Простатит
| Простатит | |
|---|---|
| |
| МКБ-10 | N41 |
| МКБ-10-КМ | N41 и N41.9 |
| МКБ-9 | 601 |
| МКБ-9-КМ | 601[1][2], 601.9[1][2], 601.8[2] и 601.4[2] |
| DiseasesDB | 10801 |
| MedlinePlus | 000524 |
| eMedicine | emerg/488 |
| MeSH | D011472 |
Простати́т (лат. prostatitis; анат. prostata — предстательная железа + -itis — воспаление) — термин, означающий воспалительные поражения предстательной железы.
Предста́тельная железа́ — это мужской орган, вследствие чего простатит может развиться только у мужчин. Простатит является довольно распространённым заболеванием и в США составляет 8 % от всех урологических заболеваний и 1 % от причин первичного обращения к врачу[3].

bladder — мочевой пузырь; pubic bone — лобковая кость; penis — половой член; corpus cavernosum — пещеристое тело; penis glans — головка члена; praeputium — крайняя плоть; urethral opening — наружное отверстие уретры; sigmoid colon — ободочная кишка; rectum — прямая кишка; seminal vesicle — семенной пузырёк; ejaculatory duct — семявыбрасывающий проток; prostate gland — предстательная железа; cowper’s gland — куперова железа; anus — задний проход; vas deferens — семенной канал; epididymis — придаток яичка; testis — яичко; scrotum — мошонка
Классификация простатитов
В соответствии с критериями Американского национального института здравоохранения (NIH USA) от 1995, различают четыре категории простатита, традиционно обозначаемые римскими цифрами:
- Категория I — острый простатит;
- Категория II — хронический бактериальный простатит;
- Категория III — хронический простатит / синдром хронической тазовой боли (CP / CPPS):
- Категория IIIa — хронический простатит / синдром хронической тазовой боли с признаками воспаления;
- Категория IIIb — хронический простатит / синдром хронической тазовой боли без признаков воспаления;
- Категория IV — асимптоматический (бессимптомный) хронический простатит.
Изредка встречается также не упомянутый в этой классификации хронический гранулёматозный простатит.
Простатит часто сочетается с уретритом, везикулитом, а в пожилом возрасте — с доброкачественной гиперплазией предстательной железы.
Причины заболевания
Причины развития простатита разделяются на две большие группы:
- неинфекционный (застойный) (снижение иммунитета, переохлаждение, снижение физической активности, малоподвижный сидячий образ жизни, длительное воздержание и, наоборот, чрезмерная половая активность, употребление алкоголя и др.);
- инфекционный (инфекции, передающиеся половым путём (проникновение в ткани простаты возбудителя - микробов, вирусов, бактерий, грибов и т. д.): также наличие очагов хронической инфекции (хронический тонзиллит, гайморит, патология почек), операции на органах малого таза и др.).
Развитию простатита способствуют травмы, нарушение крово- и лимфообращения в органах малого таза, гормональные нарушения (абсолютная или относительная андрогенная недостаточность).
Таким образом подчёркивается, что изолированное попадание возбудителя в ткани органа не всегда и не обязательно может быть причиной развития заболевания. Наиболее часто определяемый возбудитель — кишечная палочка (86 %), далее — клебсиеллы, протей, энтерококки, синегнойная палочка. В отношении стрептококков, стафилококков, хламидий, микоплазм, уреаплазм мнения исследователей об их значимости в развитии болезни расходятся. Крайне редко причинами простатита становятся специфические возбудители (бледная трепонема, палочка Коха и др.).
Острый простатит
Острый простатит — острое воспалительное заболевание предстательной железы, вызванное бактериальным инфицированием её ткани.[4]
По классификации NIH острый простатит относится к Категории I простатитов.
Это состояние требует неотложной медицинской помощи. Следует отличать острый простатит (категория I по классификации NIH) от других форм простатитов, таких как хронический бактериальный простатит (категория II) и так называемый «хронический простатит/синдром хронической тазовой боли» (категория III).
