L-формы

L-форма Bacillus subtilis, масштаб — 500 нанометров.

L-формы — бактерии, частично или полностью лишённые клеточной стенки, но сохранившие способность к развитию. Впервые обнаружены в 1894 г. Н. Ф. Гамалеей. Буква L — первая буква названия Листеровского института (англ. Lister Institute of Preventive Medicine) в Лондоне, где впервые Эмми Клинебергер-Нобель обратила внимание на развитие морфологически весьма необычных клеток в культуре бактерий Streptobacillus moniliformis, выделенной из жидкости уха крысы. Позже были описаны L-формы у самых разных видов бактерий. Было показано, что L-формы возникают спонтанно или индуцировано — под воздействием агентов, блокирующих синтез клеточной стенки: антибиотиков (пенициллины, циклосерин, цефалоспорины, ванкомицин), ферментов (лизоцим, амидаза, эндопептидаза) ультрафиолетовых и рентгеновских лучей, аминокислоты глицина.

L-формы образуются в результате несбалансированного роста нормальных бактериальных клеток в длину и в толщину и поэтому полиморфны. В культурах L-форм обнаруживаются шаровидные, нитевидные или вовсе бесструктурные клетки размером от 0,2 до 50 мкм. Они спокойно проходят через бактериальные фильтры[прояснить] и легко разрушаются при механических воздействиях. В отличие от нормальных клеток L-формы часто содержат крупные вакуоли. Их метаболическая активность очень низкая. Клеточное деление происходит нестандартно, за счёт образования элементарных тел путём отпочкования от поверхности клетки или от мембраны вакуоли.

Культивировать L-формы можно только на специальных средах, препятствующих осмотическому разрушению клеток. L-формы лучше растут в плотной, чем в жидкой среде. В плотной среде они образуют колонии, врастающие в агар и имеющие характерную форму перевернутой шляпы. Колонии растут медленно, при этом иногда достигая значительных размеров.

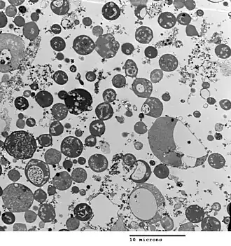
Многообразие L-форм Bacillus subtilis, при масштабе в 10 микрометров.

Различают стабильные и нестабильные L-формы. Нестабильные L-формы имеют полноценную систему генетического контроля синтеза клеточной стенки и способны превращаться в нормальные бактериальные клетки после исключения действия фактора, вызвавшего их образование. При этом происходит восстановление всех основных биологических свойств такой клетки, включая патогенность. Если же генетический контроль синтеза клеточной стенки нарушен необратимо L-формы становятся стабильными, и по своим морфологическим, культуральным и иным свойствам становятся неотличимы от микоплазм. Они крайне редко возвращаются в исходные бактериальные формы и существуют без изменений в различных условиях среды. Переход в L-форму можно рассматривать как способ переживания бактериями неблагоприятных условий, особенно в случаях патогенных микроорганизмов.

Все L-формы независимо от вида бактерий, из которого они возникли, обладают общими особенностями:

  1. Сходство морфологических изменений: образование нитевидных, волокнистых, колбасовидных, шаровидных и гранулярных форм.
  2. Сходные культуральные свойства: анаэробные или микроаэрофильные условия роста, потребность в холестерине и сывороточном белке, рост на плотных средах в виде колоний двух типов А и В. Колонии типа А растут на поверхности агара, имеют очень мелкие размеры. Они состоят главным образом из гранулярных структур, лишённых клеточной стенки, и очень похожи на микоплазмы. Колонии типа В состоят из центральной зоны, врастающей в агар, и прозрачной фестончатой периферической зоны. Они похожи по внешнему виду на колонии типа «глазуньи», образуемые микоплазмами, но более крупные и грубые. В этих колониях обнаруживаются крупные тела, содержащие компоненты клеточной стенки, сходные со стенкой родительских бактерий, но лишённые ригидности. Многие бактерии могут образовывать колонии А и В типов, однако грамположительные бактерии чаще образуют колонии только типа А. L-формы из колоний типа В легко ревертируют в исходные формы. Колонии типа А более стабильны и ревертируют в исходные формы значительно реже.
  3. Постепенное (по мере нарушения синтеза клеточной стенки) превращение из грамположительных в грамотрицательные структуры.
  4. Образование стабильных и нестабильных L-форм (в зависимости от степени полноты утраты способности синтезировать клеточную стенку.)
  5. Изменение антигенных свойств (утрата К- и О-антигенов, как следствие нарушения синтеза клеточной стенки).
  6. Снижение вирулентности по сравнению с исходными родительскими формами в связи с утратой различных факторов патогенности (адгезии, инвазии, эндотоксина и т.п)
  7. Способность длительно персистировать (переживать) в организме. Утрата клеточной стенки делает L-формы нечувствительными к различным химиопрепаратам и антителам.
  8. Способности при неполной утрате синтеза клеточной стенки возвращаться в исходную бактериальную форму

Исследования L-форм представляют существенный интерес для медицинской микробиологии, поскольку в этой форме в организме человека и животных могут сохраняться патогенные бактерии. При нерациональном использовании антибиотиков, приводящем к образованию L-форм из бактерий, может наступить улучшение состояния больного. Однако после прекращения приема лечебного препарата наступает превращение L-форм в бактерии исходного вида с восстановлением их вирулентности, что приводит к рецидиву болезни.

L-формы можно рассматривать как свойственную всем бактериям форму приспособления к неблагоприятным условиям (подобно спорообразованию), которая способствует сохранению вида в природе. Клеточная стенка и её синтез чувствительны к действию антител и различных химиопрепаратов. Освобождение от неё не лишает микроорганизм жизнеспособности, но позволяет переживать действие этих неблагоприятных факторов, а после устранения их воздействия возвращаться в исходное состояние.

Бактерии, у которых отсутствует клеточная стенка, существуют и в природе: это микоплазмы. Первым описанным представителем микоплазм явился возбудитель плевропневмонии крупного рогатого скота. Подобные микроорганизмы обнаружены и у других животных — овец, коз, крыс, собак, а также у человека, всем им было дано общее название PPLO (плевропневмониеподобные организмы). Микоплазмы также могут существовать как сапрофиты в естественных условиях, а также вызывать заболевания и у растений.

Литература

  • Dienes, Louis, and Howard J. Weinberger.«The L forms of bacteria.» // Bacteriological reviews 15.4 (1951): 245.
  • Mattman, Lida H. Cell wall deficient forms: stealth pathogens. CRC Press, 2000. ISBN 978-0-8493-8767-8
  • Шлегель Г. Общая микробиология. М.: Мир, 1987. 567 с.
  • Гусев М. В., Минеева Л. А. Микробиология, 4-е изд., Академия, 2003, 464 с., ISBN 5-7695-1403-5
  • Тимаков В. Д., Каган Г. Я., Семейство Mycoplasrnataceae и L-формы бактерий, М., 1967.
  • Коротяев А. И., Бабичев С. А., Медицинская микробиология, иммунология и вирусология, Санкт-Петербург, СпецЛит, 2008, 767 с. ISBN 978-5-299-00369-7

Ссылки