Гастрит

Гастрит
МКБ-11 DA42
МКБ-10 K29.0—K29.7
МКБ-10-КМ K29.7
МКБ-9 535.0535.5
МКБ-9-КМ 535.41[1], 535.4[1], 535.40[1], 535.00[1], 535.01[1] и 535.0[1]
DiseasesDB 29503
MedlinePlus 001150
MeSH D005756
Логотип Викисклада Медиафайлы на Викискладе

Гастри́т (лат. gastritis, от др.-греч. γαστήρ [gaster] «желудок» + суффикс -itis «воспаление») — воспалительные и дистрофические изменения слизистой оболочки желудка, возникшие по различным причинам[2].

Различают две основные формы гастрита – острый и хронический, из прочих форм обычно выделяют алкогольный гастрит[2].

Острый гастритострое воспаление слизистой оболочки желудка, вызывается непродолжительным действием сильных раздражителей, в том числе недоброкачественной пищи и лекарств[3].

Хронический гастрит — имеющее разные причины (полиэтологическое) заболевание, это длительно протекающее рецидивирующее воспалительное поражение слизистой оболочки желудка, протекающее с её структурной перестройкой и нарушением функций желудка: секреторной (кислотообразующей и пепсинообразующей), моторной и инкреторной (синтеза гастроинтестинальных гормонов)[4].

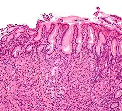
Микрофотография слизистой оболочки желудка больного гастритом хеликобактерной этиологии.

Прогрессирование заболевания ведёт к нарушению основных функций желудка, прежде всего секреторной[5]. Частота заболеваемости увеличивается с возрастом[6].

Классификация

Единая универсальная классификация гастрита отсутствует, существует множество разных классификаций: клиническая, морфологическая, эндоскопическая и другие[7].

В 1973 году появилась первая, получившая широкое распространение, классификация гастритов[8][9] (эту классификацию хронических гастритов предложили R. G. Strickland и J. R. Mackay[9]):

Также специалисты выделяют пангастрит — гастрит смешанного типа, обычно это комбинация типов «A» и «B»[8][9].

В 1990 году была предложена сиднейская классификация гастритов с четырьмя измерениями: тип, локализация, морфология, этиология[9].

Типы гастритов по сиднейской классификации[9]:

  • острый гастрит;
  • хронический гастрит;
  • особые формы (специальные формы) гастрита:
  • реактивный гастрит;
  • лимфоцитарный гастрит;
  • эозинофильный гастрит;
  • гипертрофический гастрит;
  • гранулематозный гастрит;
  • другие формы гастрита.

Локализации гастритов по сиднейской классификации[9]:

  • гастрит антрального отдела желудка (пилородуоденит);
  • гастрит тела желудка (гастрит фундального отдела);
  • пангастрит (распространённый)

Морфологическая классификация гастритов — сиднейская классификация морфологических изменений с оценкой следующих факторов[9]:

  • степень воспаления;
  • активность воспаления;
  • атрофия желудочных желёз;
  • метаплазия;
  • обсеменение слизистой желудка Helicobacter pylori.

Этиологическая классификация гастритов (часть сиднейской классификации[9]:

  • инфекционные гастриты (вызваны инфекцией Helicobacter pylori);
  • неинфекционные гастриты:
  • аутоиммунный гастрит;
  • алкогольный гастрит;
  • постгастрорезекционный гастрит;
  • гастрит, обусловленный приёмом НПВС;
  • гастрит, обусловленный химическими агентами.

Эндоскопическая категории гастритов, по сиднейской классификации является уточняющими к морфологическим изменениям слизистой желудка[11]:

  • эриматозный или экссудативный гастрит (поверхностный гастрит);
  • плоские эрозии слизистой желудка;
  • приподнятые эрозии слизистой желудка;
  • геморрагический гастрит;
  • гиперпластический гастрит;
  • рефлюкс-гастрит — гастрит, сопровождающийся дуоденогастральным рефлюксом.