Этиология и патогенез
Острый простатит может быть вызван различными микроорганизмами. Наиболее часто ткани предстательной железы поражаются такими бактериями, как кишечная палочка, клебсиелла, протей, синегнойная палочка, энтеробактер, энтерококки, серрации и золотистый стафилококк. Многие из этих агентов являются компонентами нормальной микрофлоры организма и постоянно присутствуют на кожных покровах, в кишечнике и т. д. Однако, проникая в ткани предстательной железы, они способны вызвать развитие острого воспалительного процесса.
Инфекция попадает в простату чаще всего восходящим путем при сопутствующих урологических инфекциях, например, неосложненном уретрите. Значительным фактором развития простатита является снижение локального иммунитета, связанное с переохлаждением, длительным половым воздержанием или наоборот нефизиологично частой половой активностью, приемом иммуносупрессоров. Реже инфекция попадает через кровь из других инфицированных органов (например, миндалин, при хроническом тонзиллите), или через общую лимфатическую и кровеносную систему с прямой кишкой, как осложнение проктита/парапроктита, анальных трещин, геморроя и т.д.
Признаки и симптомы
Мужчины, страдающие острым простатитом, часто предъявляют жалобы на лихорадку, озноб, повышение температуры тела (причём, даже если температура тела, измеренная под мышкой или во рту, нормальна, температура тела, измеренная в заднем проходе, нередко оказывается повышенной; характерна также разница между ректальной температурой и температурой в подмышечной впадине, превышающая обычные 0,5 °C), боль в нижней части спины, пояснице, внизу живота или в промежности, в тазу или в паховой области, в мошонке, заднем проходе, учащённое мочеиспускание, ночные позывы к мочеиспусканию (никтурию), дизурию (болезненность, резь или жжение в мочеиспускательном канале при мочеиспускании), а также признаки общей интоксикации организма — слабость, головные боли, чувство усталости, разбитости, боли в мышцах, суставах, костях и другие телесные боли. Характерно затруднение мочеиспускания, иногда вплоть до острой задержки мочи. Могут наблюдаться также запоры вследствие сдавливания увеличенной предстательной железой прямой кишки или болезненность при дефекации. Острый простатит может быть осложнением биопсии предстательной железы.[5] Моча бывает мутной.[6]
При пальцевом обследовании через задний проход предстательная железа больного острым простатитом увеличена, отечна, гиперемирована, резко болезненна. В некоторых случаях наблюдаются бесцветные, беловатые или желтовато-зеленоватые выделения из мочеиспускательного канала, а также гемоспермия (кровь в сперме).[7] Некоторые мужчины испытывают боли при эякуляции, а также возможны нарушения половой функции.[6]
Острый инфекционно-воспалительный процесс в предстательной железе может дать начало сепсису — общему заражению крови или восходящей инфекции мочевых путей — циститу, пиелонефриту. В подобных случаях состояние больного расценивается как критическое и требует экстренной госпитализации. Острый простатит встречается редко.
Диагностика

Острый простатит достаточно легко диагностируется благодаря типичной клинической картине и наличию выраженной симптоматики, которая заставляет предположить острый инфекционно-воспалительный процесс в предстательной железе.
Минимально необходимый объём обследования для диагностики острого простатита при подозрении на него включает в себя:
- Измерение ректальной температуры и температуры подмышкой либо во рту;
- Осмотр и пальпацию паховых и промежностных лимфатических узлов;
- Общий клинический анализ крови с развёрнутой лейкоцитарной формулой;
- Анализ крови на белки острой фазы воспаления (С-реактивный белок и др.) и на простатический специфический антиген;
- Общий клинический анализ мочи;
- Взятие мазков из мочеиспускательного канала;
- Бактериоскопию и посев на чувствительность к антибиотикам взятых мазков и спонтанно вытекающих из мочевого канала выделений;
- Бактериоскопию мочевого осадка;
- Посев мочи или мочевого осадка на бактерии с определением их чувствительности к антибиотикам;
- Пальцевое исследование предстательной железы.
По показаниям производятся дополнительные обследования:
- Бактериоскопия крови и посев крови на бактерии с определением их чувствительности к антибиотикам (при подозрении на простатогенный сепсис);
- Трансректальное УЗИ предстательной железы с пункцией подозрительных на абсцесс её участков при соответствующих подозрениях;
- КТ или МРТ органов малого таза.
