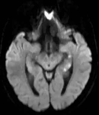
По данным МРТ может быть выявлена локальная ишемия в области гиппокампа и других структур головного мозга, отвечающих за память
История
Имеются упоминания о преходящих нарушениях памяти у Ribot (1882).У Benon в 1909, описан эпизод остро развившейся антеро- и ретроградной амнезии — «ictus amnésique». В середине 1950-х годов несколько исследователей описали пациентов с характерной для транзиторной глобальной амнезии симптомами: Hauge (1954 г.) описал пациентов с симптомами амнезии после ангиографии позвоночных артерий, в 1956 г. подробно описаны случаи транзиторной амнезии Bender, Youtat и Сourjon[7][8][9].
Эпидемиология
Распространенность: 3-10 на 100 тыс. населения[10].
Заболеваемость: для населения в целом уровень заболеваемости составляет порядка 5,2-10/100 000 в год. Если смотреть уровень заболеваемости у людей старше 50 лет, он составляет от 23,5 до 32/100 000 в год[11][12].
Чаще в возрасте 50-70 лет (развитие у лиц до 40 требует тщательного обследования и поиска других причин). Нет упоминаний о развитии транзиторной глобальной амнезии у лиц моложе 30 лет[13]
Этиология, Патогенез
Причины развития транзиторной глобальной амнезии до конца не ясны.
К анатомическим отделам, поражение которых может вызвать клиническую картину глобальной амнезии относят гиппокамп и медиобазальные отделы височной коры.
Предполагается, что в процесс вовлечены С1А нейроны гиппокампа, которые особенно уязвимы для метаболических нарушений (схожие с ТГА нарушения памяти бывают у людей с сахарным диабетом на фоне снижения уровня глюкозы в крови). Расположение гиппокампов в зоне так называемого «водораздела» (область которая снабжается кровью из конечных, самых маленьких по калибру сосудов, относящихся к разным артериям), располагает к тому, что он подвержен риску ишемии и метаболических нарушений[14].
Существует несколько теорий возникновения этого состояния. По одной из них механизм развития ТГА сходен с тем, что лежит в основе мигрени Согласно другой причина в ишемическом поражении гиппокампа. Также есть теории о роли нарушения венозного кровотока, пароксизмальная (эпилептиформная) активность.
ТГА и мигрень
Одна из теорий патогенеза ТГА, рассматривает это состояние как эквивалент мигрени (механизм распространяющейся корковой депрессии Leo в гиппокампе). Авторы данной теории указывают на высокую встречаемость мигрени у пациентов с ТГА (до 12-30 % людей перенесших ТГА имеют мигрень в анамнезе). А также часть пациентов описывают головную боль во время эпизода ТГА или вскоре после его завершения[13][15].
К ситуациям, которые могут спровоцировать развитие эпизода ТГА, относят:
- Острая стрессовая ситуация
- Внезапное погружение в холодную или горячую воду
- Физическую нагрузку
- Боль
- Половой контакт
- Маневр Вальсальвы и иные лечебные процедуры
Что может быть связано с нарушением венозного оттока из полости черепа из-за повышения венозного давления в системе верхней полой вены[16].
Но не во всех случаях возможно установить фактор, запускающий данное состояние.
Клиническая картина
Клиника транзиторной глобальной амнезии развивается остро. Люди с данной патологией не могут воспроизвести события, которые произошли во время и за какое-то время до развития события (ретроградная амнезия), а также теряют возможность запоминать новую информацию (антероградная амнезия). В первую очередь утрачивается память на недавние события (что соответствует закону Рибо, согласно которому наиболее свежие воспоминания, наиболее уязвимы)[17].
Память на отдаленные события сохранена. Также нет нарушений сознания и сохранена критика к своему состоянию. Пациенты осознают, что с ними что-то не так, обеспокоены этим (в отличие от пациентов с нарушенным сознанием). На фоне невозможности запоминать новую информацию пациенты постоянно задают одни и те же вопросы (Например: «что случилось?», «как я сюда попал?» и так далее). Время, в течение которого пациенты способны удерживать информацию в кратковременной памяти, составляет 30-180 секунд.[13]
Во время эпизода транзиторной амнезии может быть дезориентация в месте и времени, но ориентация в собственной личности сохранена.[18]
Отсутствуют грубые когнитивные нарушения, очаговые неврологические симптомы (такие как параличи, нарушения чувствительности, зрительные нарушения и другие), судороги.
