Двенадцатиперстная кишка человека

Двенадцатиперстная кишка
лат. Duodenum
Красным цветом указана двенадцатиперстная кишка. В разрезе показан фатеров сосочек, а также подходящие к нему общий жёлчный и панкреатический протоки.
Красным цветом указана двенадцатиперстная кишка. В разрезе показан фатеров сосочек, а также подходящие к нему общий жёлчный и панкреатический протоки.
Кровоснабжение нижняя панкреатикодуоденальная артерия, верхняя панкреатодуоденальная артерия
Венозный отток панкреатодуоденальные вены
Иннервация блуждающий нерв, чревные нервные узлы
Каталоги
Логотип Викисклада Медиафайлы на Викискладе

Двенадцатипе́рстная кишка́ (лат. duodénum) — начальный отдел тонкой кишки у человека, следующий сразу после привратника желудка. Характерное название связано с тем, что её длина составляет примерно двенадцать поперечников пальца руки.

Функции

  1. Приведение pH поступающей из желудка пищевой кашицы к щелочному, не раздражающему более дистальные отделы тонкой кишки и пригодному для осуществления кишечного пищеварения. Именно в двенадцатиперстной кишке и начинается процесс кишечного пищеварения (подготовка пищи для переваривания в тонкой кишке).
  2. Инициация и регулирование секреции панкреатических ферментов и желчи в зависимости от кислотности и химического состава поступающей в неё пищевой кашицы (химус).
  3. Поддержание обратной связи с желудком — осуществление рефлекторного открывания и закрывания привратника желудка в зависимости от кислотности и химизма поступающей пищевой кашицы, а также регулирование кислотности и пептической активности секретируемого в желудке сока через секрецию гуморальных факторов, влияющих на секреторную функцию желудка.

Анатомия

Строение двенадцатиперстной кишки

Двенадцатиперстная кишка подразделяется на четыре части: верхнюю, нисходящую, горизонтальную и восходящую[1]:

  1. Верхняя часть (лат. pars superior) является начальным отделом двенадцатиперстной кишки, длина её в среднем 5—6 см. Она направляется косо, слева направо, спереди назад, затем дугообразно изгибается, образуя верхний изгиб (лат. flexura duodeni superior), и продолжается в нисходящую часть.
  2. Нисходящая часть (лат. pars descendens), располагается справа от поясничного отдела позвоночника, имеет длину 7—12 см и переходит в нижнюю часть. В месте перехода образуется нижний изгиб (лат. flexura duodeni inferior).
  3. Горизонтальная (нижняя) часть (лат. pars horizontalis (inferior)), длиной 6—8 см, идёт справа налево, пересекает позвоночник в поперечном направлении, затем изгибается кверху, продолжаясь в восходящую часть (лат. pars ascendens), длина которой достигает 4—5 см.
  4. Восходящая часть (лат. pars ascendens), двенадцатиперстной кишки слева от поясничного отдела позвоночника образует двенадцатиперстно-тощий изгиб (лат. flexura duodenojejunalis), и переходит в брыжеечный отдел тонкой кишки. В редких случаях восходящая часть двенадцатиперстной кишки не выражена[2].

Фиксация двенадцатиперстной кишки осуществляется соединительнотканными волокнами, идущими от её стенки к органам забрюшинного пространства. Значительную роль в фиксации двенадцатиперстной кишки играет брюшина, покрывающая кишку спереди, а также корень брыжейки поперечной ободочной кишки. Кроме того, для фиксации кишки имеет значение соединение её с головкой поджелудочной железы. Наиболее подвижной частью duodeni является верхняя, так как она менее фиксирована, чем другие части, и, следуя за привратником, может свободно смещаться в стороны.

  • Начальная часть двенадцатиперстной кишки расширена — это ампула, или луковица (лат. ampulla). Слизистая ампулы, как и в привратнике желудка, имеет продольную складчатость, тогда как в остальных отделах двенадцатиперстной кишки складчатость циркулярная. Это связано с тем, что ампула развивается из передней первичной кишки, а остальная двенадцатиперстная кишка — из средней.
  • На медиальной стенке нисходящей части находится продольная складка, которая имеет вид валика и заканчивается большим сосочком (фатеровым сосочком), в который через сфинктер Одди открываются общий жёлчный проток и проток поджелудочной железы (у большинства, но не у всех людей он впадает в общий жёлчный проток, так как у некоторых идёт отдельно). Расширение перед этим отверстием называется печёночно-поджелудочной ампулой. Выше фатерова сосочка на 8—40 мм может находиться малый дуоденальный сосочек, через который открывается дополнительный (санториниев) проток поджелудочной железы (эта структура анатомически вариабельна).