Эндоскопическая классификация хронических гастритов по эндоскопической картине слизистой желудка[12]:

  • пограничные изменения (граница нормы);
  • субатрофический гастрит:
  • атрофические изменения:
  • мелкоочаговые;
  • крупноочаговые;
  • гипертрофические изменения:
  • узелковые;
  • бородавчатые;
  • полиповидные;
  • атрофический гастрит.

Классификация МКБ-10[2]:

  • К 29.0. Острый геморрагический гастрит — острый (эрозивный) гастрит с кровотечением.
  • К 29.1. Другие острые гастриты.
  • К 29.2. Алкогольный гастрит.
  • К 29.3. Хронический поверхностный гастрит.
  • К 29.4. Хронический атрофический гастрит — атрофия слизистой оболочки желудка.
  • К 29.5. Хронический гастрит неуточнённый:
  • антральный;
  • фундальный.
  • К 29.6. Другие гастриты.
  • Гастрит гипертрофический гигантский.
  • Гранулематозный гастрит.
  • Болезнь Менетрие.
  • К 29.7. Гастрит неуточнённый.

Острый гастрит

Острым гастритом называют острое воспаление слизистой оболочки желудка, вызванное разовым или непродолжительным воздействием сильных раздражителей. Острый гастрит часто развивается вследствие попадания в желудок раздражающих веществ, например, некоторых лекарств, или после употребления некачественной пищи[3]. Кроме того, острый гастрит может возникать и на фоне других общих заболеваний, часто — при острых инфекциях или нарушениях обмена веществ.

В зависимости от клинических проявлений и характера повреждения слизистой оболочки желудка в диагностике выделяют следующие типы острого гастрита: катаральный, фибринозный, коррозийный и флегмонозный[3].

  • Катаральный гастрит (лат. gastritis catarrhalis), он же простой гастрит и банальный гастрит характеризуется инфильтрацией лейкоцитов в слизистую оболочку желудка, воспалением, дистрофией эпителия слизистой[3]. Частые его причины — пищевые отравления и нерациональное питание[13].
  • Фибринозный гастрит (лат. gastritis fibrinosa), он же дифтеритический гастрит возникает при отравлении кислотами, сулемой или при тяжёлых инфекционных заболеваниях. Острый фибринозный гастрит проявляется дифтеритическим воспалением слизистой оболочки желудка[13].
  • Коррозийный гастрит (лат. gastritis corrosiva), некротический гастрит или токсико-химический гастрит возникает из-за попадания в желудок концентрированных кислот, концентрированных растворов щёлочей или солей тяжёлых металлов. Он характеризуется некротическими изменениями тканей желудка[13].
  • Флегмонозный гастрит (лат. gastritis phlegmonosa) — острый гастрит с гнойным расплавлением стенки желудка и распространением гноя по подслизистому слою желудка. Он возникает в результате травмы и как осложнения язвенной болезни желудка, рака желудка и некоторых инфекционных болезней[13].

Хронический гастрит

Хронический гастрит — полиэтологическое, длительно протекающее и рецидивирующее воспалительное поражение слизистой оболочки желудка, сопровождающееся её структурной перестройкой и нарушением функций желудка: секреторной (образования кислот и пепсинов), моторной (сокращения желудка) и инкреторной (синтеза гастроинтестинальных гормонов)[4].

Этиология хронического гастрита

Появление и развитие хронического гастрита определяется воздействием на ткани желудка многих факторов. Основными внешними (экзогенными) этиологическими факторами, способствующими возникновению хронического гастрита, являются:

Внутренними (эндогенными) факторами, способствующими возникновению хронического гастрита, являются:

  • генетическая предрасположенность;
  • дуоденогастральный рефлюкс;
  • аутоиммунные процессы, повреждающие клетки желудка
  • эндогенные интоксикации;
  • гипоксемия;
  • хронические инфекционные заболевания;
  • нарушения обмена веществ;
  • эндокринные дисфункции;
  • недостаток витаминов;
  • рефлекторные воздействия на желудок от других поражённых органов.[14][уточнить]

