Олигодендроглиома
| Олигодендроглиома | |
|---|---|
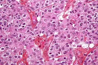
![]() Микрофотография олигодендроглиомы | |
| МКБ-11 | XH7W59 |
| МКБ-10 | C71 |
| МКБ-9 | 191.9 |
| МКБ-О | M9450/3-9451/3 |
| DiseasesDB | 29450 |
| eMedicine | neuro/281 |
| MeSH | D009837 |
Олигодендроглиома (олигодендроцитома, ОДГ) — глиальная опухоль головного мозга, возникающая из олигодендроцитов. Может встречается в любом возрасте, но преимущественно диагностируется у взрослых, большинство заболевающих — мужчины (соотношение 3/2). Составляет около 3% всех опухолей головного мозга. Растет медленно, в белом веществе полушарий большого мозга, может достигать больших размеров. Локализуются в основном вдоль стенок желудочков, проникая в их полость, прорастает в кору большого мозга, редко встречается в мозжечке, в зрительных нервах, стволе мозга. Опухоль бледно-розового цвета с чётко выраженными границами. Внутри опухоли часто образуются кисты. Наиболее характерным для олигодендроглиомы является экспансивно-инфильтративный рост. Характерно длительное, порой более 5 лет, бессимптоматическое течение опухоли до постановки диагноза. Олигодендроглиоме присуща потеря гетерозиготности хромосомы 19q[1][2][3].
Олигодендроцитому диагностируют и удаляют хирургическим путём или с применением радиохирургии, например, системы Кибер Нож. Для обнаружения опухоли делают компьютерную томографию (КТ) и магнитно-резонансную томографию (МРТ). Отличительным признаком олигодендроглиом от других глиом является наличие петрификатов в опухоли[2]. Примерно треть больных выживают в течение 5 лет после установления диагноза.
Виды олигодендроглиом

- олигодендроглиома (II степень злокачественности);
- анапластическая олигодендроглиома (III степень злокачественности);
- смешанная олигоастроцитома (III степень злокачественности), впоследствии трансформируется в глиобластому.
Олигодендроглиом I степени злокачественности не существует.
Гены
Развитие олигодендроглиомы высокой степени агрессивности связано с мутацией в гене TCF12, как показало исследование ученых из Института исследований рака (Institute of Cancer Research, Великобритания)[4]. В ходе эксперимента генетическую последовательность 134-х олигодендроглиом сравнили с ДНК нормальных клеток. Мутации этого гена были обнаружены в 7,5% олигодендроглиом. Опухоли с мутацией в гене TCF12 росли быстрее, а также были более агрессивны в других отношениях, по сравнению с теми, в которых ген TCF12 имел нормальную последовательность.
Также у пациентов с олигодендроглиомами часто обнаруживаются мутации гена CIC, кодирующего транскрипционный репрессор капикуа.[5]
Симптомы
Основными симптомами опухоли являются[2]:
- судороги;
- головная боль;
- эпилептические припадки;
- гемипарез.
Лечение
Основой лечения олигодендроглиом является хирургическое вмешательство. В последнее время набирает популярность радиохирургическое лечение олигодендроглиом на системе "Кибер Нож". При операции опухоль может быть полностью удалена. После операции проводят химиотерапия и лучевую терапию[2].
В 2024 г. был одобрен ворасидениб.
Прогноз
Средний безрецидивный период для олигодендроглиомы при полном комплексном лечении составляет примерно 5 лет, а 10-летняя выживаемость приблизительно равна 30–40%[2].
Примечания
- ↑ А.П. Ромоданов, Н.М. Мосийчук. Нейрохирургия. — Киев: Выща школа, 1990. — С. 16. — 105 с.
- 1 2 3 4 5 Олигодендроглиома на MMA.ru. Дата обращения: 23 июля 2010. Архивировано из оригинала 29 декабря 2010 года.
- ↑ Олигодендроглиома на medicalplanet.su. Дата обращения: 23 июля 2010. Архивировано 2 ноября 2010 года.
- ↑ Scientists find genetic mutation linked to aggressive brain cancer (англ.). www.medicalnewstoday.com. Дата обращения: 23 мая 2020.
- ↑ Lee Y (2020). Regulation and function of capicua in mammals. Exp Mol Med. 52 (4): 531–537. doi:10.1038/s12276-020-0411-3. PMC 7210929. PMID 32238859.
