Церебральная фолатная недостаточность


Церебральная фолатная недостаточность (ЦФН, англ. cerebral folate deficiency) — синдром, при котором в спинномозговой жидкости пациента снижено содержание 5-метилтетрагидрофолата (5-MTHF), несмотря на нормальное содержание 5-MTHF в сыворотке крови[3]. Набор симптомов варьирует в зависимости от возраста начала заболевания и его причины, и может включать дискинезию, атаксию, эпилептические приступы, задержку психомоторного развития.
Наиболее ярко ЦФН проявляется при мутациях гена FOLR1, отвечающего за доставку фолатов в центральную нервную систему[4][5]. Ребёнок с мутацией рождается здоровым. Заболевание дебютирует чуть позже - в раннем детском возрасте - такими симптомами, как задержка психомоторного развития, атаксия, тремор, хорея, миоклонические приступы. На МРТ-снимках может наблюдаться гипомиелинизация. При немедленном назначении фолиновой кислоты можно добиться значительного улучшения состояния.
ЦФН может наблюдаться у пациентов с синдромом Кернса-Сейра[6] и при других митохондриальных заболеваниях. Причина развития ЦФН в таких случаях до конца не выяснена - предполагается, что дисфункция митохондрий нарушает транспорт фолатов через сосудистое сплетение.
Описаны случаи обнаружения недостатка 5-MTHF в спинномозговой жидкости пациентов с аутоантителами к рецептору фолиевой кислоты альфа. Предполагается, что антитела затрудняют поступление фолатов в спинномозговую жидкость[3][7][8].
Диагностика
Для диагностики церебральной фолатной недостаточности требуется анализ спинномозговой жидкости на содержание 5-MTHF.
Терапия
Терапия ЦФН состоит в длительном приёме фолиновой кислоты, поскольку приём фолиевой кислоты не способен повысить уровни 5-MTHF в спинномозговой жидкости пациента.
Этиология
Фолаты крайне важны для правильной работы мозга. У здорового человека концентрация фолатов в спинномозговой жидкости превышает концентрацию фолатов в крови приблизительно в три[9] либо четыре[10] раза, по данным разных обзоров. Столь значительный градиент поддерживается с помощью постоянного переноса фолатов из крови в СМЖ клетками сосудистого сплетения. Основную роль в этом процессе играет фолатный рецептор альфа, располагающийся на базолатеральной (обращенной в сторону кровеносных сосудов) поверхности клеток сосудистого сплетения. После связывания рецептора с молекулой 5-MTHF происходит эндоцитоз, затем везикулы, содержащие рецептор и фолат, преодолевают путь до апикальной (обращенной в сторону желудочков мозга) поверхности клетки, и покидают клетку в виде экзосом. Этот процесс требует как наличия функционального рецептора, так и затрат энергии. В связи с этим считается, что церебральная фолатная недостаточность может развиваться при нарушении функции рецептора либо при состояниях, нарушающих энергетический метаболизм сосудистого сплетения.
История
История открытия и исследований ЦФН отражает множественность причин заболевания. Первые сообщения о сниженной концентрации 5-MTHF в спинномозговой жидкости у пациентов с синдромом Кернса-Сейра были опубликованы в 1983 году.[11][12] Таким образом, митохондриальные заболевания ранее других стали воспринимать как возможную причину подобных состояний.
Первые сообщения о неонатальных судорогах, быстро проходящих под воздействием фолиновой кислоты, появились в 1995 году[13]. Состояние было названо "эпилептические приступы, реагирующие на фолиновую кислоту" (англ. folinic-acid-responsive seizures (FARS)). В 2009 году было установлено,[14] что это состояние является одним из проявлений пиридоксин-зависимой эпилепсии, заболевания, при котором у некоторых пациентов наблюдается церебральная фолатная недостаточность[15].
