Пневмоторакс
| Пневмоторакс | |
|---|---|
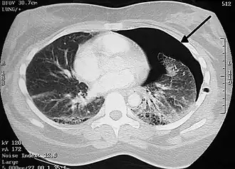
![]() Правосторонний спонтанный пневмоторакс (слева на изображении). Стрелкой указан край спавшегося лёгкого. | |
| МКБ-11 | CB21 |
| МКБ-10 | J93, P25.1, S27.0 |
| МКБ-10-КМ | J93.1 |
| МКБ-9 | 512, 860 |
| МКБ-9-КМ | 512.8[1] |
| OMIM | 173600 |
| DiseasesDB | 10195 |
| MedlinePlus | 000087 |
| eMedicine | article/432979 article/424547 article/360796 article/808162 article/827551 article/1003552 |
| MeSH | D011030 |
Пневмото́ракс (от др.-греч. πνεῦμα — дуновение, воздух и θώραξ — грудь) — скопление воздуха или газов в плевральной полости. Оно может возникнуть спонтанно у людей без хронических заболеваний лёгких («первичный»), а также у лиц с заболеваниями лёгких («вторичный»). Искусственный пневмоторакс — введение воздуха в плевральную полость для создания коллапса поражённого лёгкого. Многие пневмотораксы возникают после травмы грудной клетки или как осложнение лечения.
Симптомы пневмоторакса определяются размером и скоростью поступления воздуха в плевральную полость; к ним относятся в большинстве случаев боль в груди и затруднённое дыхание. Диагноз в некоторых случаях может быть поставлен при физикальном обследовании, но иногда необходима рентгенография грудной клетки или компьютерная томография. В некоторых ситуациях пневмоторакс приводит к тяжёлой нехватке кислорода и снижению кровяного давления, прогрессируя при отсутствии лечения в остановку сердца; такое состояние называют напряжённый пневмоторакс.
Небольшой спонтанный пневмоторакс обычно разрешается самостоятельно, и лечение не требуется, особенно в случаях без сопутствующих заболеваний лёгких. При крупном пневмотораксе или при возникновении тяжёлых симптомов воздух может быть откачан с помощью шприца или наложением одностороннего дренажа по Петрову, вводимого для удаления воздуха из плевральной полости. Иногда необходимы хирургические меры, особенно если дренажная трубка неэффективна или возникают повторные эпизоды пневмоторакса. Если существует риск повторных эпизодов пневмоторакса, могут быть использованы различные методы лечения, например применение плевродеза (прилипание лёгких к грудной стенке).
Виды пневмоторакса
- По связи с окружающей средой различают:
- Закрытый пневмоторакс. При этом виде в плевральную полость попадает небольшое количество газа, которое не нарастает. Сообщение с внешней средой отсутствует. Считается самым лёгким видом пневмоторакса, поскольку воздух потенциально может самостоятельно постепенно рассосаться из плевральной полости, при этом лёгкое расправляется.
- Открытый пневмоторакс. При открытом пневмотораксе плевральная полость сообщается с внешней средой, поэтому в ней создаётся давление, равное атмосферному. При этом лёгкое спадается, поскольку важнейшим условием для расправления лёгкого является отрицательное давление в плевральной полости. Спавшееся лёгкое выключается из дыхания, в нём не происходит газообмен, кровь не обогащается кислородом. Может сопровождаться гемотораксом.
- Клапанный пневмоторакс. Этот вид пневмоторакса возникает в случае образования клапанной структуры, пропускающей воздух в одностороннем направлении, из лёгкого или из окружающей среды в плевральную полость, и препятствующее его выходу обратно. При этом с каждым дыхательным движением давление в плевральной полости нарастает. Это самый опасный вид пневмоторакса, поскольку к выключению лёгкого из дыхания присоединяется раздражение нервных окончаний плевры, приводящее к плевропульмональному шоку, а также смещение органов средостения, что нарушает их функцию, прежде всего сдавливая крупные сосуды.
