Эндотелий роговицы
| Эндотелий роговицы | |
|---|---|
| лат. epithelium posterius corneae | |
![]() Роговица человека. 1. эпителий роговицы 2. Боуменова мембрана 3. строма роговицы 4. Десцеметова оболочка 5. эндотелий роговицы | |
| Каталоги | |
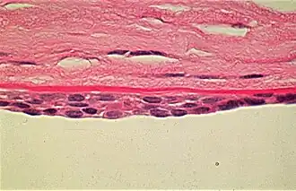
Эндотелий роговицы, задний эпителий роговицы — монослой специализированных плоских клеток, выстилающих заднюю поверхность роговицы и входящих в соприкосновение с содержимым передней камеры глаза. Гексагональные клетки эндотелия содержат повышенное количество митохондрий и осуществляют транспорт жидкости и растворенных веществ, поддерживая роговицу в слабо дегидрированном состоянии, необходимом для её прозрачности. Площадь клеток примерно одинакова; при значительном разбросе их размера говорят о наличии полимегетизма.
Заболевания и повреждения
- Эндотелиальная дистрофия Фукса
- X-связанная эндотелиальная дистрофия роговицы
- Задняя полиморфная дистрофия роговицы
- Врожденная Наследственная Эндотелиальная Дистрофия 1 (CHED1)
- Врожденная Наследственная Эндотелиальная Дистрофия 2 (CHED2)

Примечания
- ↑ Klintworth G. K. Corneal dystrophies (англ.) // Orphanet Journal of Rare Diseases. — 2009. — Vol. 4. — P. 7. — doi:10.1186/1750-1172-4-7. — PMID 19236704. — PMC 2695576.
