Хамер, Рике Герд
| Хамер, Рике Герд | |
|---|---|
| Ryke Geerd Hamer | |
| Дата рождения | 17 мая 1935 |
| Место рождения | Меттман |
| Дата смерти | 2 июля 2017 (82 года) |
| Место смерти | Саннефьорд |
| Гражданство | Германия |
| Род деятельности | врач, создатель «Германской новой медицины» |
| Дети | Birgit Hamer |
| Награды и премии | |
Рике Герд Хамер (17 мая 1935, Меттман — 2 июля 2017, Саннефьорд[1]) — немецкий врач, деятель альтернативной медицины. С начала 1980-х годов Хамер проповедовал псевдонаучные идеи о психосоматическом характере болезней, прежде всего онкологических, и утверждал, что может лечить рак, выявляя и устраняя эмоциональные конфликты. Развитую им теорию — «Германскую новую медицину» — врачи-онкологи называли не имеющей научного обоснования, опасной и неэтической.
В 1986 году Хамер был лишён разрешения на занятия врачебной практикой. Несмотря на это, Хамер в течение многих лет открывал «центры новой медицины» в разных европейских странах и брался за излечение тяжелых заболеваний. Он был несколько раз приговорён судами в Германии и Франции к лишению свободы и отбывал тюремные сроки. Известен ряд смертей пациентов, в том числе детей, которых сам Хамер или его последователи лечили в соответствии с методами «Германской новой медицины». В 1995 году Хамер привлёк к себе особое внимание европейских СМИ из-за истории с Оливией Пильхар — больной раком шестилетней девочкой, которую похитили из больницы и вывезли на лечение к Хамеру члены религиозной секты Fiat Lux. Помимо медицинских, Хамер также высказывал антисемитские и конспирологические взгляды. Отец фотомодели Биргит Хамер.
Биография
Хамер родился в 1935 году в Меттмане, земля Северный Рейн-Вестфалия, изучал медицину и протестантское богословие; в 1962 году по итогам сдачи государственного экзамена получил официальное разрешение на занятия врачебной практикой. В 1963 году защитил докторскую диссертацию по теме «Исследования влияния адаптинола на темновую адаптацию здорового глаза». В 1978 году Хамер переехал в Италию в связи с проблемами в бизнесе: он изобрёл скальпель и электрическую пилу для костей, которые оказались неудачными, и его начали преследовать кредиторы[2].
В декабре 1978 года скончался сын Рике Хамера, 19-летний Дирк[2] — ранее в этом году он был тяжело ранен в ногу в результате несчастного случая с огнестрельным оружием на яхте. Эта история стала предметом многолетних скандалов и судебных разбирательств европейского уровня, поскольку выстрел сделал принц Виктор Эммануил Савойский; в 1991 году суд снял с принца обвинения в убийстве[3]. Вскоре после смерти сына у самого Рике Хамера был диагностирован рак яичка; в 1981 году Хамер прошёл через хирургическую операцию по удалению яичка[2]. Хамер связал эти события и выстроил собственную теорию этиологии рака, оперируя понятиями «Синдром Дирка Хамера» и «Железное правило рака»[4]. В конечном счёте он распространил свои идеи не только на рак, но и на другие болезни, назвав получившуюся концепцию «Германской новой медициной» (нем. Germanische Neue Medizin)[2].
В 1981 году Хамер попытался защитить в Тюбингенском университете диссертацию «Синдром Хамера и железное правило рака», но получил отказ — рецензенты сочли, что диссертация не имеет научного обоснования, а у кандидата недостаточно знаний[2]. В последующие годы Хамер создавал в Германии и за её пределами частные практики и предлагал лечение от рака. Он уже в это время завоевал в Германии популярность среди поклонников альтернативной медицины; в 1982 году в бременском ток-шоу III nach Neu даже устроили его дебаты с онкологом Эрнстом Кроковски — Хамер держался настолько уверенно, а модератор дискуссии Удо Кёльш был настолько наивен, что Хамер в этом споре выглядел победителем[5].