Форма и положение двенадцатиперстной кишки

Весьма непостоянны. Различают следующие варианты:

  1. «Подкова» — выражены все 4 части;
  2. «Петля, расположенная вертикально» — есть только восходящая и нисходящая части;
  3. «Петля, расположенная фронтально» — есть только верхняя и горизонтальная части;
  4. Переходные формы;
  5. «Situs inversus partialis duodeni» — зеркальное отображение нормальной топографии двенадцатиперстной кишки;
  6. «Duodenum mobile» — удлинённая и подвижная двенадцатиперстная кишка, складывающаяся в петли;
  7. «Inversio duodeni» — нисходящая часть поднимается вверх и вправо, образуя букву «П»;

Топография двенадцатиперстной кишки

Положение и скелетотопия

Положение двенадцатиперстной кишки непостоянно, оно зависит от возраста, упитанности и других факторов. В пожилом возрасте, а также у истощённых субъектов двенадцатиперстная кишка лежит ниже, чем у молодых, упитанных субъектов (по Ф. И. Валькеру). Уровень расположения отдельных частей двенадцатиперстной кишки по отношению к скелету также отличается вариабельностью[2].

Однако наиболее часто верхняя часть двенадцатиперстной кишки начинается на уровне XII грудного — I поясничного позвонка, затем кишка идёт слева направо (верхний изгиб) и вниз до III поясничного позвонка (нисходящая часть), после чего совершает нижний изгиб и следует параллельно верхней части, но уже справа налево (горизонтальная часть) до позвоночного столба на уровне II поясничного позвонка (восходящая часть).

Место перехода двенадцатиперстной кишки в тощую кишку (лат. flexura duodenojejunalis), располагается слева от позвоночника, соответственно телу II поясничного позвонка[2].

Синтопия

Верхняя часть двенадцатиперстной кишки сверху и спереди прилежит к квадратной доле печени, а также к шейке и телу желчного пузыря. При смещении кишки влево начальный отдел её соприкасается с нижней поверхностью левой доли печени. Между верхней частью двенадцатиперстной кишки и воротами печени располагается печеночно-двенадцатиперстная связка, в основании которой справа проходит общий желчный проток, слева — общая печёночная артерия, а посередине и несколько глубже — воротная вена[1].

Задненижняя полуокружность стенки верхней части двенадцатиперстной кишки в том месте, где она не покрыта брюшиной, соприкасается с общим желчным протоком, воротной веной, желудочно-двенадцатиперстной и верхнезадней поджелудочно-двенадцатиперстной артериями. Нижняя полуокружность этой части двенадцатиперстной кишки прилежит к головке поджелудочной железы.

Воротная вена пересекает заднюю стенку двенадцатиперстной кишки на 1—2 см снаружи от привратника желудка; несколько правее, на расстоянии 2—3 см от привратника, с задней стенкой верхней части двенадцатиперстной кишки соприкасается желудочно-двенадцатиперстная артерия. Общий желчный проток пересекает кишку на расстоянии 3—4 см от привратника.

Нисходящая часть двенадцатиперстной кишки задней поверхностью соприкасается с правой почкой (её лоханкой; прикрывает ворота почки и медиальную часть её нижнего полюса), начальным отделом мочеточника (на протяжении 4—6 см) и почечными сосудами. Снаружи к нисходящей части двенадцатиперстной кишки прилежит правая кривизна ободочной кишки и восходящая ободочная кишка, изнутри — головка поджелудочной железы. Спереди эта часть двенадцатиперстной кишки прикрыта поперечной ободочной кишкой и её брыжейкой. Брыжейка (лат. mesocolon) пересекает нисходящую часть двенадцатиперстной кишки (лат. pars descendens duodeni) на 3—4 см ниже верхнего изгиба двенадцатиперстной кишки (лат. flexurae duodeni superior).