Helicobacter pylori

Схематическое изображение патогенеза гастритов, вызванных хеликобактером: # Helicobacter pylori проникает через слой слизи в желудке хозяина и прикрепляется к эпителиальным клеткам; # бактерии катализируют превращение мочевины в аммиак, нейтрализуя кислотную среду желудка; # размножаются, мигрируют и образуют инфекционный центр; # в результате разрушения слизистой, воспаления и смерти клеток эпителия образуются изъязвления желудка

Во второй половине XX века была обнаружена Helicobacter pylori — бактерия, инфицирование которой является одним из основных факторов в этиологии хронического гастрита. Это спиралевидная грамотрицательная бактерия, которая инфицирует различные области желудка и двенадцатиперстной кишки. Многие случаи язв желудка и двенадцатиперстной кишки, гастритов, дуоденитов, и, возможно, некоторые случаи лимфом желудка и рака желудка вызваны инфицированием Helicobacter pylori[14][уточнить]. Успешный опыт с самозаражением одного из первооткрывателей роли Helicobacter pylori в развитии болезней желудка и двенадцатиперстной кишки — Барри Маршалла и группы добровольцев послужил убедительным доказательством этой теории. В 2005 году Барри Маршалл и его коллега Робин Уоррен за своё открытие были удостоены Нобелевской премии по медицине[15].

Однако у большинства, до 90 % носителей Helicobacter pylori не обнаруживается никаких симптомов связанных в этой бактерией заболеваний. Также не каждый хронический гастрит в своей основе имеет бактериальную причину[16]

Хронический гастрит и функциональная диспепсия

Хронический гастрит, проявляющийся стойким структурным изменением слизистой желудка, чаще всего не имеет клинических проявлений. В западных странах диагноз «хронический гастрит» в последнее время ставится редко, врач обычно ориентируется на симптоматику заболевания и на её основании применяет термин «функциональная диспепсия». В России же, наоборот, диагноз «функциональная диспепсия» ставится очень редко, во много раз чаще применяется диагноз «хронический гастрит». В Японии, стране с наибольшей частотой рака желудка, диагнозы «хронический гастрит» и «функциональная диспепсия» комбинируют, указывая тем самым на наличие или отсутствие изменений слизистой оболочки желудка и/или соответствующих клинических симптомов.[17][18]

Клинические проявления

Хронический гастрит клинически проявляется как местными, так и общими расстройствами, которые, как правило, появляются в периоды обострений:[14][уточнить]

  • Местные расстройства характеризуются симптомами диспепсии (тяжесть и чувство давления, полноты в подложечной области, появляющиеся или усиливающиеся во время еды или вскоре после еды, отрыжка, срыгивание, тошнота, неприятный привкус во рту, жжение в эпигастрии, нередко изжога, которая говорит о нарушении эвакуации из желудка и забросе желудочного содержимого в пищевод). Эти проявления чаще возникают при определённых формах хронического антрального гастрита, которые ведут к нарушению эвакуации из желудка, повышению внутрижелудочного давления, усилению гастроэзофагеального рефлюкса и обострению всех перечисленных симптомов. При хроническом гастрите тела желудка проявления встречаются нечасто и сводятся преимущественно к тяжести в эпигастральной области, возникающей во время или вскоре после еды.

У больных с Helicobacter pylori-ассоциированным хроническим гастритом, длительное время протекающим с повышением секреторной функцией желудка, могут появиться признаки «кишечной» диспепсии в виде расстройств дефекации. Часто они носят эпизодический характер и нередко становятся основой для формирования синдрома раздражённого кишечника (желудочно-тонкокишечный, желудочно-толстокишечный рефлюкс).

  • Общие расстройства могут проявляться следующими синдромами:
    • слабостью, раздражительностью, нарушениями со стороны сердечно-сосудистой системы — кардиалгии, аритмии, артериальной неустойчивостью;
    • у пациентов с атрофическим хроническим гастритом может развиться симптомокомплекс, схожий с демпинг-синдромом (внезапная слабость, бледность, потливость, сонливость, возникающие вскоре после еды), иногда сочетающихся с расстройствами кишечника, с императивным позывом к стулу;
    • у пациентов с хроническим гастритом тела желудка и развитием В12-дефицитной анемии появляются слабость, повышенная утомляемость, сонливость, наблюдается снижение жизненного тонуса и утрата интереса к жизни; возникают боли и жжение во рту, языке, симметричные парестезии в нижних и верхних конечностях;
    • у пациентов с Helicobacter pylori-ассоциированным антральным хроническим гастритом с повышенной кислотностью возможно развитие язвенноподобных симптомов, свидетельствующих о возможном предъязвенном состоянии.