В 1994 году был описан пациент, в образцах крови которого наблюдался нормальный уровень фолата, при этом в спинномозговой жидкости отмечалась очень низкая концентрация 5-MTHF, а иммуноферментный анализ демонстрировал низкую концентрацию фолат-связывающего белка. Исключив наличие признаков митохондриальной миопатии в мышечной ткани, авторы (Wevers et al.) предположили, что именно дисфункция белка, впоследствии более известного под названием фолатный рецептор альфа, нарушила перенос фолата в ЦНС клетками сосудистого сплетения.[16]
В 2002 году Ramaekers et al. выявили пять детей, у которых в возрасте нескольких месяцев была отмечена задержка психомоторного развития, атаксия, дискинезии, эпилептические приступы и другие неврологические симптомы,[17] а в 2004 году список обнаруженных ими пациентов возрос до 20-ти[18]. В спинномозговой жидкости детей, но не в крови, была снижена концентрация 5-MTHF, а назначение фолиновой кислоты позволяло смягчить или обратить вспять патологические отклонения. Авторы отметили сходство состояния со случаем, описанным Wevers et al. в 1994 году. Технологический прогресс сделал возможным исследование гена FOLR1 у пациентов, однако осуществленный анализ не выявил мутаций, и авторы предположили, что причиной заболевания может быть генерация аутоантител к фолатному рецептору альфа. Они назвали обнаруженный синдром "идиопатическая церебральная фолатная недостаточность"[18]. Через год, в 2005 году, Ramaekers et al. сообщили об обнаружении аутоантител к фолатному рецептору альфа у детей с церебральной фолатной недостаточностью[19].
В 2009 году Steinfeld et al. впервые смогли выявить мутации гена FOLR1 у трёх из двенадцати изученных ими пациентов с церебральной фолатной недостаточностью[20].
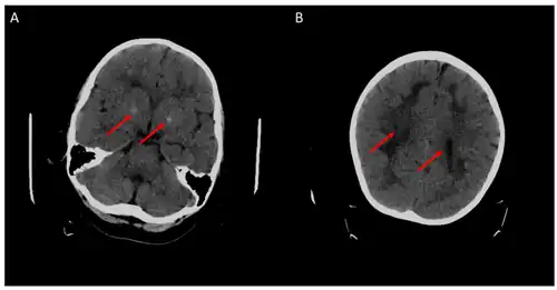
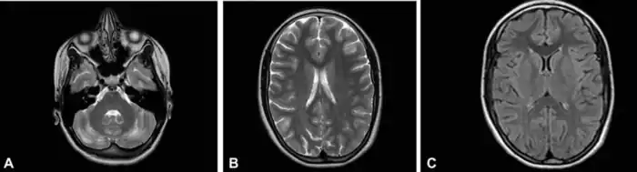
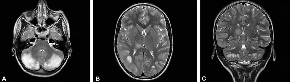
Иллюстрации

До и после возобновления терапии лейковорином при недостаточности ДГПР
Ссылки
Обзоры:
- Церебральная фолатная недостаточность: анализы и дифференциальная диагностика - обзор заболевания, перевод на русский статьи Pope et al., 2019[15].
- Церебральная фолатная недостаточность: ранняя диагностика, вмешательство и стратегии терапии - русский перевод обзора Ramaekers & Quadros, опубликованного в 2022 году.[22]
Описания серии случаев:
- Церебральная фолатная недостаточность у взрослых пациентов: гетерогенное состояние, допускающее возможность терапии - русский перевод исследования, осуществленного в 2019 году в парижской больнице Сальпетриер.[23]
- Наблюдение результатов назначения фолиновой кислоты пациентам с церебральной фолатной недостаточностью и синдромом Кернса-Сейра - русский перевод исследования, осуществленного в 2014 году испанскими учеными.[24]
- De novo мутации гена CIC, вызывающие потерю функции гена, способствуют развитию церебральной фолатной недостаточности через снижение экспрессии FOLR1 - русский перевод исследования, осуществленного в 2020 году.[25]
- Фолиевая кислота ингибирует перенос 5-метилтетрагидрофолата через гематоликворный барьер: отчет о клинико-биохимическом исследовании двух пациентов - русский перевод исследования в поддержку гипотезы о неблагоприятном действии фолиевой кислоты при некоторых случаях ЦФН. Публикация Akiyama et al., 2022.[26]
- Варианты гена KDM6B могут вносить вклад в развитие церебральной фолатной недостаточности у человека - русский перевод отчета про обнаружение мутаций в гене KDM6B у пятерых пациентов с церебральной фолатной недостаточностью. Xiao Han et al., 2022.[27]
Описания единичных случаев:
- Возможная причина фармакорезистентной эпилепсии у ребёнка: церебральная фолатная недостаточность, болезнь, поддающаяся терапии - описание случая заболевания, перевод на русский статьи Mafi et al., 2020[1].
