Тяжёлый острый респираторный синдром

Тяжёлый острый респираторный синдром
МКБ-11 1D65
МКБ-10 U04
МКБ-10-КМ J12.81
МКБ-9 079.82
МКБ-9-КМ 079.82[1][2]
DiseasesDB 32835
MedlinePlus 007192
eMedicine med/3662 
MeSH D045169
Логотип Викисклада Медиафайлы на Викискладе

Тяжёлый о́стрый респирато́рный синдро́м (ТОРС, англ. Severe acute respiratory syndrome, SARS), также в СМИ атипичная пневмония — респираторное вирусное заболевание, вызываемое коронавирусом SARS-CoV (англ. Severe acute respiratory syndrome coronavirus)[3], первый случай которого зарегистрирован в ноябре 2002 года в южном Китае[4]. Заболевание характеризуется вирусной пневмонией, быстро прогрессирующей до дыхательной недостаточности[5].

Заражение в течение 2 месяцев распространилось на соседние Гонконг и Вьетнам, а в конце февраля 2003 года и далее — на другие страны и континенты.[6] Случаи заболевания обнаруживались в 29 странах, всего было отмечено 8098 случаев, из которых 774 закончились смертельным исходом. Наибольшее число случаев было зафиксировано в Китае, Гонконге, в Тайване, в Сингапуре и Канаде. Последний случай заболевания ТОРС был зафиксирован в июле 2003 года в Тайване[4]. Эпидемия была остановлена мерами контроля по распространению инфекции[7].

Во время вспышки атипичной пневмонии в 2003 году около 10 % пациентов с подтверждённым диагнозом ТОРС умерли. Смертность была намного выше у пациентов старше 50 лет, достигая уровня летальности, приближающегося к 50 % для этой подгруппы пациентов[8].

История

Начало эпидемии в Южном Китае

Эпидемия ТОРС впервые возникла в провинции Гуандун в Китае. В первом случае ТОРС, по сообщениям выходцев из сельской местности в Фошане, Гуандун, был зарегистрирован в ноябре 2002 года, и первый пациент, фермер, был госпитализирован в первую Народную больницу Фошаня. Фермер умер вскоре после госпитализации, причина его смерти так и не была определена точно. Тем не менее стало ясно, что пациент скончался от неизвестной разновидности заболевания, представляющего угрозу для жизни.

Несмотря на принятие некоторых, не слишком успешных, мер по борьбе с распространением заболевания, китайские правительственные должностные лица решили не информировать Всемирную организацию здравоохранения о резком росте количества инфицированных жителей и до февраля 2003 года ограничивали освещение средствами массовой информации фактов обнаружения и распространения данного заболевания в целях сохранения доверия общественности к способности властей быстро справиться с проблемой.

Отсутствие открытости и своевременности подачи правдивой информации привело к значительной задержке начала усилий мирового научного и медицинского сообщества по борьбе с нарастающей эпидемией и повлекло массовые[сколько?] смерти. В результате правительство Китайской Народной Республики (КНР) подверглось резкой критике со стороны международного сообщества. Впоследствии правительство КНР официально извинилось за медлительность, блокирование информации и непринятие мер по борьбе с эпидемией ТОРС.

Первым этапом признания начала эпидемии стало 27 ноября 2002 года, когда созданная в Канаде Global Public Health Intelligence Network активировала электронную систему раннего предупреждения, которая, в свою очередь, является частью Всемирной организации здравоохранения (ВОЗ), для срочного оповещения о начале серьёзной эпидемии неизвестного вируса в Китае.

После того как результаты расследования о начале вспышки массовой инфекции поступили в медицинскую сеть, Всемирная организация здравоохранения запросила информацию у китайских властей. Информация у китайских властей была запрошена 5 и 11 декабря 2002 года. Общемировому распространению известия о начале эпидемии помешали в некоторой степени обновления различных медицинских сетей раннего предупреждения, тем не менее, в начале 2003 года во всём мире было распространено глобальное оповещение о необходимости полностью воздержаться от поездок в Южный Китай.

Распространение заболевания на другие страны

Эпидемия привлекла общественное внимание в феврале 2003 года, когда американский бизнесмен Джонни Чен после путешествия в Китай заболел атипичной пневмонией, симптомы которой он почувствовал во время рейса в Сингапур. Самолёт срочно приземлили в Ханое, столице Вьетнама.