Температура в заднем проходе при остром простатите обычно повышена. Разница между ректальной температурой и температурой под мышкой или во рту обычно превышает 0,5 °C. В моче или мочевом осадке обнаруживается повышенное количество лейкоцитов. Микроорганизм-возбудитель инфекции может быть выделен из мочи, крови, мазков из мочеиспускательного канала или из спонтанно вытекающих из мочеиспускательного канала выделений.[5] Общий клинический анализ крови при остром простатите нередко обнаруживает типичные для острых инфекционно-воспалительных процессов сдвиги: нейтрофильный лейкоцитоз, часто со сдвигом лейкоцитарной формулы влево, и снижение количества эозинофилов (эозинопению вплоть до полной анэозинофилии), реже эозинофилию.
Сепсис как осложнение острого простатита является редкостью, но может наблюдаться у пациентов с иммуносупрессией; высокая лихорадка, выраженная интоксикация, значительная выраженность общих симптомов, таких, как слабость и разбитость, являются симптомами, подозрительными в отношении сепсиса и требующими посева крови на микроорганизмы.
Массаж предстательной железы как диагностическая процедура противопоказан при остром простатите и даже при подозрении на острый простатит, поскольку может вызвать метастазирование инфекции по всему организму и развитие острого сепсиса. Поскольку бактерии, явившиеся возбудителями острого простатита, при этом заболевании обычно легко выделяются из мочи, мочевого осадка и/или крови, из спонтанно вытекающих выделений или мазков из мочеиспускательного канала, массаж предстательной железы и получение её секрета совершенно не требуются для постановки диагноза.
Промежность больного острым простатитом может быть болезненной при пальпации. Могут быть увеличены паховые и промежностные лимфатические узлы.
При диагностической пальпации предстательной железы через задний проход обычно обнаруживается увеличенная, повышенно чувствительная к прикосновению, отёчная, болезненная, горячая на ощупь, чрезмерно растянутая предстательная железа, в которой иногда могут обнаруживаться неоднородности — воспалительные уплотнения. Диагностическая пальпация предстательной железы у больных с острым простатитом нередко бывает крайне затруднена, а порой невозможна без анальгезии и седации из-за чрезвычайной болезненности и чувствительности предстательной железы, а также из-за иррадиационной болезненности и рефлекторного спазма заднего прохода.
В большинстве случаев острого простатита повышен С-реактивный белок и другие белки острой фазы воспаления.[8]
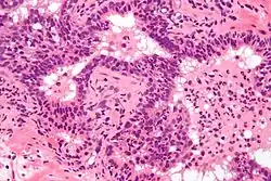
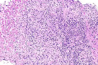
Биопсия предстательной железы при остром простатите не показана, так как может способствовать распространению инфекции или дополнительному инфицированию простаты ещё одним типом микроорганизмов. Кроме того, биопсия предстательной железы как диагностическая процедура при остром простатите просто не требуется, поскольку характерные клинические признаки и симптомы, а также данные пальцевого исследования предстательной железы, анализов крови, мочи и мазков из мочеиспускательного канала обычно позволяют поставить правильный диагноз и без биопсии. Гистологическим коррелятом острого простатита является нейтрофильная инфильтрация ткани предстательной железы.
Острый простатит сопровождается временным повышением уровня простатического специфического антигена в крови, то есть уровень ПСА повышается при остром простатите и снова снижается, нормализуется вскоре после разрешения острого инфекционно-воспалительного процесса. Тестирование на уровень ПСА в крови при неосложнённом остром простатите, однако, не требуется для постановки диагноза, хотя и желательно.
Лечение
Основой лечения острого простатита (простатита Категории I NIH) является применение соответствующих комбинаций антибиотиков, эффективных против данного микроорганизма-возбудителя. До начала лечения антибиотиками обязательно выполняется анализ - бакпосев секрета простаты (в крайнем случае эякулята), с определением чувствительности к антибиотикам, желательно с указанием концентрационных диапазонов чувствительности (МИК). В результате анализа определяется вид, количество и чувствительность возбудителя. Эффект антибиотиков при остром простатите обычно наступает очень быстро, в течение нескольких дней. Тем не менее, в результате многочисленных исследований было установлено, что лечение антибиотиками при остром простатите должно продолжаться не менее 4 недель, с целью полной эрадикации микроорганизма-возбудителя и предотвращения возможной хронизации процесса (развития трудноизлечимого хронического бактериального простатита или т. н. «хронического простатита / синдрома хронической тазовой боли»).[9] Выбор антибиотиков при остром простатите должен основываться на результатах определения вида микроорганизма, вызвавшего инфекцию и его индивидуальной чувствительности к антибиотикам, способности конкретного антибиотика проникать в ткани простаты и создавать необходимую концентрацию.