Диагностика

Установление клинического диагноза основывается на определении типа хронического гастрита, оценке степени распространённости морфологических признаков заболевания, наличии и выраженности нарушений функции желудка.

Этапы диагностики хронического гастрита:[14][уточнить][19]

Существует проблема излишне частой постановки диагноза «хронический гастрит» — этот диагноз ставится при самых различных неясных жалобах, затрагивающих верхние отделы желудочно-кишечного тракта, в случаях, когда врачи не стремятся прибегать к тщательному диагностическому поиску и выявлять истинные причины жалоб[20].

Лечение

Медикаментозное лечение

Проведение эрадикационной терапии при положительном результате тестирования на инфекцию H. pylori пациентам с хроническим гастритом в качестве этиологического лечения[21].

Проведение эрадикационной терапии при положительном результате тестирования на инфекцию H. pylori пациентам с атрофическим гастритом для предотвращения прогрессирования атрофии[21][22].

Проведение антисекреторной терапии ингибиторами протонного насоса или ребамипидом пациентам с эрозивным гастритом, в том числе на фоне приёма нестероидных противовоспалительных препаратов, с целью достижения заживления эрозий[21].

Проведение терапии висмута трикалия дицитратом или ребамипидом пациентам с хроническим гастритом, в том числе атрофическим, с целью потенцирования защитных свойств слизистой оболочки[21].

Проведение терапии ингибиторами протонного насоса пациентам с хроническим гастритом и симптомами диспепсии, в том числе в сочетании с функциональной диспепсией, в качестве симптоматического лечения[21].

Проведение терапии препаратами, обладающими прокинетическим эффектом пациентам с хроническим гастритом и симптомами диспепсии, в том числе в сочетании с функциональной диспепсией, в качестве симптоматического лечения[21].

Лечение ребамипидом пациентам с хроническим гастритом и симптомами диспепсии для купирования этих симптомов[21].

Эндоскопическое лечение

Эндоскопическая резекция единым блоком пациентам с хроническим гастритом при обнаружении эндоскопически видимых патологических участков дисплазии низкой или высокой степени[21][22].

Режим питания при гастрите

При обострении гастрита необходима щадящая диета. Больным гастритом противопоказаны шоколад, кофе, газированные напитки, алкоголь, консервы, концентраты и суррогаты любых продуктов, пряности, специи, а также продукция предприятий быстрого питания, блюда, провоцирующие брожение (виноград, чёрный хлеб и т. п.), копчёная, жирная и жареная пища, изделия из сдобного теста. При этом питание должно быть разнообразным и богатым белками и витаминами. По окончании острого состояния питание должно становиться полноценным с соблюдением стимулирующего принципа в период ремиссии у больных с пониженной кислотностью. Рекомендуется дробный приём пищи, по 5—6 раз в сутки.[14][уточнить]

Профилактика

Диета

Особенности рациона не оказывают влияния на развитие гастрита. Проведённые исследования не подтвердили гипотезу о роли определённых продуктов в развитии гастрита, включая острую пищу и кофе[23].

Военно-врачебная экспертиза

Освидетельствование граждан при гастрите происходит в соответствии с 59-й статьёй расписания болезней. В зависимости от степени нарушения функций призывнику выставляется одна из нижеуказанных категорий годности:

  • Категория годности «В»: гастриты с нарушением секреторной, кислотообразующей функций, частыми обострениями и нарушением питания (ИМТ 18,5 — 19,0 и менее), требующими повторной и длительной госпитализации (более 2 месяцев) при безуспешном лечении в стационарных условиях.
  • Категория годности «Б-3»: хронические гастриты с незначительным нарушением секреторной функции с редкими обострениями[24].