Механизм возникновения
Воздух или газ может попадать в плевральную полость снаружи (при открытом повреждении грудной клетки и сообщении с внешней средой) или из внутренних органов (например при травматическом разрыве лёгкого при закрытой травме либо при разрыве эмфизематозных пузырей, «булл», при минимальной травме или кашле, спонтанный пневмоторакс). В норме лёгкое расправлено за счёт того, что в плевральной полости, как правило, давление меньше, чем в самом лёгком. Поэтому при попадании туда воздуха лёгкое спадается.
Также пневмоторакс может возникнуть при иглотерапии[2].
Клиническая картина
Больной пневмотораксом испытывает резкую боль в груди, дышит часто и поверхностно, с одышкой. Ощущает «нехватку воздуха». Проявляется бледность или синюшность кожных покровов, в частности лица. Аускультативно дыхание на стороне повреждения резко ослаблено, перкуторно — звук с коробочным оттенком. Может определяться подкожная эмфизема.
Диагностика

Лабораторные исследования
- При анализе газов артериальной крови гипоксемия (РаО2 < 80 мм рт. ст.) наблюдается у 75 % больных с пневмотораксом.
- Наличие фонового заболевания лёгких и размер пневмоторакса тесно связаны с изменением газового состава артериальной крови. Основной причиной гипоксемии является коллапс и снижение вентиляции поражённого лёгкого при сохранённой лёгочной перфузии (эффект шунта). Гиперкапния развивается редко, только у больных с тяжёлыми фоновыми заболеваниями лёгких (ХОБЛ, муковисцидоз), довольно часто присутствует респираторный алкалоз.
- При вторичном спонтанном пневмотораксе РаО2<55 мм рт. ст. и РаСО2>50 мм рт. ст. наблюдаются у 15 % больных.
- Изменения ЭКГ обычно выявляют только при напряжённом пневмотораксе: отклонение электрической оси сердца вправо или влево в зависимости от локализации пневмоторакса, уменьшение вольтажа, уплощение и инверсия зубцов Т в отведениях V1-V3.
Рентгенография органов грудной клетки
- Для подтверждения диагноза необходимо проведение рентгенографии грудной клетки (оптимальная проекция — переднезадняя, при вертикальном положении больного).
- Рентгенографическим признаком пневмоторакса является визуализация тонкой линии висцеральной плевры (менее 1 мм), отделённой от грудной клетки.
- Частой находкой при пневмотораксе является смещение тени средостения в противоположную сторону. Так как средостение не является фиксированной структурой, то даже небольшой пневмоторакс может вести к смещению сердца, трахеи и других элементов средостения, поэтому контралатеральный сдвиг средостения не является признаком напряжённого пневмоторакса.
- Смещение органов средостения в противоположную сторону должно оцениваться в соответствии с укладкой больного. При развороте в ту или иную сторону будет нарушена симметричность положения поперечных и остистых отростков грудных позвонков и их соотношения с грудинным концом ключиц. Ложное смещение средостения часто связано с разворотами. Истинное смещение средостения (симметричная укладка, а средостение смещено) при пневмотораксе свидетельствует о достаточном напряжении в нем, что является показанием к срочному дренированию плевральной полости.Смертельно опасный напряжённый пневмоторакс при закрытой травме грудной клетки, как правило, протекает с частичным коллапсом лёгких и смещением средостения. [Махамбетчин М.М. Закрытая травма грудной клетки. Проблемы диагностики. Москва. Логосфера. 2016.220.]
- Около 10—20 % пневмотораксов сопровождаются появлением небольшого плеврального выпота (в пределах синуса), причем при отсутствии расправления пневмоторакса количество жидкости может увеличиваться.
- При отсутствии признаков пневмоторакса, по данным рентгенограммы в переднезадней проекции, но при наличии клинических данных в пользу пневмоторакса, показано проведение рентгенограмм в латеральной позиции или латеральной позиции на боку (decubitus lateralis), что позволяет подтвердить диагноз в дополнительных 14 % случаев.