Кроме того, при выборе антибиотиков для лечения острого простатита следует учитывать ещё несколько важных факторов. Из-за особого строения капилляров простата имеет т.н. гематопростатный барьер, препятствующий проникновению заряженных, слабокислых или слабоосновных молекул и т.д. (коими являются многие антибиотики) из крови в ее ткани , а реализация действия антибиотиков наступает только при превышении минимальной ингибирующей или бактерицидной концентрации в органе, плюс следует учитывать вероятность образования биопленок бактерий. Многие антибиотики , такие, как бета-лактамы (пенициллины) (например, ампициллин , за исключением амоксициллина (данные спорные ), пиперациллина и мезлоциллина , цефалоспорины (за исключением в ряде случаев цефтазидима ), нитрофурантоин и аминогликозиды имеют очень плохое проникновение в ткани и секрет предстательной железы, поэтому их назначение не целесообразно и они не входят в перечни препаратов выбора даже при клинически выявленной чувствительности возбудителя. Другие антибиотики, такие, как фторхинолоны (особенно современные моксифлоксацин, левофлоксацин, спарфлоксацин, в меньшей степени ципрофлоксацин, и в существенно меньшей степени норфлоксацин), макролиды, миноциклин и доксициклин, левомицетин, триметоприм/сульфаметоксазол, обладают хорошей способностью проникать в ткани и секрет предстательной железы и способны создавать высокие концентрации в ней. Равновесная концентрация антибиотиков отличается выраженной вариабельностью у пациентов[10]. На начальном этапе при остром простатите интенсивное воспаление заметно повышает проницаемость гематопростатического барьера, поэтому этот фактор (хорошее проникновение в ткани и секрет предстательной железы) на начальном этапе не так важен при выборе соответствующего антибиотика, как при хроническом простатите (категории II, III и IV по классификации NIH). Но, клиницист должен понимать, что при спадании воспалительного процесса проблема проницаемости вновь становится ключевой и возникает риск неполной эрадикации возбудителя с хронификацией болезни. В целом, при остром простатите важнее, как и при других сепсисогенных и потенциально жизнеугрожающих инфекциях, отдавать предпочтение мощным бактерицидным антибиотикам (антибиотикам, убивающим микроорганизм-возбудитель), например, фторхинолонам, а не бактериостатически действующим антибиотикам, например, триметоприм/сульфаметоксазолу или доксициклину. При применении антибиотиков, способных в зависимости от дозы оказывать бактериостатическое или бактерицидное действие (макролиды, левомицетин), доза антибиотика должна быть достаточной, чтобы оказать именно бактерицидный, а не бактериостатический эффект. Это правило предпочтения бактерицидных антибиотиков и достаточности доз особенно важно в случае развития острого простатита у больного с выраженной иммуносупрессией.[11]
Больные острым простатитом с выраженной интоксикацией, лихорадкой, плохим общим состоянием нуждаются в экстренной госпитализации и внутривенном введении антибиотиков. Лёгкие случаи острого простатита могут лечиться и амбулаторно. В качестве дополнительных мер лечения рекомендуются покой, постельный режим (физическая нагрузка на мышцы таза при остром простатите способна вызвать метастазирование инфекции и развитие сепсиса), применение анальгетиков, антипиретиков (жаропонижающих препаратов) и противовоспалительных препаратов группы НПВС. При сильных болях оправдано кратковременное применение опиатов. Весьма важно при остром простатите обильное питьё жидкости, а у тяжёлых больных — внутривенная гидратация (внутривенное введение жидкостей) и назначение диуретиков, поскольку обильное выделение мочи механически промывает мочевыводящие пути и профилактирует развитие восходящей мочевой инфекции (цистита, пиелонефрита), а кроме того, уменьшает интоксикацию. Рекомендуется также применение смягчающих слабительных типа вазелинового масла, снимающих запоры, облегчающих акт дефекации, исключающих необходимость в натуживании при ней и делающих этот акт при остром простатите менее болезненным. С целью облегчения акта мочеиспускания рекомендуются спазмолитики и альфа-адреноблокаторы (такие, как тамсулозин, доксазозин, празозин). С целью уменьшения защитного напряжения мышц тазового дна, уменьшения сдавливания воспалённой предстательной железы напряжёнными мышцами тазового дна и уменьшения болезненности могут применяться мышечно-расслабляющие средства, такие, как баклофен, сирдалуд, диазепам, прегабалин или габапентин. Пациентам с острой задержкой мочи показано наложение временного надлобкового свища или периодическая катетеризация мочевого пузыря.