Гастрит у животных

У животных при остром течении гастрита симптоматика весьма разнообразна: от почти бессимптомно протекающего серозного отёка до резко выраженных общих, а иногда и местных проявлений при тяжёлых формах экссудативного воспаления. Симптомы: отрыжка, запор, у всеядных — рвота после приёма корма или независимо от него. При хронической форме гастрита симптомы вариабельны. Основной синдром — желудочная диспепсия, одновременно с этим постепенно снижается эластичность кожи, исчезает блеск волос, развивается бледность или желтушность слизистых оболочек[25][уточнить].

См. также

Примечания

  1. 1 2 3 4 5 6 Monarch Disease Ontology release 2018-06-29 — 2018-06-29 — 2018.
  2. 1 2 3 Рапопорт, 2010, Введение, с. 5.
  3. 1 2 3 4 Рапопорт, 2010, Острый гастрит, с. 5.
  4. 1 2 Рапопорт, 2010, Хронический гастрит, с. 6.
  5. Global, regional, and national incidence, prevalence, and years lived with disability for 301 acute and chronic diseases and injuries in 188 countries, 1990–2013: a systematic analysis for the Global Burden of Disease Study 2013 // The Lancet. Elsevier, 2015-08-22. Т. 386, вып. 9995. С. 743—800. ISSN 0140-6736. doi:10.1016/S0140-6736(15)60692-4. Архивировано 22 сентября 2019 года.
  6. Fred F. Ferri. Ferri's Clinical Advisor 2013,5 Books in 1, Expert Consult - Online and Print,1: Ferri's Clinical Advisor 2013 (англ.). — Elsevier Health Sciences, 2012. — P. 417. — 1656 p. — ISBN 9780323083737. Архивировано 16 октября 2022 года.
  7. Наумова, 2022, 5:30.
  8. 1 2 Наумова, 2022, 6:18.
  9. 1 2 3 4 5 6 7 8 Рапопорт, 2010, с. 7.
  10. Наумова, 2022, 2:10.
  11. Рапопорт, 2010, с. 8.
  12. Короткевич, А. Г. Таблица 3. Схема соответствия эндоскопических и микроскопических заключений при ХГ. — В: К эндоскопической классификации хронических гастритов / А. Г. Короткевич, П. В. Аксенов // Экспериментальная и клиническая гастроэнтерология : журн. — 2018. — Т. 152,  4. — С. 53–60.
  13. 1 2 3 4 Рапопорт, 2010, Острый гастрит, с. 6.
  14. 1 2 3 4 5 Рапопорт, 2010.
  15. The Nobel Prize in Physiology or Medicine 2005 (англ.). Нобелевский комитет (2005). Дата обращения: 29 мая 2011. Архивировано 25 августа 2011 года.
  16. Рекомендации Британского общества гастроэнтерологов пациентам в отношении Helicobacter pylori : [арх. 8 декабря 2022] = Helicobacter pylori. British Society of Gastroenterology, 2009. : [пер. с англ.] : [арх. 25 июня 2015]. — ГастроСкан..  (Дата обращения: 26 февраля 2023)
  17. Ивашкин В. Т. Гл. 3. Функциональная диспепсия и хронический гастрит // Диагностика и лечение функциональной диспепсии] : методические рекомендации для врачей. Архивная копия от 24 мая 2014 на Wayback Machine / В. Т. Ивашкин, А. А. Шептулин, Т. Л. Лапина и др. — М.: Российская гастроэнтерологическая ассоциация, 2011. — 28 с.  (Дата обращения: 29 мая 2011)
  18. Шептулин А. А. Хронический гастрит и функциональная диспепсия: есть ли выход из тупика? Архивная копия от 22 ноября 2010 на Wayback Machine // РЖГГК. — 2010. — Т.20. — № 2. — С. 84–88.  (Дата обращения: 29 мая 2011)
  19. Стандарт медицинской помощи больным хроническим гастритом, дуоденитом, диспепсией Архивная копия от 21 ноября 2011 на Wayback Machine. Утверждён Приказом Минздравсоцразвития от 22.11.2004 № 248.  (Дата обращения: 29 мая 2011)
  20. Егоров И. В., Попова М. А. Дифдиагноз СРК, или ещё раз к вопросу о «мусорной корзине» : [арх. 18 июня 2022] // Медицинский совет. — 2017.   11. — С. 120—124.
  21. 1 2 3 4 5 6 7 8 В. Т. Ивашкин, И. В. Маев, Т. Л. Лапина, Е. Д. Фёдоров, А. А. Шептулин. Клинические рекомендации Российской гастроэнтерологической ассоциации и ассоциации «Эндоскопическое общество РЭНДО» по диагностике и лечению гастрита, дуоденита // Российский журнал гастроэнтерологии, гепатологии, колопроктологии. — 2021-12-20. Т. 31, вып. 4. С. 70–99. ISSN 2658-6673. doi:10.22416/1382-4376-2021-31-4-70-99. Архивировано 14 января 2022 года.
  22. 1 2 Shailja C. Shah, M. Blanca Piazuelo, Ernst J. Kuipers, Dan Li. AGA Clinical Practice Update on the Diagnosis and Management of Atrophic Gastritis: Expert Review (англ.) // Gastroenterology. — 2021-10-01. Т. 161, вып. 4. С. 1325–1332.e7. ISSN 1528-0012 0016-5085, 1528-0012. doi:10.1053/j.gastro.2021.06.078.
  23. Rubin's pathology : clinicopathologic foundations of medicine : [англ.] : [арх. 2 апреля 2015] / Eds: Raphael Rubin, David S. Strayer, Emanuel Rubin. — 7th ed. — Philadelphia : Wolters Kluwer Health : Lippincott Williams & Wilkins, 2012. — P. 623. — ISBN 978-1-60-547968-2.
  24. Берут ли в армию с гастритом? armyhelp.ru. Дата обращения: 19 июля 2017. Архивировано 12 ноября 2016 года.
  25. Уша Б. В.. Внутренние болезни животных / Б. В. Уша и др.. М.: КолосС, 2010. — 311 с.