- Коррекция сниженной концентрации 5-метилтетрагидрофолата в спинномозговой жидкости с помощью лейковорина улучшила контроль судорожных приступов и показатели развития у пациентки с PCDH19-ассоциированной эпилепсией - русский перевод описания клинического случая, опубликованного в 2020 году.
- Первое описание китайского пациента с ранее неизвестной мутацией гена FOLR1, вызвавшей церебральную фолатную недостаточность - русский перевод клинического случая, опубликованного в 2020 году.
- Церебральная фолатная недостаточность у двух сиблингов, вызванная биаллельными вариантами гена FOLR1, включающими одну ранее неизвестную мутацию: внутрисемейная гетерогенность симптомов после ранней инициации терапии и роль кетогенной диеты - русский перевод клинического отчета Papadopoulou et al., 2021.[2]
- Заболевание с чертами синдрома Альперса и МНГИЭ, нарушением переноса фолатов в СМЖ, и необычным механизмом передачи мутаций гена POLG: описание случая - русский перевод статьи,[28] описывающей картину церебральной фолатной недостаточности при митохондриальном заболевании.
- Синдром гиперфосфатазии с умственной отсталостью 3: отклонения в составе спинномозговой жидкости и применение пиридоксина и фолиновой кислоты для их коррекции - русский перевод описания случая церебральной фолатной недостаточности у девочки, страдающей синдромом гиперфосфатазии с умственной отсталостью типа 3 (синдромом Мабри).[29]
- Гипомиелинизация, вызванная новым гомозиготным патогенным вариантом гена FOLR1: случай полного исчезновения клинических симптомов и радиологических нарушений на фоне перорального приема фолиновой кислоты, и обзор литературы - русский перевод описания первого случая, отраженного в научной литературе, при котором было отмечено полное исчезновение симптомов и отклонений на МРТ-снимках благодаря ранней диагностике и раннему назначению терапии. В статье описывается ЦФН у брата и сестры из Сербии (Ana Potic et al., 2023).[30]
Гипотеза о связи ЦФН с развитием некоторых случаев аутизма:
- Аутоантитела к фолатному рецептору альфа при расстройствах аутистического спектра: диагностика, терапия и профилактика - русский перевод гипотезы о возможной связи аутоантител к фолатному рецептору с развитием некоторых случаев аутистических расстройств. Оригинальная публикация: Natasha Bobrowski-Khoury, 2021.[31]
- Церебральная фолатная недостаточность, аутоантитела к фолатному рецептору альфа, и терапия лейковорином (фолиновой кислотой) при расстройствах аутистического спектра: систематический обзор и мета-анализ - русский перевод обзора о возможной роли ЦФН в развитии некоторых случаев аутизма (Rossignol & Frye, 2021)[32]
Возможная связь ЦФН с развитием некоторых случаев депрессии и других психических расстройств:
- Метаболомные заболевания: подтвержденное наличие потенциально поддающихся терапии отклонений у пациентов с резистентной депрессией и суицидальным поведением - русский перевод репликационного исследования, осуществленного группой ученых из Питтсбургского университета. Lisa Pan et al., 2022.[33]
- Обнаружена связь между метаболическими заболеваниями и тяжелыми резистентными формами депрессии - новостная заметка об исследовании, опубликованном в 2017 году[34].
