Инфекционный эндокардит

Инфекционный эндокардит
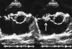
Вегетации митрального клапана при инфекционном эндокардите.
Вегетации митрального клапана при инфекционном эндокардите.
МКБ-10 I33
МКБ-9 421.0-421.1
МКБ-9-КМ 136.9[1]
MedlinePlus 000681

Инфекционный эндокардит (ИЭ) — инфекционное полипозно-язвенное воспаление эндокарда, которое сопровождается поражением клапанного аппарата сердца и эндотелия различными патогенными и условно-патогенными возбудителями. Хотя чаще всего в патологический процесс вовлекаются клапаны сердца, он может также проявляться эндартериитом (например, при Коарктации аорты) или развиваться на поверхности инородных тел (центральные венозные катетеры, электроды кардиостимуляторов, сосудистые протезы и др.)[2]. Поражаются в основном митральный и аортальный клапаны, реже - трикуспидальный. Поражение эндокарда правых отделов сердца наиболее характерно для инъекционных наркоманов[3].

Факторы риска

К состояниям, характеризующимся повышенным риском развития ИЭ относят[2]:

Также риск развития ИЭ увеличивается на фоне иммунодефицитных состояний, при проведении гемодиализа, употреблении внутривенно наркотических веществ, СПИД и длительной интенсивной терапии (особенно при уже существующем сердечно-сосудистом заболевании).

Этиология

Почти все известные патогенные бактерии могут быть причиной развития ИЭ[2]. Около 85 % случаев ИЭ обусловлено стафилококками, стрептококками или энтерококками[4]. К микроорганизмам, которые наиболее часто выделяют при ИЭ, относят:

Кроме того, некоторые исследования подтверждают наличие в анализируемых гистологических образцах клапанов сердца ДНК вирусов (герпесвирус[5], цитомегаловирус[6]) при наличии диагноза «эндокардит».

Патогенез

Важное условие развития ИЭ — повреждение эндокарда или эндотелия, которое может возникать в результате пороков клапанов, микротравм, операции, проникновения инородных тел и др. К повреждённому эндотелию прикрепляются тромбоциты, образуется небольшой, первоначально стерильный тромб. Затем такой тромб инфицируется различными возбудителями, циркулирующими в крови. Таким образом формируется вегетация, состоящая из бактерий, фибрина, лейкоцитов и тканевого детрита. Вегетация — характерный признак ИЭ, обнаруживаемый при Эхокардиоскопии. Сами бактерии также способны напрямую повреждать клапаны сердца с образованием различных дефектов, фистул и абсцессов.

Образование крупных и подвижных вегетаций может привести к эмболии. При эндокардите левых отделов сердца, чаще происходит эмболия артерий головного мозга, селезёнки, почек и нижних конечностей. При поражении правых отделов — тромбоэмболия лёгочной артерии.

Однако образование вегетации не является обязательным следствием развития инфекционного эндокардита. Как известно, формирование тромба связано с осаждением фибрина путем превращения в него из фибриногена. Сама вегетация образуется на поверхности клапана сердца и бактериальных клеток при участии последних в активации плазминогена[7]. Способность к активации плазминогена с помощью фермента плазмакоагулазы которые обладают только бактерии Staphylococcus aureus и некоторые представители других родов бактерий, не связанных с развитием инфекционного эндокардита[8]. В связи с чем, можно сделать вывод о формировании вегетации только при ассоциированном со Staph. aureus инфекционном эндокардите.

Классификация

Согласно современной классификации, предложенной Европейским обществом кардиологов[9], различают:
В зависимости от локализации инфекции и наличия/отсутствия внутрисердечного материала:

  • Левосторонний ИЭ нативного клапана;
  • Левосторонний ИЭ протезированного клапана (ЭПК);
    • ранний ЭПК (< 1 года после операции на клапане);
    • поздний ЭПК (> 1 года после операции на клапане);
  • Правосторонний ИЭ;
  • Связанный с устройством ИЭ (постоянный кардиостимулятор или кардиовертер-дефибриллятор).