Литература

  • Энциклопедический словарь медицинских терминов : [арх. 29 августа 2009] : в 3 т. / Гл. ред. Б. В. Петровский. М. : Советская энциклопедия, 1982. — Т. 1. — 1424 с. 100 000 экз.  (Дата обращения: 29 мая 2011)
  • Малая медицинская энциклопедия : [арх. 6 декабря 2009] / под ред. В. И. Покровского. М. : Советская энциклопедия, 1991. — Т. 1. — 577 с. — ISBN 5-85270-040-1.  (Дата обращения: 29 мая 2011)
  • Белоусов А. С., Водолагин В. Д., Жаков В. П. Диагностика, дифференциальная диагностика и лечение болезней органов пищеварения / М.: «Медицина», 2002. 424 с. ISBN 5-225-04504-9.
  • Белоусов Ю. В., Скумин В. А. Психотерапевтические аспекты реабилитации детей с хроническими заболеваниями пищеварительной системы // Педиатрия. — 1986. — № 8. — C. 46-50.
  • Клинические рекомендации. Гастроэнтерология / Под ред. В. Т. Ивашкина. — М.: ГЭОТАР-Медиа, 2006. 208 с. ISBN 5-9704-0294-X.
  • Детская гастроэнтерология (избранные главы) / Под ред. А. А. Баранова, Е. В. Климанской, Г. В. Римарчук — М., 2002. 592 с., илл. ISBN 5-93265-007-9.
  • Клинические лекции по гастроэнтерологии и гепатологии / Под редакцией А. В. Калинина, А. И. Хазанова, А. Н. Культюшнова, в 3-х томах. Том 1. Общие проблемы гастроэнтерологии. Болезни пищевода, желудка, двенадцатиперстной кишки. / М., ГИУВ МО РФ, Главный клинический госпиталь им. академика Н. Н. Бурденко. 348 с., илл.
  • Рапопорт, С. И. Гастриты : пособ. для врачей. М. : Медпрактика-М, 2010. — 20 с. — ISBN 978-5-98803-214-4.  (Дата обращения: 26 февраля 2023)

Ссылки