Невринома
| Невринома | |
|---|---|
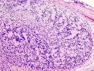
| Микропрепарат опухоли окраска гематоксилин-эозин. | |
| МКБ-10 | D36.1 |
| МКБ-9 | 225.8 |
| МКБ-О | M9560/0 |
| DiseasesDB | 33713 |
| MeSH | D009442 |
Невринома (шваннома, шванноглиома, неврилеммома, нейринома, леммобластома, периневральная фибробластома) — опухоль, растущая из шванновских клеток, образующих миелиновую оболочку нервов. Термин предложен Верокаи и широко распространён[1].
Невриномы являются доброкачественными опухолями, наблюдаются в любом возрасте, чаще у женщин. Наиболее частой локализацией является слуховой нерв[1]. Могут встречаться на любых нервах человеческого организма. Реже опухоль может стать злокачественной, тогда её называют злокачественной опухолью периферических нервных окончаний.
Эпидемиология
Опухоль относится к довольно распространенным доброкачественным новообразованиям детского возраста, данные опухоли составляют 8 % образований первично возникших в полости черепа, и 20 % развившихся в спинном мозге.
Патологическая анатомия
Макроскопически невринома имеет вид плотного, ограниченного узла округлой, овальной или неправильной формы. Поверхность узла неровная, бугристая. Невринома покрыта соединительнотканной капсулой. Ткань опухоли на разрезе бледно-серая, с участками, имеющими жёлтый, ржавый оттенок за счёт жировых отложений, либо буро-коричневый цвет (следы старых кровоизлияний). Окраска ткани может меняться в зависимости от условий кровоснабжения опухоли; при венозном застое она приобретает синюшный оттенок. В ткани опухоли часто встречаются кисты различных размеров, заполненные буро-коричневой жидкостью. Кистозное перерождение может отмечаться во всей опухоли, либо её части. Часто наблюдаются обширные поля фиброза[1].
Невринома состоит из веретенообразных клеток с палочкоподобными ядрами. Клетки и волокна опухоли образуют «палисадные» структуры (ядерные палисады, тельца Верокаи) с участками, состоящими из волокон[2].
Традиционно различают два гистологических типа неврином: тип Верокаи, или тип А, и тип Антони, или тип Б. Данное разделение условно и практического значения для диагностики не имеет. Советский нейрохирург, академик АМН СССР Б. Г. Егоров при исследовании неврином слухового нерва обнаружил, что их структурное многообразие зависит не от свойств опухолевой ткани, а от деструктивных и рубцовых процессов[1].
Микроскопическое строение опухоли на разных стадиях роста может быть различным в зависимости от интенсивности дистрофических процессов и нарушений кровообращения. Нарушения кровообращения сопровождаются скоплением гемосидерина и разрастанием фиброзной ткани. Всё это создаёт пёструю гистологическую картину[1].
Количество сосудов в ткани опухоли значительно колеблется. Периферические отделы обычно окружены богатой сосудистой сетью: в центральных участках их количество варьирует от одиночных, до сосудистых клубков, напоминающих по строению кавернозную ангиому. Стенки сосудов тонкие, иногда образованы одним слоем эндотелия, но могут встречаться сосуды с резко утолщёнными гилинизированными стенками[1].
Многообразные изменения, возникающие в результате присущих для неврином дистрофических процессов, послужили поводом для выделения различных гистологических типов[1]:
- эпителиоидного — с плотным расположением клеток и слабой выраженностью волокнистой ткани
- ангиоматозного — с образованием кавернозных полостей
- ксантоматозного — со значительными скоплениями ксантомных клеток
- и т. д.
Невриномы, как правило, не инфильтрируют окружающие ткани, но вызывают их интенсивное сдавление. Малигнизация происходит редко. Она сопровождается изменением морфологической картины, которая приобретает сходство с так называемыми неврогенными саркомами[1].
Клиника

Клиническая картина зависит от локализации невриномы. При наиболее часто встречающемся типе — невриноме слухового нерва она проявляется постепенным снижением слуха на одно ухо. В дальнейшем присоединяются стволовые и мозжечковые нарушения, больше выраженные на стороне опухоли. Данные симптомы вызваны сдавлением соответствующих отделов невриномой. Признаки повышения внутричерепного давления развиваются относительно поздно[1].
При невриномах корешков спинного мозга развиваются симптомы раздражения и сдавления спинного мозга. При невриномах периферических нервов клиническая картина состоит из симптомов раздражения и выпадения функций соответствующих нервов. При типичных формах неврином течение процесса медленное, доброкачественное[1].
Диагностика
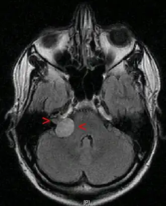
Методом выбора при диагностике является магнитно-резонансная томография.
Лечение
Лечение заболевания преимущественно хирургическое, при крупных размерах опухоли, или в тех случаях, когда из-за её расположения технически невозможно выполнить оперативное вмешательство, используют лучевую терапию.
Прогноз
Прогноз заболевания в целом благоприятный, после адекватного хирургического лечения заболевание полностью устраняется, без последствий для больного.
Примечания
- 1 2 3 4 5 6 7 8 9 10 Авцын А. П., Вихерт Т. М. Невринома // Большая медицинская энциклопедия / под общей редакцией Б. В. Петровского. — 3-е издание. — М.:: "Советская энциклопедия", 1981. — Т. 16. — С. 245—247. — 512 с. — 150 000 экз.
- ↑ Струков А. І.б Сєров В. В. укр. Пухлини периферичної нервової системи (Опухоли периферической нервной системы) // Патологічна анатомія. — 4-е. — Х.:: Факт, 1999. — С. 284. — 864 с. — 3500 экз. — ISBN 966-7099-60-1.