В жёлобе, образованном нисходящей частью двенадцатиперстной кишки и головкой поджелудочной железы, иногда проходит общий желчный проток, который впадает в нижнюю, реже — в среднюю треть нисходящей части двенадцатиперстной кишки. Чаще проток располагается в толще головки поджелудочной железы и, соединяясь с выводным протоком поджелудочной железы (лат. ductus pancreaticus), прободает заднемедиальную стенку двенадцатиперстной кишки. На слизистой оболочке её имеется небольшая (0,5—1 см длины) продольная складка, (лат. plica longitudinalis duodeni), которая заканчивается возвышением — большой сосочек двенадцатиперстной кишки (лат. papilla duodeni major).

В тех случаях, когда имеется добавочный проток поджелудочной железы (лат. ductus pancreaticus accessorius) он открывается на слизистой оболочке кишки несколько выше главного протока на малый сосочек двенадцатиперстной кишки (лат. papilla duodeni minor).

К передней поверхности горизонтальной части двенадцатиперстной кишки прилежит верхняя брыжеечная артерия и сопровождающая её вена. Оба эти сосуда находятся в корне брыжейки тонкой кишки, причём верхняя брыжеечная вена всегда располагается справа и несколько спереди от одноимённой артерии. На остальном протяжении этот отдел кишки покрыт спереди париетальной брюшиной и соприкасается с поперечной ободочной кишкой, а также петлями тонких кишок.

Тесные топографо-анатомические взаимоотношения нижней части двенадцатиперстной кишки с верхними брыжеечными сосудами иногда неблагоприятно сказываются на функции этого отдела кишечника: двенадцатиперстная кишка может быть сдавлена брыжеечными сосудами, вследствие чего наступает её непроходимость. Такое нарушение функции кишки в клинической практике известно как артерио-мезентериальная непроходимость и может наблюдаться в тех случаях, когда имеется значительное опущение тонкой кишки, и при некоторых других заболеваниях органов брюшной полости (по Д. Н. Лубоцкому).

Вверху горизонтальная часть соприкасается с головкой поджелудочной железы и основанием крючковидного отростка, а сзади — с правой поясничной мышцей, нижней полой веной и аортой. Причём нижняя часть кишки может перекрещивать аорту на различных уровнях. В одних случаях она располагается на 1,5—2 см ниже бифуркации аорты, в других — на 5—6 см выше неё.

Восходящая часть кишки сзади прилежит к забрюшинной клетчатке, а спереди — к петлям тонких кишок.[2]

Голотопия и покрытие брюшиной

Лежит в правой подреберной области (лат. regio hypochondriaca dextra).

Брюшина покрывает двенадцатиперстную кишку неравномерно. Верхняя часть её лишена брюшинного покрова только в области задненижней полуокружности стенки кишки, то есть в том месте, где кишка соприкасается с головкой поджелудочной железы, воротной веной, общим желчным протоком и желудочно-двенадцатиперстной артерией. Поэтому можно считать, что начальный отдел кишки располагается мезоперитонеально. То же следует отметить относительно восходящей части кишки. Нисходящая и нижняя части имеют брюшинный покров только спереди и поэтому располагаются забрюшинно[2].

В целом двенадцатиперстная кишка покрыта брюшиной экстраперитонеально.

Сосуды и нервы двенадцатиперстной кишки

Кровоснабжение

4 поджелудочно-двенадцатиперстные артерии:

  • Верхняя задняя поджелудочно-двенадцатиперстная артерия отходит от начального отдела желудочно-двенадцатиперстной артерии позади верхней части двенадцатиперстной кишки и направляется на заднюю поверхность поджелудочной железы, спирально огибая общий желчный проток.
  • Верхняя передняя поджелудочно-двенадцатиперстная артерия отходит от желудочно-двенадцатиперстной артерии у нижней полуокружности верхней части двенадцатиперстной кишки и проходит сверху вниз по передней поверхности головки поджелудочной железы или располагается в жёлобе, образованном нисходящей частью двенадцатиперстной кишки и головкой поджелудочной железы.
  • Нижняя задняя и нижняя передняя поджелудочно-двенадцатиперстные артерии отходят от верхней брыжеечной артерии или от первых двух тощекишечных артерий. Чаще они отходят общим стволом от первой тощекишечной артерии или от верхней брыжеечной артерии, реже — самостоятельно от первой и второй тощекишечных артерий. Иногда они могут возникать из начального отдела средней ободочной, селезеночной или чревной артерий.
  • Нижняя задняя поджелудочно-двенадцатиперстная артерия проходит по задней поверхности головки поджелудочной железы и анастомозирует с верхней задней артерией, образуя заднюю артериальную дугу.
  • Нижняя передняя поджелудочно-двенадцатиперстная артерия проходит по передней поверхности головки поджелудочной железы или в жёлобе, образованном головкой железы и нисходящей частью двенадцатиперстной кишки и, соединяясь с верхней передней артерией, образует переднюю артериальную дугу.

