Зубной имплантат

Компьютерное проектирование перед имплантацией
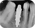
Зубной имплантат с прикреплённой коронкой для замены одного зуба

Общие применения зубных имплантатов

Отдельные зубы были заменены имплантатами, где трудно отличить настоящие зубы от протезов.
Движение в нижнем протезе может быть уменьшено с помощью имплантатов с удержанием шарика и гнезда.
Зубной мост может поддерживаться двумя или более имплантатами.

Зубной (дентальный) имплантат (англ. implant «имплант») — искусственно изготовленная, чаще всего многокомпонентная конструкция, используемая для внедрения в костную ткань челюсти с последующим сращением (остеоинтеграцией) с целью протезирования. Имплантаты замещают собой корни утраченных зубов, позволяя впоследствии провести восстановление зубного ряда.

Термин «имплантат» произошел от немецкого слова «implantat», который в свою очередь имеет латинские корни от слова «plantare» (сажать, лат.). В настоящее время правильно употреблять оба названия «имплантат» и «имплант».

Терминология

до и после имплантации зубов, между нёбом и протезами есть промежуток, при съёмном протезировании промежуток отсутствует
  • имплантат — непосредственно вживляемая в кость часть конструкции
  • временный имплантат — обычно служит опорой для временной протезной конструкции и подлежит удалению в момент постоянного протезирования
  • формирователь десны (также: формирователь десневой манжетыФДМ; жарг. хилинг от англ. healing abutment досл. «опора для заживления; заживляющая опора»)
  • абатмент (от англ. abutment досл. «опора») — прикрепляемая к имплантату часть конструкции, служит опорой для будущей коронки или протеза
  • супраструктура — надстройка на имплантат, собирательное название для всех видов абатментов и формирователей десны
  • имплантация All-on-4 («все на 4») — это зубопротезирование полного зубного ряда методом имплантации четырёх искусственных корней (имплантатов) в костную ткань челюсти пациента с последующей установкой на них протеза.

Типы имплантатов

Типы имплантатов

Стандартный 13-миллиметровый зубной имплантат в форме корня с ручкой для сравнения размеров
Скуловой имплантат длиннее, чем стандартные имплантаты и используется у людей без адекватной кости в верхней челюсти; он крепится к скуле
Имплантат малого диаметра представляет собой цельный имплантат (без абатмента), для которого требуется меньше кости
Сверхкороткая корневая форма плато (PRF) или «ребристые» зубные имплантаты, используемые в местах, где иначе потребовался бы синус-лифтинг или костный трансплантат.
Ортодонтический имплантат помещается рядом с зубами, чтобы действовать в качестве опорной точки для обеспечения распорки
Цельный керамический имплантат

Конструкция

Методы, используемые для планирования имплантатов

Чтобы помочь хирургу позиционировать имплантаты, сделана направляющая (обычно из акрила), чтобы показать желаемое положение и угол наклона имплантатов.
Иногда окончательное положение и восстановление зубов будут смоделированы на гипсовых моделях, чтобы помочь определить количество и положение необходимых имплантатов.
Компьютерная томография может быть загружена в программное обеспечение CAD/CAM для создания симуляции требуемой обработки. Затем устанавливаются виртуальные имплантаты и на данных 3D-принтер создаётся стент.

Основная операция по имплантации

Область с единственным отсутствующим зубом
Через десну делается разрез, и лоскут ткани откидывается, чтобы показать кость челюсти.
Как только кость обнажена, серия упражнений создаёт и постепенно увеличивает участок (называемый остеотомией) для установки имплантата.
Крепление имплантата превращается в остеотомию. В идеале он полностью покрыт костью и не имеет движения внутри кости.
Формирователь десны (опора для заживления) прикрепляется к креплению имплантата, а лоскут десны накладывается на заживляющий абатмент.

Реконструкция твёрдых тканей

Если ширина кости недостаточна, она может быть выращена с использованием искусственных или кадеварных кусочков кости, чтобы выступать в качестве основы для роста естественной кости.
Когда требуется большее количество кости, её можно взять из другого места (обычно задней части нижней челюсти) и пересадить на участок имплантата.
Верхнечелюстная пазуха может ограничивать высоту кости в задней части верхней челюсти. С помощью «синус-лифтинга» костная ткань может быть привита под синусную мембрану, увеличивая высоту кости.

Восстановление мягких тканей

Когда слизистая оболочка отсутствует, в область может быть трансплантирован свободный десневой трансплантат мягких тканей.
Когда металл имплантата становится видимым, можно использовать трансплантат соединительной ткани для улучшения высоты слизистой оболочки.
Действия, предпринятые для закрепления зубных коронок на имплантате, включая установку абатмента и коронки

Протезы

Четыре нижних имплантата для сохранения полного протеза с абатментами Новалок
Нижняя часть зубного протеза; корпус подходит как шарик и гнездо для протеза
Рентген четырёх имплантатов Штраумана и абатментов

По виду конструкции различают разборные и неразборные (однокомпонентные) имплантаты.