С целью уменьшения отёка и воспаления предстательной железы и обеспечения её временного функционального покоя, уменьшения образования в ней секрета, временного уменьшения кровотока в ней и снижения риска метастазирования инфекции кратковременно применяют антиандрогены (блокаторы андрогенных рецепторов простаты), такие, как ципротерона ацетат (ранее с этой же целью кратковременно применялись высокие дозы эстрогенов, таких, как синэстрол), а также небольшие холодные клизмы (холод к предстательной железе уменьшает локальный отёк, воспаление и боль, уменьшает приток крови к воспалённой предстательной железе и риск метастазирования инфекции). Однако снижение кровотока в предстательной железе при помощи антиандрогенов и холодных клизм может иметь и негативные последствия, уменьшая доставку к предстательной железе антибиотиков и иммунокомпетентных клеток и тем самым замедляя разрешение острого воспалительного процесса и увеличивая риск хронизации процесса с развитием хронического простатита, поэтому некоторые врачи возражают против применения этих мер при остром простатите. Тем не менее, противоположный подход — применение тепловых процедур (прогреваний предстательной железы) и/или лечебного массажа предстательной железы и/или назначение андрогенов в острой стадии процесса считают категорически противопоказанным ввиду риска метастазирования инфекции и риска развития септицемии все врачи.
Отсутствие быстрого клинического ответа на антибиотики при остром простатите должно служить основанием для подозрения на абсцесс предстательной железы и для немедленного назначения трансректального УЗИ простаты и пробной пункции участков, подозрительных на возможное абсцедирование. В случае обнаружения абсцесса предстательной железы лечение должно включать в себя не только антибиотики, но и хирургическое или пункционное дренирование абсцесса.[12]
Следует также учитывать, что некоторые распространённые микроорганизмы, часто служащие возбудителями острого простатита, в частности кишечная палочка, быстро вырабатывают устойчивость к антибиотикам и способны образовывать толстые капсулы вокруг своих клеточных стенок, а также способны образовывать биоплёнки, снижающие доступность этих бактерий для антибиотиков и иммунокомпетентных клеток и увеличивающие длительность выживания микроорганизма в предстательной железе и вероятность персистирования инфекции и хронизации процесса с развитием хронического бактериального простатита. Поэтому при обнаружении подобных микроорганизмов при остром простатите лечение антибиотиками должно быть особенно упорным и длительным.[13][14]
Когда медикаментозное лечение оказывается безуспешным, врач может рекомендовать хирургическое вмешательство - удаление всей инфицированной ткани. Однако молодым пациентам с репродуктивными планами эту операцию обычно не делают, потому что после нее могут появиться проблемы с эякуляцией, наступить бесплодие. Удаление простаты обеспечивает выздоровление, но может привести к импотенции и недержанию мочи.[6]
Прогноз
При адекватной терапии острого простатита полное выздоровление без каких-либо последствий является наиболее типичным исходом. В некоторых случаях возможно осложнение в виде хронизации воспалительного процесса с развитием хронического бактериального простатита или т. н. «хронического простатита / синдрома хронической тазовой боли». Возможны также и другие осложнения: абсцессы предстательной железы, свищи предстательной железы, сепсис, восходящая мочевая инфекция — цистит, пиелонефрит, аутоиммунное бесплодие, из-за антиспермальных антител[15].