В 1986 году окружная администрация Кобленца лишила Хамера разрешения на занятия врачебной практикой; иск, поданный Хамером по этому поводу, был отклонён судом по административным делам Кобленца 8 апреля 1986 года. Хамер позже пытался опротестовать это решение в судебном порядке, но его иски были отклонены 3 июля 1989 года тем же судом по административным делам Кобленца и 21 декабря 1990 года Высшим судом по административным делам земли Рейнланд-Пфальц. 12 января 1993 года гессенское экзаменационное ведомство отказалось восстановить разрешение по заявлению Хамера, ссылаясь на предыдущие решения судов, и ещё раз отклонило возражение Хамера на этот отказ 13 июля 1996 года, на этот раз уже в контексте скандальной истории с Оливией Пильхар[2][6]. В 1990 году Хамер открыл в Бургау (Австрия) «Центр новой медицины», который был закрыт австрийскими властями пять лет спустя[1].
В феврале 1993 года Хамер был приговорён Кёльнским окружным судом к 4 месяцам лишения свободы из-за дела пациента, страдавшего раком кости и в итоге потерявшего ногу; Хамер объяснял суду, что оказывал не лечение рака, а лишь «первую медицинскую помощь», поскольку считал проблемы пациента с ногой лишь следствием перелома[6]. В 1997 году тот же Кёльнский окружной суд приговорил Хамера уже к 1 году и 7 месяцам тюремного заключения за нарушение закона о занятиях медицинской практикой без лицензии или разрешения на медицинскую деятельность (нем. Heilpraktikergesetz): Хамер в 1995 году взялся за лечение троих онкологических больных — 9-летнего ребёнка, 29-летнего мужчины и 59-летней женщины; все они к моменту вынесения приговора умерли. По мнению судьи Вольфганга Хильгерта, Хамер руководствовался не корыстными побуждениями, а искренней верой в действенность своей «Новой медицины»; это не оправдывало того, что он вселял в родителей умершего мальчика ложные надежды, а после смерти пациента «сбежал из дома, как вор»[7]. Хамер отбыл один год заключения в тюрьме JVA Köln[2].
В начале 2000-х годов Хамер несколько лет жил и практиковал в Испании[4]. Во Франции он был осуждён судом за мошенничество и врачебную практику без лицензии — сначала в марте 2000 года к 18 месяцам лишения свободы без права на условно-досрочное освобождение, а затем ещё раз в 2004 году судом в Шамбери к трём годам лишения свободы; иск к Хамеру подавали родственники нескольких больных раком, под влиянием Хамера отказавшихся от традиционного лечения[8]. 9 сентября 2004 года Хамер был экстрадирован из Испании во Францию[6] и отбыл в тюрьме около половины срока[9].
В 2007 году Хамер перебрался в Норвегию — в Германии и Австрии все ещё действовали ордеры на его арест. Последние годы жизни Хамер прожил в Саннефьорде, где основал фиктивный «Саннефьордский университет» и выпускал книги с названиями в духе «СПИД: болезнь, которой не существует» и «Один против всех». Он до самой смерти пытался получить новое разрешение на занятия врачебной практикой, но получал отказы[2]. В 2016 году немецкое Общество научного изучения паранаук присудило Хамеру сатирическую антипремию «Золотая доска», выдаваемую за вклад в развитие псевдонауки[10]. В 2017 году 83-летний Хамер скончался после инсульта в своем доме в Саннефьорде[11].
