Портал:Нейронауки

Портал   Основные статьи   Проект   Обсуждение проекта   Участники проекта

Добро пожаловать на Портал
Нейронауки

Нейробиология наука, изучающая анатомическое устройство, функционирование, развитие в ходе онтогенеза, филогенетическую эволюцию, генетику, биохимию, физиологию и патологию нервной системы, и в частности мозга. Изучение поведения (этология) и психология также являются подразделами нейробиологии. В последние десятилетия всё чаще используется альтернативный термин «нейронаука» (англ. neuroscience) или, ещё чаще, во множественном числе «нейронауки» (англ. neurosciences), в основном в связи с многообразием областей и подразделов нейронаук, а также в связи с тем, что нейробиология всё сильнее проникает в сферу психологии и клинической психиатрии (появились соответствующие термины «нейропсихология» и «нейропсихиатрия»). Изучение головного мозга и нервной системы является междисциплинарной наукой, которая включает в себя множество уровней детализации изучения, от молекулярного и генетического (уровня отдельных молекул, в частности, белков, и отдельных генов), до клеточного уровня (уровня отдельных нейронов), от уровня гистологической структуры и цитоархитектоники отдельных областей мозга (уровня относительно небольших групп нейронов, так называемых ядер), до крупных систем, таких, как кора больших полушарий мозга, таламус или мозжечок, и на самом верхнем уровне — изучение головного мозга в целом, нервной системы в целом, поведенческих феноменов, сознания, мышления, памяти, эмоций и др. (Далее…)

Избранная статья портала

Перцептрон, или персептро́н — математическая и компьютерная модель восприятия информации мозгом ( кибернетическая модель мозга), предложенная Фрэнком Розенблаттом в 1957 году и реализованная в виде электронной вычислительной машины «Марк-1». В 1960 году перцептрон стал одной из первых моделей искусственных нейронных сетей, а «Марк-1» — первым в мире нейрокомпьютером. Несмотря на свою простоту, перцептрон способен самообучаться, приобретая новые знания, и решать довольно сложные задачи. Далее

Избранное изображение портала

Изображение нейронов сетчатки глаза, сделанное Сантьяго Рамон-и-Кахалем в 1900 году.

Категории

Нейробиология
Нейробиологи
Вычислительная нейробиология
Дендрит
Неврология
Нейроанатомия
Нейроны ЦНС
Нейрохимия
Нейроэндокринология
Нервная система
Президенты Международной организации по исследованию мозга
Рецепторы нейронов
Средний мозг
Физиология нервной системы
Незавершённые статьи по нейробиологии
Головной мозг
Блюда из мозгов
Заболевания головного мозга
Книги о мозге
Кровообращение головного мозга
Ликворопроводящая система головного мозга
Лимбическая система
Межполушарная асимметрия
Мозговые имплантаты
Мультфильмы о мозге
Нейрогенез
Нейроны головного мозга
Нервные пути головного мозга
Оболочки головного мозга
Передний мозг
Ритмы головного мозга
Система межполушарных соединений
Ствол мозга
Функциональные блоки мозга
Черепные нервы
Эволюция головного мозга
Экстрапирамидная система
Эмбриональное развитие головного мозга

Помогите проекту

Приглашаем Вас принять участие в написании статей о нейробиологии, нервной системе и головном мозге.

Вы можете легко создавать собственные статьи. Для этого Вам достаточно набрать слово или термин, о котором Вы желаете создать статью, в панели «Искать в Википедии», которая находится справа вверху, и нажать кнопку «Перейти». Если статьи об этом слове или термине Вы не нашли, Вы можете создать её, воспользовавшись панелью «Создать статью», размещённой ниже.


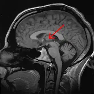
Хорошая статья портала

Таламус на МРТ

Тала́мус, иногда — зри́тельные бугры (лат. Thalamus; от др.-греч. θάλαμος — «камера, комната, отсек») — большая масса серого вещества в верхней части таламической области промежуточного мозга хордовых животных, в том числе и человека. Впервые описан древнегреческим врачом и анатомом Галеном. Таламус — это парная структура, состоящая из двух половинок, симметричных относительно межполушарной плоскости. Таламус находится глубже структур большого мозга, в частности коры или плаща. Под таламусом расположены структуры среднего мозга. Срединная (медиальная) поверхность обеих половинок таламуса одновременно является верхней боковой стенкой третьего желудочка головного мозга.

Таламус выполняет несколько важных физиологических функций. Он отвечает за передачу сенсорной и двигательной информации от органов чувств (кроме информации от органов обоняния) к соответствующим областям коры больших полушарий млекопитающих или плаща мозга низших хордовых. Таламус играет важную роль в регуляции уровня сознания, процессов сна и бодрствования, концентрации внимания.

Таламус — один из основных продуктов эмбрионального развития зародышевого промежуточного мозга. Этот факт был впервые установлен основоположником эмбриологии шведским анатомом Вильгельмом Гисом в 1893 году.

Ранее таламус считался структурой головного мозга, характерной только для хордовых. Ещё ранее его существование признавалось только у позвоночных. Учёные полагали, что таламус в принципе отсутствует у беспозвоночных, даже наиболее высокоорганизованных, таких как членистоногие. Однако в 2013 году в центральном нервном узле или головном мозге членистоногих обнаружена структура, гомологичная таламусу в головном мозге хордовых — так называемые «боковые вспомогательные дольки» (англ. lateral accessory lobes, LAL). У этих структур было выявлено сходство как в процессах эмбрионального развития и паттернах экспрессии генов, так и в анатомическом расположении в головном мозге. Сходство обнаружилось и в их физиологических функциях (сбор информации и передача её от различных сенсорных путей в более передне расположенные части головного мозга или центрального нервного узла). Таким образом, таламус, возможно, является эволюционно очень древней структурой мозга. Зачатки или предшественники таламуса, вероятно, возникли у общего предка хордовых и членистоногих около 550—600 млн лет назад. Далее...