Хронический бактериальный простатит (ХБП)
При неуспешном лечении (несвоевременном, недостаточно оперативном, недостаточно длительном, неадекватном, с неполной эрадикацией возбудителей) острого бактериального простатита заболевание переходит в хроническую форму. Лечение по-прежнему включает антибиотикотерапию, включая все требования и особенности, перечисленные выше для острого бактериального простатита, с учетом плохой проницаемости гематопростатического барьера для многих антибиотиков. Адекватное лечение должно быть комплексным, включая стимулирование местного кровотока, иммуномодуляторы и т.д. У большинства больных в бактериальном посеве выявляется смешанная инфекция, причем до половины анализов выявляет Enterococcus faecalis (данный возбудитель отличается природной видовой устойчивостью ко всем аминогликозидам и цефалоспоринам). По результатам многочисленных клинических исследований показано, что антибиотикотерапия, с учетом чувствительности по результатам бакпосева, при ХБП должна назначаться на срок от 4-6 недель , однако почти у половины больных рецидив происходит в течение менее 12 месяцев. При хорошем клиническом ответе, лечение может быть повторено, в т.ч. более продолжительно до 6 недель. При отсутствии клинического ответа при 3-4-х неделях антибиотикотерапии более длительная терапия тем же антибиотиком, даже при чувствительности по данным клинического анализа, нецелесообразна.
Заболевание трудно поддается лечению, стратегия заключается в достижении длительной ремиссии. В целом, ХБП не считается опасным для жизни (кроме осложнений, особенно абсцессов, распространения воспаления на другие органы), отличается медленно прогрессирующим течением с периодами обострений, с вероятным развитием бесплодия, импотенции, психологических нарушений, ухудшением качества жизни.
Бактериальный простатит
Бактериальный простатит — это воспалительное, острое или хроническое заболевание предстательной железы с характерными симптомами (боли, нарушение мочеиспускания, изменения в сексуальной сфере, психологические отклонения), воспалительными изменениями в биологических жидкостях (секрет предстательной железы, семенная жидкость, моча после массажа простаты) и точно установленным лабораторно-инструментальными методами возбудителем.
Общая распространённость заболевания (как острой, так и хронической форм) около 5-10 % среди мужского населения (распространённость всех видов простатита — около 30 %). Наиболее частый возраст развития заболевания — около 20-42 лет.
В настоящее время значимость последствий данного заболевания определяется не только телесными страданиями, но и выраженным снижением качества жизни, которое может быть сравнимо с качеством жизни пациентов, которые перенесли инфаркт миокарда или страдают хроническими заболеваниями желудочно-кишечного тракта.
Классификация
В настоящее время классификация бактериального простатита выделяет острый и хронический простатиты. Отдельно рассматриваются осложнённые (абсцесс, камни простаты и др.) и неосложнённые.
Признаки
Клиническая картина бактериального простатита зависит от формы заболевания (острый или хронический), фазы течения (обострение или ремиссия) и состоит из нескольких синдромов.
При остром бактериальном простатите (обострении хронического бактериального простатита):
- общий воспалительный синдром (выраженное повышение температуры тела, слабость, озноб, ломота в теле);
- местный воспалительный синдром (боли в низу живота, промежности, надлобковой области, которые усиливаются во время полового акта, при длительном воздержании, после дефекации)
- синдром нарушений со стороны мочеполовой сферы (болезненное, вялое или прерывистое мочеиспускание, нарушение эрекции, семяизвержения);
- лабораторные симптомы (изменения в анализе мочи, секрета предстательной железы, семенной жидкости; а также воспалительные сдвиги в общем клиническом анализе крови);
При хроническом бактериальном простатите: симптомы обострения представлены выше. Вне обострения симптомы чаще всего не выражены, стёрты, малочисленны. В таких случаях ведущие жалобы затрагивают нарушения мочеиспускания, выраженные изменения эрекции, ослабления сексуального влечения, нарушения семяизвержения (преждевременное или задержанное), эмоциональная сглаженность переживания оргазма, отклонения в характере (повышенная раздражительность, вспыльчивость, тревожность, навязчивость и др.).
Диагностика
Примерный алгоритм диагностики бактериального простатита имеет следующий вид:
- оценка врачом клинического состояния пациента;
- общеклиническое исследование мочи, посев мочи на микрофлору;
- диагностика или исключение инфекций, которые передаются половым путём;
- урофлоуметрия, мониторинг суточного ритма мочеиспусканий;
- 4-стаканная проба по Meares;
- микроскопическое исследование секрета предстательной железы; определение ПСА (простат-специфического антигена);
- ультразвуковое исследование простаты и органов малого таза, брюшной полости и забрюшинного пространства;
- обзорная урография;
- «пробное» антибактериальное лечение при симптомах воспаления.