Германская новая медицина
Хамер разработал свои идеи первоначально применительно к раку («Железное правило рака», нем. eiserne Regel des Krebses): по его мнению, рак вызывают эмоциональные конфликты. Неожиданный, подобный шоку и переполняющий человека эмоциональный конфликт вызывает «Синдром Дирка Хамера», в конечном счёте приводящий к раку или ракоподобному состоянию. Хамер утверждал, что эмоциональные процесс проходят одновременно в мозге и в различных органах тела, онтогенетически связанном с теми или иными участками мозга — это Хамер называл «онтогенетической системой опухолей». По мнению Хамера, в случае разрешения конфликта опухоли должны были быть автоматически разрушены «онтогенетически индуцированной микробной системой», включающей в себя вирусы, бактерии или грибы[4].

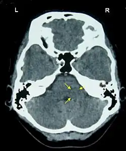
Хамер утверждал, что эмоциональные конфликты отражаются в тканях мозга возникновением «хамеровских очагов» — кольцеобразных структур, будто бы видимых на томографических снимках мозга; по расположению и выраженности «очагов» на снимках мозга Хамер якобы мог определять затронутые органы, первопричинный конфликт и его стадию. Разработанная Хамером теория чрезвычайно сложна и включает в себя взаимодействие разных конфликтов в «идентичных» и «неидентичных» стадиях; особое внимание уделяется преобладающей руке пациента. Хамер использовал при диагностике заболеваний собственную необычную номенклатуру наподобие «абсанс с вовлечением надкостницы» или «язвенная эпилепсия интимы коронарной вены». По утверждению Хамера, традиционная онкология убивает людей вместо того, чтобы лечить — причиной смерти якобы становятся эмоционально травмирующие «диагнозы и прогнозы», и новые эмоциональные конфликты приводят к развитию метастазов. Хамер высказывался против химиотерапии, лучевой терапии, хирургического удаления опухолей, даже использования обезболивающих при раке — лечение сводилось к поиску эмоционального конфликта, лежащего в основе заболевания; после его разрешения опухоль должна была пройти сама собой. Если рак у пациента продолжал прогрессировать, это объяснялось недостаточными усилиями больного по разрешению эмоционального конфликта[4].
В рамках своей теории Хамер сформулировал пять «биологических законов природы» (нем. biologischen Naturgesetze, 5BN)[2]:
- Причиной всех болезней являются психологические шоковые переживания, когда какое-либо событие вступает в противоречие с ценностями, опытом или установками человека.
- В фазе выздоровления органы восстанавливаются сами собой, если осознан и разрешен вызвавший заболевание психологический конфликт.
- Разные ткани принадлежат к одному из трёх «зародышевых листков Хамера», что объясняет, почему один и тот же конфликт вызывает различные симптомы в разных тканях.
- Все инфекции являются психосоматическими. По мнению Хамера, никакие микроорганизмы не являются патогенами — это «помощники в лечении» (нем. Heilungshelfer), появляющиеся на этапе регенерации. Вирусы — это якобы «незавершённые молекулярные и аминокислотные соединения», которые встраиваются в клетки в фазе заживления.
- Болезни — это «целесообразные биологические специальные программы» (нем. Sinnvolle Biologische Sonderprogramme), запускаемые самим организмом в качестве положительной реакции на шоковые переживания. Современный человек, живущий в неестественных, ненатуральных условиях, не может осознать их полезность.
Хамер утверждал, что сам проверил и доказал правоту своих пяти законов; покойный сын Дирк якобы являлся ему во сне и подтверждал открытия[2]. На сайтах Хамера и его последователей размещены «результаты независимых проверок» (нем. Verifikationen) — коротких документов с подписями неких людей с докторскими степенями или печатями различных учреждений и организаций, например, компании Siemens или «окружной администрации Тульна», зачастую с заявлением о намерениях провести некую проверку в будущем. Один из таких документов представляет собой запрос в деканат Дюссельдорфского университета с утверждением о том, что соответствующая документация будет направлена университету позже. Другое подтверждение было будто бы сделано тремя представителями Трнавского университета в Словакии, хотя и не подкреплено какими-то публикациями или данными[4][2].