В зависимости от способа заражения[10]:

  • ИЭ, связанный с медицинской помощью;
    • Нозокомиальный — ИЭ, развившийся у пациентов, госпитализированных > 48 часов до появления признаков/симптомов ИЭ;
    • Ненозокомиальный — проявления ИЭ возникли меньше чем через 48 часов после госпитализации пациента, получавшего медицинскую помощь, а именно:
    1. уход медицинской сестры на дому или внутривенная терапия, гемодиализ, внутривенная химиотерапия за 30 дней до возникновения ИЭ;
    2. получение интенсивной терапии за 90 дней до возникновения ИЭ;
    3. проживание в доме престарелых или длительное лечение.
  • Внебольничный ИЭ — проявления ИЭ возникли меньше чем через 48 часов после госпитализации пациента, не подходящего под критерии нозокомиального ИЭ;
  • ИЭ, связанный с внутривенным приёмом наркотических веществ.

Активный ИЭ:

  • ИЭ с длительной лихорадкой и положительной культурой крови или
  • Активная воспалительная морфология, обнаруженная при операции или
  • Пациент, получающий антибиотикотерапию или
  • Гистопатологические данные активного ИЭ

Возвратный:

  • Рецидив (повторные эпизоды ИЭ, вызванные одним и тем же микроорганизмом < 6 месяцев после начального эпизода)
  • Реинфекция (инфекция с различными микроорганизмами или повторный эпизод ИЭ, вызванный одним и тем же микроорганизмом > 6 месяцев после начального эпизода)

Ранее различали острую и подострую формы ИЭ[11]. Сейчас использовать такую терминологию не рекомендуют, так как при раннем назначении антибактериальной терапии различия в течение острого и подострого ИЭ зачастую размыты[4].

Клиническая картина

Клиническая картина инфекционного эндокардита характеризуется большим многообразием симптомов: лихорадка, озноб, повышенная утомляемость, ночная потливость, боль в суставах, снижение массы тела. Такие симптомы могут носить стёртый характер или даже отсутствовать у пожилых и лиц с иммунодефицитом. Дополнительные признаки — тёплая сухая кожа, тахикардия и увеличение селезёнки. При длительном течении заболевания появляются трофические расстройства: кожа шелушится, тургор её снижен, волосы ломкие. У части больных на коже может наблюдаться геморрагическая сыпь. Это проявления васкулита. Петехиальные высыпания бывают на слизистых полости рта, и складках век — симптом Лукина-Либмана. Узелки Ослера — болезненные, выпуклые образования красного или пурпурного цвета, появляющиеся на ладонях, стопах и особенно часто на подушечках пальцев. Это редкое проявление инфекционного эндокардита, который относится к подострой форме. Узелки появляются после других характерных признаков и симптомов и исчезают спонтанно через несколько дней. Пятна Рота — кровоизлияния в сетчатку с белым центром. Характерны для подострого инфекционного эндокардита, однако они возникают также при лейкозах, сахарном диабете и многих других болезнях.

Диагностика

Вегетации на трикуспидальном клапане, видимые при эхокардиографии. Стрелкой указана вегетация.

Окончательный диагноз устанавливают при получении положительных результатов посева крови и данных об обнаружении вегетаций при эхокардиографии.

Диагностические критерии Дьюка

Утверждённые в 1994 году Службой эндокардита Университета Duke (в модификации J.Li, одобренные Американской кардиологической ассоциацией в 2005 г.[12]), общепринятые критерии Дьюка представляют собой набор больших и малых критериев, используемых для установления диагноза эндокардита.[13][14]
Большие критерии:

  • Положительный посев крови:
    • возбудители типичные для ИЭ, выделенные из двух раздельно взятых проб крови: зеленящие стрептококки, Streptococcus gallolyticus, микроорганизмы НАСЕК-группы, Staphylococcus aureus или внебольничные энтерококки при отсутствии первичного очага;
    • Стойкая бактериемия (независимо от выявленного возбудителя), определяемая:

· или в двух и более пробах крови, взятых с интервалом 12 ч, · или в трех и более пробах крови, взятых с интервалом не менее 1 ч между первой последней пробами

    • однократное выявление Coxiella burnetii или титра IgG к этому микроорганизму >1:800;
  • Доказательства поражения эндокарда:
    • вегетация, абсцесс или отхождение протеза при ЭхоКГ;
    • новая клапанная регургитация

Малые критерии:

  • Предрасположенность (предрасполагающее заболевание сердца или употребление наркотиков)
  • Лихорадка >38 °C,
  • Сосудистые феномены: эмболии крупных артерий, септические инфаркты лёгкого, микотические аневризмы, внутримозговые кровоизлияния, геморрагии на переходной складке конъюнктивы и повреждения Джейнуэя.
  • Иммунологические феномены: гломерулонефрит, узелки Ослера, геморрагии Сплинтера (подногтевые кровоизлияния, не исчезают при нажатии), пятна Рота и ревматоидный фактор;
  • Микробиологические доказательства: положительный посев крови, который не соответствует большому критерию, или серологическое подтверждение активной инфекции, обусловленной потенциальным возбудителем ИЭ

Диагноз ИЭ считают достоверным при наличии двух больших, или одного большого и трёх малых, или пяти малых критериев. Диагноз ИЭ считают вероятным при наличии одного большого и одного малого или трёх малых критериев[15].

Эхокардиография

Среди различных визуализирующих исследований методом выбора считают ЭхоКГ. Её результаты служат основой для дальнейшего ведения пациента. Доказано, что в отношении выявления вегетаций, деструктивных осложнений и абсцессов транспищеводная ЭхоКГ обладает большей чувствительностью по сравнению с трансторакальной ЭхоКГ . При серьёзных клинических подозрениях на эндокардит и неубедительных или отрицательных данных трансторакальной ЭхоКГ следует проводить транспищеводное исследование. Напротив, отрицательные данные транспищеводной ЭхоКГ в значительной степени ставят под сомнение диагноз ИЭ. Тем не менее при сохранении существенных клинических признаков (например, при положительном посеве крови и выделении типичного возбудителя) транспищеводную ЭхоКГ следует повторить через несколько дней, особенно при наличии предрасполагающих заболеваний сердца (например, при протезе клапана сердца). Показано, что отрицательные результаты повторной транспищеводной ЭхоКГ характеризуются высокой отрицательной прогностической ценностью в отношении ИЭ и могут служить «золотым стандартом» для исключения диагноза ИЭ. В связи с увеличением частоты распространенности предшествующего лечения антибиотиками, приводящего к получению ложноотрицательных посевов крови, и эндокардита протезов клапанов, затрудняющего визуализацию вегетаций, было предложено модифицировать критерии Дьюка. Модификация подразумевает включение в эту систему пациентов с отчетливыми вегетациями (по данным ЭхоКГ) и признаками системного воспаления, но с отрицательными результатами посевов крови, при условии, что они ранее получали антибактериальную терапию. Кроме того, добавлено требование исключать эндокардит у пациентов с протезами клапанов на основании повторного получения отрицательных результатов транспищеводной ЭхоКГ. Более того, для исключения эндокардита на фоне ку-лихорадки следует рутинно применять серологические методы, поскольку при этом заболевании микроорганизмы из крови не выделяют.

Лечение

Антибактериальная терапия

До получения результатов посева проводится эмпирическая антибактериальная терапия : ванкомицин + цефалоспорины ІІІ поколения

Если диагноз ИЭ достоверен или вероятен, проводят антибактериальную терапию. При выделении конкретного возбудителя, определяют его чувствительность к антибиотикам. Продолжительность лечения зависит от течения заболевания, но составляет не менее 4 недель внутривенного введения антибиотиков. Реакцию на лечения оценивают по характеру лихорадки и изменениям C-реактивного белка, лейкоцитов. Также проводят контрольные эхокардиоскопии.

Стрептококковый эндокардит естественного клапана, чувствительный к бензилпенициллину

Бензилпенициллин 3—6 млн ЕД в/в каждые 6 ч. в течение 4 недель + гентамицин 1 мг/кг в/в каждые 8 ч. в течение 2 недель.

Стафилококковый эндокардит естественного клапана

Оксациллин 2—3 г в/в каждые 6 ч. в течение 4 недель + гентамицин 1 мг/кг в/в каждые 8 ч. в течение 3—5 дней. Или ванкомицин 15 мг/кг в/в каждые 12 ч. в течение 6 недель.

Стафилококковый протезный эндокардит

Оксациллин 2—3 г в/в каждые 6 ч. в течение 6 недель + гентамицин 1 мг/кг в/в каждые 8 ч. в течение 2 недель + рифампицин 300 мг каждые 8 ч. в течение 6 недель.

