Перелом грудины
| Перелом грудины | |
|---|---|
|
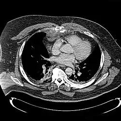
Сверху: грудина окрашена цветом морской волны. Внизу: компьютерная томограмма оскольчатого перелома грудины.[1] | |
| МКБ-11 | NA82.2 |
| МКБ-10 | S22.2 |
| МКБ-9 | 807.2, 807.3 |
| eMedicine | emerg/206 radio/654 |
Перело́м груди́ны возникает относительно редко, в основном, в результате прямой травмы, например, в результате дорожно-транспортного происшествия, когда грудная клетка водителя ударяется о руль[2] или травмируется ремнём безопасности[3].
Этиология
Перелом грудины возникает, в основном, при дорожно-транспортных происшествиях (в 3% случаев всех аварий)[4][5]. Грудная клетка водителя ударяется о руль или когда автомобильные плечевые ограничители используют без ремней безопасности.[4]
Клиническая картина
Больные жалуются на боль в области грудины, из-за чего затрудняется глубокое дыхание. В месте перелома можно обнаружить припухлость и деформацию в виде "ступеньки" из двух скошенных сегментов грудины. При пальпации обнаруживают болезненность, крепитацию.[2]
Диагностика
Выполняют рентгенографию грудной клетки в боковой проекции для подтверждения диагноза.
Лечение
При первой медицинской помощи для обезболивания в область перелома вводят 10 мл 2% прокаина и 0,5 мл 70% спирта. Также назначают анальгетики, кислородную терапию. Больного укладывают на кровать со щитом, в межлопаточную область подкладывают валик-реклинатор на 2-3 недели, при этом туловище переразгибается и происходит репозиция отломков. При неэффективности консервативного лечения выполняют металлический остеосинтез. Полное сращение грудины наступает через 5-6 недель.
Примечания
- ↑ Monkhouse S.J., Kelly M.D. Airbag-related chest wall burn as a marker of underlying injury: a case report (англ.) // Journal of medical case reports : journal. — 2008. — Vol. 2. — P. 91. — doi:10.1186/1752-1947-2-91. — PMID 18361799. — PMC 2330057. Архивировано 27 июля 2011 года.
- 1 2 Beck R. J., Pollak A. N., Rahm S. J. Thoracic trauma // Intermediate Emergency Care and Transportation of the Sick and Injured (англ.). — Boston: Jones and Bartlett, 2005. — ISBN 0-7637-2244-8.
- ↑ Smith M., Ball V. Thoracic trauma // Cardiovascular/respiratory physiotherapy (неопр.). — St. Louis: Mosby, 1998. — С. 217. — ISBN 0-7234-2595-7.
- 1 2 Marini J. J., Wheeler A. P. Critical Care Medicine: The Essentials (неопр.). — Hagerstown, MD: Lippincott Williams & Wilkins, 2006. — С. 580. — ISBN 0-7817-3916-0.
- ↑ Myers J. W., Tannehill-Jones R., Neighbors M. Principles of Pathophysiology and Emergency Medical Care (англ.). — Albany, N.Y: Delmar Thomson Learning, 2002. — ISBN 0-7668-2548-5.