Среди необычных медицинских идей Хамера были и такие: кариес у немецких детей вызывается «затруднением прикуса» (нем. Beisshemmung), в свою очередь, вызванного травлей со стороны одноклассников-иностранцев; СПИД является аллергией на смегму, и евреи им не болеют, так как обязательно проходят обрезание[12]. Хамер отрицал существование ВИЧ, утверждал, что «ВИЧ — это обычная аллергия» и «лечение от мнимого вируса убило миллионы людей во всём мире» и уже в свои годы в жизни в Норвегии направлял главному окружному врачу открытое письмо с требованием доказать, что вирус ВИЧ существует. Он брался в том числе и за лечение 11-месячной ВИЧ-положительной девочки Мириэль, госпитализированной в больницу Граца против воли ВИЧ-положительных родителей; по заявлению Хамера, «Я бы вообще не стал лечить Мюриэль, потому что ВИЧ — это всего лишь аллергия»[13].
Критика и жертвы
Утверждения Хамера не были подтверждены какими-либо статьями в рецензируемых медицинских журналах; в международной базе данных PubMed отсутствует информация об исследованиях, подтверждающих «революционные» открытия Хамера. «Очаги» на томографических снимках, по которым Хамер пытался ставить диагнозы, являются типичными для снимков низкого качества артефактами изображения[2]. Швейцарская онкологическая лига в 2001 году называла методы Хамера «опасными, убаюкивающими пациентов и внушающими им ложное чувство безопасности»[4]. Немецкое онкологическое общество называло «Германскую новую медицину» теорией, «основанной на собственной биографии и снах Хамера и не имеющей научного или эмпирического обоснования». Практику Хамера применительно к онкологическим заболеваниям Немецкое онкологическое общество характеризовало как опасную и неэтическую, поскольку пациенты с излечимыми заболеваниями, отказываясь от настоящего лечения, теряли шанс на выздоровление, а пациенты с неизлечимыми, нуждающиеся в паллиативной помощи — возможность продления жизни и даже контроля болевых симптомов, поскольку Хамер считал боль необходимым и нормальным элементом выздоровления[6].
Der Spiegel описывал произошедшую в 1989 году в Гамбурге историю с 18-летним студентом, страдавшим от болей в колене — у него был обнаружен рак кости. Дядя посоветовал пациенту обратиться к «чудо-целителю» Хамеру, который наложит на больную ногу гипс и пообещал студенту полное выздоровление в течение шести недель. Этого не произошло — боль становилась всё сильнее; пациент выжил, но ему ампутировали ногу[5]. В 1995 году в разгар скандала с Оливией Пильхар Врачебная палата Штирии сообщала о 40 умерших пациентах в связи с хамеровским «Центром новой медицины» в Бургау. Журнал Der Spiegel в то же время сообщал, что из 50 онкобольных, которых лечил Хамер, выжили только 7[5]. Список «жертв Германской новой медицины» составленный в 2008 году блогером Арибертом Декерсом на сайте ariplex.com, включал 149 записей об умерших пациентах[14][15]. Помимо истории с Пильхар, огласку получил случай с 25-летним Сёреном В. — у него в 2002 году диагностировали рак яичек, но больной, доверяя Хамеру, отказался от обычного лечения и умер год спустя[14]. В 2010 году умерла от рака 12-летняя Сюзанна из Германии, которую тоже лечили «Германской новой медициной»; за шесть недель до её смерти Хамер объявил, что девочка «практически здорова»[16]. В 2015 году в немецкой прессе обсуждалась смерть четырёхлетней Сигильд Б., умершей в 2009 году от полиорганной недостаточности — её родители, неоязычники-фёлькише, под влиянием идей Хамера отказывались давать страдавшей сахарным диабетом дочери инсулин[17][18].