Эмпирическое лечение при отрицательных посевах крови

Естественного клапана: анкомицин 15 мг/кг в/в каждые 12 ч. в течение 4—6 недель + гентамицин 1 мг/кг в/в каждые 8 ч. в течение 2 недель.
Протезированного клапана: ванкомицин 15 мг/кг в/в каждые 12 ч. в течение 4—6 недель + гентамицин 1 мг/кг в/в каждые 8 ч. в течение 2 недель + рифампицин 300—450 мг каждые 8 ч. в течение 4—6 недель.

Неэффективность антибактериального лечения более 10 дней- это прямой показатель к хирургическому лечению.

Хирургическое лечение

Показания к хирургическому лечению:

  • ХСН
  • Неэффективная антибактериальная терапия или сепсис
  • Крупные, подвижные вегетации или повторные эпизоды эмболии
  • Абсцесс сердца
  • Вовлечение в процесс протеза клапана

При тяжёлом повреждении или разрушении клапана, обычно выполняют протезирование. В некоторых случаях проводят пластику клапана и удаление вегетаций[16].

Прогноз

Прогноз инфекционного эндокардита зависит от многих факторов, в том числе от локализации инфекции, основного возбудителя, местной защиты от инфекции, вовлечения инородного тела и времени от появления симптомов до установления диагноза[17].

При ранней диагностике и своевременном адекватном лечении 5-летняя выживаемость больных инфекционным эндокардитом колеблется от 50 до 90 %.

Профилактика

В 2015 году Европейское кардиологическое общество обновило положения по антибиотикопрофилактике ИЭ[15].

Согласно им профилактику проводят:

  • пациентам с любыми протезами клапанов, включая транскатетерные, или после применения любого искусственного материала для восстановления клапана;
  • пациентам с уже имевшим место ИЭ;
  • пациентам с врожденными пороками сердца (любой тип «синего» ВПС или ВПС, для коррекции которого применялся искусственный материал, помещенный хирургически или чрескожно, до 6 месяцев после вмешательства или пожизненно, если есть остаточный сброс крови или регургитация);
  • после зубных процедур, требующих манипуляций в гингивальной и периапикальной зонах зуба или перфорации слизистой оболочки;
  • Препараты: взрослые ДО вмешательства 2 гр. per os-за 60 минут , если в/в за 30 минут. Дети- амоксициллин 50 mg/kg . В случае аллергии на амоксициллин- клиндамицин или кларитромицин за 30-60 минут до вмешательства.

Не показана профилактика:

  • предыдущая история ревматической лихорадки или болезнь Кавасаки без вовлечения клапанного аппарата;
  • бикуспидальный аортальный клапан;
  • дефект межпередсердной перегородки;
  • пролапс митрального клапана с регургитацией;
  • гипертрофическая кардиомиопатия;
  • операция на клапане без протезирования.