Разборный имплантат

Разборный имплантат состоит из непосредственно имплантата и надстройки (супраструктуры), именуемой абатментом. Такой имплантат может быть установлен по одно- и двухэтапному протоколу. Двухэтапный протокол подразумевает полное погружение имплантата и накрывание его слизистой оболочкой, в результате чего исключается любой контакт имплантата с полостью рта — эта процедура называется первым этапом дентальной имплантации. Второй этап заключается в установке какой-либо надстройки (супраструктуры) — это может быть как формирователь десны, так и абатмент с временной коронкой или другим видом протезной конструкции. После какого промежутка времени будет выполнен второй этап обычно решает имплантолог, опираясь на данные о качестве костной ткани, возраст и общее состояние пациента, а также свой клинический опыт. Классические сроки составляют 4—6 месяцев, однако последнее время существует тенденция к сокращению сроков ожидания до 2,5—3 месяцев. Это связано с лучшим пониманием процесса остеоинтеграции, а также оптимизацией макродизайна и микрохарактеристик поверхности имплантатов.

Неразборный имплантат

В неразборном имплантате (употребляются также термины: одноэтапный имплантат, моноимплантат) внутрикостная часть имплантата и абатмент обычно изготовлены из единого куска материала. После установки имплантат своей наддесневой частью сразу оказываются в контакте с полостью рта. На усмотрение доктора устанавливается формирователь десны либо временная коронка. В случае установки временной протезной конструкции (коронки, моста или полного протеза) на имплантат не позднее трёх дней после имплантации говорят о немедленной нагрузке.

Форма имплантата

Внутрикостные имплантаты по форме разделяют на корневидные, пластиночные и комбинированные. Наибольшее распространение имеют корневидные имплантаты, которые могут быть цилиндрической или конической формы.

Корневидные имплантаты могут значительно отличаться по макродизайну резьбы: неагрессивная, агрессивная с глубокими полозьями, смешанные.

Материалы

В стоматологии с большим успехом используются имплантаты из титанового сплава. Обычно внутрикостная часть имплантата изготавливается из коммерчески чистого титана ВТ1-0 (класс 4), ввиду лучших механических свойств широкое распространение также получил ВТ6 Ti-6Al-4V (титан-алюминий-ванадиевый сплав, класс 5).

белый циркониевый имплантат

Производятся дентальные имплантаты также из диоксида циркония. Такие имплантаты имеют косметическое преимущество, так как отсутствует тёмное просвечивание сквозь слизистую оболочку, иногда проявляющееся при использовании имплантатов из титана и сплавов. Гипоалергенны, на титан может быть аллергия, нет металлического привкуса во рту. Также можно проходить быстро через металлодетектор, не объясняя охране, что стоят зубные импланты, но импланты из диоксида циркония дороже имплантов из титана, приживаются также или даже лучше титановых, но не подходят для восстановления сразу всех зубов.

Ведутся исследования по поиску новых биосовместимых материалов. В частности, идут клинические испытания титаново-циркониевого сплава (коммерческое название «Roxolid»), разработанного специально для дентальной имплантации.

В качестве перспективного материала для зубных имплантатов рассматривается наноструктурированный титан[1]. Благодаря значительному уменьшению среднего размера кристаллических зёрен, его прочность становится сопоставимой с прочностью сплава ВТ6, что позволяет изготавливать имплантаты меньшего размера. При этом установлено, что нанотитан обеспечивает лучшую остеоинтеграцию по сравнению с крупнозернистым титаном.

Требования к имплантату

Следует понимать, что искомым результатом в стоматологии является восстановление функции и эстетики зубо-челюстной системы в целом. Зубной имплантат в этом контексте может быть лишь этапом общего процесса, являясь опорой для финальной реставрации. Имплантат должен быть как функциональным для пациента, так и удобным в работе для стоматолога на этапе установки. Этому способствуют: продуманный хирургический набор фрез и отвёрток; логичный последовательный протокол подготовки остеотомии (костного ложа). Наличие разных форм имплантата даёт возможность имплантологу выбрать оптимальный дизайн в зависимости от костных условий. Например, в пористой, губчатой кости больше подойдет имплантат конусной формы с «агрессивной» самонарезающей резьбой, а достигнуть адекватной стабилизации цилиндрическим имплантатом с мелким шагом резьбы будет трудной задачей. Если требования не удовлетворены, то система имплантатов так или иначе отвергается.