Дело Оливии Пильхар
В 1995 году фигура Хамера привлекла особый интерес немецкой и австрийской прессы в связи с делом Оливии Пильхар — шестилетней девочки, у которой была в мае этого года была диагностирована нефробластома. Врач, поставивший диагноз, направил Оливию в детскую больницу Святой Анны в Вене, но родители Оливии также обратились к Хамеру, которого им посоветовали в венском магазине эзотерической литературы Rydl[5].
Хотя родители Оливии отказались от химиотерапии, благодаря журналисту Бенгту Пфлюгхаупту история попала на телевидение и в газеты; больница Святой Анны, уже имевшая раньше дело с Хамером и его методами и уже потерявшая четырёх пациентов, отказалась отпустить девочку — на фоне скандала родителей перестали пускать в больницу; Оливии был назначен законный опекун — государственный служащий. Хамер убедил родителей Оливии, что австрийские власти преследуют их и хотят убить Оливию, и что и ему, и семье Пильхаров нужно бежать из Австрии. Четыре члена секты Fiat Lux помогли выкрасть Оливию из больницы и вывезли семью на озеро Кимзе в Баварии; далее семья с Хамером бежала через Швейцарию на Мальту, а потом в Испанию. Хамер оказывал Оливии лечение в соответствии со своими представлениями — например, отправлял семью отдыхать на пляже, тогда как опухоль продолжала расти и вызывала сильные боли[5].
Оливия Пильхар была возвращена в Австрию после переговоров властей с родителями девочки спустя два месяца после побега; к этому моменту опухоль в брюшной полости достигла объема 5 литров, и само выживание Оливии было под вопросом — если на момент первой госпитализации в мае 1995 года успех лечения венские клиницисты оценивали в 95 процентов, в июле — в 50 процентов, а в августе — лишь в 10 процентов[5]. Как побег, так и дальнейшее пребывание Оливии в больнице приковывали к себе интерес общественности — ей посвящали статьи и телепередачи, называли «самой знаменитой онкобольной в Европе»; родители Оливии, сохранявшие веру в Хамера, проводили перед больницей демонстрации вместе с другими сторонниками целителя и на короткое время объявляли голодовку[5]. Несмотря на пессимистические прогнозы, Оливия была успешно прооперирована и выздоровела; её родители были приговорены к 8 месяцам лишения свободы каждый за причинение вреда здоровью и похищение несовершеннолетнего из-под законной опеки[9]. Она была всё ещё жива в 2017 году. Несмотря на всё произошедшее, её отец Хельмут Пильхар остался пылким поклонником Хамера и одним из самых известных проповедников «Германской новой медицины»; он ездил по Австрии с лекциями и организовывал онлайн-семинары[16].
Антисемитизм и теории заговора
Хамер на протяжении многих лет высказывал антисемитские идеи, направленные против евреев, которые, по его мнению, контролируют официальную медицину. Он называл свою «Германскую новую медицину» «чудесным даром богов» и заявлял, что «вороватые как сороки» евреи желают украсть её и объявить «еврейской новой медициной». Позже Хамер утверждал, что это «похищение» уже произошло и что еврейские врачи «уже 20 лет» лечат своих соплеменников только «Германской новой медициной», и ни один еврей не получает химиотерапию, тогда как неевреев принуждают практиковать «иудейскую религиозную» традиционную медицину с химиотерапией и морфином, от которой 98% больных умирает[6][19]. Себя Хамер объявлял жертвой гонений со стороны правящих миром «еврейских лож», под влиянием которых учёные, журналисты и судьи ведут «беспрецедентную кампанию по подавлению познания»; он называл применение химиотерапии «химическим холокостом» и считал, что евреи желают умертвить нееврейское население мира, что сделает возможным «мессианское царство евреев»[19]. Хамер заявлял, что еврейские врачи под видом химиотерапии вводят в тела пациентов «чипы» с «камерами с ядом», чтобы потом избирательно убивать пациентов через спутник[1].