Длительность эпизода составляет обычно несколько часов (в среднем 4-6 часов). По данным литературы от 30 минут до 24 часов, но могут быть и отклонения от этих значений.
После его окончания восстанавливается способность запоминать текущую информацию, но воспоминания о самом эпизоде (и иногда предшествующих событиях) могут не восстановиться.[3][19]
Диагностика
Основой постановки диагноза является клиническая картина.
Лабораторные и инструментальные обследования направлены на исключение иных заболеваний. Развернутая диагностика показана при повторных эпизодах транзиторной глобальной амнезии, особенно у молодых пациентов (моложе 40 лет).[19]
Пациентов с клинической картиной транзиторной глобальной амнезии госпитализируют:
- Осуществляется мониторинг жизненно важных функций
- Неврологический осмотр
- Стандартные лабораторные тесты (включая исследование крови на электролиты, коагулограмму)
- Нейровизуализация
При поступлении в стационар первоочередным скрининговым методом диагностики является КТ (компьютерная томография) головного мозга для исключения грубой структурной патологии.
Предпочтительным методом является МРТ головного мозга.
Проведение МРТ помогает исключить острое нарушение мозгового кровообращения, наличие объемных образований и другую структурную патологию. При транзиторной глобальной амнезии могут быть выявлены очаги ишемии в гиппокампе.[12]
- По показаниям: электроэнцефалография (для исключения эпилептиформной активности), исследование на алкоголь, токсины и иные методы диагностики
Диагностические критерии (по Ходжу и Варлоу 1990 г.)[20]
- Зафиксированная антероградная амнезия
- Отсутствие симптомов острой энцефалопатии, дезориентации в личности, отсутствие когнитивного дефицита вне амнезии
- Отсутствие очаговых неврологических симптомов
- Отсутствие недавней травмы головы
- Разрешение симптомов в течение 24 часов
Диагностические критерии (по D.Owen 2007 г.)[17]
- острое начало антероградной амнезии;
- отсутствие признаков спутанности и помрачения сознания во время эпизода амнезии;
- отсутствие других когнитивных нарушений;
- сохранность личностной идентификации;
- отсутствие очаговой неврологической симптоматики или признаков эпилептического припадка во время атаки и после неё;
- Отсутствие в недавнем прошлом мозговой травмы (ЧМТ) или эпилепсии;
- прекращение приступа в течение 24 ч;
- исключение других причин амнезии.
Дифференциальная диагностика
- Инсульт с вовлечением гиппокампа мезиальной височной области, таламуса или свода (свод- тяжи белого вещества, соединяющие между собой гиппокампы, сосцевидные тела). При поражении височной и/или затылочной доли можно также выявить гемианопсию. При поражении таламуса и свода может быть изолированный амнестический синдром.
- Амнезия после черепно-мозговой травмы
- Делирий (часто метаболический или инфекционный)
- Энцефалопатия Вернике и синдром Корсакова (на МРТ при Вернике: аномальный сигнал или изменения на DWI в медиальном таламусе, сосцевидных телах, околоводопроводной области и тектальной пластинке, реже в полушариях мозжечка)
- Психические расстройства
- Мигрень
- Транзиторная эпилептическая амнезия
- Бессудорожный ЭС
- Гипогликемия
- Токсины (например: бензодиазепины, антихолинергические препараты, наркотические средства)
Примечания
- ↑ Disease Ontology (англ.) — 2016.
- ↑ Monarch Disease Ontology release 2018-06-29 — 2018-06-29 — 2018.
- 1 2 Sara M. Nehring, Benjamin C. Spurling, Anil Kumar. Transient Global Amnesia (англ.) (2024 Jan. 2023 Jul 17). Дата обращения: 9 февраля 2024. Архивировано 1 сентября 2024 года.
- ↑ J R Hodges, C P Warlow. Syndromes of transient amnesia: towards a classification. A study of 153 cases. (англ.) // Journal of Neurology, Neurosurgery, and Psychiatry. — 1990-10. — Vol. 53, iss. 10. — P. 834—843. — ISSN 0022-3050. Архивировано 3 мая 2022 года.