Имплантат должен:

  • быть удобным на этапе установки.
  • успешно интегрироваться, не вызывать угнетения остеоинтеграции, а возможно и потенцировать её. Этому способствует высокая степень очистки от механических частиц и уровень стерилизации.
  • давать широкие возможности в протезировании
  • обеспечить длительное сохранение потребительских свойств / не ломаться

Однако стоит учитывать, что успех процедуры зависит не только от материалов, но и от опыта врача, который устанавливает имплантаты, поскольку 80 % неудач происходят из-за низкой квалификации специалиста[2].

Показания к имплантации зубов

Известный актёр Олег Табаков умер из-за сепсиса после операции по имплантации зубов. На лице актёра видны морщины из-за атрофии костной ткани, он носил съёмные зубные протезы.
Певица Таисия Повалий сделала имплантацию зубов в 2000-х годах.

Показанием к имплантации является отсутствие зуба (адентия) по любой причине. [3] [4]

При утрате одного или нескольких зубов костная ткань в этом месте со временем истончается из-за отсутствия жевательной нагрузки, что ведёт к деформации челюстно-лицевой системы. Наличие имплантата обеспечивает адекватную нагрузку на кость челюсти подобно естественному корню зуба, поэтому истончения костной ткани не происходит. Каждый человек, который потерял один или несколько зубов в результате различных травм, болезней или разрушения зубов, имеют показания для имплантации зубов. Люди преклонного возраста также могут пройти процедуру имплантации, поскольку определяющим фактором её осуществления является скорее состояние здоровья, нежели возраст. Вопрос о том, возможно ли проведение дентальной имплантации, решается специалистом — стоматологом после тщательного медицинского обследования конкретного пациента и детального осмотра состояния его зубов.

Техника

Планирование

Общие соображения

При планировании зубных имплантатов основное внимание уделяется общему состоянию здоровья пациента, местному состоянию здоровья слизистых оболочек и челюстей, а также форме, размеру и положению костей челюстей, соседних и противолежащих зубов.

Было высказано предположение, что лучевая терапия может негативно повлиять на приживаемость имплантатов.[5] Тем не менее системное исследование, опубликованное в 2016 году, пришло к выводу, что дентальные имплантаты, установленные в облученной области полости рта, могут иметь высокую выживаемость при условии соблюдения пациентом мер гигиены полости рта и регулярного наблюдения для предотвращения осложнений.[6]

Преимущества имплантации

  • хороший косметический эффект;
  • восстановление важных физиологических функций;
  • предотвращение негативных последствий отсутствия зубов.

Установка имплантата позволяет:

  • восстановить утраченный зуб, не повреждая при этом здоровые соседние зубы;
  • создать дополнительную опору и установить несъёмный протез;
  • создать опору для улучшения фиксации съёмного протеза;
  • сделать профилактику деменции (старческого слабоумия) и продлить жизнь. Жевательное давление через родные зубы или имплантаты препятствует процессам общесоматического старения организма.

Противопоказания к имплантации

Осложнения имплантата

Потеря костной массы (периимплантит) на имплантатах более 7 лет у заядлого курильщика
Спад десны приводит к обнажению металлического абатмента под зубной коронкой.
Чёрные треугольники, вызванные потерей костной массы между имплантатами и естественными зубами
Перелом имплантата и винта абатмента является катастрофическим отказом, и приспособление не может быть спасено.
Перелом абатмента (полностью циркониевый) требует замены абатмента и коронки.
Для разрушения абатментных винтов (стрелка) в 3 имплантатах необходимо снять оставшуюся часть винта и заменить его.
Зубной цемент под десной вызывает периимплантит и повреждение имплантата.
Корзина Гринфилда: один из самых ранних примеров успешного эндоскопического имплантата была система имплантатов Гринфилда 1913 года
При изучении костных клеток в большеберцовой кости кролика с использованием титановой камеры Бранмарк не смог удалить её из кости. Он понял, что титан врастает в кость, это привело к концепции остеоинтеграции и разработке современных зубных имплантатов. Показана оригинальная рентгеновская пленка камеры, встроенная в голень кролика (предоставлена Бранмарком).
Панорамная рентгенограмма зубных имплантатов, образца 1978 года

Подобные противопоказания встречаются примерно у 10 % населения[2]. Данные противопоказания являются лишь относительными и определяются в первую очередь тяжестью заболевания. Не рекомендуется устанавливать имплантаты очень юным или, напротив, слишком пожилым пациентам, а также тем, кто курит или чрезмерно употребляет алкоголь.

Особое значение имеет уровень гигиены полости рта. Имплантация не может быть выполнена без санации полости рта (все зубы должны быть вылечены), поскольку любой очаг инфекции в организме может свести на нет работу имплантолога из-за высокой вероятности последующего отторжения вживлённого имплантата.

Установка зубных имплантатов может вести к периимплантиту, который возникает из-за бактериальной флоры, попадающей на внешнюю поверхность имплантатов через зубной налет. Лечение данного заболевания проводили корейские исследователи с использованием титановой щетки.