28 февраля 2003 года из французского частного госпиталя в Ханое (Вьетнам) пришёл запрос в ВОЗ о консультации больного, который переносил необычное гриппоподобное заболевание. Врачи госпиталя предполагали, что больной переносит грипп, классифицированный предположительно как птичий (Avian influenza). Доктор Карло Урбани, являясь специалистом в области инфекционных заболеваний, отозвался на запрос из Ханоя. Несмотря на все предпринятые меры, пациент скончался в больнице вскоре после госпитализации. При этом, несмотря на различные меры защиты от заражения, некоторые из медицинских работников также начали испытывать похожие симптомы заболевания. Впоследствии инфекционист Карло Урбани и ещё пять медицинских работников умерли, исследуя природу таинственного возбудителя смертельного заболевания дыхательных путей человека.[9]

В госпитале была проведена огромная работа с медицинской документацией, произведены многочисленные заборы проб для исследования в микробиологических и вирусологических лабораториях. Эпидемиологическая работа была направлена на поиск возбудителя атипичного инфекционного заболевания и принесла желаемый результат.[9]

Доктор Карло Урбани быстро выявил, что возбудитель инфекционного заболевания является атипичным и крайне опасным. Он и его коллеги добились введения жёстких карантинных мер, направленных на оперативную локализацию инфекционного заболевания. Они смогли убедить правительство Вьетнама в срочной необходимости введения всеобщего карантина, хотя это и создавало серьёзные экономические трудности для страны.[9]

Если сравнить эпидемию ТОРС во Вьетнаме и соседними с ним государствами, такими как Китай, Гонконг, Сингапур и другие, то Вьетнам явился первой страной, в которой ВОЗ приостановила карантин.[9]

Вьетнамская группа медицинских работников пополнилась специалистами из интернациональных групп врачей, у которых был опыт работы с вирусом Эбола, то есть в эпидемиологическом и клиническом исследовании приняли участие наиболее квалифицированные специалисты, имевшие опыт работы с инфекционными заболеваниями, для которых характерна высокая контагиозность.[9]

Вирусолог Карло Урбани сыграл ведущую роль в организации оперативных карантинных мероприятий, спасших жизни десятков тысяч и предположительно миллионов людей, а также в предотвращении панической реакции среди медицинского персонала и СМИ. 11 марта 2003 года, уже после введения карантина, он почувствовал симптомы болезни, с которой сам боролся в последние несколько недель. В это время он находился в самолёте, летевшем из Ханоя в Бангкок. По прибытии в аэропорт города Бангкок доктор Урбани попросил никого из встречающих его лиц к нему не приближаться. В машине скорой помощи он был доставлен в блок местного госпиталя для инфекционных больных. В течение двух недель он отчаянно боролся с инфекционным заболеванием и умер 29 марта 2003 года в госпитале города Бангкок. В статье, опубликованной в The New England Journal of Medicine 15 мая 2003 года, её авторы Brig Reilley, Michel Van Herp, Dan Sermand, Nicoletta Dentico написали о том, что испытывают смешанные чувства: с одной стороны, это чувство гордости за врача, преданного своему долгу, открывшего и исследовавшего новое заболевание, а с другой — непередаваемое чувство горя, постигшее весь цивилизованный мир в связи с безвременной смертью доктора Карло Урбани и его коллег.[9]

12 марта 2003 года ВОЗ выпустила глобальное предупреждение о карантинных мероприятиях и оповещение о необходимости остановить распространение данного заболевания.

По данным ВОЗ, метод борьбы с эпидемией ТОРС, который разработал микробиолог Карло Урбани в 2003 году, до сих пор представляет собой актуальный международный протокол по борьбе с этим типом заболевания[10].

Этиология

Заболевание вызывается коронавирусом SARS-CoV, представляющим собой одноцепочный (+)РНК-вирус с наличием оболочки. Считается, что изначальным источником вируса SARS-CoV были подковоносые летучие мыши, а к людям перешёл через гималайских цивет. Исследование длительностью в 5 лет выявило, что все составные части генома SARS-CoV присутствуют у ТОРС-подобных коронавирусов, циркулирующих среди подковоносных летучих мышей в одной из пещер китайской провинции Юньнань. Есть вероятность, что вирус SARS-CoV появился в результате рекомбинации генов между данными вирусами[11].

Симптомы

ТОРС часто напоминает пневмонию или грипп. Для заболевания характерны следующие симптомы[12]:

Типичной особенностью ТОРС является отсутствие чихания и насморка — симптомов простуды. ТОРС начинается с лихорадки, которая обычно возникает через 2–7 дней после инфицирования, но в то же время симптомы заболевания могут отсутствовать на протяжении 10 дней. Часто возникают озноб, головная и мышечные боли, общее чувство дискомфорта. По прошествии 2–7 дней с начала заболевания появляется сухой кашель. Иногда ТОРС прогрессирует в тяжёлую пневмонию, приводящую к дыхательной недостаточности и развитию гипоксемии.

Пациент является наиболее контагиозным при развитии симптомов заболевания. До сих пор непонятно, возможно ли инфицирование других людей до появления клинических симптомов заболевания (в период продрома) или же после их исчезновения. В качестве профилактики CDC рекомендует выздоровевшим людям воздержаться от посещения общественных мест в течение 10 дней после исчезновения симптомов.