- Основания для применения фолиновой кислоты при нейропсихиатрических заболеваниях - русский перевод гипотезы Ramaekers et al., 2016[35].
Гипотетический механизм развития ЦФН при митохондриальных заболеваниях:
- Нарушение работы сосудистого сплетения мозга при синдроме Кернса-Сейра - русский перевод статьи Spector & Johanson, 2010[36].
См. также
- Фолатная недостаточность
- Врожденная мальабсорбция фолатов - заболевание, вызываемое мутацией гена PCFT и характеризующееся сочетанием системной и церебральной фолатной недостаточности
- Недостаточность 5,10-метенилтетрагидрофолатсинтетазы - нарушение фолатного метаболизма, вызываемое мутациями гена MTHFS и приводящее к задержке психического развития, гипомиелинизации и эпилептическим приступам.
- Капикуа - мутации гена CIC (Капикуа) ассоциированы с церебральной фолатной недостаточностью, по данным одного исследования.[25]
- Лизин-специфическая деметилаза 6B - мутации гена KDM6B ассоциированы с ЦФН, по данным одного исследования.[27]
- ДНК-полимераза гамма - мутации гена POLG (ДНК-полимераза гамма) ассоциированы с церебральной фолатной недостаточностью
Примечания
- 1 2 3 Mafi S, Laroche-Raynaud C, Chazelas P, Lia AS, Derouault P, Sturtz F, Baaj Y, Froget R, Rio M, Benoist JF, Poumeaud F, Favreau F, Faye PA (October 2020). Pharmacoresistant Epilepsy in Childhood: Think of the Cerebral Folate Deficiency, a Treatable Disease. Brain Sciences. 10 (11). doi:10.3390/brainsci10110762. PMID 33105619.
{{cite journal}}: Википедия:Обслуживание CS1 (не помеченный открытым DOI) (ссылка) - 1 2 Papadopoulou MT, Dalpa E, Portokalas M, Katsanika I, Tirothoulaki K, Spilioti M, Gerou S, Plecko B, Evangeliou AE (July 2021). Cerebral folate deficiency in two siblings caused by biallelic variants including a novel mutation of FOLR1 gene: Intrafamilial heterogeneity following early treatment and the role of ketogenic diet. JIMD Reports. 60 (1): 3–9. doi:10.1002/jmd2.12206. PMID 34258135.
- 1 2 Hyland K., Shoffner J., Heales S. J. Cerebral folate deficiency (англ.) // Journal of Inherited Metabolic Disease : journal. — 2010. — October (vol. 33, no. 5). — P. 563—570. — doi:10.1007/s10545-010-9159-6. — PMID 20668945.
- ↑ Cerebral folate transport deficiency. Genetics Home Reference. Дата обращения: 7 января 2019. Архивировано 13 апреля 2019 года.
- ↑ Serrano M., Pérez-Dueñas B., Montoya J., Ormazabal A., Artuch R. Genetic causes of cerebral folate deficiency: clinical, biochemical and therapeutic aspects (англ.) // Drug Discovery Today : journal. — 2012. — Vol. 17, no. 23—24. — P. 1299—1306. — doi:10.1016/j.drudis.2012.07.008. — PMID 22835503.
- ↑ Baumgartner, M. R. Vitamin-responsive disorders: cobalamin, folate, biotin, vitamins B1 and E (англ.) // Handbook of clinical neurology : journal. — 2013. — Vol. 113. — P. 1799—1810. — doi:10.1016/B978-0-444-59565-2.00049-6. — PMID 23622402.
- ↑ Agadi S., Quach M. M., Haneef Z. Vitamin-responsive epileptic encephalopathies in children (англ.) // Epilepsy Research and Treatment : journal. — 2013. — Vol. 2013. — P. 510529. — doi:10.1155/2013/510529. — PMID 23984056. — PMC 3745849.