От передней и задней поджелудочно-двенадцатиперстных артериальных дуг отходят многочисленные ветви к стенке двенадцатиперстной кишки и к головке поджелудочной железы[2].

Венозный отток

Осуществляется поджелудочно-двенадцатиперстными венами, которые сопровождают одноимённые артерии, образуя на передней и задней поверхностях головки поджелудочной железы венозные дуги.

  • Верхняя передняя поджелудочно-двенадцатиперстная вена наиболее часто соединяется с правой желудочно-сальниковой и средней ободочной венами, образуя общий ствол, который впадает в верхнюю брыжеечную вену; в более редких случаях она соединяется только с правой желудочно-сальниковой веной.
  • Верхняя задняя поджелудочно-двенадцатиперстная вена впадает в воротную вену у основания печеночно-двенадцатиперстной связки; иногда она отсутствует.
  • Нижняя передняя и нижняя задняя поджелудочно-двенадцатиперстные вены впадают в верхнюю брыжеечную вену или в верхние тощекишечные вены. Перед впадением они нередко соединяются в один общий ствол[2].

Лимфоотток

Лимфатические сосуды, отводящие лимфу от двенадцатиперстной кишки, располагаются на передней и на задней поверхностях головки поджелудочной железы. Различают передние и задние поджелудочно-двенадцатиперстные лимфатические узлы.

  • Передние поджелудочно-двенадцатиперстные узлы (10—12 узлов) располагаются спереди от головки поджелудочной железы, нисходящей и нижней частей двенадцатиперстной кишки. Они анастомозируют с центральными и средними брыжеечными узлами, с лимфатическими узлами, лежащими у верхнего края поджелудочной железы, а также с печёночными узлами, расположенными по ходу общей и собственной печеночной артерий.
  • Задние поджелудочно-двенадцатиперстные узлы (4—12 узлов) подразделяются на верхние и нижние. Эти узлы располагаются сзади на головке поджелудочной железы и стенке двенадцатиперстной кишки. Они соединены между собой многочисленными анастомозами и прилежат к чревным, печёночным и центральным брыжеечным лимфатическим узлам. Выносящие лимфатические сосуды задних поджелудочно-двенадцатиперстных лимфатических узлов идут спереди и сзади от левой почечной вены к предаортальным, левым латеро-аортальным и интераортокавальным узлам, а также участвуют в образовании кишечного лимфатического ствола (по М. С. Спирову)[2].

Иннервация

Осуществляется ветвями, идущими от чревного, верхнего брыжеечного, печеночного и почечного сплетений. Нервные ветви, возникающие из этих сплетений, направляются вдоль верхних и нижних поджелудочно-двенадцатипёрстных артерий, а также независимо от этих сосудов к стенке двенадцатиперстной кишки[2].

Гистология

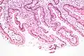
Просвет двенадцатиперстной кишки здорового мужчины

Двенадцатиперстная кишка имеет особое гистологическое строение слизистой, делающее её эпителий более устойчивым к агрессивности как желудочной кислоты и пепсина, так и концентрированной жёлчи и панкреатических ферментов, чем эпителий дистальных отделов тонкой кишки. Строение эпителия двенадцатиперстной кишки отличается также и от строения эпителия желудка.

  • В подслизистой основе двенадцатиперстной кишки (особенно в верхней её половине) располагаются дуоденальные (Бруннеровы) железы, по строению сходные с пилорическими железами желудка.

Заболевания двенадцатиперстной кишки

Методы диагностики

Примечания

  1. 1 2 Л. И. Волкова, Е. А. Добровольская. Анатомия человека / под ред. М. Р. Сапина. — 4-е изд. — Москва: Медицина, 1997. — Т. 1. — С. 420. — 544 с. — ISBN 5-255-04443-3.
  2. 1 2 3 4 5 6 7 8 9 В. Н. Войленко, А. И. Меделян, В. М. Омельченко. Атлас операций на органах брюшной стенки и брюшной полости. — М.: Медицина, 1965. 610 с.: ил.