Новости нейронаук

  • Наркомания: Группа учёных из разных стран обнаружила, что лекарство (+)-налоксон (один из стереоизомеров налоксона) может блокировать вызывающие наркотическое привыкание и пристрастие эйфоризирующие эффекты опиоидов, не вызывая при этом снижения анальгетического эффекта, в отличие от другого стереоизомера налоксона. Благодаря влиянию на иммунные рецепторы TLR4, (+)-налоксон обеспечивает то, что героин и другие подобные вещества этого ряда более не способны вызывать повышенное выделение дофамина и эйфорию, необходимые для формирования пристрастия. В то же время (+)-налоксон, в отличие от (-)-налоксона, не является антагонистом опиоидных рецепторов, не вытесняет опиоиды из связи с опиоидными рецепторами и не снижает их анальгетического эффекта. Это означает, что если пациент получает одновременно морфин и (+)-налоксон, он получит необходимый ему анальгетический эффект, но в то же время будет значительно снижен риск развития привыкания и пристрастия. Исследователи надеются вскоре приступить к клиническим испытаниям этого нового метода профилактики развития привыкания и пристрастия к опиоидам.
  • Нейродегенеративные заболевания: В исследованиях на приматах учёные показали принципиальную возможность использования методов генной инженерии для лечения таких тяжёлых и инвалидизирующих нейродегенеративных заболеваний, как болезнь Альцгеймера, болезнь Паркинсона. Учёные смогли показать, что один из факторов роста нервных клеток, так называемый NGF (Nerve Growth Factor) способен предотвращать гибель нейронов при воздействии нейродегенеративных факторов, таких, как накопление бета-амилоида при болезни Альцгеймера. Вводя генетически модифицированные клетки с повышенной продукцией белка NGF в мозг экспериментальных животных, учёные смогли очень значительно, до 92 %, снизить гибель нейронов в экспериментальных моделях болезней Альцгеймера и Паркинсона.
  • Память: Группа исследователей, руководимая Ицхаком Фридом, с помощью электродов, имплантированных в гиппокамп людей, страдающих гиппокампальной эпилепсией, сумела обнаружить, что определённые группы нейронов гиппокампа активируются как при просмотре определённых сцен, так и при их последующем воспоминании, и что это одни и те же нейроны.
  • Фибромиалгия: Этот хронический болевой синдром настолько труден для изучения, что некоторые специалисты даже подвергали сомнению само его существование как отдельного заболевания, и полагали фибромиалгию разновидностью психогенной боли, соматоформного, соматизированного или ипохондрического расстройства, или же разновидностью хронического неспецифического распространённого болевого синдрома (англ. chronic nonspecific widespread pain). Исследование, опубликованное в ноябре 2008 года в международном Журнале Ядерной Медицины (The Journal of Nuclear Medicine), показало, что у пациентов с фибромиалгией наблюдается значительно повышенный мозговой кровоток в тех областях головного мозга, которые ответственны за восприятие и эмоциональную оценку боли, и одновременно сниженный кровоток в областях мозга, ответственных за подавление болевых ощущений (в областях антиноцицептивной системы), а также в других областях, вовлечённых в когнитивные и эмоциональные функции. Авторы этого исследования использовали для изучения мозгового кровотока методику ОФЭКТ. Их исследование хорошо согласуется с результатами других исследователей, получивших с помощью других методов, таких, как ЭЭГ, МЭГ, фМРТ, ПЭТ с 18-фтордезоксиглюкозой, инфракрасная спектроскопия, независимые подтверждения того, что у пациентов с фибромиалгией повышены биоэлектрическая активность, кровоток, выделение тепла и потребление глюкозы в тех областях мозга, которые ответственны за восприятие и эмоциональную оценку боли, и снижены эти же параметры в областях мозга, отвечающих за подавление боли, за когнитивные функции и за положительные эмоции. Это может объяснять как наблюдаемый при фибромиалгии спонтанный болевой синдром, так и повышенную болевую чувствительность, и гиперпатическую болезненность при лёгком надавливании на узловые точки, и нередко сопутствующие фибромиалгии когнитивные нарушения, и наблюдаемые при ней депрессию и тревогу, нарушения сна.
  • Плацебо: При некоторых психических заболеваниях, таких, как паническое расстройство, социофобия, генерализованное тревожное расстройство, фармакологически неактивные вещества, такие, как гомеопатические шарики, у некоторых людей, так называемых плацебо-реакторов, могут оказывать положительный лечебный эффект, сопоставимый или даже превосходящий положительный эффект от лекарств, имеющих строго доказанную в РКИ эффективность для этого заболевания. Этот эффект называется плацебо-эффектом или эффектом плацебо. Известно, что в реализации плацебо-эффекта принимает участие эндогенная опиоидная система. Развитие эффекта плацебо предотвращается введением высоких доз антагониста опиоидных рецепторов налоксона. Группа исследователей из Швеции сумела показать, что различия в том, почему одни пациенты с некоторым заболеванием являются яркими плацебо-реакторами, а другие — нет, по крайней мере частично предопределяются генетическими вариациями и полиморфизмами в генах, ответственных за метаболизм некоторых моноаминовых нейромедиаторов, в частности дофамина и серотонина. Пациенты с социофобией с определёнными аллелями гена белка транспортера серотонина или гена фермента дофамин-бета-гидроксилазы проявляют более высокую чувствительность к эффектам плацебо и более выраженный анксиолитический ответ на приём плацебо, чем пациенты с социофобией, обладающие другими вариантами этих же генов.
Архив новостей

Знаете ли Вы...