- ↑ Phillip L. Pearl, M. D. Inherited Metabolic Epilepsies. — Demos Medical Publishing, 2012. — С. 3—. — ISBN 978-1-61705-056-5.
- ↑ Stover PJ, Durga J, Field MS (April 2017). Folate nutrition and blood-brain barrier dysfunction. Current Opinion in Biotechnology. 44: 146–152. doi:10.1016/j.copbio.2017.01.006. PMC 5385290. PMID 28189938.
- ↑ Tiani KA, Stover PJ, Field MS (August 2019). The Role of Brain Barriers in Maintaining Brain Vitamin Levels. Annual Review of Nutrition. 39: 147–173. doi:10.1146/annurev-nutr-082018-124235. PMID 31150592.
- ↑ Allen RJ, DiMauro S, Coulter DL, Papadimitriou A, Rothenberg SP (June 1983). Kearns-Sayre syndrome with reduced plasma and cerebrospinal fluid folate. Annals of Neurology. 13 (6): 679–82. doi:10.1002/ana.410130620. PMID 6881930.
- ↑ Dougados M, Zittoun J, Laplane D, Castaigne P (June 1983). Folate metabolism disorder in Kearns-Sayre syndrome. Annals of Neurology. 13 (6): 687. doi:10.1002/ana.410130624. PMID 6881934.
- ↑ Cosnahan A. S., Campbell C. T. Inborn Errors of Metabolism in Pediatric Epilepsy // The Journal of Pediatric Pharmacology and Therapeutics : JPPT : the Official Journal of PPAG. — 2019. — Т. 24, № 5. — С. 398—405. — doi:10.5863/1551-6776-24.5.398. — PMID 31598103. — PMC 6782122.
- ↑ Gallagher RC, Van Hove JL, Scharer G, Hyland K, Plecko B, Waters PJ, Mercimek-Mahmutoglu S, Stockler-Ipsiroglu S, Salomons GS, Rosenberg EH, Struys EA, Jakobs C (May 2009). Folinic acid-responsive seizures are identical to pyridoxine-dependent epilepsy. Annals of Neurology. 65 (5): 550–6. doi:10.1002/ana.21568. PMID 19142996.
- 1 2 Pope S., Artuch R., Heales S., Rahman S. Cerebral folate deficiency: Analytical tests and differential diagnosis (англ.) // Journal of Inherited Metabolic Disease : journal. — 2019. — March. — doi:10.1002/jimd.12092. — PMID 30916789.
- ↑ Wevers RA, Hansen SI, van Hellenberg Hubar JL, Holm J, Høier-Madsen M, Jongen PJ (February 1994). Folate deficiency in cerebrospinal fluid associated with a defect in folate binding protein in the central nervous system. Journal of Neurology, Neurosurgery, and Psychiatry. 57 (2): 223–6. doi:10.1136/jnnp.57.2.223. PMC 1072457. PMID 8126512.
- ↑ Ramaekers VT, Häusler M, Opladen T, Heimann G, Blau N (December 2002). Psychomotor retardation, spastic paraplegia, cerebellar ataxia and dyskinesia associated with low 5-methyltetrahydrofolate in cerebrospinal fluid: a novel neurometabolic condition responding to folinic acid substitution. Neuropediatrics. 33 (6): 301–8. doi:10.1055/s-2002-37082. PMID 12571785.
- 1 2 Ramaekers VT, Blau N (December 2004). Cerebral folate deficiency. Developmental Medicine and Child Neurology. 46 (12): 843–51. doi:10.1017/s0012162204001471. PMID 15581159.
- ↑ Ramaekers VT, Rothenberg SP, Sequeira JM, Opladen T, Blau N, Quadros EV, Selhub J (May 2005). Autoantibodies to folate receptors in the cerebral folate deficiency syndrome. The New England Journal of Medicine. 352 (19): 1985–91. doi:10.1056/NEJMoa043160. PMID 15888699.