Клиника

Инкубационный период составляет от 2 до 10 суток, в среднем 7 суток, лихорадочный период — 10–14 суток. В течение тяжёлого острого респираторного синдрома выделяют четыре стадии[13]:

  • І — стадия первичной гриппоподобной инфекции (длится 2–3 дня), состояние больного средней тяжести;
  • ІІ — стадия иммунодефицита (резкое снижение иммунитета, критическое падение числа лимфоцитов, ухудшение состояния больных, длится 3–4 дня);
  • ІІІ — стадия атипичной пневмонии, развивающейся на фоне снижения иммунитета и сопровождающейся дистресс-синдромом (состояние больных очень тяжёлое, с дыхательной недостаточностью, появляется отёк лёгких);
  • ІV — терминальная стадия, сопровождающаяся токсическим шоком с выраженной недостаточностью функции органов (состояние крайне тяжёлое).

Примерно у 25 % пациентов болезнь протекала тяжело и прогрессировала в острый респираторный дистресс-синдром. Чаще всего это происходило у людей возрастом за 50 лет либо при наличии хронических заболеваний, включая диабет, хронический гепатит и заболевания сердца. Иммунный ответ организма, вероятно, также вносил свой вклад в тяжесть заболевания, косвенно на это указывает ухудшение состояния некоторых больных на второй неделе болезни на фоне снижения количества вируса в организме[14].

Общая летальность оценивается в 9—12 %[14].

Результаты эпидемии

В период с ноября 2002 года по июль 2003 года всего зарегистрировано 8096 случаев заболевания в 29 странах, умерли 774 человека. В 2004 году была ещё одна вспышка ОРВИ, связанная с медицинской лабораторией в Китае. Считается, что это произошло из-за того, что кто-то вступил в непосредственный контакт с образцом вируса атипичной пневмонии, а не в связи с передачей вируса человеку от человека или от животного. С 2004 года в мире не было зарегистрировано ни одного случая заболевания, вызванного SARS[15].

Диагностика

Частой среди пациентов была лимфопения при нормальном или немного сниженном количестве нейтрофилов в крови[14]. Лимфопения может служить маркером течения заболевания[16].

В других случаях с тяжёлым течением заболевания и смертельным исходом связана нейтрофилия и тромбоцитопения[14][16]. При этом нейтрофилия ассоциировалась с бактериальной инфекцией, большая часть которой была внутрибольничной и проявлялась в виде пневмонии или сепсиса. Возможно, бактериальная инфекция была результатом применения кортикостероидов[16].

Лечение

Лечение ТОРС было эмпирическим, большинству пациентов назначали кортикостероиды и рибавирин. На текущий момент известно, что рибавирин оказывал слабый эффект против вируса[17], а из его побочных эффектов отмечалась обратимая гемолитическая анемия, которая проходила по окончании курса лечения[16]. У 60 % больных, принимавших рибавирин, был снижен уровень гемоглобина в крови, в общем же случае при применении рибавирина рекомендован мониторинг уровня гемоглобина. Несмотря на побочные эффекты, препарат хорошо переносился больными[16].

Кортикостероиды, вероятно, причиняли в большей степени вред. Среди части пациентов применялись лопинавир и ритонавир и внутривенные иммуноглобулины, однако нет чётких доказательств их пользы или вреда. Также известны единичные сообщения о пользе интерферона альфа и интерферона бета[17].

Ни одна из терапий не доказала свою эффективность. Основным лечением в подобных случаях до сих пор остаётся поддерживающее[17]. При нарастании явлений дыхательной недостаточности пациент переводится на ИВЛ.

Ретроспективный анализ различных исследований показал, что нейтрофилия может указывать на бактериальную инфекцию, в случае чего могут применяться антибиотики широкого спектра действия[16].

Профилактика

С учётом известных путей передачи ТОРС были разработаны перечни ограничительных мер для медицинских и общественных учреждений. Это предполагает соблюдение определённых ограничительных мер в отношении пациентов с подозрением на ТОРС или подтверждённом диагнозе ТОРС: 1) стандартные меры предосторожности (гигиена рук); 2) меры предосторожности при непосредственном контакте (использование халатов, защитных очков, перчаток); 3) меры по ограничению воздушно-капельного распространения инфекции (отрицательное давление в комнатах, где находятся пациенты, использование одноразовых респираторов N 95)[18].

Прогноз

Летальность заболевания во время эпидемии была на уровне 9,6 %, варьируясь от 0 % до 40 %[19]. С негативными исходами связаны пожилой возраст и наличие сопутствующих заболеваний, таких как сахарный диабет, гепатит B и заболевания сердца[20]. Смертность среди пожилых пациентов возрастом за 65 лет была на уровне 50 %[19].