Он также выступал против вакцинации, заявляя, что таким образом людей также «чипируют»[1]. В частности, в интервью журналу News в 2010 году Хамер утверждал, что массовая вакцинация против пандемии гриппа H1N1 была злокозненной и также связанной с чипированием — «при каждой вакцинации в тело пациента вводили микрочип, остающийся в кровотоке на всю жизнь». По его мнению, эта технология была разработана «спецслужбами», и целью «чипирования» было «уничтожение населения мира»[13]. В интервью итальянскому телевидению в 2006 году Хамер заявлял, что не верит в Холокост «по крайней мере, в том виде, в каком нам о нём рассказывают», отрицает то, что человек был на Луне и то, что башни-близнецы были взорваны арабами[12].
Наследие
Даже после смерти Хамера в Германии и Австрии действует множество его последователей; по утверждению сторонников «Германской новой медицины», их число превышало 100 тысяч. Немецкое издание Vice обнаружило несколько крупных групп в Facebook, посвящённых «Германской новой медицине» – на них было подписано около 10 тысяч пользователей социальной сети[11]. Рейхсбюргер Петер Фицек, объявивший себя «королём новой Германии» и купивший землю в Саксонии для строительства нового общества, был адептом «Германской новой медицины» и намеревался в своей общине применять только её[20].
См. также
Примечания
- 1 2 3 4 Michael Wosatka. „Wunderheiler“ Ryke Geerd Hamer ist tot (нем.). Архивная копия от 13 августа 2023 на Wayback Machine
- 1 2 3 4 5 6 7 8 9 10 11 12 Müller, Henrik; Nicola Kuhrt, Sigrid März, Henrik. Warum Menschen auf selbsternannte Gesundheitsberater hören - und doch besser auf ihren Rat verzichten sollten (нем.). MedWatch (11 января 2022). Дата обращения: 12 августа 2023. Архивировано 6 июня 2023 года.
- ↑ Gottardello, Antonio. Prince Victor Emmanuel sentenced to two years for libel (нем.). www.italianinsider.it (9 июля 2023). Дата обращения: 12 августа 2023. Архивировано 12 августа 2023 года.
- 1 2 3 4 5 6 Swiss Study Group for Complementary and Alternative Methods in Cancer, SCAC. Hamer's 'New Medicine' (PDF). Swiss Cancer League (2001). Дата обращения: 7 мая 2011. Архивировано из оригинала 23 марта 2012 года.
- 1 2 3 4 5 6 7 „Kampf gegen die Stärksten“ : [арх. 14 августа 2023] // Spiegel. — 1995. — № 32 (6 августа).
- 1 2 3 4 5 Germanische Neue Medizin® nach Dr. Hamer (нем.). Deutschen Krebsgesellschaft (DKG). Дата обращения: 13 августа 2023. Архивировано 13 августа 2023 года.
- ↑ Nach dem Urteil Tumulte im Gerichtssaal - WELT (нем.). Die Welt (9 октября 1997). Дата обращения: 13 августа 2023. Архивировано 13 августа 2023 года.
- ↑ Haftstrafe für "Krebs-Heilpraktiker" Geerd Hamer (австр.). Der Standard (6 июля 2004). Дата обращения: 13 августа 2023. Архивировано 13 августа 2023 года.
- 1 2 Opfer und Medienstar: Der Fall Olivia Pilhar (нем.). Die Presse (16 января 2010). Дата обращения: 13 августа 2023. Архивировано 13 августа 2023 года.
- ↑ Pfaffenzeller, Martin; Martin Pfaffenzeller und Julia Köppe, Martin. Pseudowissenschaft: Ryke Geerd Hamer gewinnt Goldenes Brett (нем.). Der Spiegel (12 октября 2016). Дата обращения: 13 августа 2023. Архивировано 27 марта 2023 года.