- ↑ Logan, W; Sherman, D. Transient global amnesia (англ.) // Stroke. — Lippincott Williams & Wilkins, 1983. — Vol. 14, no. 6. — P. 1005—1007. — doi:10.1161/01.STR.14.6.1005. — PMID 6658982. Архивировано 6 июня 2011 года.
- ↑ Hodges; Warlow, C.P. Syndromes of transient amnesia: towards a classification. A study of 153 cases (англ.) // Journal of neurology, neurosurgery, and psychiatry : journal. — 1990. — Vol. 53, no. 10. — P. 834—843. — doi:10.1136/jnnp.53.10.834. — PMID 2266362. — PMC 488242.
- ↑ Sparaco, M., Pascarella, R., Muccio, C. F., & Zedde, M. Forgetting the unforgettable: Transient global amnesia part I: Pathophysiology and etiology (англ.) (2022). Дата обращения: 12 февраля 2024. Архивировано 12 февраля 2024 года.
- ↑ Е.А. Григорьева, Л.К. Хохлов. «К вопросу о биографической амнезии» // «Психиатрия и психофармакотерапия» (consilium-medicum) : Журнал. — 2010. — № 3 – 2010.
- ↑ Т.В. Мироненко, М.О. Мироненко, М.П. Смирнова, И.Ю. Жукова. «Транзиторная глобальная амнезия» // Український неврологічний журнал : Журнал. — 2012. — № 4. — С. 9—15.
- ↑ Magnus Harrison, Mark Williams. The diagnosis and management of transient global amnesia in the emergency department (англ.). Emerg Med J. (2007). Дата обращения: 9 февраля 2024. Архивировано 1 февраля 2024 года.
- ↑ Sara M. Nehring; Benjamin C. Spurling; Anil Kumar. Transient Global Amnesia (англ.) (17 июля 2023). Дата обращения: 9 февраля 2024. Архивировано 26 февраля 2023 года.
- 1 2 Roy Sucholeiki, MD. Transient Global Amnesia (англ.) (27 июля 2018). Дата обращения: 9 февраля 2024. Архивировано 8 сентября 2023 года.
- 1 2 3 Dirk Sander, Thorsten Bartsch, Florian Connolly, Christian Enzinger, Urs Fischer, Nils Nellessen, Holger Poppert, Kristina Szabo & Helge Topka. Guideline “Transient Global Amnesia (TGA)” of the German Society of Neurology (Deutsche Gesellschaft für Neurologie): S1-guideline (англ.). Neurological Research and Practice (20 апреля 2023). Дата обращения: 11 февраля 2024. Архивировано 1 декабря 2023 года.
- ↑ Sara M. Nehring; Benjamin C. Spurling; Anil Kumar. Transient Global Amnesia (англ.) (17 июля 2023). Дата обращения: 9 февраля 2024. Архивировано 26 февраля 2023 года.
- ↑ Caplan, L., Chedru, F., Lhermitte, F. Transient global amnesia and migraine // Neurology : журнал. — 1981.
- ↑ Roy Sucholeiki, MD. Transient Global Amnesia. Pathophysiology (англ.). medscape (27 июля 2018). Дата обращения: 9 февраля 2024. Архивировано 3 декабря 2023 года.
- 1 2 Н.В. Михайлова, В.И. Шмырев, Г.И. Резков, М.А. Струк, Ф.А. Селезнев. «Транзиторная глобальная амнезия в практике врача-невролога» // «Кремлевская медицина. Клинический вестник» : Журнал. — 2018. — № 3.
- ↑ Григорьева В.Н., Нестерова В.Н., Сорокина Т.А. Транзиторная глобальная амнезия в практике невролога приемно-диагностического отделения сосудистого центра // Неврологический журнал : журнал. — 2014. — № 3.
- 1 2 Juebin Huang , MD. Транзиторной общей амнезией. MSD manual (август 2023). Дата обращения: 10 февраля 2024. Архивировано 1 февраля 2023 года.
- ↑ Magnus Harrison, Mark Williams. The diagnosis and management of transient global amnesia in the emergency department (англ.) (2007). Дата обращения: 9 февраля 2024. Архивировано 1 февраля 2024 года.
