Хламидомонада снежная
| Хламидомонада снежная | ||||||||||||
|---|---|---|---|---|---|---|---|---|---|---|---|---|
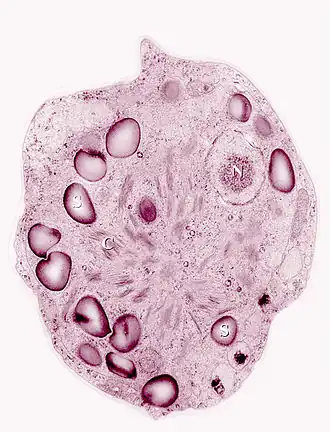
![]() Срез клетки, визуализированный средствами трансмиссионной электронной микроскопии (окраска добавлена при цифровой обработке) | ||||||||||||
| Научная классификация | ||||||||||||
|
Домен: Царство: Подцарство: Отдел: Класс: Порядок: Семейство: Хламидомонадовые Род: Вид: Хламидомонада снежная |
||||||||||||
| Международное научное название | ||||||||||||
| Chlamydomonas nivalis (F.A.Bauer) Wille, 1903 | ||||||||||||
| ||||||||||||
Хламидомона́да сне́жная[1] (лат. Chlamydomonas nivalis) — вид одноклеточных зелёных водорослей из порядка Chlamydomonadales. Благодаря способности существовать при низких температурах и наличию красного пигмента астаксантина, вызывают явление «красного снега».
Описание
Известна своей особенностью существовать при низких температурах. Кроме неё открыто еще более 350 видов таких водорослей. Попадая в атмосферу при испарении воды, они окрашивают снег в оттенки черного, бурого или желтого[2].
Водоросль может развиваться на поверхности воды, снега и льда[2]. Зацветает после самого темного и холодного периода зимы, при незначительном нагреве воды, которая зеленеет и, по мере того, как погода проясняется, розовеет или краснеет. Температура +4 °С уже гибельна[2]. Благодаря защите от ультрафиолетового излучения, которое опасно для других организмов на высотах, может размножаться на высоте до 3,7 км над уровнем моря[2].
Аналоги
Существуют и другие водоросли снега и льда, обеспечивающие природное явление «цветение снега»[3]:
Иллюстрации
Полосы «арбузного снега»
Ямы «арбузного снега»
Примечания
- ↑ Водоросли снега и льда // Биология. Большой биологический энциклопедический словарь / Гл. ред. М. С. Гиляров. — Москва: Большая Российская энциклопедия, 1998. — С. 688. — 864 с. — ISBN 5-85270-252-8.
- 1 2 3 4 В Колорадо выпал розовый снег, по вкусу похожий на арбуз. Дата обращения: 22 декабря 2010. Архивировано 28 октября 2012 года.
- ↑ Голлербах М. М. Водоросли снега и льда // Жизнь растений / под ред. М. М. Голлербаха. — Москва: Просвещение, 1977. — Т. 3. — С. 68—70. — 487 с.
См. также
- en:Ice algae
- en:Snow algae
- Экстремофилы
- Криобиотоп
Литература
- Remias D., Lütz-Meindl U., Lütz C. Photosynthesis, pigments and ultrastructure of the alpine snow alga Chlamydomonas nivalis // European Journal of Phycology. — 2005. — Vol. 40, № 3. — P. 259—268. — doi:10.1080/09670260500202148.