Лечение бактериального простатита
Лечение бактериального простатита – одна из труднейших задач современной урологии. Несмотря на достижения диагностики и своевременного выявления заболевания, лишь в 30 % случаев можно добиться полного излечения. В большинстве случаев преследуется цель достижения устойчивой длительной ремиссии.
Современная терапия бактериального простатита состоит из нескольких блоков:
- антибактериальная терапия на протяжении 4-6 недель. Препаратами выбора являются фторхинолоны (ципрофлоксацин, левофлоксацин, ломефлоксацин), антибиотики резерва — защищённые пенициллины (амоксициллина клавуанат (плохо проникает в ткани предстательной железы), макролиды (азитромицин, джозамицин, кларитромицин);
- купирование болевого синдрома. Достигается использованием нестероидных противовоспалительных препаратов в форме свечей (предпочтительно) или таблеток.
- при сочетании тревожности и болей, рекомендовано использование антидепрессантов селективного ингибирования обратного захвата серотонина (флуоксетин, имипрамин и др.);
- нарушения мочеиспускания. Применяется альфа-1-адреноблокаторы (тамсулозин, альфузозин и др.). Препаратами резерва служат блокаторы 5-альфа-редуктазы (финстерид и др.);
- местное лечение при инфекционном простатите ограничено в силу риска осложнений (сепсиса и др.). Используются микроклизмы с растворами ромашки, календулы;
Хронический простатит / синдром хронической тазовой боли
К этой категории традиционно относились различные случаи хронической тазовой боли, возникавшей вследствие патологических процессов в других органах (помимо простаты) и системах организма. По статистике, около 25% мужчин имеют диагноз «хронический простатит», но лишь у 3—5% из них выявляется бактериальная инфекция простаты, требующая лечения противомикробными препаратами[16].
Диагноз хронического простатита, по утверждению известного американского уролога профессора Томаса Стэми[17], является «мусорной корзиной клинического невежества»[16][17], так как в течение десятилетий все неприятные ощущения в области таза у мужчин относили к хроническому простатиту, что приводило к неверной терапевтической стратегии, включая необоснованное назначение антибиотиков[16].
Исследования пациентов с диагнозом хронического простатита (ХП) и синдромом хронической тазовой боли (ХТБ) выявили существенную роль в возникновении этих состояний невропатической боли (которая возникает у 30% пациентов с этими состояниями), миофасциального болевого синдрома, скелетно-мышечной и психосоматической патологии, а также различных инфекций[16]. К «хроническому простатиту» также могут относить проявления аденомы простаты, местно-распространённого рака простаты, мочекаменной болезни, стриктуры уретры[17]. В отличие от пациентов с бактериальным простатитом, пациенты с ХП/ХТБ являются «сложной» категорией больных и в плане постановки диагноза и выявления патогенетических механизмов развития болезни, и в плане выбора лечения. Традиционно этим пациентам назначаются антибиотики, α-блокаторы и нестероидные противовоспалительные средства, при этом до 46% пациентов сообщают о неудовлетворительном результате курса лечения[16].
В 2010-е годы произошёл пересмотр критериев диагноза «хронический простатит»[16].
Течение этой формы простатита, как правило, бессимптомно. Единственными признаками заболевания могут быть персистирующие бактериурия и лейкоцитурия, которые и являются основными признаками в диагностике этой патологии.
Лечение
Методы лечения включают назначение противомикробных и противовоспалительных препаратов. В некоторых случаях рак простаты имеет клиническую картину, схожую с хроническим бессимптомным простатитом. В целях дифференциальной диагностики этих двух заболеваний назначают определение ПСА (PSA) (простатического специфического антигена), концентрация которого значительно повышается в случае опухолей предстательной железы.
Для определения простатита берутся мазки из уретры и для обнаружения венерических патологий и болезненной микрофлоры, и мазок секрета простаты для исследования на предмет обнаружения лейкоцитов. Это признак воспалительного процесса[18].
См. также
Примечания
- 1 2 Disease Ontology (англ.) — 2016.