- ↑ Steinfeld R, Grapp M, Kraetzner R, Dreha-Kulaczewski S, Helms G, Dechent P, Wevers R, Grosso S, Gärtner J (September 2009). Folate receptor alpha defect causes cerebral folate transport deficiency: a treatable neurodegenerative disorder associated with disturbed myelin metabolism. American Journal of Human Genetics. 85 (3): 354–63. doi:10.1016/j.ajhg.2009.08.005. PMC 2771535. PMID 19732866.
- 1 2 Pappalardo MG, Di Nora A, Giugno A, Meli C, Sapuppo A, Pavone P, Fiumara A (September 2022). Dihydropyridine Reductase Deficiency: Acute Encephalopathy Related to Folinic Acid Treatment Interruption in a Girl. Global Medical Genetics. 9 (3): 247–251. doi:10.1055/s-0042-1756661. PMC 9484871. PMID 36132999.
- ↑ Ramaekers VT, Quadros EV (July 2022). Cerebral Folate Deficiency Syndrome: Early Diagnosis, Intervention and Treatment Strategies. Nutrients. 14 (15). doi:10.3390/nu14153096. PMC 9370123. PMID 35956272.
{{cite journal}}: Википедия:Обслуживание CS1 (не помеченный открытым DOI) (ссылка) - ↑ Masingue M., Benoist J. F., Roze E., Moussa F., Sedel F., Lubetzki C., Nadjar Y. Cerebral folate deficiency in adults: A heterogeneous potentially treatable condition. (англ.) // Journal Of The Neurological Sciences. — 2019. — 15 January (vol. 396). — P. 112—118. — doi:10.1016/j.jns.2018.11.014. — PMID 30448717.
- ↑ Quijada-Fraile P., O'Callaghan M., Martín-Hernández E., Montero R., Garcia-Cazorla À, de Aragón AM et al. Follow-up of folinic acid supplementation for patients with cerebral folate deficiency and Kearns-Sayre syndrome (англ.) // Orphanet Journal of Rare Diseases : journal. — 2014. — Vol. 9. — P. 217. — doi:10.1186/s13023-014-0217-2. — PMID 25539952. — PMC 4302586.
- 1 2 Cao X, Wolf A, Kim SE, Cabrera RM, Wlodarczyk BJ, Zhu H; et al. (2020). CIC de novo loss of function variants contribute to cerebral folate deficiency by downregulating FOLR1 expression. J Med Genet. doi:10.1136/jmedgenet-2020-106987. PMC 7895856. PMID 32820034.
{{cite journal}}: Википедия:Обслуживание CS1 (множественные имена: authors list) (ссылка) - ↑ Akiyama T, Kuki I, Kim K, Yamamoto N, Yamada Y, Igarashi K, Ishihara T, Hatano Y, Kobayashi K (November 2022). Folic acid inhibits 5-methyltetrahydrofolate transport across the blood-cerebrospinal fluid barrier: Clinical biochemical data from two cases. JIMD Reports. 63 (6): 529–535. doi:10.1002/jmd2.12321. PMID 36341171.
- 1 2 Han X, Cao X, Cabrera RM, Pimienta Ramirez PA, Zhang C, Ramaekers VT, Finnell RH, Lei Y (December 2022). KDM6B Variants May Contribute to the Pathophysiology of Human Cerebral Folate Deficiency. Biology. 12 (1). doi:10.3390/biology12010074. PMC 9855468. PMID 36671766.
{{cite journal}}: Википедия:Обслуживание CS1 (не помеченный открытым DOI) (ссылка) - ↑ Korinthenberg Rudolf, Kirschner Janbernd, Eckenweiler Matthias, Steinfeld Robert, Tatishvili Nana Nino, Horvath Rita, Kleinle Stephanie, Abicht Angela. Alpers- and MNGIE-like disease with disturbed CSF folate transport and an unusual mode of genetic transmission of POLG mutations: a case report (англ.) // Journal of the International Child Neurology Association. — 2021. — 9 October (vol. 1, no. 1). — ISSN 2410-6410. — doi:10.17724/jicna.2020.216.