Влияние лекарственных препаратов на приживаемость зубных имплантатов

Прием антидепрессантов во время имплантации в четыре раза ухудшает её результаты, по данным исследования[какого?] университета Буффало. Хотя для более точных выводов требуется бо́льшая выборка пациентов, исследователи рекомендуют лечащим врачам по возможности не использовать антидепрессанты во время имплантации зубов.[7]

Бета-блокаторы способствуют интеграции зубных имплантатов в костную ткань и уменьшают их отторжение. Выводы основаны на канадском исследовании 1499 зубных имплантатов у 728 пациентов, в котором частота отторжения имплантатов у людей, принимавших бета-блокаторы по другим показаниям, составляла 0,6 %, а у не принимавших — 4,1 %.

Препараты для лечения изжоги

Препараты для лечения изжоги способны ухудшать приживаемость зубных имплантатов. Данные основаны на канадском исследовании 1773 зубных имплантатов у 799 пациентов, в котором частота отторжения имплантатов у людей, принимавших препараты для лечения изжоги, составляла 6,8 %, а у не принимавших — 3,2 %. Исследователи связывают данное явление с тем, что препараты для лечения изжоги снижают всасываемость кальция в кишечнике.

Послеоперационное наблюдение

Срок службы имплантатов у разных пациентов неодинаков и варьирует от нескольких лет до десяти — двадцати пяти — в зависимости от состояния здоровья человека, в первую очередь, от наличия стоматологических или системных патологий. Следует своевременно посещать врача, соблюдая его рекомендации и не пренебрегая профилактическими мерами[2].

Каждому человеку, который решил пройти процедуру имплантации, очень важно знать, что после проведения операции необходимы обязательные плановые осмотры у стоматолога — через 1, 3 и 7 месяцев. Врач сможет проверить функциональность вживлённого имплантата, состояние гигиены полости рта, наличие признаков воспаления или отторжения имплантата.

В дальнейшем обязателен ежегодный осмотр специалистом, в процессе которого:

  • с помощью рентгенографии изучаются качество и плотность костной ткани;
  • проверяются окклюзия и артикуляция;
  • при необходимости пациент получает консультацию по соблюдению правил гигиены;
  • обязательно регистрируется износ коронок и пломб, закрывающих отверстия фиксирующих винтов;
  • исследуется состояние зубов;
  • выполняется профессиональная чистка зубов и имплантатов от зубного камня. Гигиена является важнейшим фактором долгого срока службы зубных имплантатов.

Под термином «имплантация зубов» в стоматологии понимают только вживление зубного имплантата. В дальнейшем на вживлённый имплантат с помощью цемента крепится коронка, которая может быть временной — пластмассовой, металлокерамической, керамической, золотой и т. д. Относительно кости она должна располагаться на том же уровне, на котором ранее располагалась коронка зуба, замещаемого имплантатом. В практике чаще всего применяются два вида фиксации коронок на имплантаты: цементная или винтовая.

Выбор типа коронки зависит от конкретной ситуации и финансовых возможностей пациента.

Корневой аналог зубного имплантата

См. также

Примечания

  1. Aksyonov DA, Lipnitskii AG, Kolobov YuR. Ab initio study of Ti–C precipitates in hcp titanium: Formation energies, elastic moduli and theoretical diffraction patterns (англ.). Computational Materials Science, 2012, vol. 65, pp. 434-441. sciencedirect.com. Дата обращения: 26 февраля 2013. Архивировано 24 сентября 2015 года.
  2. 1 2 3 Зубы «под ключ»: вся правда об имплантатах Архивная копия от 25 октября 2012 на Wayback Machine, РБК, 31 мая 2012 г.
  3. Полупан П. В. Одноэтапная имплантация–новый горизонт в имплантологии // Dental Tribune Россия. — 2014.   1. — С. 13.
  4. Соловьева Л. Г. Отсроченная зубная имплантация после удаления зубов и пластики челюстей // Дисс. канд. мед. наук. — 2008.
  5. The effect of radiotherapy on survival of dental implants. 17 апреля 2016. {{cite journal}}: Cite journal требует |journal= (справка)
  6. Smith Nobrega A, Santiago JF, de Faria Almeida DA, Dos Santos DM, Pellizzer EP, Goiato MC (December 2016). Irradiated patients and survival rate of dental implants: A systematic review and meta-analysis. The Journal of Prosthetic Dentistry. 116 (6): 858–866. doi:10.1016/j.prosdent.2016.04.025. hdl:11449/162230. PMID 27460315.
  7. Antidepressants linked to tooth implant failure, new study finds. Дата обращения: 8 апреля 2016. Архивировано 6 апреля 2016 года.

Рекомендуемая литература