- Некоторые руководства рекомендуют в сложных случаях проводить рентгенографию не только на высоте вдоха, но и в конце выдоха. Однако, как показали некоторые исследования, экспираторные снимки не имеют преимуществ перед обычными инспираторными. Более того, энергичный выдох может значительно усугубить состояние больного с пневмотораксом и даже привести к асфиксии, особенно при напряжённом и при двустороннем пневмотораксе. Поэтому рентгенография на высоте выдоха не рекомендована для диагностики пневмоторакса.
- Рентгенологическим признаком пневмоторакса у больного в горизонтальном положении (чаще при искусственной вентиляции лёгких — ИВЛ) является признак глубокой борозды (deep sulcus sigh) — углубление рёберно-диафрагмального угла, что особенно хорошо заметно при сравнении с противоположной стороной.
- Для диагностики небольших по размеру пневмотораксов КТ является более надёжным методом по сравнению с рентгенографией.
- Для дифференциального диагноза больших эмфизематозных булл и пневмоторакса наиболее чувствительным методом является КТ.
- КТ показана для выяснения причины вторичного спонтанного пневмоторакса (буллёзная эмфизема, кисты, интерстициальные болезни лёгких и др.).
Симптомы
- Острая боль в грудной клетке, усиливающаяся при вдохе;
- Одышка;
- Слезотечение;
- Затрудненное дыхание;
- Учащённое дыхание;
- Приступы сухого кашля;
- Учащённое сердцебиение;
- Чувство панического страха;
- Бледность кожных покровов.
Лечение
Первая помощь
При подозрении на пневмоторакс следует немедленно вызвать скорую помощь или обратиться к врачу. Если имеет место открытый пневмоторакс, необходимо наложить стерильную герметичную повязку (плёнку, пакет) на открытую рану грудной клетки.
Квалифицированная помощь
Лечение пневмоторакса заключается в его ликвидации путём отсасывания воздуха из плевральной полости и восстановления в ней отрицательного давления. При закрытом пневмотораксе без действующего сообщения с лёгким достаточно пункционной аспирации газа из плевральной полости при помощи набора для ликвидации пневмоторакса в асептических условиях операционной. Если аспирация иглой оказывается неэффективной, это свидетельствует о поступлении воздуха из ткани лёгкого. В таких случаях выполняют герметичное дренирование плевральной полости («дренаж по Бюлау») либо создают систему активной аспирации, в том числе с применением электровакуумных приборов.
Открытый пневмоторакс требует первоначальной торакотомии или торакоскопии, ревизии органов плевральной полости, устранения повреждений лёгочной паренхимы, а затем дренирования плевральной полости и ушивания последней.
При наличии неразорвавшихся булл принимается решение об удалении сегмента или доли лёгкого и плевродеза (химического, физического) для недопущения возникновения пневмоторакса.
Профилактика
Рекомендованная для пневмоторакса профилактика включает в себя:
- Своевременное лечение заболевания лёгких;
- Предотвращение травм грудной клетки;
- Профилактика повторных пневмотораксов.
Пневмоторакс у животных
Заболевание встречается у всех видов. Различают односторонний и двусторонний пневмоторакс. У лошадей встречается только двусторонний. Наиболее частой причиной являются проникающие ранения грудной клетки. У крупного рогатого скота причиной может быть прокол диафрагмы со стороны сетки инородным телом. При возникновении заболевания у животных развиваются прогрессирующая одышка, признаки асфиксии, усиленный сердечный толчок. Перкуссией грудной клетки устанавливается коробочный звук, а при осложнении плевритом — в нижней половине лёгочного поля тупой звук с горизонтальной верхней границей, выше которой перкуторный звук тимпанический или коробочный.[3]
См. также
Примечания
- ↑ Monarch Disease Ontology release 2018-06-29 — 2018-06-29 — 2018.
- ↑ Определение суда апелляционной инстанции. Дата обращения: 17 июня 2019. Архивировано 17 июня 2019 года.
- ↑ И.Г.Шарабрин и др. Внутренние незаразные болезни сельскохозяйственных животных. — М.: Агропромиздат, 1985. — 527 с.
Ссылки
- Анналы Архивная копия от 28 сентября 2007 на Wayback Machine
- Информация для пациентов Архивная копия от 24 февраля 2012 на Wayback Machine
- The New England Journal of Medicine