Примечания

  1. Monarch Disease Ontology release 2018-06-29 — 2018-06-29 — 2018.
  2. 1 2 3 A. John Camm, Thomas F. Luscher, Patrick Serruys. The ESC Textbook of Cardiovascular Medicine. — Wiley-Blackwell, 2006. — 1136 с.
  3. Ройтберг Г.Е., Струтынский А.В. Внутренние болезни. Сердечно-сосудистая система. — 5. — МЕДпресс-информ, 2011. — С. 758—804. — 896 с. — ISBN 978-5-00030-421-1.
  4. 1 2 Под ред. Ю.Н.Беленкова, Р.Г.Оганова. Кардиология. Национальное руководство. М.: ГЭОТАР-Медиа, 2008. — 1290 с.
  5. O. V. Zhirekhina, A. B. Chukhlovin, K. A. Sysoev, V. V. Gritsenko, A. A. Totolian. [Detection of infectious agents in heart valves during endocarditis using PCR technique] // Zhurnal Mikrobiologii, Epidemiologii, I Immunobiologii. — July 2008. Вып. 4. С. 96—98. ISSN 0372-9311. Архивировано 25 января 2018 года.
  6. Timothy J. Stear, David Shersher, George J. Kim, Douglas R. Smego. Valvular Cytomegalovirus Endocarditis (англ.) // The Annals of Thoracic Surgery. Vol. 102, iss. 2. P. e105—e107. doi:10.1016/j.athoracsur.2016.01.074. Архивировано 11 декабря 2017 года.
  7. Jay R. McDonald. Acute Infective Endocarditis (англ.) // Infectious Disease Clinics of North America. Vol. 23, iss. 3. P. 643—664. doi:10.1016/j.idc.2009.04.013. Архивировано 11 декабря 2017 года.
  8. B. G. Bayliss, E. R. Hall. PLASMA COAGULATION BY ORGANISMS OTHER THAN STAPHYLOCOCCUS AUREUS (англ.) // American Society for Microbiology. American Society for Microbiology, January 1965. Vol. 89. P. 101—105. ISSN 0021-9193. Архивировано 14 декабря 2017 года.
  9. The Task Force on the Prevention, Diagnosis, and Treatment of Infective Endocarditis of the European Society of Cardiology (ESC). [http://escardio.org/guidelines-surveys/esc-guidelines/GuidelinesDocuments/guidelines-IE-FT.pdf Guidelines on the prevention, diagnosis, and treatment of infective endocarditis (new version 2009)] (англ.). — 2009. No. 30. P. 2369—2413. Архивировано 19 марта 2011 года.
  10. Fowler VG Jr, Miro JM, Hoen B, Cabell CH, Abrutyn E, Rubinstein E, Corey GR, Spelman D, Bradley SF, Barsic B, Pappas PA, Anstrom KJ, Wray D, Fortes CQ, Anguera I, Athan E, Jones P, van der Meer JT, Elliott TS, Levine DP, Bayer AS. Staphylococcus aureus endocarditis: a consequence of medical progress (англ.). — 2005. No. 293. Архивировано 14 мая 2008 года.
  11. Mitchell R. S., Kumar V., Robbins S. L., Abbas A. K., Fausto N. Robbins Basic Pathology (неопр.). — 8th. — Saunders/Elsevier, 2007. — С. 406—408. — ISBN 1-4160-2973-7.
  12. Larry M. Baddour, MD, Chair; Walter R. Wilson, MD; Arnold S. Bayer, MD; Vance G. Fowler, Jr, MD, MHS; Ann F. Bolger и другие. Infective Endocarditis. Diagnosis, Antimicrobial Therapy, and Management of Complications (англ.). — 2005. No. 111. P. e394—e434. Архивировано 21 октября 2010 года.
  13. Durack D., Lukes A., Bright D. New criteria for diagnosis of infective endocarditis: utilization of specific echocardiographic findings. Duke Endocarditis Service (англ.) // The American Journal of Medicine : journal. — 1994. Vol. 96, no. 3. P. 200—209. doi:10.1016/0002-9343(94)90143-0. PMID 8154507.
  14. Б. Гриффин, Э. Тополь. Кардиология. Практическое руководство. М.: Практика, 2008. — 1248 с.
  15. 1 2 Gilbert Habib, Patrizio Lancellotti, Manuel J. Antunes, Maria Grazia Bongiorni, Jean-Paul Casalta. 2015 ESC Guidelines for the management of infective endocarditisThe Task Force for the Management of Infective Endocarditis of the European Society of Cardiology (ESC)Endorsed by: European Association for Cardio-Thoracic Surgery (EACTS), the European Association of Nuclear Medicine (EANM) // European Heart Journal. — 2015-11-21. Т. 36, вып. 44. С. 3075—3128. ISSN 0195-668X. doi:10.1093/eurheartj/ehv319. Архивировано 11 декабря 2017 года.
  16. Gösta B. Pettersson, Syed T. Hussain. Current AATS guidelines on surgical treatment of infective endocarditis // Annals of Cardiothoracic Surgery. — 2019-11. Т. 8, вып. 6. С. 630–644. ISSN 2225-319X. doi:10.21037/acs.2019.10.05. Архивировано 30 июня 2023 года.
  17. Nadja Westphal, Björn Plicht, Christoph Naber. Infective Endocarditis—Prophylaxis, Diagnostic Criteria, and Treatment // Deutsches Ärzteblatt International. — 2009-7. Т. 106, вып. 28-29. С. 481–490. ISSN 1866-0452. doi:10.3238/arztebl.2009.0481. Архивировано 30 июня 2023 года.