Синдром Маллори — Вейсса
| Синдром Мэллори — Вейсса | |
|---|---|
| |
| МКБ-10 | K22.6 |
| МКБ-9 | 530.7 |
| DiseasesDB | 7803 |
| MedlinePlus | 000269 |
| eMedicine | ped/1359 |
| MeSH | D008309 |
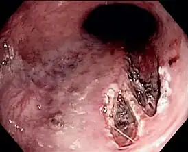
Синдром Мэ́ллори — Ве́йсса (по МКБ-10: желудочно-пищеводный разрывно-геморрагический синдром) — образование острых линейных разрывов слизистой оболочки брюшного отдела пищевода и кардиального отдела желудка при рецидивирующей рвоте, сопровождающиеся кровотечением.
История
Состояние было впервые описано в 1929 г. Мэллори и Вейссом у 15 больных алкоголизмом.[1]
Этиология
Причиной разрывов, как правило, является многократная рвота, сопровождающаяся повышением внутрижелудочного или внутрибрюшного давления, а также кардиоэзофагеальным спазмом. Эта патология часто связана с алкоголизмом[2] и булимией, кроме того есть некоторые доказательства того, что наличие грыжи пищевода является предрасполагающим условием к развитию синдрома. Сильная рвота вызывает разрыв слизистой оболочки. Разрыв включает слизистую и подслизистую оболочки, но не мышечный слой (в отличие от синдрома Бурхаве, который включает в себя все слои).
Факторы риска
Факторами риска являются:
- хронические воспалительные заболевания верхнего отдела пищеварительного тракта (эзофагит, хронический гастрит, язвы пищевода и кардиального отдела желудка);
- употребление алкоголя;
- беременность;
- сильный кашель;
- грыжа пищеводного отверстия диафрагмы;
- портальная гипертензия[3].
Клиническая картина
Возникает рвота кровью. Кровотечение редко бывает интенсивным. Также может проявляться в виде мелены.
Стадии
Выделяют 4 стадии в зависимости от глубины разрывов:
- стадия — разрыв слизистой оболочки нижней трети пищевода, кардио-эзофагиального перехода;
- стадия — разрыв слизистой оболочки и подслизистого слоя;
- стадия — разрыв с вовлечением циркулярного мышечного слоя. Зона разрыва не спазмируется, не смыкается, интенсивное кровотечение;
- стадия — разрыв всех слоев пищевода, кардиоэзофагиального перехода, сопровождается перитонитом, медиастинитом, пневмотораксом[4].
Диагностика
Диагноз уточняют при эндоскопическом исследовании, в процессе которого, как правило, удаётся надёжно остановить кровотечение.
Дифференциальный диагноз проводится с лёгочным кровотечением, кровавой пеной при сердечной астме переходящей в отёк лёгких.
Лечение
В большинстве случаев кровотечение прекращается самостоятельно в течение 24—48 часов. Чаще всего достаточно консервативного лечения: применяют холод, антациды, стимуляторы свёртывающей системы крови, аминокапроновую кислоту внутрь. Зонд Блэкмора не применяется, так как увеличивает размер трещин. По «Скорой помощи» таких пациентов госпитализируют в хирургическое отделение или ОРИТ.
Иногда требуется эндоскопическое лечение. При невозможности эндоскопической остановки кровотечения или его рецидивах показано оперативное вмешательство — гастротомия, прошивание разрывов слизистой оболочки кардиального отдела желудка, иногда дополнительно перевязывают левую желудочную артерию.
Летальный исход происходит редко.
Примечания
- ↑ Weiss S, Mallory GK. Lesions of the cardiac orifice of the stomach produced by vomiting. Journal of the American Medical Association 1932;98:1353-55.
- ↑ A. Caroli, R. Follador, V. Gobbi, P. Breda, G. Ricci. [Mallory-Weiss syndrome. Personal experience and review of the literature] // Minerva Dietologica E Gastroenterologica. — 1989-1. — Т. 35, вып. 1. — С. 7–12. — ISSN 0391-1993. Архивировано 12 февраля 2009 года.
- ↑ Желудочно-пищеводный разрывно-геморрагический синдром. Дата обращения: 14 июня 2019. Архивировано 12 августа 2020 года.
- ↑ Протокол ведения больных с желудочно-пищеводным разрывно- геморрагическим синдромом (синдром маллори-вейса) // _.
очень редко