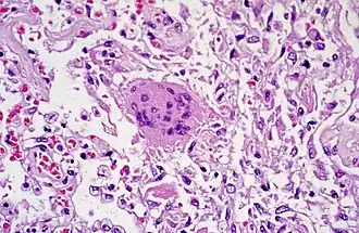
Патологическая анатомия

Обнаруживаются диффузное повреждение лёгочных альвеол, десквамация пневмоцитов, образования гиалиновых мембран и воспалительные инфильтраты[21].

См. также

Примечания

  1. Disease Ontology (англ.) — 2016.
  2. Monarch Disease Ontology release 2018-06-29 — 2018-06-29 — 2018.
  3. About Severe Acute Respiratory Syndrome (англ.). U.S. Centers for Disease Control and Prevention (8 февраля 2019). Дата обращения: 31 марта 2020. Архивировано 30 марта 2020 года.
  4. 1 2 Pitsiou, Kioumis, Epidemiology.
  5. Pitsiou, Kioumis, Definition.
  6. Enserink M. SARS: chronology of the epidemic. (англ.) // Science (New York, N.Y.). — 2013. — 15 March (vol. 339, no. 6125). P. 1266—1271. doi:10.1126/science.339.6125.1266. PMID 23493691.
  7. Emmie de Wit, Neeltje van Doremalen, Darryl Falzarano, Vincent J. Munster. SARS and MERS: recent insights into emerging coronaviruses (англ.) // Nature Reviews Microbiology. — 2016. — August (vol. 14, iss. 8). P. 523–534. ISSN 1740-1534. doi:10.1038/nrmicro.2016.81. Архивировано 1 апреля 2020 года.
  8. Sørensen MD; Sørensen B; Gonzalez-Dosal R; Melchjorsen CJ; Weibel J; Wang J; Jun CW; Huanming Y; Kristensen P (May 2006). "Severe acute respiratory syndrome (SARS): development of diagnostics and antivirals"
  9. 1 2 3 4 5 6 Издание для практикующих врачей «Русский медицинский журнал». Тяжёлый острый респираторный синдром (ТОРС). www.rmj.ru. Дата обращения: 23 января 2020. Архивировано 8 марта 2020 года.
  10. «Dagli ospedali nella jungla al Nobel Carlo Urbani, io lo conoscevo bene» A dieci anni dalla scomparsa esce il ricordo di Vincenzo Varagona. calameo.com. Дата обращения: 23 января 2020.
  11. Ben Hu, Lei-Ping Zeng, Xing-Lou Yang, Xing-Yi Ge, Wei Zhang. Discovery of a rich gene pool of bat SARS-related coronaviruses provides new insights into the origin of SARS coronavirus (англ.) // PLOS Pathogens. — 2017. — 30 November (vol. 13, iss. 11). P. e1006698. ISSN 1553-7374. doi:10.1371/journal.ppat.1006698. Архивировано 2 января 2022 года.
  12. Тяжёлый острый респираторный синдром: клинические проявления, лечение, профилактика и неясные вопросы, 05.05.2003. Дата обращения: 3 января 2020. Архивировано 13 апреля 2020 года.
  13. «Тяжёлый острый респираторный синдром». Профессор М. А. Андрейчин, доцент В. С. Копча, к.м.н. Н. А. Нычик. Тернопольская государственная медицинская академия им. И. Я. Горбачевского. Дата обращения: 3 января 2020. Архивировано 3 января 2020 года.
  14. 1 2 3 4 Perlman, McIntosh, 2020, SARS Coronavirus, p. 2078.
  15. SARS (severe acute respiratory syndrome) (англ.). nhs.uk. National Health Service (England) (24 октября 2019). Архивировано 9 марта 2020 года.
  16. 1 2 3 4 5 6 Raymond S. M. Wong, Alan Wu, K. F. To, Nelson Lee, Christopher W. K. Lam. Haematological manifestations in patients with severe acute respiratory syndrome: retrospective analysis (англ.) // BMJ (Clinical research ed.). — 2003. — 21 June (vol. 326, iss. 7403). P. 1358–1362. ISSN 1756-1833. doi:10.1136/bmj.326.7403.1358. Архивировано 24 апреля 2020 года.
  17. 1 2 3 Perlman, McIntosh, 2020, Therapy, p. 2079.
  18. Тяжёлый острый респираторный синдром Архивная копия от 9 марта 2020 на Wayback Machine // 10 декабря 2003
  19. 1 2 Pitsiou, Kioumis, Morbidity and mortality.
  20. Pitsiou, Kioumis, Poor prognostic factors.
  21. Pitsiou, Kioumis, Pathophysiology.

Литература

Ссылки