- ↑ Messina M, Manea E, Cullup T, Tuschl K, Batzios S (January 2023). Hyperphosphatasia with mental retardation syndrome 3: Cerebrospinal fluid abnormalities and correction with pyridoxine and Folinic acid. JIMD Reports. 64 (1): 42–52. doi:10.1002/jmd2.12347. PMC 9830023. PMID 36636587.
- ↑ Potic A, Perrier S, Radovic T, Gavrilovic S, Ostojic J, Tran LT, Thiffault I, Pastinen T, Schiffmann R, Bernard G (July 2023). Hypomyelination caused by a novel homozygous pathogenic variant in FOLR1: complete clinical and radiological recovery with oral folinic acid therapy and review of the literature. Orphanet Journal of Rare Diseases. 18 (1): 187. doi:10.1186/s13023-023-02802-6. PMID 37443037.
{{cite journal}}: Википедия:Обслуживание CS1 (не помеченный открытым DOI) (ссылка) - ↑ Bobrowski-Khoury N, Ramaekers VT, Sequeira JM, Quadros EV (July 2021). Folate Receptor Alpha Autoantibodies in Autism Spectrum Disorders: Diagnosis, Treatment and Prevention. Journal of Personalized Medicine. 11 (8). doi:10.3390/jpm11080710. PMID 34442354.
{{cite journal}}: Википедия:Обслуживание CS1 (не помеченный открытым DOI) (ссылка) - ↑ Rossignol DA, Frye RE (November 2021). Cerebral Folate Deficiency, Folate Receptor Alpha Autoantibodies and Leucovorin (Folinic Acid) Treatment in Autism Spectrum Disorders: A Systematic Review and Meta-Analysis. Journal of Personalized Medicine. 11 (11). doi:10.3390/jpm11111141. PMID 34834493.
{{cite journal}}: Википедия:Обслуживание CS1 (не помеченный открытым DOI) (ссылка) - ↑ Pan LA, Segreti AM, Wrobleski J, Shaw A, Hyland K, Hughes M, Finegold DN, Naviaux RK, Brent DA, Vockley J, Peters DG (November 2022). Metabolomic disorders: confirmed presence of potentially treatable abnormalities in patients with treatment refractory depression and suicidal behavior. Psychological Medicine: 1–9. doi:10.1017/S0033291722003233. PMID 36330595.
- ↑ Pan LA, Martin P, Zimmer T, Segreti AM, Kassiff S, McKain BW, Baca CA, Rengasamy M, Hyland K, Walano N, Steinfeld R, Hughes M, Dobrowolski SK, Pasquino M, Diler R, Perel J, Finegold DN, Peters DG, Naviaux RK, Brent DA, Vockley J (January 2017). Neurometabolic Disorders: Potentially Treatable Abnormalities in Patients With Treatment-Refractory Depression and Suicidal Behavior. The American Journal of Psychiatry. 174 (1): 42–50. doi:10.1176/appi.ajp.2016.15111500. PMID 27523499.
- ↑ Ramaekers VT, Sequeira JM, Quadros EV (July 2016). The basis for folinic acid treatment in neuro-psychiatric disorders. Biochimie. 126: 79–90. doi:10.1016/j.biochi.2016.04.005. PMID 27068282.
- ↑ Spector R, Johanson CE (August 2010). Choroid plexus failure in the Kearns-Sayre syndrome. Cerebrospinal Fluid Research. 7: 14. doi:10.1186/1743-8454-7-14. PMC 2939631. PMID 20731822.
{{cite journal}}: Википедия:Обслуживание CS1 (не помеченный открытым DOI) (ссылка)