- 1 2 Kogel, Dennis; Kogel, Dennis, Dennis. Der wohl berühmteste deutsche "Wunderheiler" ist tot (нем.). Vice (5 июля 2017). Дата обращения: 13 августа 2023. Архивировано 2 сентября 2023 года.
- 1 2 Lauer, Stefan; Stefan Lauer, Stefan. Ryke Geerd Hamer ist tot (нем.). Belltower.News (6 июля 2017). Дата обращения: 13 августа 2023. Архивировано 2 июня 2023 года.
- 1 2 Ryke Geerd Hamer: "HIV ist eine ganz normale Allergie" (австр.). DER STANDARD (14 января 2010). Дата обращения: 13 августа 2023. Архивировано 2 сентября 2023 года.
- 1 2 Bogner, Verena; Bogner, Verena, Verena. Die Scharlatanerie der „Germanischen Neuen Medizin“ (нем.). Vice (20 февраля 2014). Дата обращения: 13 августа 2023. Архивировано 13 августа 2023 года.
- ↑ Aribert Deckers. Tot durch Ryke Geerd Hamer (нем.). Дата обращения: 15 августа 2023. Архивировано 18 июля 2014 года.
- 1 2 Michaela Reibenwein. Die eigenartige Welt des Herrn Pilhar (нем.). kurier.at (21 мая 2017). Дата обращения: 13 августа 2023. Архивировано 13 августа 2023 года.
- ↑ Andreas Speit. Prozess zu verstorbener Vierjähriger: Rohkost statt Insulin (нем.). Die Tageszeitung: taz (10 февраля 2015). Дата обращения: 13 августа 2023. Архивировано 13 августа 2023 года.
- ↑ Andrea Roepke, Djamila Benkhelouf. Das wirre Weltbild der Germanischen Neuen Medizin (нем.). www.ndr.de. Дата обращения: 13 августа 2023. Архивировано 13 августа 2023 года.
- 1 2 Speit, Andreas; Andreas Speit, Andreas. der rechte rand: Germanisch gegen den Krebs (нем.). Die Tageszeitung: taz 24 (30 января 2006). Дата обращения: 13 августа 2023. Архивировано 2 июня 2023 года.
- ↑ Baeck, Jean-Philipp; Jean-Philipp Baeck, Andreas Speit, Jean-Philipp. Rechtes Schloss in Sachsen: Ein Königreich für einen Koch (нем.). Die Tageszeitung: taz (31 мая 2022). Дата обращения: 13 августа 2023. Архивировано 13 августа 2023 года.
Литература
- Matthias Pöhlmann. Rechte Esoterik. Wenn sich alternatives Denken und Extremismus gefährlich vermischen.. — Freiburg/Basel/Wien: Herder, 2021. — С. 174–181. — ISBN 978-3-451-82601-6.
Внешние ссылки
- Martin Sökler. Gutachterliche Stellungnahme für die Deutsche Krebsgesellschaft zur „Germanischen Neuen Medizin (GNM)“, begründet von Dr. med. Ryke Geerd Hamer (pdf; 66 kB). krebsgesellschaft-mv.de (2 августа 2006). Дата обращения: 14 августа 2023. Архивировано 5 февраля 2016 года.
- Alma Fatmi. Die ideologischen Hintergründe der Germanischen Neuen Medizin // Rassismus im neuen Gewand. Herausforderungen im Kommunikationszeitalter 4.0. — München : Hrsg. von Udo Schuster., 2017. — P. 81–112.
- Schweizerische Studiengruppe für Komplementäre und Alternative Methoden bei Krebs (SKAK). Hamers „Neue Medizin“ (pdf; 342 kB). krebsliga.ch (11 июня 2010). Дата обращения: 14 августа 2023. Архивировано 4 февраля 2018 года.
- Christoph Grotepass. Die „Germanische Neue Medizin“ von Ryke Geerd Hamer. Sekten-Info NRW (13 апреля 2016). Дата обращения: 14 августа 2023.