- 1 2 3 4 Monarch Disease Ontology release 2018-06-29 — 2018-06-29 — 2018.
- ↑ Collins MM et al (1998). «How common is prostatitis? A national survey of physician visits.». J Urol. 159 (4): 1224—1228. PMID 9507840.
- ↑ Лечение простатита: что такое простатит и как его лечить в статье уролога Лелявина К. Б. probolezny.ru. Дата обращения: 21 ноября 2022. Архивировано 18 февраля 2023 года.
- 1 2 Stoica G., Cariou G., Colau A., et al. [Epidemiology and treatment of acute prostatitis after prostatic biopsy] (фр.) // Prog. Urol.. — 2007. — Т. 17, № 5. — С. 960—963. — doi:10.1016/S1166-7087(07)92397-0. — PMID 17969797.
- 1 2 3 Медицинская энциклопедия. — Астрель, 2009. — С. 356—358.
- ↑ Goldman, Lee. Goldman's Cecil Medicine (неопр.). — 24th. — Philadelphia: Elsevier Saunders, 2011. — С. 808. — ISBN 1437727883.
- ↑ Auzanneau C., Manunta A., Vincendeau S., Patard J.J., Guillé F., Lobel B. [Management of acute prostatitis, based on a series of 100 cases] (фр.) // Prog. Urol.. — 2005. — Т. 15, № 1. — С. 40—4. — PMID 15822390.
- ↑ Treatment of Prostatitis. Дата обращения: 18 января 2014. Архивировано 14 марта 2018 года.AAFP Prostatitis Treatment Article
- ↑ Penetration of Antimicrobial Agents into the Prostate - Abstract - Chemotherapy 2003, Vol. 49, No. 6 - Karger Publishers
- ↑ Hua V.N., Schaeffer A.J. Acute and chronic prostatitis (англ.) // Medical Clinics of North America. — 2004. — Vol. 88, no. 2. — P. 483—494. — doi:10.1016/S0025-7125(03)00169-X. — PMID 15049589.
- ↑ Göğüş C., Ozden E., Karaboğa R., Yağci C. The value of transrectal ultrasound guided needle aspiration in treatment of prostatic abscess (англ.) // European journal of radiology : journal. — 2004. — Vol. 52, no. 1. — P. 94—8. — doi:10.1016/S0720-048X(03)00231-6. — PMID 15380852.
- ↑ Soto S.M., Smithson A., Martinez J.A., Horcajada J.P., Mensa J., Vila J. Biofilm formation in uropathogenic Escherichia coli strains: relationship with prostatitis, urovirulence factors and antimicrobial resistance (англ.) // The Journal of Urology : journal. — 2007. — Vol. 177, no. 1. — P. 365—368. — doi:10.1016/j.juro.2006.08.081. — PMID 17162092.
- ↑ Kanamaru S., Kurazono H., Terai A., et al. Increased biofilm formation in Escherichia coli isolated from acute prostatitis (англ.) // Int. J. Antimicrob. Agents : journal. — 2006. — Vol. Suppl 1. — P. S21—5. — doi:10.1016/j.ijantimicag.2006.05.006. — PMID 16828264.
- ↑ Патогенетическая терапия бесплодия у больных хроническим простатитом. uroweb.ru. Дата обращения: 29 сентября 2017. Архивировано 26 сентября 2017 года.
- 1 2 3 4 5 6 Ковалык В. П., Екушева Е. В. Хронический простатит: дифференциальный диагноз. Анализ клинического случая // Клиническая практика. — 2019. — Т. 10, № 2. — С. 85—90.
- 1 2 3 Фоминцев И., онколог, директор Фонда профилактики рака. Уролог Алексей Живов — о фальшивых диагнозах, цистите и раке простаты: [Интервью с главным врачом Ильинской больницы практикующим урологом Алексеем Живовым] : [арх. 23 мая 2022] // The Village. — 25 января 2018.
- ↑ Лабораторные методы диагностики простатита. Дата обращения: 1 ноября 2018. Архивировано 31 марта 2022 года.
Литература
- В.А. Молочков, И.И. Ильин. Хронический уретрогенный простатит. — Москва: Медицина, 1998. — 304 с. — ISBN 5-225-04438-7.
